Skip to main content

Lymphangiogenesis induced by VEGF-C and VEGF-D promotes metastasis and a poor outcome in breast carcinoma: a retrospective study of 61 cases

Abstract

Purpose To evaluate lymphangiogenesis in patients with breast carcinoma, explore the underlying mechanism, and study the relationship between lymphangiogenesis and progression of breast carcinoma. Methods Sixty-one cases of breast carcinoma with complete clinical and pathological data were analyzed. Using an anti-podoplanin monoclonal antibody, an immunohistochemical study was made of all specimens to detect lymphatic vessel density (LVD) and to investigate its clinicopathological and prognostic value. VEGF-C and VEGF-D were observed by RT-PCR and immunostaining to investigate their clinicopathological and prognostic values and their relationship with lymphangiogenesis. Results LVD in breast carcinoma (6.28 ± 3.73) was significantly higher than in benign mammary lesions (0.50 ± 1.27), P < 0.01 and was significantly associated with lymphatic metastasis and high TNM stage, P < 0.01. The level of VEGF-C and VEGF-D expression was also significantly higher in breast carcinomas than in benign mammary lesions, P < 0.01. LVD increased significantly with higher expression of VEGF-C and VEGF-D, P < 0.01. Patients with high expression of VEGF-C and VEGF-D were observed to be more likely to have a bad outcome, P < 0.05. Conclusions Lymphangiogenesis was significantly associated with lymph node metastasis, high TNM, and poor outcome in breast carcinoma. LVD may serve as a predictor of lymph node metastasis and a prognostic factor in breast carcinoma. VEGF-C and VEGF-D play an important role in lymphangiogenesis making the carcinoma more aggressive and leading to a poor prognosis.

This is a preview of subscription content, access via your institution.

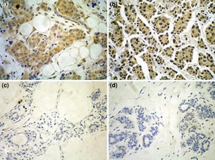
Fig. 1
Fig. 2
Fig. 3
Fig. 4
Fig. 5
Fig. 6

References

  1. Stewart B, Kleihues P (2003) International agency on research for cancer. In: World Health Organization. World Cancer Report. IARC Press, Lyon, pp 188–190

  2. Cowin P, Welch DR (2007) Breast cancer progression: controversies and consensus in the molecular mechanisms of metastasis and EMT. J Mammary Gland Biol Neoplasia 12:99–102. doi:10.1007/s10911-007-9041-9

    PubMed  Article  Google Scholar 

  3. Zheng Y, Li DL, Xiang YM et al (2001) The status and trend of breast cancer incidence in Shanghai. J Surg Concepts Pract 6:219–221

    Google Scholar 

  4. Ji RC (2006) Lymphatic endothelial cells, tumor lymphangiogenesis and metastasis: new insights into intratumoral and peritumoral lymphatics. Cancer Metastasis Rev 25:677–694. doi:10.1007/s10555-006-9026-y

    PubMed  Article  Google Scholar 

  5. Swartz MA, Skobe M (2001) Lymphatic function, lymphangiogenesis, and cancer metastasis. Microsc Res Tech 55:92–99. doi:10.1002/jemt.1160

    PubMed  Article  CAS  Google Scholar 

  6. Breiteneder-Geleff S, Matsui K, Soleiman A et al (1997) Podoplanin, novel 43-kd membrane protein of glomerular epithelial cells, is down-regulated in puromycin nephrosis. Am J Pathol 151:1141–1152

    PubMed  CAS  Google Scholar 

  7. Birner P, Schindl M, Obermair A et al (2001) Lymphatic microvessel density as a novel prognostic factor in early-stage invasive cervical cancer. Int J Cancer 95:29–33. doi:10.1002/1097-0215(20010120)95:1≤29::AID-IJC1005≥3.0.CO;2-W

    PubMed  Article  CAS  Google Scholar 

  8. Kurahara H, Takao S, Maemura K et al (2004) Impact of vascular endothelial growth factor-C and -D expression in human pancreatic cancer: its relationship to lymph node metastasis. Clin Cancer Res 10:8413–8420. doi:10.1158/1078-0432.CCR-04-0379

    PubMed  Article  CAS  Google Scholar 

  9. Pepper MS (2000) Lymphangiogenesis and tumor metastasis more questions than answers. Lymphology 33:144–147

    PubMed  CAS  Google Scholar 

  10. Pepper MS (2001) Lymphangiogenesis and tumor metastasis: myth or reality? Clin Cancer Res 7:462–468

    PubMed  CAS  Google Scholar 

  11. Schoppmann SF, Birner P, Studer P et al (2001) Lymphatic microvessel density and lymphovascular invasion assessed by anti-podoplanin immunostaining in human breast cancer. Anticancer Res 21:2351–2355

    PubMed  CAS  Google Scholar 

  12. Kato S, Shimoda H, Ji RC et al (2006) Lymphangiogenesis and expression of specific molecules as lymphatic endothelial cell markers. Anat Sci Int 81:71–83. doi:10.1111/j.1447-073X.2006.00142.x

    PubMed  Article  Google Scholar 

  13. Breiteneder-Geleff S, Soleiman A, Kowalski H et al (1999) Angiosarcomas express mixed endothelial phenotypes of blood and lymphatic capillaries: podoplanin as a specific marker for lymphatic endothelium. Am J Pathol 154:385–394

    PubMed  CAS  Google Scholar 

  14. Birner P, Schindl M, Obermair A et al (2000) Lymphatic microvessel density in epithelial ovarian cancer: its impact on prognosis. Anticancer Res 20:2981–2985

    PubMed  CAS  Google Scholar 

  15. Birner P, Schindl M, Obermair A et al (2001) Lymphatic microvessel density as a novel prognostic factor in early-stage invasive cervical cancer. Int J Cancer 95:29–33. doi:10.1002/1097-0215(20010120)95:1≤29::AID-IJC1005≥3.0.CO;2-W

    PubMed  Article  CAS  Google Scholar 

  16. Yuan P, Temam S, El-Naggar A et al (2006) Overexpression of podoplanin in oral cancer and its association with poor clinical outcome. Cancer 107:563–569. doi:10.1002/cncr.22061

    PubMed  Article  CAS  Google Scholar 

  17. Kato Y, Kaneko MK, Kunita A et al (2008) Molecular analysis of the pathophysiological binding of the platelet aggregation-inducing factor podoplanin to the C-type lectin-like receptor CLEC-2. Cancer Sci 99:54–61

    PubMed  CAS  Google Scholar 

  18. Martín-Villar E, Megías D, Castel S et al (2006) Podoplanin binds ERM proteins to activate RhoA and promote epithelial-mesenchymal transition. J Cell Sci 119:4541–4553. doi:10.1242/jcs.03218

    PubMed  Article  Google Scholar 

  19. Wicki A, Lehembre F, Wick N et al (2006) Tumor invasion in the absence of epithelial-mesenchymal transition: podoplanin-mediated remodeling of the actin cytoskeleton. Cancer Cell 9:261–272. doi:10.1016/j.ccr.2006.03.010

    PubMed  Article  CAS  Google Scholar 

  20. Renyi-Vamos F, Tovari J, Fillinger J et al (2005) Lymphangiogenesis correlates with lymph node metastasis, prognosis, and angiogenic phenotype in human non-small cell lung cancer. Clin Cancer Res 11:7344–7353. doi:10.1158/1078-0432.CCR-05-1077

    PubMed  Article  CAS  Google Scholar 

  21. Matsumoto K, Nakayama Y, Inoue Y et al (2007) Lymphatic microvessel density is an independent prognostic factor in colorectal cancer. Dis Colon Rectum 50:308–314. doi:10.1007/s10350-006-0792-y

    PubMed  Article  Google Scholar 

  22. Sedivy R, Beck-Mannagetta J, Haverkampf C et al (2003) Expression of vascular endothelial growth factor-C correlates with the lymphatic microvessel density and the nodal status in oral squamous cell cancer. J Oral Pathol Med 32:455–460. doi:10.1034/j.1600-0714.2003.00168.x

    PubMed  Article  CAS  Google Scholar 

  23. Zeng Y, Opeskin K, Horvath LG et al (2005) Lymphatic vessel density and lymph node metastasis in prostate cancer. Prostate 65:222–230. doi:10.1002/pros.20288

    PubMed  Article  CAS  Google Scholar 

  24. Kimura N, Kimura I (2005) Podoplanin as a marker for mesothelioma. Pathol Int 55:83–86. doi:10.1111/j.1440-1827.2005.01791.x

    PubMed  Article  CAS  Google Scholar 

  25. Wissmann C, Detmar M (2006) Pathways targeting tumor lymphangiogenesis. Clin Cancer Res 12:6865–6868. doi:10.1158/1078-0432.CCR-06-1800

    PubMed  Article  CAS  Google Scholar 

  26. Skobe M, Hawighorst T, Jackson DG et al (2001) Induction of tumor lymphangiogenesis by VEGF-C promotes breast cancer metastasis. Nat Med 7:192–198. doi:10.1038/84643

    PubMed  Article  CAS  Google Scholar 

  27. Mandriota SJ, Jussila L, Jeltsch M et al (2001) Vascular endothelial growth factor-C-mediated lymphangiogenesis promotes tumor metastasis. EMBO J 20:672–682. doi:10.1093/emboj/20.4.672

    PubMed  Article  CAS  Google Scholar 

  28. Nakazato T, Shingaki S, Kitamura N et al (2006) Expression level of vascular endothelial growth factor-C and -A in cultured human oral squamous cell carcinoma correlates respectively with lymphatic metastasis and angiogenesis when transplanted into nude mouse oral cavity. Oncol Rep 15:825–830

    PubMed  CAS  Google Scholar 

  29. Schietroma C, Cianfarani F, Lacal PM et al (2003) Vascular endothelial growth factor-C expression correlates with lymph node localization of human melanoma metastases. Cancer 98:789–797. doi:10.1002/cncr.11583

    PubMed  Article  CAS  Google Scholar 

  30. Stacker SA, Caesar C, Baldwin ME et al (2001) VEGF-D promotes the metastatic spread of tumor cells via the lymphatics. Nat Med 7:186–191. doi:10.1038/84635

    PubMed  Article  CAS  Google Scholar 

  31. Mohammed RAA, Green A, El-Shikh S et al (2007) Prognostic significance of vascular endothelial cell growth factors-A, -C and -D in breast cancer and their relationship with angio- and lymphangiogenesis. Br J Cancer 96:1092–1100. doi:10.1038/sj.bjc.6603678

    PubMed  Article  CAS  Google Scholar 

  32. Mylona E, Alexandrou P, Mpakali A et al (2007) Clinicopathological and prognostic significance of vascular endothelial growth factors (VEGF)-C and -D and VEGF receptor 3 in invasive breast carcinoma. Eur J Surg Oncol 33:294–300. doi:10.1016/j.ejso.2006.10.015

    PubMed  Article  CAS  Google Scholar 

  33. Yonemura Y, Fushida S, Bando E et al (2001) Lymphangiogenesis and the vascular endothelial growth factor receptor (VEGFR)-3 in gastric cancer. Eur J Cancer 37:918–923. doi:10.1016/S0959-8049(01)00015-6

    PubMed  Article  CAS  Google Scholar 

  34. Al-Rawi MA, Mansel RE, Jiang WG (2005) Molecular and cellular mechanisms of lymphangiogenesis. Eur J Surg Oncol 31:117–121. doi:10.1016/j.ejso.2004.08.015

    PubMed  Article  CAS  Google Scholar 

  35. Li YS, Kaneko M, Amatya VJ et al (2006) Expression of vascular endothelial growth factor-C and its receptor in invasive micropapillary carcinoma of the breast. Pathol Int 56:256–261. doi:10.1111/j.1440-1827.2006.01961.x

    PubMed  Article  CAS  Google Scholar 

  36. Swartz MA, Skobe M (2001) Lymphatic function, lymphangiogenesis, and cancer metastasis. Microsc Res Tech 55:92–99. doi:10.1002/jemt.1160

    PubMed  Article  CAS  Google Scholar 

  37. Von Marschall Z, Scholz A, Stacker SA et al (2005) Vascular endothelial growth factor-D induces lymphangiogenesis and lymphatic metastasis in models of ductal pancreatic cancer. Int J Oncol 27:669–679

    Google Scholar 

  38. Yonemura Y, Endo Y, Tabata K et al (2005) Role of VEGF-C and VEGF-D in lymphangiogenesis in gastric cancer. Int J Clin Oncol 10:318–327. doi:10.1007/s10147-005-0508-7

    PubMed  Article  CAS  Google Scholar 

  39. Yasuoka H, Nakamura Y, Zuo H et al (2005) VEGF-D expression and lymph vessels play an important role for lymph node metastasis in papillary thyroid carcinoma. Mod Pathol 18:1127–1133. doi:10.1038/modpathol.3800402

    PubMed  Article  CAS  Google Scholar 

  40. Juttner S, Wissmann C, Jons T et al (2006) Vascular endothelial growth factor-D and its receptor VEGFR-3: two novel independent prognostic markers in gastric adenocarcinoma. J Clin Oncol 24:228–240. doi:10.1200/JCO.2004.00.3467

    PubMed  Article  Google Scholar 

  41. Onogawa S, Kitadai Y, Amioka T et al (2005) Expression of vascular endothelial growth factor (VEGF)-C and VEGF-D in early gastric carcinoma: correlation with clinicopathological parameters. Cancer Lett 226:85–90. doi:10.1016/j.canlet.2004.12.030

    PubMed  Article  CAS  Google Scholar 

Download references

Acknowledgements

We thank Dr. Yalei Dai for her kind technical help. This study was supported by the Dengshan Key Project of the Science Foundation of Shanghai Municipal Commission of Science and Technology, No. 06DZ19506.

Author information

Affiliations

Authors

Corresponding author

Correspondence to Yan Gu.

Rights and permissions

Reprints and Permissions

About this article

Cite this article

Gu, Y., Qi, X. & Guo, S. Lymphangiogenesis induced by VEGF-C and VEGF-D promotes metastasis and a poor outcome in breast carcinoma: a retrospective study of 61 cases. Clin Exp Metastasis 25, 717–725 (2008). https://doi.org/10.1007/s10585-008-9180-4

Download citation

  • Received:

  • Accepted:

  • Published:

  • Issue Date:

  • DOI: https://doi.org/10.1007/s10585-008-9180-4

Keywords

  • Breast neoplasms
  • Neoplasm metastasis
  • Lymphangiogenesis
  • VEGF-C
  • VEGF-D