Skip to main content

The Effect of Melatonin on TNBS-Induced Colitis

Abstract

Ulcerative colitis is a multifactorial inflammatory disease of the colon and rectum with an unknown etiology. The present study was undertaken to investigate the effect of melatonin administration on oxidative damage and apoptosis in 2,4,6-trinitrobenzene sulfonic acid (TNBS)-induced colitis. Rats were divided into four groups as follows: Group 1 (n=8)—TNBS colitis; Group 2 (n=8)—melatonin, 10 mg/kg/day ip, for 15 days in addition to TNBS; Group 3 (n=8)—melatonin alone, 10 mg/kg/day ip, for 15 days; and Group 4 (n=8)—isotonic saline solution, 1ml/rat ip, for 15 days (sham control group). Colonic myeloperoxidase (MPO) activities, malondialdehyde (MDA) levels, and glutathione (GSH) levels are indicators of oxidative damage, while caspase-3 activities reveal the degree of apoptosis of the colonic tissue. In all TNBS-treated rats, colonic MPO activity and MDA levels were found to be increased significantly compared to those in the sham group. Colonic MPO activity and MDA levels were significantly lower in the melatonin treatment group compared to TNBS-treated rats. GSH levels of colonic tissues were found to be significantly lower in TNBS-treated rats compared to the sham group. Treatment with melatonin significantly increased GSH levels compared to those in TNBS-treated rats. Caspas-3 activity of colonic tissues was found to be significantly higher in TNBS-treated rats compared to the sham group. Treatment with melatonin significantly decreased caspase-3 activity compared to that in TNBS-treated rats. These results imply a reduction in mucosal damage due to anti-inflammatory and anti-apoptotic effects of melatonin.

This is a preview of subscription content, access via your institution.

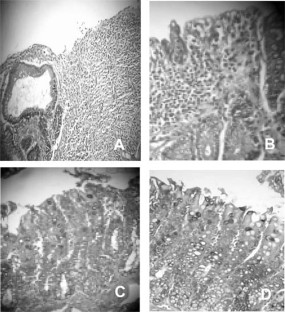
Fig 1.
Fig 2.
Fig 3.
Fig 4.
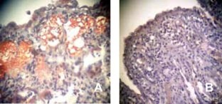
Fig 5.
Fig 6.
Fig 7.
Fig 8.
Fig 9.

References

  1. Guarner F, Malagelada JR (2003) Role of bacteria in experimental colitis. Best Pract Res Clin Gastroenterol 17(5):793–804

    PubMed  Article  CAS  Google Scholar 

  2. Kankuri E, Hamalainen M, Hukkanen M, Salmenpera P, Kivilaakso E, Vapaatalo H, Moilanen E (2003) Suppresion of pro-inflamaory cytokine release by selective inhibition of inducible nitric oxide synthase in mucosal explants from patients with ulcerative colitis. Scand J Gastroenterol 38(2):186–192

    PubMed  Article  CAS  Google Scholar 

  3. Stokkers P, Hommes D (2004) New cytokine therapeutics for inflammatory bowel disease. Cytokine 28:167–173

    PubMed  Article  CAS  Google Scholar 

  4. Cho C (2001) Current roles of nitric oxide in gastrointestinal disorders. J Physiol 95:253–256

    CAS  Google Scholar 

  5. Danese S, Sans M, Fiocchi C (2004) Inflammatory bowel disease: the role of environmental factors. Aotuimmun Rev 3:394–400

    Article  CAS  Google Scholar 

  6. Shusterman T, Sela S, Cohen H, Kristal B, Sbeit W, Reshef R (2003) Effect of the antioxidant Mesna (2–mercaptoethane sulfonate) on experimental colitis. Dig Dis Sci 48(6):1177–1185

    PubMed  Article  CAS  Google Scholar 

  7. Sugimoto K, Hanai H, Tozawa K, Aoshi T, Uchijima M, Nagata T, Koide Y (2002) Curcumin prevents and amoliorates trinitrobenzene sulfonic acid–induced colitis in mice. Gastroenterology 123(6):1912–1922

    PubMed  Article  CAS  Google Scholar 

  8. Akin ML, Gulluoglu BM, Uluutku H, Erenoglu C, Elbuken E, Yildirim S, Celenk T (2002) Hyperbaric oxygen improves healing in experimental rat colitis. Undersea Hyperb Med 29(4):279–285

    PubMed  CAS  Google Scholar 

  9. Andreadou I, Papalois A, Triantafillidis JK, Demonakou M, Govosdis V, Vidali M, Anagnostakis E, Kourounakis PN (2002) Benefical effects of a novel non-steroidal anti-inflammatory agent with basic character and antioxidant properties on experimental colitis in rats. Eur J Pharmacol 441(3):209–214

    PubMed  Article  CAS  Google Scholar 

  10. Woodruff TM, Arumugam TV, Shiels IA, Newman ML, Ross PA, Reid RC, Fairlie DP, Taylor SM (2005) A potent and selective inhibitor of group II a secretory phospholipase A2 protects rats from TNBS-induced colitis. Int Immunopharmacol 5:883–892

    PubMed  Article  CAS  Google Scholar 

  11. Pfeiffer CJ, Qiu B, Lam SK (2001) Reduction of colonic mucus by repeated short term stress enhances experimental colitis in rats. J Physiol 95:81–87

    CAS  Google Scholar 

  12. Ademoğlu E, Erbil Y, Tam B, Barbaros U, İlhan E, Olgaç V, Türkoğlu UM (2004) Do vitamin E and selenium have beneficial effects on Trinitrobenzenesulfonic acid-induced experimental colitis. Dig Dis Sci 49:102–108

    PubMed  Article  Google Scholar 

  13. Jian YT, Mai GF, Wang JD, Zhang YL, Luo RC, Fang YX (2005) Preventive and therapeutic effects of NF-kappaB inhibitor curcumin in rats colitis induced by trinitrobenzene sulfonic acid. World J Gastroenterol 11:1747–1752

    PubMed  CAS  Google Scholar 

  14. Otegbayo JA, Otegbeye FM, Rotimi O (2005) Microscopic colitis syndrome—-a review article. J Natl Med Assoc 97(5):678–682

    PubMed  Google Scholar 

  15. Kazez A, Demirbağ M, Üstündağ B, Özercan İH, Sağlam M (2000) The role of melatonin in prevention of intestinal ischemia—Reperfusion injury in rats. J Pediatr Surg 35:1444–1448

    PubMed  Article  CAS  Google Scholar 

  16. Morris GP, Beck PL, Herridge MS, Depew WT, Szewczuk MR, WallaceI JL (1989) Hapten-induced model of chronic inflammation and ulceration in the rat colon. Gastroenterology 96:795–803

    PubMed  CAS  Google Scholar 

  17. Millar AD, Rampton DS, Chander CL, Claxson AW, Blades S, Coumbe A, Panetta J, Morris CJ, Blake DR (1996) Evaluating the antioxidant potential of new treatments for inflammatory bowel disease using a rat model of colitis. Gut 39:407–415

    PubMed  Article  CAS  Google Scholar 

  18. Bradley PP, Priebat DA Christensen RD, Rothstein G (1982) Measurement of cutaneous inflammation estimation of neutrophil content with an enzyme marker. J Invest Dermatol 78:206–209

    PubMed  Article  CAS  Google Scholar 

  19. Buege JA, Aust SD (1978) Microsomal lipid peroxidation. Methods Enzymol 52:302–310

    PubMed  CAS  Article  Google Scholar 

  20. Sedlak J, Lindsay RH (1968) Estimation of total, protein-bound, and nonprotein sulfhydryl groups in tissues with Ellmann's reagent. Anal Biochem 25:192–205

    PubMed  Article  CAS  Google Scholar 

  21. Chang WK, Yang KD, Chuang H, Jan JT, Shaio MF (2002) Glutamine protects activated human T cells from apoptosis by up-regulating glutathione and Bcl-2 levels. Clin Immunol 104(2):151–160

    PubMed  Article  CAS  Google Scholar 

  22. Chang CK, Llanes S, Schumer W (1999) Inhibitory effect of dimethyl sulfoxide on nuclear factor-kappa B activation and intercellular adhesion molecule 1 gene expression in septic rats. J Surg Res 82:294–299

    PubMed  Article  CAS  Google Scholar 

  23. Jobin C, Sartor RB (2000) The I kappa B/NF-kappa B system: a key determinant of mucosal inflammation and protection. Am J Physiol Cell Physiol 278(3):451–462

    Google Scholar 

  24. Schmid RM, Adler G (2000) NF-B/Rel/IkB: Implications in gastrointestinal diseases. Gastroenterology 118:1208–1226

    PubMed  Article  CAS  Google Scholar 

  25. Akdis CA, Blaser K, Akdis M (2004) Apoptosis in tissue inflammation and allergic disease. Curr Opin Immunol 16(6):717–723

    PubMed  Article  CAS  Google Scholar 

  26. Jones BA, Gores GJ (1997) Physiology and pathophysiology of apoptosis in epithelial cells of the liver, pancreas, and intestine. Am J Physiol 273:1174–1188

    Google Scholar 

  27. Potten CS, Booth C (1997) The role of radiation-induced and spontaneous apoptosis in the homeostasis of the gastrointestinal epithelium: a brief review. Biochem Physiol Biochem Mol Biol 118(3):473–478

    Article  CAS  Google Scholar 

  28. Potten CS, Wilson JW, Booth C (1997) Regulation and significance of apoptosis in the stem cells of the gastrointestinal epithelium. Stem Cells 15(2):82–93

    PubMed  CAS  Article  Google Scholar 

  29. Sun F, Hamagawa E, Tsutsui C, Sakaguchi N, Kakuta Y, Tokumaru S, Kojo S (2003) Evaluation of oxidative stress during apoptosis and necrosis caused by D-galactosamine in rat liver. Biochem Pharmacol 65(1):101–107

    PubMed  Article  CAS  Google Scholar 

  30. Lee PP, Pang SF (1993) Melatonin and its receptors in the gastrointestinal tract. Biol Signals 2(4):181–193

    PubMed  Article  CAS  Google Scholar 

  31. Clausrat B, Brun J, Chazot G (2005) The basic physiology and pathophysiology of melatonin. Sleep Med Rev 9(1):11–24

    Article  Google Scholar 

  32. Sileri P, Sica GS, Gentileschi P, Venza M, Benavoli D, Jarzembowski T, Manzelli A, Gaspari AL (2004) Melatonin reduces bacterial translocation after intestinal ischemia-reperfusion injury. Transplant Proc 36(10):2944–2946

    PubMed  Article  CAS  Google Scholar 

  33. Ozacmak VH, Sayan H, Arslan SO, Altaner S, Aktas RG (2005) Protective effect of melatonin on contractile activity and oxidative injury induced by ischemia and reperfusion of rat ileum. Life Sci 18; 76(14):1575–1588

    Article  CAS  Google Scholar 

  34. Bulbuller N, Dogru O, Yekeler H, Cetinkaya Z, Ilhan N, Kirkil C (2005) Effect of melatonin on wound healing in normal and pinealectomized rats. J Surg Res 123(1):3–7

    PubMed  Article  CAS  Google Scholar 

  35. Ates B, Yilmaz I, Geckil H, Iraz M, Birincioglu M, Fiskin K (2004) Protective role of melatonin given either before ischemia or prior to reperfusion on intestinal ischemia-reperfusion damage. J Pineal Res 37(3):149–152

    PubMed  CAS  Article  Google Scholar 

  36. Jahovic N, Sener G, Cevik H, Ersoy Y, Arbak S, Yegen BC (2004) Amelioration of methotrexate-induced enteritis by melatonin in rats. Cell Biochem Funct 22(3):169–178

    Article  Google Scholar 

  37. Sener G, Jahovic N, Tosun O, Atasoy BM, Yegen BC (2003) Melatonin ameliorates ionizing radiation-induced oxidative organ damage in rats. Life Sci 74(5):563–572

    PubMed  Article  CAS  Google Scholar 

Download references

Author information

Affiliations

Authors

Corresponding author

Correspondence to Burcu Tulumoğlu.

Rights and permissions

Reprints and Permissions

About this article

Cite this article

Necefli, A., Tulumoğlu, B., Giriş, M. et al. The Effect of Melatonin on TNBS-Induced Colitis. Dig Dis Sci 51, 1538–1545 (2006). https://doi.org/10.1007/s10620-005-9047-3

Download citation

  • Received:

  • Accepted:

  • Published:

  • Issue Date:

  • DOI: https://doi.org/10.1007/s10620-005-9047-3

Keywords

  • Melatonin
  • 2,4,6-trinitrobenzene sulfonic acid-induced colitis
  • Apoptosis
  • NFκ-B