Abstract
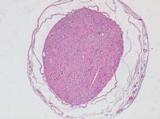
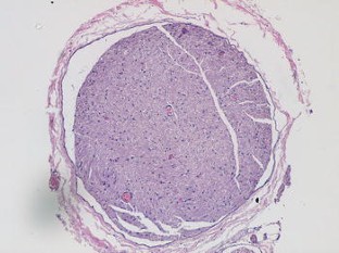
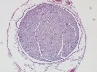
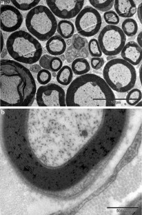
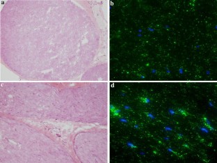
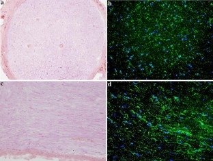
The purpose of the current study was to establish a valid protocol for nerve cryopreservation, and to evaluate if the addition of albumin supposed any advantage in the procedure. We compared a traditional cryopreservation method that uses dimethyl sulfoxide (DMSO) as cryoprotectant, to an alternative method that uses DMSO and albumin. Six Wistar Lewis rats were used to obtain twelve 20 mm fragments of sciatic nerve. In the first group, six fragments were cryopreserved in 199 media with 10% DMSO, with a temperature decreasing rate of 1 °C per minute. In the second group, six fragments were cryopreserved adding 4% human albumin. The unfreezing process consisted of sequential washings with saline in the first group, and saline and 20% albumin in the second group at 37 °C until the crioprotectant was removed. Structural evaluation was performed through histological analysis and electronic microscopy. The viability was assessed with the calcein-AM (CAM) and 4′,6-diamino-2-fenilindol (DAPI) staining. Histological results showed a correct preservation of peripheral nerve architecture and no significant differences were found between the two groups. However, Schwann cells viability showed in the CAM-DAPI staining was significantly superior in the albumin group. The viability of Schwann cells was significantly increased when albumin was added to the nerve cryopreservation protocol. However, no significant structural differences were found between groups. Further studies need to be performed to assess the cryopreserved nerve functionality using this new method.
This is a preview of subscription content, log in to check access.












References
Arav A, Friedman O, Natan Y, Gur E, Shani N (2017) Rat hindlimb cryopreservation and transplantation: a step toward « organ banking». Am J Transplant Off J Am Soc Transplant Am Soc Transpl Surg 17(11):2820–2828
Arnaud F (1992) Future in cryopreservation. Int J Artif Organs 15(11):637–640
Bakhach J, Casoli V, Guimberteau J-C (2007) The cryopreservation of composite tissues: principle, literature review and preliminary results of our own experiments. Ann Chir Plast Esthét 52(5):531–547
Borderie VM, Lopez M, Lombet A, Carvajal-Gonzalez S, Cywiner C, Laroche L (1998) Cryopreservation and culture of human corneal keratocytes. Investig Ophthalmol Vis Sci 39(8):1511–1519
Cui X, Gao DY, Fink BF, Vasconez HC, Rinker B (2007) Cryopreservation of composite tissues and transplantation: preliminary studies. Cryobiology 55(3):295–304
Decherchi P, Lammari-Barreault N, Cochard P, Carin M, Réga P, Pio J et al (1997) CNS axonal regeneration with peripheral nerve grafts cryopreserved by vitrification: cytological and functional aspects. Cryobiology 34(3):214–239
Delbosc B, Herve P, Carbillet JP, Montard M (1984) Corneal cryopreservation in man: a proposal for an original technic. J Fr Ophtalmol 7(4):321–331
Díaz Rodríguez R, Van Hoeck B, De Gelas S, Blancke F, Ngakam R, Bogaerts K et al (2017) Determination of residual dimethylsulfoxide in cryopreserved cardiovascular allografts. Cell Tissue Bank 18(2):263–270
Dubernard J-M, Devauchelle B (2008) Face transplantation. Lancet 372(9639):603–604
Evans PJ, Mackinnon SE, Best TJ, Wade JA, Awerbuck DC, Makino AP et al (1995) Regeneration across preserved peripheral nerve grafts. Muscle Nerve 18(10):1128–1138
Evans PJ, Mackinnon SE, Levi AD, Wade JA, Hunter DA, Nakao Y et al (1998) Cold preserved nerve allografts: changes in basement membrane, viability, immunogenicity, and regeneration. Muscle Nerve 21(11):1507–1522
Fairbairn NG, Ng-Glazier J, Meppelink AM, Randolph MA, Valerio IL, Fleming ME et al (2016) Light-activated sealing of acellular nerve allografts following nerve gap injury. J Reconstr Microsurg 32(6):421–430
Fansa H, Lassner F, Kook PH, Keilhoff G, Schneider W (2000) Cryopreservation of peripheral nerve grafts. Muscle Nerve 23(8):1227–1233
Giwa S, Lewis JK, Alvarez L, Langer R, Roth AE, Church GM et al (2017) The promise of organ and tissue preservation to transform medicine. Nat Biotechnol 35(6):530–542
Grogan SP, Aklin B, Frenz M, Brunner T, Schaffner T, Mainil-Varlet P (2002) In vitro model for the study of necrosis and apoptosis in native cartilage. J Pathol 198(1):5–13
Gurina TM, Pakhomov AV, Polyakova AL, Legach EI, Bozhok GA (2016) The development of the cell cryopreservation protocol with controlled rate thawing. Cell Tissue Bank 17(2):303–316
Hirasé Y, Kojima T, Uchida M, Takeishi M (1992) Cryopreserved allogeneic vessel and nerve grafts: hind-limb replantation model in the rat. J Reconstr Microsurg 8(6):437–443 discussion 445–446
Jensen S, Wallace MN, Dahlerup B (1990) Cryopreservation of rat peripheral nerve segments later used for transplantation. Neuroreport 1(3–4):243–246
Jung H, Kim N, Yoon M (2016) Reproductive stage-dependent effects of additional cryoprotectant agents for the cryopreservation of stallion germ cells. Anim Reprod Sci 173:24–28
Kiroshka V, Trutaieva I, Bondarenko T (2017) Efficiency of mannitol-supplemented medium during adding/removing ovarian tissue with penetrating cryoprotective agents. Cell Tissue Bank 19(1):123–132
Krausz MM, Ashkenazi I, Alfici R (2017) Parathyroid autotransplantation in adults and children. Harefuah 156(3):167–170
Lassner F, Becker M, Fansa H, Walter GF, Berger A (1995) Preservation of peripheral nerve grafts: a comparison of normal saline, HTK organ preservation solution, and DMEM Schwann cell culture medium. J Reconstr Microsurg 11(6):447–453
Li H, Cao H, Guo X, Wang H (2017) Cryovial monolayer vitrification for ovarian tissue cryopreservation. Cell Tissue Bank 19(1):149–154
Lisy M, Kalender G, Schenke-Layland K, Brockbank KGM, Biermann A, Stock UA (2017) Allograft heart valves: current aspects and future applications. Biopreserv Biobank 15(2):148–157
Ma Y-S, Weng S-W, Lin M-W, Lu C-C, Chiang J-H, Yang J-S et al (2012) Antitumor effects of emodin on LS1034 human colon cancer cells in vitro and in vivo: roles of apoptotic cell death and LS1034 tumor xenografts model. Food Chem Toxicol Int J Publ Br Ind Biol Res Assoc 50(5):1271–1278
Mackinnon SE (1989) New directions in peripheral nerve surgery. Ann Plast Surg 22(3):257–273
Martinez-Madrid B, Dolmans M-M, Langendonckt AV, Defrère S, Van Eyck A-S, Donnez J (2004) Ficoll density gradient method for recovery of isolated human ovarian primordial follicles. Fertil Steril 82(6):1648–1653
Nakamura Y, Obata R, Okuyama N, Aono N, Hashimoto T, Kyono K (2017) Residual ethylene glycol and dimethyl sulphoxide concentration in human ovarian tissue during warming/thawing steps following cryopreservation. Reprod Biomed Online 35(3):311–313
Pianigiani E, Tognetti L, Ierardi F, Mariotti G, Rubegni P, Cevenini G et al (2016) Assessment of cryopreserved donor skin viability: the experience of the regional tissue bank of Siena. Cell Tissue Bank 17(2):241–253
Rendal Vázquez ME, Rodríguez Cabarcos M, Fernández Mallo RO, Sánchez Ibáñez J, Segura Iglesias R, Bermúdez González T et al (2004) Functional assessment of human femoral arteries after cryopreservation. Cryobiology 49(1):83–89
Routledge C, Armitage WJ (2003) Cryopreservation of cornea: a low cooling rate improves functional survival of endothelium after freezing and thawing. Cryobiology 46(3):277–283
Ruwe PA, Trumble TE (1990) A functional evaluation of cryopreserved peripheral nerve autografts. J Reconstr Microsurg 6(3):239–244
Schneider M, Stamm C, Brockbank KGM, Stock UA, Seifert M (2017) The choice of cryopreservation method affects immune compatibility of human cardiovascular matrices. Sci Rep 7(1):17027
Shabani Nashtaei M, Nekoonam S, Naji M, Bakhshalizadeh S, Amidi F (2017) Cryoprotective effect of resveratrol on DNA damage and crucial human sperm messenger RNAs, possibly through 5′ AMP-activated protein kinase activation. Cell Tissue Bank 19(1):87–95
Sriuttha W, Uttamo N, Kongkaew A, Settakorn J, Rattanasalee S, Kongtawelert P et al (2016) Ex vivo and in vivo characterization of cold preserved cartilage for cell transplantation. Cell Tissue Bank 17(4):721–734
Trumble TE, Whalen JT (1992) The effects of cryosurgery and cryoprotectants on peripheral nerve function. J Reconstr Microsurg 8(1):53–58 discussion 59–60
Yang I-H, Shin J-A, Lee K-E, Kim J, Cho N-P, Cho S-D (2017) Oridonin induces apoptosis in human oral cancer cells via phosphorylation of histone H2AX. Eur J Oral Sci 125(6):438–443
Zalewski AA, Fahy GM, Azzam NA, Azzam RN (1993) The fate of cryopreserved nerve isografts and allografts in normal and immunosuppressed rats. J Comp Neurol 331(1):134–147
Zhang F, Attkiss KJ, Walker M, Buncke HJ (1998) Effect of cryopreservation on survival of composite tissue grafts. J Reconstr Microsurg 14(8):559–564
Zhu Z, Qiao L, Zhao Y, Zhang S (2014a) Optimal freezing and thawing for the survival of peripheral nerves in severed rabbit limbs. Int J Clin Exp Pathol 7(11):7801–7805
Zhu Z, Qiao L, Zhao Y, Zhang S (2014b) Optimal freezing and thawing for the survival of peripheral nerves in severed rabbit limbs. Int J Clin Exp Pathol 7(11):7801–7805
Acknowledgements
We would like to thank Alberto Centeno for his assistance and commitment in the excellent care taken of the animals, Catalina Sueiro and Ada Castro for their major support in the assessment of the electronic microscopy images, and Jorge Pombo Otero and Ana Reguero for their invaluable assistance in the interpretation of the histological images.
Author information
Affiliations
Corresponding author
Ethics declarations
Conflict of interest
The authors declare that they have no competing interests.
Rights and permissions
About this article
Cite this article
González Porto, S.A., Domenech, N., González Rodríguez, A. et al. The addition of albumin improves Schwann cells viability in nerve cryopreservation. Cell Tissue Bank 19, 507–517 (2018). https://doi.org/10.1007/s10561-018-9700-7
Received:
Accepted:
Published:
Issue Date:
Keywords
- Cryopreservation
- Dimethyl sulfoxide
- Peripheral nerve injuries
- Serum albumin