Skip to main content

Intraperitoneal Aminoguanidine Improves Sciatic Nerve Ischemia–Reperfusion Injury in Male Sprague-Dawley Rats

Abstract

The present work was designed to investigate the potential protective effects of post-ischemic treatment with aminoguanidine (AG) on sciatic nerve ischemia/reperfusion (I/R) injury in rat. Seventy-two rats were divided into 12 groups (n = 6). We used ischemia model in these groups by occluding the right common iliac and femoral arteries for 3 h with a silk suture 6-0 using slipknot technique. Treatment groups (2, 4, 6, 8, 10, and 12) received 150 mg/kg AG intraperitoneally 24 h after induction of ischemia. After certain time intervals of reperfusion (2, 4, 7, 14, and 28 days), the function of the hind limb was assessed using behavioral scores based on gait, racing reflex, toe spread, pinch sensitivity, paw position, and grasp. After euthanasia, sciatic nerves were removed at the end of reperfusion times and sections were cut at 5 μm, then were stained for light microscopy studies and graded for ischemic fiber degeneration (IFD), edema, and apoptosis. Maximal behavioral deficit occurred at 7 days of reperfusion. The comparison of behavioral score pertaining to the control and AG groups revealed significant differences and showed also a better time course in recovery (P < 0.05). Other than 3 and 4 groups, the amount of edema in AG treatment groups showed significant differences compared with control groups (P < 0.05). IFD was also significantly decreased in the AG treatment groups than controls. Most importantly, I/R-induced apoptosis were improved significantly on the 4th, 7th, and 14th days of reperfusion in AG-treated groups compared to controls. In conclusion, our findings suggest that post-ischemic administration of AG exhibits protective effect against sciatic nerve I/R injury.

This is a preview of subscription content, access via your institution.

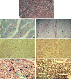
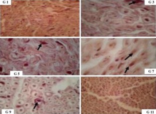
Fig. 1
Fig. 2
Fig. 3
Fig. 4
Fig. 5
Fig. 6
Fig. 7

References

  • Abdel-Rahman E, Bolton WK (2002) Pimagedine: a novel therapy for diabetic nephropathy. Expert Opin Investig Drugs 11:565–574

    PubMed  Article  CAS  Google Scholar 

  • Al-Majed AA, Neumann CM, Brushart TM, Gordon T (2000) Brief electrical stimulation promotes the speed and accuracy of motor axonal regeneration. J Neurosci 20:2602–2608

    PubMed  CAS  Google Scholar 

  • Al-Majed AA, Khattab M, Raza M, Al-Shabanah OA, Mostafa AM (2003) Potentiation of diclofenac-induced anti-inflammatory response by aminoguanidine in carrageenan-induced acute inflammation in rats: the role of nitric oxide. Inflamm Res 52:378–382

    PubMed  Article  CAS  Google Scholar 

  • Anderson GM, Nukada H, McMorran PD (1997) Carbonyl histochemistry in rat reperfusion nerve injury. Brain Res 772:156–160

    PubMed  Article  CAS  Google Scholar 

  • Cash D, Beech JS, Rayne RC, Bath PM, Meldrum BS, Williams SC (2001) Neuroprotective effect of aminoguanidine on transient focal ischaemia in the rat brain. Brain Res 905:91–103

    PubMed  Article  CAS  Google Scholar 

  • Chen CJ, Ou YC, Lin SY, Liao SL, Chen SY, Chen JH (2006) Manganese modulates pro-inflammatory gene expression in activated glia. Neurochem Int 49:62–71

    PubMed  Article  CAS  Google Scholar 

  • Chen SF, Hung TH, Chen CC, Lin KH, Huang YN, Tsai HC, Wang JY (2007) Lovastatin improves histological and functional outcomes and reduces inflammation after experimental traumatic brain injury. Life Sci 81:288–298

    PubMed  Article  CAS  Google Scholar 

  • Cockroft KM, Meistrell M 3rd, Zimmerman GA, Risucci D, Bloom O, Cerami A, Tracey KJ (1996) Cerebroprotective effects of aminoguanidine in a rodent model of stroke. Stroke 27:1393–1398

    PubMed  CAS  Google Scholar 

  • Courderot-Masuyer C, Dalloz F, Maupoil V, Rochette L (1999) Antioxidant properties of aminoguanidine. Fundam Clin Pharmacol 13:535–540

    PubMed  Article  CAS  Google Scholar 

  • Elmore S (2007) Apoptosis: a review of programmed cell death. Toxicol Pathol 35:495–516

    PubMed  Article  CAS  Google Scholar 

  • Eto M, Sumi H, Fujimura H, Yoshikawa H, Sakoda S (2008) Pioglitazone promotes peripheral nerve remyelination after crush injury through CD36 upregulation. J Peripher Nerv Syst 13:242–248

    PubMed  Article  Google Scholar 

  • Fang YZ, Yang S, Wu G (2002) Free radicals, antioxidants, and nutrition. Nutrition 18:872–879

    PubMed  Article  CAS  Google Scholar 

  • Gholami MR, Abolhassani F, Pasbakhsh P, Akbari M, Sobhani A, Eshraghian MR, Kamalian N, Amoli FA, Dehpour AR, Sohrabi D (2008) The effects of simvastatin on ischemia–reperfusion injury of sciatic nerve in adult rats. Eur J Pharmacol 590:111–114

    PubMed  Article  CAS  Google Scholar 

  • Giardino I, Fard AK, Hatchell DL, Brownlee M (1998) Aminoguanidine inhibits reactive oxygen species formation, lipid peroxidation, and oxidant-induced apoptosis. Diabetes 47:1114–1120

    PubMed  Article  CAS  Google Scholar 

  • Hammes HP, Martin S, Federlin K, Geisen K, Brownlee M (1991) Aminoguanidine treatment inhibits the development of experimental diabetic retinopathy. Proc Natl Acad Sci USA 88:11555–11558

    PubMed  Article  CAS  Google Scholar 

  • Iida H, Schmelzer JD, Schmeichel AM, Wang Y, Low PA (2003) Peripheral nerve ischemia: reperfusion injury and fiber regeneration. Exp Neurol 184:997–1002

    PubMed  Article  Google Scholar 

  • Kerrigan CL, Stotland MA (1993) Ischemia reperfusion injury: a review. Microsurgery 14:165–175

    PubMed  Article  CAS  Google Scholar 

  • Kihara M, Schmelzer JD, Kihara Y, Smithson IL, Low PA (1996) Efficacy of limb cooling on the salvage of peripheral nerve from ischemic fiber degeneration. Muscle Nerve 19:203–209

    PubMed  Article  CAS  Google Scholar 

  • Kojda G, Harrison D (1999) Interactions between NO and reactive oxygen species: pathophysiological importance in atherosclerosis, hypertension, diabetes and heart failure. Cardiovasc Res 43:562–571

    PubMed  Article  CAS  Google Scholar 

  • Lefer AM, Campbell B, Shin YK, Scalia R, Hayward R, Lefer DJ (1999) Simvastatin preserves the ischemic-reperfused myocardium in normocholesterolemic rat hearts. Circulation 100:178–184

    PubMed  CAS  Google Scholar 

  • Liu SF, Ye X, Malik AB (1999) Inhibition of NF-kappaB activation by pyrrolidine dithiocarbamate prevents in vivo expression of proinflammatory genes. Circulation 100:1330–1337

    PubMed  CAS  Google Scholar 

  • Milcan A, Arslan E, Bagdatoglu OT, Bagdatoglu C, Polat G, Kanik A, Talas DU, Kuyurtar F (2004) The effect of alprostadil on ischemia–reperfusion injury of peripheral nerve in rats. Pharmacol Res 49:67–72

    PubMed  Article  CAS  Google Scholar 

  • Mitsui Y, Schmelzer JD, Zollman PJ, Mitsui M, Kihara M, Low PA (1999) Hypothermic neuroprotection of peripheral nerve of rats from ischemia–reperfusion injury: intraischemic vs. reperfusion hypothermia. Brain Res 827:63–69

    PubMed  Article  CAS  Google Scholar 

  • Mori K, Togashi H, Ueno KI, Matsumoto M, Yoshioka M (2001) Aminoguanidine prevented the impairment of learning behavior and hippocampal long-term potentiation following transient cerebral ischemia. Behav Brain Res 120:159–168

    PubMed  Article  CAS  Google Scholar 

  • Mustafa A, Gado AM, Al-Shabanah OA, Al-Bekairi AM (2002) Protective effect of aminoguanidine against paraquat-induced oxidative stress in the lung of mice. Comp Biochem Physiol C 132:391–397

    Google Scholar 

  • Nagamatsu M, Schmelzer JD, Zollman PJ, Smithson IL, Nickander KK, Low PA (1996) Ischemic reperfusion causes lipid peroxidation and fiber degeneration. Muscle Nerve 19:37–47

    PubMed  Article  CAS  Google Scholar 

  • Nilsson BO (1999) Biological effects of aminoguanidine: an update. Inflamm Res 48:509–515

    PubMed  Article  CAS  Google Scholar 

  • Panagiotopoulos S, O’Brien RC, Bucala R, Cooper ME, Jerums G (1998) Aminoguanidine has an anti-atherogenic effect in the cholesterol-fed rabbit. Atherosclerosis 136:125–131

    PubMed  Article  CAS  Google Scholar 

  • Papathanassoglou ED, Moynihan JA, Ackerman MH (2000) Does programmed cell death (apoptosis) play a role in the development of multiple organ dysfunction in critically ill patients? a review and a theoretical framework. Crit Care Med 28:537–549

    PubMed  Article  CAS  Google Scholar 

  • Parlakpinar H, Ozer MK, Acet A (2005) Effect of aminoguanidine on ischemia–reperfusion induced myocardial injury in rats. Mol Cell Biochem 277:137–142

    PubMed  Article  CAS  Google Scholar 

  • Rahimian R, Fakhfouri G, Rasouli MR, Nouri M, Nezami BG, Paydar MJ, Asadi-Amoli F, Dehpour AR (2009) Effect of pioglitazone on sciatic nerve ischemia/reperfusion injury in rats. Pediatr Neurosurg 45:126–131

    PubMed  Article  Google Scholar 

  • Raza M, Ahmad M, Gado A, Al-Shabanah OA (2003) A comparison of hepatoprotective activities of aminoguanidine and N-acetylcysteine in rat against the toxic damage induced by azathioprine. Comp Biochem Physiol C 134:451–456

    CAS  Google Scholar 

  • Rose JW, Hill KE, Wada Y, Kurtz CI, Tsunoda I, Fujinami RS, Cross AH (1998) Nitric oxide synthase inhibitor, aminoguanidine, reduces inflammation and demyelination produced by Theiler’s virus infection. J Neuroimmunol 81:82–89

    PubMed  Article  CAS  Google Scholar 

  • Saray A, Apan A, Kisa U (2003) Free radical-induced damage in experimental peripheral nerve injection injury. J Reconstr Microsurg 19:401–406

    PubMed  Article  Google Scholar 

  • Sastry PS, Rao KS (2000) Apoptosis and the nervous system. J Neurochem 74:1–20

    PubMed  Article  CAS  Google Scholar 

  • Seyama A (1993) The role of oxygen-derived free radicals and the effect of free radical scavengers on skeletal muscle ischemia/reperfusion injury. Surg Today 23:1060–1067

    PubMed  Article  CAS  Google Scholar 

  • Shin SJ, Qi WN, Cai Y, Rizzo M, Goldner RD, Nunley JA 2nd, Chen LE (2005) Inhibition of inducible nitric oxide synthase promotes recovery of motor function in rats after sciatic nerve ischemia and reperfusion. J Hand Surg Am 30:826–835

    PubMed  Article  Google Scholar 

  • Soufi FG, Farajnia S, Aslanabadi N, Ahmadiasl N, Alipour M, Doustar Y, Abdolalizadeh J, Sheikhzadeh F (2008) Long-term exercise training affects age-induced changes in HSP70 and apoptosis in rat heart. Gen Physiol Biophys 27:263–270

    PubMed  CAS  Google Scholar 

  • Sun M, Zhao Y, Gu Y, Xu C (2010) Neuroprotective actions of aminoguanidine involve reduced the activation of calpain and caspase-3 in a rat model of stroke. Neurochem Int 56:634–641

    PubMed  Article  CAS  Google Scholar 

  • Taguchi T, Miyoshi H, Sugiura M, Takeuchi M, Yanagisawa K, Watanabe Y, Miwa I, Makita Z (2002) A glycation inhibitor, aminoguanidine and pyridoxal adduct, suppresses the development of diabetic nephropathy. In: International congress series, vol 1245, pp 435–437

  • Vakili A, Nekooeian A, Dehghani GA (2006) Aminoguanidine reduces infarct volume and improves neurological dysfunction in transient model of focal cerebral ischemia in rat. Daru 14:31–36

    CAS  Google Scholar 

  • Wu B, Iwakiri R, Tsunada S, Utsumi H, Kojima M, Fujise T, Ootani A, Fujimoto K (2002) iNOS enhances rat intestinal apoptosis after ischemia–reperfusion. Free Radic Biol Med 33:649–658

    PubMed  Article  CAS  Google Scholar 

  • Xu XB, Pang JJ, Cao JM, Ni C, Xu RK, Peng XZ, Yu XX, Guo S, Chen MC, Chen C (2005) GH-releasing peptides improve cardiac dysfunction and cachexia and suppress stress-related hormones and cardiomyocyte apoptosis in rats with heart failure. Am J Physiol Heart Circ Physiol 289:H1643–H1651

    PubMed  Article  CAS  Google Scholar 

  • Yagihashi S, Kamijo M, Baba M, Yagihashi N, Nagai K (1992) Effect of aminoguanidine on functional and structural abnormalities in peripheral nerve of STZ-induced diabetic rats. Diabetes 41:47–52

    PubMed  Article  CAS  Google Scholar 

  • Zhang F, Iadecola C (1998) Temporal characteristics of the protective effect of aminoguanidine on cerebral ischemic damage. Brain Res 802:104–110

    PubMed  Article  CAS  Google Scholar 

Download references

Acknowledgments

This study was supported by grant from Vice Chancellor for Research of Zanjan University of Medical Sciences, Zanjan, Iran.

Author information

Affiliations

Authors

Corresponding author

Correspondence to Iraj Jafari Anarkooli.

Rights and permissions

Reprints and Permissions

About this article

Cite this article

Alipour, M., Gholami, M.R., Jafari Anarkooli, I. et al. Intraperitoneal Aminoguanidine Improves Sciatic Nerve Ischemia–Reperfusion Injury in Male Sprague-Dawley Rats. Cell Mol Neurobiol 31, 765 (2011). https://doi.org/10.1007/s10571-011-9682-5

Download citation

  • Received:

  • Accepted:

  • Published:

  • DOI: https://doi.org/10.1007/s10571-011-9682-5

Keywords

  • Aminoguanidine
  • Ischemia
  • Reperfusion
  • Sciatic nerve
  • Rat