Skip to main content

Effect of diabetes blood-stasis syndrome and Xuefu Zhuyu decoction on ROS-ERK1/2 signaling pathway in rat retina Müller cells

Abstract

This research aimed to investigate whether diabetic blood-stasis syndrome had a relationship with ROS-ERK1/2 signaling pathway in rat retina Müller cells and explore the effects of traditional Chinese drugs designed for promoting blood circulation to remove blood stasis on diabetic retinopathy (DR) treatment. Immunofluorescence was applied to determine purity of Müller cells. The diabetes was induced in rats by streptozotocin (STZ). Müller cells were stimulated by blood serum obtained from rats with blood-stasis syndrome and then treated by Xuefu Zhuyu decoction. Kits for reactive oxygen species (ROS), superoxide dismutase (SOD) and glutathione (GSH) were used for corresponding detection. Western blot analysis was used to determine the phosphorylation of ERK1/2. The results indicated that stimulation of Müller cells by blood serum of rats with diabetic blood-stasis syndrome increased the expression of ROS, inhibited SOD and GSH, and activated ERK1/2 signaling pathway. Treatment of Xuefu Zhuyu decoction could weaken this phenomenon. What’s more, similar effects of ERK1/2 inhibitor U0126 with Xuefu Zhuyu decoction proved the involvement of ERK1/2 signaling pathway. Therefore, our results suggested that traditional Chinese drugs for promoting blood circulation to remove blood stasis would be an effective therapy to treat DR.

This is a preview of subscription content, access via your institution.

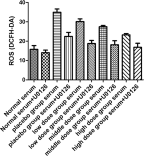
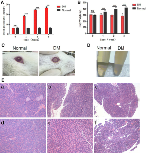
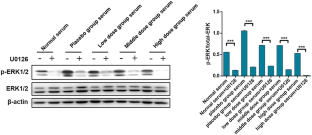
Fig. 1
Fig. 2
Fig. 3
Fig. 4
Fig. 5
Fig. 6

References

  • Ahmad I, Del Debbio CB, Das AV, Parameswaran S (2011) Müller glia: a promising target for therapeutic regeneration. Invest Ophth Vis Sci 52:5758–5764

    CAS  Google Scholar 

  • Antonetti DA, Barber AJ, Bronson SK, Freeman WM, Gardner TW, Jefferson LS, Kester M, Kimball SR, Krady JK, LaNoue KF, Norbury CC, Quinn PG, Sandirasegarane L, Simpson IA (2006) Diabetic retinopathy: seeing beyond glucose-induced microvascular disease. Diabetes 55:2401–2411

    CAS  PubMed  Google Scholar 

  • Barber A, Antonetti DT (2000) Altered expression of retinal occludin and glial fibrillary acidic protein in experimental diabetes. The Penn State Retina Research Group. Invest Ophth Vis Sci 41:3561–3568

    CAS  Google Scholar 

  • Baynes JW (1991) Role of oxidative stress in development of complications in diabetes. Diabetes 40:405–412

    CAS  PubMed  Google Scholar 

  • Boldt S, Weidle UH, Kolch W (2002) The role of MAPK pathways in the action of chemotherapeutic drugs. Carcinogenesis 23:1831–1838

    CAS  PubMed  Google Scholar 

  • Brownlee M (2005) The pathobiology of diabetic complications: a unifying mechanism. Diabetes 54:1615–1625

    CAS  PubMed  Google Scholar 

  • Cai X, Li J, Wang M, She M, Tang Y, Li J, Li H, Hui H (2017) GLP-1 treatment improves diabetic retinopathy by alleviating autophagy through GLP-1R-ERK1/2-HDAC6 signaling pathway. Int J Med Sci 14:1203–1212

    CAS  PubMed  PubMed Central  Google Scholar 

  • Calcutt NA, Cooper ME, Kern TS, Schmidt AM (2009) Therapies for hyperglycaemia-induced diabetic complications: from animal models to clinical trials. Nat Rev Drug Discov 8:417–429

    CAS  PubMed  PubMed Central  Google Scholar 

  • Chen KJ (2012) Blood stasis syndrome and its treatment with activating blood circulation to remove blood stasis therapy. Chin J Integr Med 18:891–896

    PubMed  Google Scholar 

  • Chen Q, Olashaw N, Wu J (1995) Participation of reactive oxygen species in the lysophosphatidic acid-stimulated mitogen-activated protein kinase kinase activation pathway. J Biol Chem 270:28499–28502

    CAS  PubMed  Google Scholar 

  • Chen KJ, Shi DZ, Fu CG, Gao ZY, Xu H, Lv SZ, You SJ, Huang L (2016) Diagnostic criterion of blood stasis syndrome for coronary heart disease: activating Blood Circulation Committee of Chinese Association of Integrative Medicine. Chin J Integr Med 22:803–804

    PubMed  Google Scholar 

  • Ding H, Hashem M, Triggle C (2007) Increased oxidative stress in the streptozotocin-induced diabetic apoE-deficient mouse: changes in expression of NADPH oxidase subunits and eNOS. Eur J Pharmacol 561:121–128

    CAS  PubMed  Google Scholar 

  • Fang D, Wan X, Deng W, Guan H, Ke W, Xiao H, Li Y (2012) Fufang Xue Shuan Tong capsules inhibit renal oxidative stress markers and indices of nephropathy in diabetic rats. Exp Ther Med 4:871–876

    PubMed  PubMed Central  Google Scholar 

  • Gabryel B, Pudelko A, Adamczyk J, Fischer I, Malecki A (2006) Calcineurin and Erk1/2-signaling pathways are involved in the antiapoptotic effect of cyclosporin A on astrocytes exposed to simulated ischemia in vitro. Naunyn Schmiedebergs Arch Pharmacol 374:127–139

    CAS  PubMed  Google Scholar 

  • Gao L, Mann GE (2009) Vascular NAD(P)H oxidase activation in diabetes: a double-edged sword in redox signalling. Cardiovasc Res 82:9–20

    CAS  PubMed  Google Scholar 

  • Gerhardinger C, Costa MB, Coulombe MC, Toth I, Hoehn T, Grosu P (2005) Expression of acute-phase response proteins in retinal Müller cells in diabetes. Invest Ophthalmol Vis Sci 46:349–357

    PubMed  Google Scholar 

  • Guyton KZ, Liu Y, Gorospe M, Xu Q, Holbrook NJ (1996) Activation of mitogen-activated protein kinase by H2O2. Role in cell survival following oxidant injury. J Biol Chem 271:4138–4142

    CAS  PubMed  Google Scholar 

  • Hans-Peter H, Feng Y, Frederick P, Michael B (2011) Diabetic retinopathy: targeting vasoregression. Diabetes 60:9–16

    Google Scholar 

  • Hernández C, Simóservat A, Bogdanov P, Simó R (2017) Diabetic retinopathy: new therapeutic perspectives based on pathogenic mechanisms. J Endocrinol Invest 40:1–11

    Google Scholar 

  • Hossain A, Heron D, Davenport I, Huckaba T, Graves R, Mandal T, Muniruzzaman S, Wang S, Bhattacharjee PS (2016) Protective effects of bestatin in the retina of streptozotocin-induced diabetic mice. Exp Eye Res 149:100–106

    CAS  PubMed  PubMed Central  Google Scholar 

  • Johansen JS, Harris AK, Rychly DJ, Ergul A (2005) Oxidative stress and the use of antioxidants in diabetes: linking basic science to clinical practice. Cardiovasc Diabetol 4:5

    PubMed  PubMed Central  Google Scholar 

  • Klein R, Klein BEK, Moss SE, Davis MD, Demets DL (1984) The Wisconsin epidemiologic study of diabetic retinopathy: II. Prevalence and risk of diabetic retinopathy when age at diagnosis is less than 30 years. Arch Ophthalmol 102:520–526

    CAS  PubMed  Google Scholar 

  • Kowluru RA, Chan PS (2007) Oxidative stress and diabetic retinopathy. Exp Diabetes Res 2007:43603

    PubMed  PubMed Central  Google Scholar 

  • Kowluru RA, Engerman RL, Case GL, Kern TS (2001) Retinal glutamate in diabetes and effect of antioxidants. Neurochem Int 38:385–390

    CAS  PubMed  Google Scholar 

  • Kumari S, Panda S, Mangaraj M, Mandal MK, Mahapatra PC (2008) Plasma MDA and antioxidant vitamins in diabetic retinopathy. Indian J Clin Biochem 23:158–162

    CAS  PubMed  PubMed Central  Google Scholar 

  • Kuo CW, Shen CJ, Tung YT, Chen HL, Chen YH, Chang WH, Cheng KC, Yang SH, Chen CM (2015) Extracellular superoxide dismutase ameliorates streptozotocin-induced rat diabetic nephropathy via inhibiting the ROS/ERK1/2 signaling. Life Sci 135:77–86

    CAS  PubMed  Google Scholar 

  • Lander HM (1997) An essential role for free radicals and derived species in signal transduction. FASEB J 11:118–124

    CAS  PubMed  Google Scholar 

  • Lee HB, Yu MR, Yang Y, Jiang Z, Ha H (2003) Reactive oxygen species-regulated signaling pathways in diabetic nephropathy. J Am Soc Nephrol 14:241–245

    Google Scholar 

  • Liao J, Liu Y, Jie W (2016) Erratum to: identification of more objective biomarkers for blood-stasis syndrome diagnosis. BMC Complement Altern Med 16:371

    PubMed  PubMed Central  Google Scholar 

  • Luo DW, Zheng Z, Wang H, Fan Y, Chen F, Sun Y, Wang WJ, Sun T, Xu X (2015) UPP mediated diabetic retinopathy via ROS/PARP and NF-κB inflammatory factor pathways. Curr Mol Med 15:790–799

    CAS  PubMed  Google Scholar 

  • Mizutani M, Gerhardinger C, Lorenzi M (1998) Müller cell changes in human diabetic retinopathy. Diabetes 47:445

    CAS  PubMed  Google Scholar 

  • Musiolik J, Van CP, Skyschally A, Boengler K, Gres P, Schulz R et al (2010) Reduction of infarct size by gentle reperfusion without activation of reperfusion injury salvage kinases in pigs. Cardiovasc Res 85:110–117

    CAS  PubMed  Google Scholar 

  • Pei R, Gao H (2015) Clinical effects and hs-CRP, VEGF and IGF-1 levels of Xueshuantong capsule combined with calcium dobesilate in treatment of early diabetic retinopathy. Modern J Integr Tradit Chin Western Med 24:3896–3907

    Google Scholar 

  • Shi X, Zhu H, Zhang Y, Zhou M, Tang D, Zhang H (2017) XuefuZhuyu decoction protected cardiomyocytes against hypoxia/reoxygenation injury by inhibiting autophagy. BMC Complem Altern Med 17:325

    Google Scholar 

  • Simó R, Hernández C (2014) Neurodegeneration in the diabetic eye: new insights and therapeutic perspectives. Trends Endocrinol Metab 25:23–33

    PubMed  Google Scholar 

  • Stewart MW (2017) A review of ranibizumab for the treatment of diabetic retinopathy. Ophthalmol Ther 6:33–47

    PubMed  PubMed Central  Google Scholar 

  • Takahashi N, Saito Y, Kuwahara K, Harada M, Tanimoto K, Nakagawa Y, Kawakami R, Nakanishi M, Yasuno S, Usami S, Yoshimura A, Nakao K (2005) Hypertrophic responses to cardiotrophin-1 are not mediated by STAT3, but via a MEK5-ERK5 pathway in cultured cardiomyocytes. J Mol Cell Cardiol 38:185–192

    CAS  PubMed  Google Scholar 

  • Tien T, Zhang J, Muto T, Kim D, Sarthy VP, Roy S (2017) High glucose induces mitochondrial dysfunction in retinal müller cells: implications for diabetic retinopathy. Invest Ophth Vis Sci 58:2915–2921

    CAS  Google Scholar 

  • Valverde AM, Soledad M, Marta GR, Águeda GR, Cristina H, Rafael S (2013) Proapoptotic and survival signaling in the neuroretina at early stages of diabetic retinopathy. Mol Vis 19:47–53

    CAS  PubMed  PubMed Central  Google Scholar 

  • van Dijk HW, Verbraak FD, Kok PH, Stehouwer M, Garvin MK, Sonka M, DeVries JH, Schlingemann RO, Abràmoff MD (2012) Early neurodegeneration in the retina of type 2 diabetic patients. Invest Ophthalmol Vis Sci 53:2715–2719

    PubMed  PubMed Central  Google Scholar 

  • Wang Y, Chun LI, Wen-Jing C, Guo SZ, Wang W (2011) Experimental study on role of AngII-NADPH oxidase-ROS pathway in syndrome of blood stasis based on chronic myocardial ischemia model. China J Tradit Chin Med Pharm 26:2265–2268

    CAS  Google Scholar 

  • Xing Z, Xia Z, Peng W, Li J, Zhang C, Fu C, Tao T, Luo J, Yong Z, Rong F (2016) Xuefu Zhuyu decoction, a traditional Chinese medicine, provides neuroprotection in a rat model of traumatic brain injury via an anti-inflammatory pathway. Sci Rep 6:20040

    CAS  PubMed  PubMed Central  Google Scholar 

  • Yang MM, Wang J (2011) Preventive and therapeutic effect of Salvia miltiorrhiza for diabetic retinopathy. J Harbin Med Univ 45:553–555

    CAS  Google Scholar 

  • Ye X, Ren H, Zhang M, Sun Z, Jiang AC, Xu G (2012) ERK1/2 signaling pathway in the release of VEGF from Müller cells in diabetes. Invest Ophthalmol Vis Sci 53:3481–3489

    CAS  PubMed  Google Scholar 

  • Yin DH, Liang XC, Piao YL (2009) Analysis of chinese medicine syndrome pattern in patients with type 2 diabetes mellitus and its relationship with diabetic chronic complications. Chin J Integr Tradit Western Med 29:506–510

    CAS  Google Scholar 

  • Yue SJ, Xin LT, Fan YC, Li SJ, Tang YP, Duan JA, Guan HS, Wang CY (2017) Herb pair Danggui-Honghua: mechanisms underlying blood stasis syndrome by system pharmacology approach. Sci Rep 7:40318

    CAS  PubMed  PubMed Central  Google Scholar 

  • Zhao H, Chen J, Shi Q, Ma X, Yang Y, Luo L, Guo S, Wang Y, Han J, Wang W (2012) Metabolomics-based study of clinical and animal plasma samples in coronary heart disease with blood stasis syndrome. Evid Based Compl Alt 2012:638723

    Google Scholar 

  • Zhou YN, Sun MY, Mu YP, Yang T, Ning BB, Ren S, Chen JM, Liu P (2014) Xuefuzhuyu decoction inhibition of angiogenesis attenuates liver fibrosis induced by CCl4 in mice. J Ethnopharmacol 153:659–666

    PubMed  Google Scholar 

Download references

Acknowledgements

This study was supported by National Natural Science Foundation of China (Grant Number 81403245) and Bethune·Lumitin Research Funding for the young and middle-aged Ophthalmologists (Grant Number BJ-LM2017007J).

Author information

Affiliations

Authors

Corresponding author

Correspondence to Xiaofeng Ye.

Ethics declarations

Conflict of interest

The authors declare no conflict of interest.

Additional information

Publisher's Note

Springer Nature remains neutral with regard to jurisdictional claims in published maps and institutional affiliations.

Rights and permissions

Reprints and Permissions

About this article

Verify currency and authenticity via CrossMark

Cite this article

Ye, X., Ren, H., Jiang, T. et al. Effect of diabetes blood-stasis syndrome and Xuefu Zhuyu decoction on ROS-ERK1/2 signaling pathway in rat retina Müller cells. Cytotechnology 72, 303–314 (2020). https://doi.org/10.1007/s10616-020-00379-7

Download citation

  • Received:

  • Accepted:

  • Published:

  • Issue Date:

  • DOI: https://doi.org/10.1007/s10616-020-00379-7

Keywords

  • Diabetic retinopathy
  • Blood-stasis syndrome
  • Reactive oxygen species
  • ERK1/2 signaling pathway
  • Müller cells