Skip to main content

Diabetes-associated angiotensin activation enhances liver metastasis of colon cancer

Abstract

We examined the effects of hyperglycemic conditions on liver metastasis of colorectal cancer (CRC). Angiotensin (A)-II increased growth, invasion, and anti-apoptotic survival in HT29 and CT26 cells. In contrast, angiotensinogen (ATG) increased these features in HT29 cells but not in CT26 cells. HT29 cells expressed A-II type 1 receptor, chymase, and rennin, whereas CT26 cells did not express renin. Renin expression and ATG-induced cell growth, invasion, and survival induced and increased as glucose concentration increased in HT29 cells and also CT26 cells. An inhibitor of renin or chymase abrogated A-II production in HT29 cells. Reduction of hepatic ATG production by cholesterol-conjugated antisense S-oligodeoxynucleotide suppressed liver metastasis of HT29 cells. An examination of 121 CRC patients showed that diabetes in CRC cases was associated with higher blood HbA1c, higher renin and A-II concentrations in the primary tumors, and higher incidence of liver metastasis than in nondiabetic cases. These results suggest that diabetes-associated angiotensin activation enhances liver metastasis of CRC and may therefore provide a possible target for antimetastatic therapy in CRC.

This is a preview of subscription content, access via your institution.

Fig. 1
Fig. 2
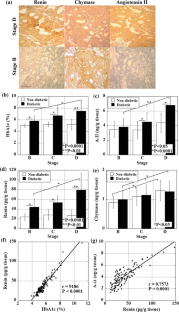
Fig. 3
Fig. 4
Fig. 5
Fig. 6
Fig. 7

Abbreviations

CRC:

Colorectal cancer

ATG:

Angiotensinogen

A-I:

Angiotensin I

A-II:

Angiotensin II

ATR-1:

Angiotensin II type 1 receptor

ACE:

Angiotensin converting enzyme

MAPK:

Mitogen-activated protein kinase

ODN:

Oligodeoxynucleotide

ARB:

Angiotensin II type 1 receptor blocker

References

  1. Cancer Statistics in Japan Editorial Board (ed) (2008) Cancer Statistics in Japan, 2008. National Cancer Center, Tokyo

    Google Scholar 

  2. Fujimoto Y, Nakanishi Y, Sekine S, Yoshimura K, Akasu T, Moriya Y, Shimoda T (2005) CD10 expression in colorectal carcinoma correlates with liver metastasis. Dis Colon Rectum 48:1883–1889

    PubMed  Article  Google Scholar 

  3. Fong Y, Kemeny N, Paty P, Blumgart LH, Cohen AM (1996) Treatment of colorectal cancer: hepatic metastasis. Semin Surg Oncol 12:219–252

    PubMed  Article  CAS  Google Scholar 

  4. Escobar E, Rodriguez-Reyna TS, Arrieta O, Sotelo J (2004) Angiotensin II, cell proliferation and angiogenesis regulator: biologic and therapeutic implications in cancer. Curr Vasc Pharmacol 2:385–399

    PubMed  Article  CAS  Google Scholar 

  5. Wu XZ (2008) New strategy of antiangiogenic therapy for hepatocellular carcinoma. Neoplasma 55:472–481

    PubMed  CAS  Google Scholar 

  6. Grossman E, Messerli FH, Goldbourt U (2002) Carcinogenicity of antihypertensive therapy. Curr Hypertens Rep 4:195–201

    PubMed  Article  Google Scholar 

  7. Attoub S, Gaben AM, Al-Salam S, Al Sultan MA, John A, Nicholls MG, Mester J, Petroianu G (2008) Captopril as a potential inhibitor of lung tumor growth and metastasis. Ann N Y Acad Sci 1138:65–72

    PubMed  Article  CAS  Google Scholar 

  8. Deshayes F, Nahmias C (2005) Angiotensin receptors: a new role in cancer? Trends Endocrinol Metab 16:203–299

    Google Scholar 

  9. Fyhrquist F, Saijonmaa O (2008) Renin-angiotensin system revisited. J Intern Med 264:224–236

    PubMed  Article  CAS  Google Scholar 

  10. Nicolucci A (2010) Epidemiological aspects of neoplasms in diabetes. Acta Diabetol 47:87–95

    PubMed  Article  Google Scholar 

  11. Larsson SC, Orsini N, Wolk A (2005) Diabetes mellitus and risk of colorectal cancer: a meta-analysis. J Natl Cancer Inst 97:1679–1687

    PubMed  Article  Google Scholar 

  12. Saydah SH, Platz EA, Rifai N, Pollak MN, Brancati FL, Helzlsouer KJ (2003) Association of markers of insulin and glucose control with subsequent colorectal cancer risk. Cancer Epidemiol Biomarkers Prev 12:412–418

    PubMed  CAS  Google Scholar 

  13. Pais R, Silaghi H, Silaghi AC, Rusu ML, Dumitrascu DL (2009) Metabolic syndrome and risk of subsequent colorectal cancer. World J Gastroenterol 15:5141–5148

    PubMed  Article  CAS  Google Scholar 

  14. Giovannucci E (2007) Metabolic syndrome, hyperinsulinemia, and colon cancer: a review. Am J Clin Nutr 86:s836–s842

    PubMed  Google Scholar 

  15. Kuniyasu H, Yasui W, Shinohara H, Yano S, Ellis LM, Wilson MR, Bucana CD, Rikita T, Tahara E, Fidler IJ (2000) Induction of angiogenesis by hyperplastic colonic mucosa adjacent to colon cancer. Am J Pathol 157:1523–1535

    PubMed  Article  CAS  Google Scholar 

  16. Kuniyasu H, Oue N, Wakikawa A, Shigeishi H, Matsutani N, Kuraoka K, Ito R, Yokozaki H, Yasui W (2002) Expression of receptors for advanced glycation end-products (RAGE) is closely associated with the invasive and metastatic activity of gastric cancer. J Pathol 196:163–170

    PubMed  Article  CAS  Google Scholar 

  17. Kuniyasu H, Yano S, Sasaki T, Sasahira T, Sone S, Ohmori H (2005) Colon cancer cell-derived high mobility group 1/amphoterin induces growth inhibition and apoptosis in macrophages. Am J Pathol 166:751–760

    PubMed  Article  CAS  Google Scholar 

  18. Kuniyasu H, Luo Y, Fujii K, Sasahira T, Moriwaka Y, Tatsumoto N, Sasaki T, Yamashita Y, Ohmori H (2010) CD10 enhances metastasis of colorectal cancer by abrogating the anti-tumoural effect of methionine-enkephalin in the liver. Gut 59:348–356

    PubMed  Article  CAS  Google Scholar 

  19. Committee of Japan Diabetes Society (1999) Report of the committee of Japan Diabetes Society on the classification and diagnostic criteria of diabetes mellitus. J Japan Diab Soc 42:385–404

    Google Scholar 

  20. Kumar R, Singh VP, Baker KM (2008) The intracellular renin-angiotensin system: implications in cardiovascular remodeling. Curr Opin Nephrol Hypertens 17:168–173

    PubMed  Article  CAS  Google Scholar 

  21. Singh VP, Baker KM, Kumar R (2008) Activation of the intracellular renin-angiotensin system in cardiac fibroblasts by high glucose: role in extracellular matrix production. Am J Physiol Heart Circ Physiol 294:H1675–H1684

    PubMed  Article  CAS  Google Scholar 

  22. Belova LA (2000) Angiotensin II-generating enzymes. Biochemistry (Mosc) 65:1337–1345

    Article  CAS  Google Scholar 

  23. Nishimura H, Hoffmann S, Baltatu O, Sugimura K, Ganten D, Urata H (1996) Angiotensin I converting enzyme and chymase in cardiovascular tissues. Kidney Int Suppl 55:S18–S23

    PubMed  CAS  Google Scholar 

  24. Kondo K, Muramatsu M, Okamoto Y, Jin D, Takai S, Tanigawa N, Miyazaki M (2006) Expression of chymase-positive cells in gastric cancer and its correlation with the angiogenesis. J Surg Oncol 93:36–42 discussion 42-33

    PubMed  Article  CAS  Google Scholar 

  25. Ribatti D, Guidolin D, Marzullo A, Nico B, Annese T, Benagiano V, Crivellato E (2010) Mast cells and angiogenesis in gastric carcinoma. Int J Exp Pathol 91:350–356

    PubMed  Article  CAS  Google Scholar 

  26. Dzau VJ (1987) Implications of local angiotensin production in cardiovascular physiology and pharmacology. Am J Cardiol 59:59A–65A

    PubMed  Article  CAS  Google Scholar 

  27. Nakai Y, Isayama H, Ijichi H, Sasaki T, Sasahira N, Hirano K, Kogure H, Kawakubo K, Yagioka H, Yashima Y, Mizuno S, Yamamoto K, Arizumi T, Togawa O, Matsubara S, Tsujino T, Tateishi K, Tada M, Omata M, Koike K (2010) Inhibition of renin-angiotensin system affects prognosis of advanced pancreatic cancer receiving gemcitabine. Br J Cancer 103:1644–1648

    PubMed  Article  CAS  Google Scholar 

  28. Miyajima A, Kikuchi E, Kosaka T, Oya M (2009) Angiotensin II type 1 receptor antagonist as an angiogenic inhibitor in urogenital cancer. Rev Recent Clin Trials 4:75–78

    PubMed  Article  CAS  Google Scholar 

Download references

Acknowledgments

This work was supported in part by a Grant-in-Aid for Scientific Research from Japan Society for the Promotion of Science, Japan.

Author information

Affiliations

Authors

Corresponding author

Correspondence to Hiroki Kuniyasu.

Rights and permissions

Reprints and Permissions

About this article

Cite this article

Shimomoto, T., Ohmori, H., Luo, Y. et al. Diabetes-associated angiotensin activation enhances liver metastasis of colon cancer. Clin Exp Metastasis 29, 915–925 (2012). https://doi.org/10.1007/s10585-012-9480-6

Download citation

  • Received:

  • Accepted:

  • Published:

  • Issue Date:

  • DOI: https://doi.org/10.1007/s10585-012-9480-6

Keywords

  • Angiotensin
  • Angiotensinogen
  • Renin
  • Chymase
  • Colorectal cancer
  • Liver metastasis