Skip to main content

Nested Ty3-gypsy retrotransposons of a single Beta procumbens centromere contain a putative chromodomain

Abstract

LTR retrotransposons belong to a major group of DNA sequences that are often localized in plant centromeres. Using BAC inserts originating from the centromere of a monosomic wild beet (Beta procumbens) chromosome fragment in Beta vulgaris, two complete LTR retrotransposons were identified. Both elements, designated Beetle1 and Beetle2, possess a coding region with genes in the order characteristic for Ty3-gypsy retrotransposons. Beetle1 and Beetle2 have a chromodomain in the C-terminus of the integrase gene and are highly similar to the centromeric retrotransposons (CRs) of rice, maize, and barley. Both retroelements were localized in the centromeric region of B. procumbens chromosomes by fluorescence in-situ hybridization. They can therefore be classified as centromere-specific chromoviruses. PCR analysis using RNA as template indicated that Beetle1 and Beetle2 are transcriptionally active. On the basis of the sequence diversity between the LTR sequences, it was estimated that Beetle1 and Beetle2 transposed within the last 60 000 years and 130 000 years, respectively. The centromeric localization of Beetle1 and Beetle2 and their transcriptional activity combined with high sequence conservation within each family play an important structural role in the centromeres of B. procumbens chromosomes.

This is a preview of subscription content, access via your institution.

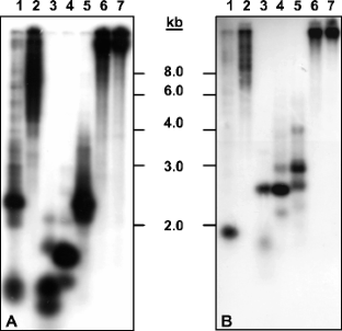
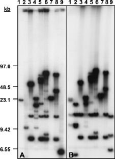
Fig. 1
Fig. 2
Fig. 3
Fig. 4
Fig. 5
Fig. 6
Fig. 7

Abbreviations

BAC:

bacterial artificial chromosome

CR:

centromeric retrotransposon

DAPI:

4′,6′-diamidino-2-phenylindole

FISH:

fluorescence in-situ hybridization

FITC:

fluorescein isothiocyanate

IPCR:

inverse PCR

LTR:

long terminal repeat

ORF:

open reading frame

PBS:

primer binding site

PPT:

polypurine tract

RT-PCR:

reverse-transcription PCR

SDS:

sodium dodecyl sulfate

SSC:

standard saline citrate (1× SSC = 0.15 M NaCl, 0.015 M Na3-citrate)

TAE:

standard Tris acetate buffer (1× TAE = 40 mM Tris-HCl pH 8, 0.114% acetic acid, 1 mM EDTA)

UTR:

untranslated region

References

  • Ananiev E, Phillips R, Rines H (1998) Chromosome-specific molecular organization of maize (Zea mays L.) centromeric regions. Proc Natl Acad Sci U S A 95:13073–13078

    PubMed  Article  CAS  Google Scholar 

  • Bennetzen JL (2000) Transposable element contributions to plant gene and genome evolution. Plant Mol Biol 42:251–269

    PubMed  Article  CAS  Google Scholar 

  • Bennetzen JL (2002) Mechanisms and rates of genome expansion and contraction in flowering plants. Genetica 115:29–36

    PubMed  Article  CAS  Google Scholar 

  • Bernstein E, Allis C (2005) RNA meets chromatin. Genes Dev 19:1635–1655

    PubMed  Article  CAS  Google Scholar 

  • Brandes A, Jung C, Wricke G (1987) Nematode resistance derived from wild beet and its meiotic stability in sugar beet. Plant Breed 99:56–64

    Article  Google Scholar 

  • Brehm A, Tufteland K, Aasland R, Becker P (2004) The many colours of chromodomains. BioEssays 26:133–140

    PubMed  Article  CAS  Google Scholar 

  • Brown TA (2002) Genomes 2. BIOS Scientific publishers Ltd, Oxford, UK

    Google Scholar 

  • Cheng Z, Dong F, Langdon T et al (2002) Functional rice centromeres are marked by a satellite repeat and a centromere-specific retrotransposon. Plant Cell 14:1691–1704

    PubMed  Article  CAS  Google Scholar 

  • Dechyeva D, Schmidt T (2006) Molecular organization of terminal repetitive DNA in Beta species. Chromosome Res 14:881–897

    PubMed  Article  CAS  Google Scholar 

  • Dechyeva D, Gindullis F, Schmidt T (2003) Divergence of satellite DNA and interspersion of dispersed repeats in the genome of the wild beet Beta procumbens. Chromosome Res 11:3–21

    PubMed  Article  CAS  Google Scholar 

  • Desel C, Jung C, Cai D, Kleine M, Schmidt T (2001) High-resolution mapping of YACs and the single-copy gene Hs1pro-1 on Beta vulgaris chromosomes by multi-colour fluorescence in-situ hybridization. Plant Mol Biol 45:113–122

    PubMed  Article  CAS  Google Scholar 

  • Devos KM, Brown JK, Bennetzen JL (2002) Genome size reduction through illegitimate recombination counteracts genome expansion in Arabidopsis. Genome Res 12:1075–1079

    PubMed  Article  CAS  Google Scholar 

  • Farman ML, Tosa Y, Nitta N, Leong SA (1996) MAGGY, a retrotransposon in the genome of the rice blast fungus Magnaporthe grisea. Mol Gen Genet 251:665–674

    PubMed  CAS  Google Scholar 

  • Feschotte C, Jiang N, Wessler SR (2002) Plant transposable elements: where genetics meets genomics. Nat Rev Genet 3(5):329–341

    PubMed  Article  CAS  Google Scholar 

  • Gao X, Hou Y, Ebina H, Levin H, Voytas D (2008) Chromodomains direct integration of retrotransposons to heterochromatin. Genome Res 18:359–369

    PubMed  Article  CAS  Google Scholar 

  • Gindullis F, Dechyeva D, Schmidt T (2001a) Construction and characterization of a BAC library for the molecular dissection of a single wild beet centromere and sugar beet (Beta vulgaris) genome analysis. Genome 44:846–855

    PubMed  Article  CAS  Google Scholar 

  • Gindullis F, Desel C, Galasso I, Schmidt T (2001b) The large-scale organization of the centromeric region in Beta species. Genome Res 11:253–265

    PubMed  Article  CAS  Google Scholar 

  • Gorinsĕk B, Gubenšek F, Kordiš D (2004) Evolutionary genomics of chromoviruses in eukaryotes. Mol Biol Evol 21:781–798

    PubMed  Article  Google Scholar 

  • Gorinsĕk B, Gubenšek F, Kordiš D (2005) Phylogenomic analysis of chromoviruses. Cytogenet Genome Res 110:543–552

    PubMed  Article  Google Scholar 

  • Heslop-Harrison JS, Schwarzacher T, Anamthawat-Jónsson K, Leitch AR, Shi M, Leitch IJ (1991) In-situ hybridization with automated chromosome denaturation. Technique 3:109–116

    Google Scholar 

  • Henikoff S, Ahmad K, Malik H (2001) The centromere paradox: stable inheritance with rapidly evolving DNA. Science 293:1098–1102

    PubMed  Article  CAS  Google Scholar 

  • Houben A, Schubert I (2003) DNA and proteins of plant centromeres. Curr Opin Plant Biol 6:554–560

    PubMed  Article  CAS  Google Scholar 

  • Houben A, Schroeder-Reiter E, Nagaki K et al (2007) CENH3 interacts with the centromeric retrotransposon cereba and GC-rich satellites and locates to centromeric substructures in barley. Chromosoma 116:275–283

    PubMed  Article  CAS  Google Scholar 

  • Hudakova S, Michalek W, Presting G et al (2001) Sequence organization of barley centromeres. Nucleic Acids Res 29:5029–5035

    PubMed  Article  CAS  Google Scholar 

  • Hull R (2001) Classifying reverse transcribing elements: a proposal and a challenge to the ICTV. Arch Virol 146:2255–2261

    PubMed  Article  CAS  Google Scholar 

  • Jacobs S, Khorasanizadeh S (2002) Structure of HP1 chromodomain bound to a Lysine 9- methylated Histone H3 tail. Science 295:2080–2083

    PubMed  Article  CAS  Google Scholar 

  • Jacobs G, Dechyeva D, Menzel G, Dombrowski C, Schmidt T (2004) Molecular characterization of Vulmar1, a complete mariner transposon of sugar beet and diversity of mariner- and En/Spm-like sequences in the genus Beta. Genome 47:1192–1201

    PubMed  Article  CAS  Google Scholar 

  • Jiang J, Birchler J, Parrott W, Kelly Dawe R (2003) A molecular view of plant centromeres. Trends Plant Sci 8:570–575

    PubMed  Article  CAS  Google Scholar 

  • Jin W, Melo JR, Nagaki K et al (2004) Maize centromeres: organization and functional adaptation in the genetic background of oat. Plant Cell 16:571–581

    PubMed  Article  CAS  Google Scholar 

  • Jung C, Wricke G (1987) Selection of diploid nematode resistant sugar beet from monosomic addition lines. Plant Breed 98:205–214

    Article  Google Scholar 

  • Kashkush K, Khasdan V (2007) Large-scale survey of cytosine methylation of retrotransposons and the impact of readout transcription from long terminal repeats on expression of adjacent rice genes. Genetics 177:1975

    PubMed  Article  CAS  Google Scholar 

  • Kellogg EA (2001) Evolutionary history of the grasses. Plant Physiol 125:1198–1205

    PubMed  Article  CAS  Google Scholar 

  • Kidwell M, Lisch D (2001) Perspective: Transposable elements, parasitic DNA, and genome evolution. Evolution 55:1–24

    PubMed  CAS  Google Scholar 

  • Kimura M (1980) A simple method for estimating evolutionary rates of base substitutions through comparative studies of nucleotide sequences. J Mol Evol 16:111–120

    PubMed  Article  CAS  Google Scholar 

  • Koch M, Haubold B, Mitchell-Olds T (2000) Comparative evolutionary analysis of chalcone synthase and alcohol dehydrogenase loci in Arabidopsis, Arabis, and related genera (Brassicaceae). Mol Biol Evol 17:1483–1498

    PubMed  CAS  Google Scholar 

  • Kordiš D (2005) A genomic perspective on the chromodomain-containing retrotransposons: Chromoviruses. Gene 347:161–173

    PubMed  Article  Google Scholar 

  • Kubis S, Schmidt T, Heslop-Harrison JS (1998) Repetitive DNA as a major component of plant genomes. Ann Bot 82:45–55

    Article  CAS  Google Scholar 

  • Kumar A, Bennetzen JL (1999) Plant retrotransposons. Annu Rev Genet 33:479–532

    PubMed  Article  CAS  Google Scholar 

  • Kumekawa N, Ohmido N, Fukui K, Ohtsubo E, Ohtsubo H (2001) A new gypsy-type retrotransposon, RIRE7: preferential insertion into the tandem repeat sequence TrsD in pericentromeric heterochromatin regions of rice chromosomes. Mol Genet Genomics 265:480–488

    PubMed  Article  CAS  Google Scholar 

  • Langdon T, Seago C, Mende M et al (2000) Retrotransposon evolution in diverse plant genomes. Genetics 156:313–325

    PubMed  CAS  Google Scholar 

  • Levin HL, Weaver DC, Boeke JD (1990) Two related families of retrotransposons from Schizosaccharomyces pombe. Mol Cell Biol 10:6791–6798

    PubMed  CAS  Google Scholar 

  • Lewinski M, Yamashita M, Emerman M et al (2006) Retroviral DNA integration: viral and cellular determinants of target-site selection. PLoS Pathog 2:0611–0622

    Article  CAS  Google Scholar 

  • Lim K, Yang T, Hwang Y et al (2007) Characterization of the centromere and peri-centromere retrotransposons in Brassica rapa and their distribution in related Brassica species. Plant J 49:173–183

    PubMed  Article  CAS  Google Scholar 

  • Ma J, Bennetzen JL (2006) Recombination, rearrangement, reshuffling, and divergence in a centromeric region of rice. Proc Natl Acad Sci U S A 103:383–388

    PubMed  Article  CAS  Google Scholar 

  • Ma J, Devos KM, Bennetzen JL (2004) Analyses of LTR-retrotransposon structures reveal recent and rapid genomic DNA loss in rice. Genome Res 14:860–869

    PubMed  Article  CAS  Google Scholar 

  • Ma J, Wing RA, Bennetzen JL, Jackson SA (2007) Plant centromere organization: a dynamic structure with conserved functions. Trends Genet 23:134–139

    PubMed  Article  CAS  Google Scholar 

  • Malik H, Eickbush T (1999) Modular evolution of the integrase domain in the Ty3/Gypsy class of LTR retrotransposons. J Virol 73:5186–5190

    PubMed  CAS  Google Scholar 

  • Marillonnet S, Wessler S (1998) Extreme structural heterogeneity among the members of a maize retrotransposon family. Genetics 150:1245–1256

    PubMed  CAS  Google Scholar 

  • Marin I, Llorens C (2000) Ty3/Gypsy retrotransposons: description of new Arabidopsis thaliana elements and evolutionary perspectives derived from comparative genomic data. Mol Biol Evol 17:1040–1049

    PubMed  CAS  Google Scholar 

  • Matzke M, Birchler J (2005) RNAi-mediated pathways in the nucleus. Nat Rev Genet 6:24–35

    PubMed  Article  CAS  Google Scholar 

  • Menzel G, Dechyeva D, Keller H, Lange C, Himmelbauer H, Schmidt T (2006) Mobilization and evolutionary history of minitiature-inverted-repeat transposable elements (MITEs) in Beta vulgaris L. Chromosome Res 14:831–844

    PubMed  Article  CAS  Google Scholar 

  • Miller J, Dong F, Jackson S, Song J, Jiang J (1998) Retrotransposon-related DNA sequences in the centromeres of grass chromosomes. Genetics 150:1615–1623

    PubMed  CAS  Google Scholar 

  • Murata M (2002) Telomeres and centromeres in plants. Curr Genomics 3:527–538

    Article  CAS  Google Scholar 

  • Murata M, Shibata F, Yokota E (2006) The origin, meiotic behavior, and transmission of a novel minichromosome in Arabidopsis thaliana. Chromosoma 115:311–319

    PubMed  Article  Google Scholar 

  • Murphy TD, Karpen GH (1995) Localization of centromere function in a Drosophila minichromosome. Cell 82:599–609

    PubMed  Article  CAS  Google Scholar 

  • Nagaki K, Murata M (2005) Characterization of CENH3 and centromere-associated DNA sequences in sugarcane. Chromosome Res 13:195–203

    PubMed  Article  CAS  Google Scholar 

  • Nagaki K, Song J, Stupar R et al (2003) Molecular and cytological analyses of large tracks of centromeric DNA reveal the structure and evolutionary dynamics of maize centromeres. Genetics 163:759–770

    PubMed  CAS  Google Scholar 

  • Nagaki K, Cheng Z, Ouyang S et al (2004) Sequencing of a rice centromere uncovers active genes. Nat Genet 36:138–145

    PubMed  Article  CAS  Google Scholar 

  • Nagaki K, Neumann P, Zhang D et al (2005) Structure, divergence, and distribution of the CRR centromeric retrotransposon family in rice. Mol Biol Evol 22:845–855

    PubMed  Article  CAS  Google Scholar 

  • Neumann P, Yan H, Jiang J (2007) The centromeric retrotransposons of rice are transcribed and differentially processed by RNA interference. Genetics 176:749

    PubMed  Article  CAS  Google Scholar 

  • Pantazidis A, Labrador M, Fontdevila A (1999) The retrotransposon Osvaldo from Drosophila buzzatii displays all structural features of a functional retrovirus. Mol Biol Evol 16:909–921

    PubMed  CAS  Google Scholar 

  • Presting G, Malysheva L, Fuchs J, Schubert I (1998) A Ty3/gypsy retrotransposon-like sequence localizes to the centromeric regions of cereal chromosomes. Plant J 16:721–728

    PubMed  Article  CAS  Google Scholar 

  • Rostoks N, Park Y, Ramakrishna W et al (2002) Genomic sequencing reveals gene content, genomic organization, and recombination relationships in barley. Funct Integr Genomics 2:51–59

    PubMed  Article  CAS  Google Scholar 

  • Saghai-Maroof M, Soliman K, Jorgensen R, Allard R (1984) Ribosomal DNA spacer-length polymorphisms in barley: mendelian inheritance, chromosomal location, and population dynamics. Proc Natl Acad Sci U S A 81:8014–8018

    PubMed  Article  CAS  Google Scholar 

  • Saitou N, Nei M (1987) The neighbor-joining method: a new method for reconstructing phylogenetic trees. Mol Biol Evol 4:406–425

    PubMed  CAS  Google Scholar 

  • Sambrook J, Fritsch E, Maniatis T (1989) Molecular cloning: a laboratory manual, 2nd edn. Cold Spring Harbor Laboratory Press, Cold Spring Harbor, NY

    Google Scholar 

  • Sandmeyer S (2003) Integration by design. Proc Natl Acad Sci U S A 100:5586

    PubMed  Article  CAS  Google Scholar 

  • SanMiguel P, Bennetzen JL (1998) Evidence that a recent increase in maize genome size was caused by the massive amplification of intergene retrotransposons. Ann Bot 82:37–44

    Article  CAS  Google Scholar 

  • SanMiguel P, Tikhonov A, Jin Y et al (1996) Nested retrotransposons in the intergenic regions of the maize genome. Science 274:765–768

    PubMed  Article  CAS  Google Scholar 

  • SanMiguel P, Gaut B, Tikhonov A, Nakajima Y, Bennetzen JL (1998) The paleontology of intergene retrotransposons of maize. Nat Genet 20:43–45

    PubMed  Article  CAS  Google Scholar 

  • Schmidt T, Heslop-Harrison JS (1996) High-resolution mapping of repetitive DNA by in-situ hybridization: molecular and chromosomal features of prominent dispersed and discretely localized DNA families from the wild beet species Beta procumbens. Plant Mol Biol 30:1099–1113

    PubMed  Article  CAS  Google Scholar 

  • Schmidt T, Schwarzacher T, Heslop-Harrison JS (1994) Physical mapping of rRNA genes by fluorescence in-situ hybridization and structural analysis of 5S rRNA genes and intergenic spacer sequences in sugar beet (Beta vulgaris). Theor Appl Genet 88:629–636

    Article  CAS  Google Scholar 

  • Schmidt T, Kubis S, Heslop-Harrison JS (1995) Analysis and chromosomal localization of retrotransposons in sugar beet (Beta vulgaris L.): LINEs and Ty1-copia-like elements as major components of the genome. Chromosome Res 3:335–345

    PubMed  Article  CAS  Google Scholar 

  • Schmidt T, Jung C, Heslop-Harrison JS, Kleine M (1997) Detection of alien chromatin conferring resistance to the beet cyst nematode (Heterodera schachtii Schm.) in cultivated beet (Beta vulgaris L.) using in-situ hybridization. Chromosome Res 5:186–193

    PubMed  Article  CAS  Google Scholar 

  • Sharma A, Presting G (2008) Centromeric retrotransposon lineages predate the maize/rice divergence and differ in abundance and activity. Mol Genet Genomics 279:133–147

    PubMed  Article  CAS  Google Scholar 

  • Singleton TL, Levin HL (2002) A long terminal repeat retrotransposon of fission yeast has strong preferences for specific sites of insertion. Eukaryot Cell 1:44–55

    PubMed  Article  CAS  Google Scholar 

  • Slotkin R, Martienssen R (2007) Transposable elements and the epigenetic regulation of the genome. Nat Rev Genet 8:272–285

    PubMed  Article  CAS  Google Scholar 

  • Smale ST, Baltimore D (1989) The “initiator” as a transcription control element. Cell 57:103–113

    PubMed  Article  CAS  Google Scholar 

  • Smyth DR, Kalitsis P, Joseph JL, Sentry JW (1989) Plant retrotransposon from Lilium henryi is related to Ty3 of yeast and the gypsy group of Drosophila. Proc Natl Acad Sci U S A 86:5015–5019

    PubMed  Article  CAS  Google Scholar 

  • Sun X, Le HD, Wahlstrom JM, Karpen GH (2003) Sequence analysis of a functional Drosophila centromere. Genome Res 13:182–194

    PubMed  Article  CAS  Google Scholar 

  • Talbert P, Masuelli R, Tyagi A, Comai L, Henikoff S (2002) Centromeric localization and adaptive evolution of an Arabidopsis histone H3 variant. Plant Cell 14:1053–1066

    PubMed  Article  CAS  Google Scholar 

  • Tamura K, Dudley J, Nei M, Kumar S (2007) MEGA4: Molecular evolutionary genetics analysis (MEGA) software Version 4.0. Mol Biol Evol 24:1596–1599

    PubMed  Article  CAS  Google Scholar 

  • Temin HM (1980) Origin of retroviruses from cellular moveable genetic elements. Cell 21:599–600

    PubMed  Article  CAS  Google Scholar 

  • Topp CN, Zhong CX, Dawe RK (2004) Centromere-encoded RNAs are integral components of the maize kinetochore. Proc Natl Acad Sci U S A 101:15986–15991

    PubMed  Article  CAS  Google Scholar 

  • Tranzschel W (1927) Die Arten der Gattung Beta. Bull Appl Bot Plant Breed 17:203–223

    Google Scholar 

  • Volpe T, Kidner C, Hall I, Teng G, Grewal S, Martienssen R (2002) Regulation of heterochromatic silencing and histone H3 lysine-9 methylation by RNAi. Science 297:1833–1837

    PubMed  Article  CAS  Google Scholar 

  • von Sternberg R, Shapiro J (2005) How repeated retroelements format genome function. Cytogenet Genome Res 110:108–116

    Article  Google Scholar 

  • Wang H, Liu JS (2008) LTR retrotransposon landscape in Medicago truncatula: more rapid removal than in rice. BMC Genomics 9:382–394

    PubMed  Article  Google Scholar 

  • Wicker T, Yahiaoui N, Guyot R et al (2003) Rapid genome divergence at orthologous low molecular weight glutenin loci of the A, Am genomes of wheat. Plant Cell 15:1186–1197

    PubMed  Article  CAS  Google Scholar 

  • Wu J, Yamagata H, Hayashi-Tsugane M et al (2004) Composition and structure of the centromeric region of rice chromosome 8. Plant Cell 16:967–976

    PubMed  Article  CAS  Google Scholar 

  • Yan H, Ito H, Nobuta K et al (2006) Genomic and genetic characterization of rice Cen3 reveals extensive transcription and evolutionary implications of a complex centromere. Plant Cell 18:2123–2133

    PubMed  Article  CAS  Google Scholar 

  • Zhang Y, Huang Y, Zhang L et al (2004) Structural features of the rice chromosome 4 centromere. Nucleic Acids Res 32:2023–2030

    PubMed  Article  CAS  Google Scholar 

  • Zhong C, Marshall J, Topp C et al (2002) Centromeric retroelements and satellites interact with maize kinetochore protein CENH3. Plant Cell 14:2825–2836

    PubMed  Article  CAS  Google Scholar 

  • Zhu Y, Dai J, Fuerst P, Voytas D (2003) Controlling integration specificity of a yeast retrotransposon. Proc Natl Acad Sci U S A 100:5891–5891

    PubMed  Article  CAS  Google Scholar 

Download references

Acknowledgements

This research was funded by grants from the BMBF (BioFuture grant 0311860) to Thomas Schmidt. Beatrice Weber acknowledges a FAZIT fellowship.

Author information

Affiliations

Authors

Corresponding author

Correspondence to Thomas Schmidt.

Additional information

Responsible Editor: Pat Heslop-Harrison.

Electronic supplementary material

Below is the link to the electronic supplementary material

Supplementary Figure S1

Plant centromeric retrotransposons contain different chromointegrases. This alignment was constructed with the program MEGA 4 using a ClustalW alignment of the integrase gene (Tamura et al. 2007). The shading marks a 50% consensus, with the black boxes indicating identical amino acids and the grey boxes representing amino acids with a similar residue group. All sequences have been obtained from the GenBank; for the annotated sequences, the name of the retroelement is added, for retroelements not described, the initials of the species and the accession numbers are given. The sequences are: Beetle1 (AJ539424) and Beetle2 (FM242082) from B. procumbens; Mt_AC131249 from Medicago truncatula; Lj_AP004525 from Lotus japonicus; At_A1161506 from Arabidopsis thaliana; CRM (AY129008) from Zea mays; CRR (AB033235) from Oryza sativa; cereba (AY040382) from Hordeum vulgare; Galadriel (AF119040) from Lycopersicon esculentum; monkey (AF143332) from Musa sp.; Tekay (AF448416) from Zea mays; del1 (X13886) from Lilium henryi; Reina (U69258) from Zea mays; Gimli (AL049655) from Arabidopsis thaliana; Maggy (L35035) from Magnaportha grisea; and sushi (AF030881) from Takifugu rubripes (DOC 187 KB)

Rights and permissions

Reprints and Permissions

About this article

Cite this article

Weber, B., Schmidt, T. Nested Ty3-gypsy retrotransposons of a single Beta procumbens centromere contain a putative chromodomain. Chromosome Res 17, 379–396 (2009). https://doi.org/10.1007/s10577-009-9029-y

Download citation

  • Received:

  • Revised:

  • Accepted:

  • Published:

  • Issue Date:

  • DOI: https://doi.org/10.1007/s10577-009-9029-y

Keywords

  • Ty3-gypsy retrotransposon
  • CR
  • chromodomain
  • heterochromatin
  • Beta procumbens