Abstract
To evaluate dual-layer dual-energy computed tomography (dlDECT)-based characterization of thrombus composition for differentiation of acute pulmonary embolism (PE) and chronic thromboembolic pulmonary hypertension (CTEPH). This retrospective single center cohort study included 49 patients with acute PE and 33 patients with CTEPH who underwent CT pulmonary angiography on a dlDECT from 06/2016 to 06/2022. Conventional images), material specific images (virtual non-contrast [VNC], iodine density overlay [IDO], electron density [ED]), and virtual monoenergetic images (VMI50KeV) were analyzed. Regions-of-interest (ROIs) were manually placed in pulmonary artery thrombi, and morphological imaging characteristics for acute and chronic PE were assessed. Area under the receiver operating characteristics curve (AUC) of ROI measurements, morphological imaging features, and their combination in distinguishing between acute PE and CTEPH were evaluated. Compared to PE, thrombi in patients with CTEPH had lower attenuation on conventional images (Median [inter-quartile range]: 40 [35–47] HU vs 64 [52–83] HU) and VMI50keV reconstructions (59 [46–72] HU vs 101 [80–123] HU) as well as decreased iodine uptake (IDO: 0.5 [0.2–1.0] vs 1.2 [0.5–1.8]; p for all < 0.001). Conventional images and VMI50keV reconstructions were the most accurate for differentiating between acute and chronic thrombi (conventional: AUC 0.92, 95% CI 0.86–0.98; VMI50keV: AUC 0.91, 95% CI 0.85–0.97). Main pulmonary artery (MPA) diameter combined with thrombus attenuation significantly increased the AUC compared to MPA diameter alone (p = 0.002 respectively). Thrombi in patients with CTEPH exhibit lower attenuation and reduced contrast enhancement. Analyzing attenuation in pulmonary thrombi may add diagnostic information to established morphological parameters in differentiating acute PE from CTEPH.
Similar content being viewed by others
Avoid common mistakes on your manuscript.
Introduction
Acute pulmonary embolism (PE) is the third most common cause of cardiovascular death after coronary artery disease and stroke [1,2,3]. A less common, yet grave complication of unresolved acute PE or recurrent subclinical pulmonary emboli is chronic thromboembolic pulmonary hypertension (CTEPH) [4,5,6,7]. The actual incidence of CTEPH remains a subject of debate, varying from roughly 0.6% in “all-comers” populations to about 3% among those who have survived PE [7].
It is widely recognized that thrombi undergo structural changes over time, stemming from the intricate interactions among coagulation factors, cytokines, leukocytes, and various other elements. While acute thrombi are predominantly composed of a loose mesh of fibrin and red blood cells (RBCs), chronic clots develop a fibrotic collagenous framework, ultimately becoming primarily acellular connective tissue [8]. This ongoing organization affects the outer appearance of the thrombus which is why the CT-based differentiation between acute and chronic pulmonary emboli routinely relies on morphological features [9]. While acute thrombi present as central filling defects (“polo-mint” or “railway” sign) or eccentric filling defects with an acute angle to the vessel wall, chronic thrombus features encompass thrombus lamination with obtuse angles to the contrast column, abrupt vessel narrowing with intimal irregularities, ‘webs and bands’, and post-stenotic dilatation [9,10,11,12,13,14]. However, these findings are challenging to recognize, particularly for radiologists with limited experience in PH imaging [15], as evidenced by low inter-reader agreement, including among experts [16]. Additionally, the specificity of these diagnostic parameters is limited. Notably, 15% of patients with acute PE show signs of chronicity or CTEPH at baseline imaging [16]. Nonetheless, a rapid and accurate diagnosis is essential, as it guides treatment decisions and untreated CTEPH patients are at higher risk of death [17, 18].
By acquiring two spectrally distinct datasets, dual-energy CT (DECT) enables the computation of material specific maps such as virtual non-contrast images (VNC) and iodine density overlay (IDO) maps, which both rely on material decomposition [19]. Furthermore, DECT allows for the reconstruction of energy-specific images (virtual monoenergetic images (VMI)), approximating images from an acquisition with a monoenergetic X-ray beam [20,21,22].
There is evidence that clot attenuation on unenhanced CT scans is not only strongly associated with histology [23, 24] but also with therapeutic outcome in stroke and deep vein thrombosis [25, 26]. In vitro studies suggest that DECT-based spectral reconstructions can further increase the diagnostic abilities of CT to differentiate between acute and chronic thrombi [27]. However, factors such as variances in contrast-material timing, vessel anatomy, intravascular pressure, thrombus origin (arterial vs. venous), thrombus size and configuration, bring into question the applicability of stroke imaging findings to large vessel occlusions in the venous and the pulmonary arteries [26, 28]. This uncertainty is mirrored in the indeterminate outcomes of existing studies [29,30,31,32], which either contrast with findings from in vitro and histopathological research or differ from results in stroke imaging, where (DE)CT-derived thrombus composition has been studied much more extensively [23].
The objective of this study was to quantitatively assess dual-layer DECT (dlDECT)-derived thrombus characteristics in both acute PE and CTEPH. We sought to determine their diagnostic capability in identifying and distinguishing patients with acute PE and CTEPH.
Materials and methods
Study population
This study was approved by the local institutional review board (Ethics Committee of the Faculty of Medicine from the University of Cologne, Cologne, Germany). The necessity for informed consent was waived due to the retrospective design of the study. All clinical investigations were conducted in accordance with the Declaration of Helsinki.
This was a single-center, retrospective study. All patients screened for study eligibility were consecutive patients who underwent CTPA on the same dlDECT (IQon, Philips Healthcare) between June 2016 and June 2022 as part of their routine clinical work-up for suspected acute PE or CTEPH. These patients were identified through a structured search within the radiological information system and the picture archiving and communications system.
The final diagnosis of CTEPH was established by expert consensus based on all available diagnostic tests, including right heart catheterization, ventilation/perfusion scintigraphy and CT imaging in accordance with the 2015 ESC/ERS guidelines [33]. Patients with suspected CTEPH had to be anticoagulated for three months prior to referral. Inclusion criteria for patients with acute PE were: (1) suspicion of acute PE based on patient´s medical history and (2) concordant imaging findings on CTPA.
Exclusion criteria for both patient groups encompassed artifacts affecting the thrombus and non-thrombotic occlusion (e.g., tumorous occlusion) on CTPA. Specific to the acute PE group, exclusion criteria were: (1) a history of acute PE, known chronic thromboembolic disease, or vascular signs of chronicity (laminated thrombus with obtuse angle to the contrast column or calcification, intravascular webs, complete arterial occlusion, arterial narrowing or retraction, post-stenotic vascular dilatation [9]), (2) thrombus size ≤ 12.5 mm2. For the CTEPH group, exclusion criteria included the absence of detectable thrombus (i.e., those presenting only other signs of chronicity) or a thrombus size ≤ 12.5 mm2.
Image acquisition and reconstruction
All patients received an intravenous 50 ml bolus of contrast media (300 mg iodine/ml, Accupaque, GE Healthcare) followed by a 40 ml NaCl chaser, with a flow rate of 4 ml/s. After reaching an attenuation of 150 HU in the main pulmonary artery (MPA), scanning was initiated with a delay of 4.9 s in craniocaudal direction. The acquisition parameters were as follows: slice collimation 64 × 0.625 mm; rotation time 0.33 s; tube potential 120 kV; tube current 75 mAsref with activated automatic tube current modulation. For all reconstructions, a dedicated spectral reconstruction algorithm with a soft tissue kernel was used (Spectral, B, Philips Healthcare). Images were reconstructed in axial orientation every 0.5 mm with a slice thickness of 1 mm. Matrix was set to 512 × 512.
Postprocessing
The same spectral dataset, with a section thickness of 2 mm and a section increment of 1 mm, was employed to reconstruct conventional images, IDO maps, VNC, Z-effective, VMI50KeV and electron-density images using a dedicated image viewer (IntelliSpace Portal, version 9.0; Philips). Conventional images were derived using a hybrid iterative reconstruction algorithm (iDose 4, level 3; Philips). The VMI50keV were acquired using a proprietary spectral reconstruction algorithm (Spectral B, level 3; Philips). The IDO maps were reconstructed as quantitative color-coded iodine maps.
Image analysis
Morphological CTPA analysis
Assessment of thrombus morphology
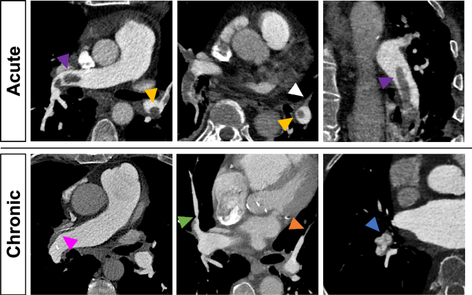
A radiologist with 4 years of experience in cardiovascular imaging (R.J.G.) assessed imaging findings indicating PE and CTEPH in accordance with the prevailing evidence available at the time the study was designed [9,10,11, 17]. These included: thrombus morphology/direct vascular features (e.g., “polo-mint” or “railway” sign, laminated thrombus), indirect vascular features (e.g., MPA dilatation, dilatated bronchial arteries), indirect cardiac features (e.g., right-ventricular (RV) dilatation or hypertrophy) and indirect parenchymal features (e.g., pulmonary infarction). Figure 1 illustrates typical examples of acute and chronic thromboembolic imaging features. All morphological imaging features are listed in Table 1.
Comparison of thromboembolic imaging features between acute and chronic PE. Acute PE: Central or eccentric filling defects surrounded by high-attenuation contrast medium (“polo-mint sign”—yellow arrowheads and “railway sign”—purple arrowheads) and complete arterial occlusion without lumen retraction (white arrowhead). Chronic PE: Laminated thrombus with calcifications (pink arrowhead), post-stenotic dilatation (green arrowhead), vascular retraction (orange arrowhead), and intravascular webs (blue arrowhead)
Assessment of thrombus level
Thrombus level was assessed and classified based on the largest arteries involved, as previously described [34, 35]. Utilizing Boyden´s nomenclature [36] thrombi were classified as either central (lobar or main pulmonary arteries, with or without segmental or subsegmental arteries), segmental (with or without subsegmental arteries), or subsegmental.
Quantitative analysis
A radiologist with 4 years of experience in cardiovascular imaging (R.J.G.) identified two axial slices depicting the largest extent of the thrombus, ensuring these were unaffected by artifacts, e.g., beam-hardening due to contrast in the subclavian vein. The radiologist placed a circular region-of-interest (ROI) covering the largest possible area of the thrombus. To ensure representative capturing of attenuation characteristics, each ROI exceeded 12.5 mm2 with enough distance from adjacent structures to avoid partial volume effects. Patients with thrombi that did not allow for sufficiently large ROIs were excluded from the study. In case of thrombus calcification, ROIs were drawn outside the calcified areas.
ROIs were placed in conventional images and then copied to IDO, VNC, Z-effective, VMI50KeV and electron-density images to ensure equal localization and size. Mean values for attenuation and the respective spectral reconstructions were obtained. All measurements were performed on a dedicated workstation (IntelliSpace Portal; Philips).
Reproducibility
To assess intra-observer reproducibility the same observer repeated the analysis four weeks-later in a randomly chosen cohort of 10 patients with acute PE and 10 CTEPH patients. Inter-observer reproducibility was derived from the analysis of a second skilled observer (K.K.) with three years of experience in cardiovascular imaging. Both readers were blinded to the clinical data of the patients as well as to the results of the other observer.
Statistical analysis
Statistical analysis was performed in R (R Core Development Team, version 4.3.2), using RStudio (RStudio, Version 2023.06.1). Differences in continuous readouts between groups were analyzed using the Mann–Whitney U test. Differences in categorical data were assessed with Pearsons Χ2 test. The diagnostic accuracy was assessed by determining the area under the receiver operating characteristic curve (AUC) using the pROC package [37]. Optimal sensitivity and specificity thresholds were identified using Youden’s index. To evaluate if quantitative readouts derived from the thrombus composition offer additional information for distinguishing acute PE from CTEPH, we combined them with diameters of bronchial arteries and the MPA, as well as the ratio of MPA to ascending aorta diameters, following the methodology proposed by Pepe et al. [38]. Differences in AUCs were assessed using the DeLong test [39]. Intra- and inter-reader consistency and agreement were analyzed with inter-class correlation coefficients (ICC) [40, 41] using the psych package [42] Bland–Altman analysis [43]. Results are presented as median [inter-quartile range]; p-values < 0.05 were considered statistically significant.
Results
Patient demographics
Out of 260 patients with thromboembolic findings 3 were excluded due artifacts affecting the thrombus (n = 2) or tumorous vascular occlusion (n = 1). Further, from the CTEPH group (n = 107) 74 patients were excluded because of no detectable thrombus or too small thrombus size. Similarly, from the acute PE group (n = 150), 30 patients were excluded due to patient history of prior PE or morphological signs of chronicity and 73 patients for having a too small thrombus size. Thus, the final dataset comprised of 33 patients with CTEPH and 47 patients with acute PE (Fig. 2). There were no differences between the groups regarding age (median [inter-quartile range]: CTEPH, 62 [49–76] years vs acute PE, 60 [49–72] years, p = 0.4) or sex (CTEPH, 19/14 m/f vs acute PE, 23/24 m/f, p = 0.6). Mean attenuation of the MPA was similar in both groups (CTEPH, 329.0 HU [281.0–417.0] vs acute PE, 352.0 [286.0–413.0], p = 0.79).
Morphological imaging features
Morphological imaging features are detailed in Table 1. Three patients with CTEPH displayed morphological features characteristic of acute PE. However, these features were significantly more prevalent in the acute PE patient group (p < 0.05 for all comparisons).
Patients with CTEPH exhibited a larger MPA diameter compared to those with acute PE (37.0 [34–40] mm vs 30 [27–33] mm; p < 0.001). Additionally, the MPA/Aorta ratio was higher in CTEPH patients (1.04 [1.00–1.19] vs 0.88 [0.81–0.96], p < 0.001). Observations of intraventricular septum flattening and RV hypertrophy were more frequent in the CTEPH group (p = 0.02 and p = 0.001, respectively). Furthermore, CTEPH patients had larger bronchial artery diameters (2.6 [2.3–3.1] mm vs 1.6 [1.4–1.8] mm, p < 0.001). Among the CTEPH cohort, 12 patients showed signs of resolved pulmonary infarction, while 12 patients in the acute PE group exhibited signs of acute pulmonary infarction. Regarding the location of thrombi, segmental thrombi were more prevalent in the acute PE group (p = 0.03).
dlDECT-derived thrombus characterization
Figure 3 presents a comparative quantitative analysis, utilizing dlDECT to assess thrombus material decomposition, in a patient with acute PE and a patient with CTEPH, both exhibiting central thrombi.
Comparative quantitative analysis of thrombus composition using dlDECT in a patient with acute PE and a patient with CTEPH, both exhibiting central thrombi. APE acute pulmonary embolism, CTEPH chronic thromboembolic pulmonary hypertension, VMI virtual monoenergetic images, IDO iodine density overlay
Thrombi in patients with CTEPH revealed a significantly lower attenuation than those in acute PE, both in conventional images (40 [35–47] HU vs 64 [52–83] HU, p < 0.001) and VMI50keV reconstructions (59 [46–72] HU vs 101 [80–123] HU). Further, chronic thrombi showed decreased iodine uptake in IDO reconstructions (0.5 [0.2–1.0], vs 1.2 [0.5–1.8], p < 0.001) and a lower effective atomic number (7.5 [7.4–7.8] vs 8.0 [7.6–8.4], p < 0.001). VNC attenuation and electron-density did not differ between groups (p = 0.09 and 0.08 respectively), as detailed in Table 2.
These results were paralleled by the subanalysis for segmental thrombi. However, when focusing on thrombi with central location only, central thrombi also differed in their attenuation in VNC reconstructions, with central acute thrombi revealing higher attenuation than central chronic thrombi (49 [37–63] vs 30 [26–36], p < 0.001) (Table 3, Fig. 4).
Comparison of thrombus properties between patients with acute pulmonary embolus and chronic thromboembolic pulmonary hypertension. Violin plots display the distribution of thrombus properties in the overall cohort (Panels A1-A4) and according to central vs. segmental thrombus location (Panels B1-B4). Thick lines indicate median values, while thin lines represent lower and upper quartiles. APE pulmonary embolism, CTEPH chronic thromboembolic pulmonary hypertension, VMI virtual monoenergetic images, IDO iodine density overlay, VNC virtual non-contrast
On the basis of AUC analysis conventional and VMI50keV performed best in the differentiation between acute and chronic thrombi (conventional: AUC 92%, 95% CI 86–98%; VMI50keV: 91%, 95% CI 85–97%). A threshold of 48 HU in conventional reconstructions provided a sensitivity of 85% and a specificity of 87%. Similarly, a threshold of 73 HU in VMI50keV achieved a sensitivity of 76% and a specificity of 89% (Table 4).
The diagnostic accuracy for the differentiation of CTEPH and acute PE, as measured by ROC analysis, significantly increased when thrombus attenuation in both conventional and VMI50keV reconstructions was considered. The AUC for evaluating sole the diameter of the MPA was 86% (95% CI 78–94%). This increased to 96% (95% CI 92–100%, p = 0.002) when combined with attenuation measurements from conventional images, and similarly to 96% (95% CI 93–100%, p = 0.002) when combined with VMI50keV attenuation. Likewise, integrating these parameters with the MPA-to-Aorta diameter ratio resulted in a significant increase in the AUC, as compared to using the diameter ratio alone (p = 0.002, respectively, Table 5).
Reproducibility
The intra-observer reproducibility found excellent agreement for the individual readouts with one-way random effect model ICCs above 0.9 (Table S1), despite a considerable difference in the ROI sizes applied. Bland–Altman analyses showed constant biases of 2 [− 5–13] HU and 2 [− 18–21] HU for the attenuation in the conventional images and the VMI50keV images, respectively, which is much smaller than the difference between the acute PE and CTEPH groups. Similarly, the inter-observer reproducibility showed a good agreement with ICCs ranging between 0.80 and 0.88 for the individual readouts. Even though for several readouts the one-way model had to be rejected in favor of the two-way random or mixed model, the proximity of these three values suggests that there are no systematic differences between the two readers. Constant bias between reader 1 and 2 was for the conventional image attenuation and the VMI50keV attenuation was 2 [− 11–27] HU and 8 [− 11–44] HU, respectively.
Discussion
With this study, we aimed to determine the differences in dlDECT-based thrombus properties between patients with acute PE and CTEPH, and to evaluate whether these novel imaging features improve diagnostic accuracy in distinguishing between the two entities. Our findings revealed that chronic thrombi are characterized by lower attenuation in both conventional and VMI50keV reconstructions, along with reduced iodine uptake. Additionally, we found that central chronic thrombi exhibit lower attenuation in VNC images. Importantly, conventional and VMI50keV reconstructions provide significant diagnostic capability in distinguishing between acute PE and CTEPH, further enhancing the diagnostic accuracy of established morphological imaging features.
A broad variety of morphological imaging features has been suggested to differentiate between acute and chronic stages of pulmonary emboli [9,10,11,12,13,14]. While differentiation between both stages is utterly relevant from a clinical perspective as it defines therapy [18], established radiological parameters fall short in meeting clinical demands for several reasons. First, they lack specificity since a great proportion (as high as 89%) of patients undergoing CTPA for suspected acute PE present at least one finding suggestive of chronicity [16]. Second, the subtle nature of these features often leads to initial oversight of CTEPH, resulting in considerable diagnostic accuracy variability and ultimately a delay in diagnosis [9, 15]. Compounding these drawbacks, even expert radiologists show poor inter-reader agreement [16], indicating a need for improved diagnostic imaging criteria.
In our study, we found that central acute thrombi are characterized by higher attenuation than central chronic thrombi in VNC reconstructions using dlDECT. Studies on the histopathologic composition of thrombi extracted from acute PE patients have demonstrated these thrombi to be typically acute and to contain high quantities of RBCs [8, 44, 45]. Further, previous true-non-contrast studies—both in vivo and ex vivo—have established a correlation between the attenuation of thrombi on true-non-contrast images and their RBC content [23, 24, 27]. The capability of dlDECT-based VNC reconstructions to give an estimate for true-non-contrast enhancement of various cardiovascular pathologies has been evidenced in numerous studies [46, 47]. Although lacking a direct validation with true-non-contrast images, our results suggest that the same holds true for pulmonary emboli as our findings align with the results from Luca et al., who demonstrated a higher attenuation of acute compared to chronic pulmonary thrombi in true-non-contrast images [31]. Of note, there was no evidence of a difference between VNC attenuation of segmental acute and chronic thrombi. This likely stems from multiple factors. First, the smaller and unbalanced sample size of this cohort (19 vs 5) may contribute to this finding. Second, technical considerations suggest that attenuation values in VNC images are particularly challenging to ascertain in small structures [48]. Consequently, our results suggest that VNC-reconstructions from dlDECT allow for an estimation of RBC content and thus age in large/central thrombi.
We observed that both thrombus attenuation in conventional and VMI50keV reconstructions and ID were higher in acute than in chronic thrombi. These findings stand in contrast to the results of previous single- and dual-energy CT studies, which reported higher attenuation [29, 30] and/or higher contrast enhancement of chronic thrombi [30, 31]. However, the aforementioned studies have several drawbacks not only limiting their comparability with our study but also raising questions on the applicability of their findings in the setting of CTEPH. First, these studies are either limited by their small sample sizes and/or imprecise definition of chronic PE. Besides its hemodynamic definition CTEPH is clinically characterized by specific indicators of enduring thromboembolism after a minimum of three months of anticoagulation treatment [49, 50]. A definition that was not met by any of the previous studies. As imaging in these studies was performed at an earlier time point they rather captured an evolving than a fully organized thrombus. Given that the majority of pulmonary thrombi resolve over time, with angiogenesis playing a crucial role in normal thrombus resolution, thrombi examined during this transformational phase are likely to exhibit enhanced contrast agent uptake.
Contrarily, our findings of reduced iodine uptake in thrombi from CTEPH patients align with histopathological studies indicating that these thrombi are largely devoid of vascular structures [51]. In line with this observation, we detected reperfusion channels in only 5/33 (15.5%) of all chronic thrombi. Further, the reduced ID in CTEPH thrombi might reflect the decreasing intrathrombotic inflammation along with progressing thrombus organization [8].
Our finding of increased contrast enhancement in acute thrombi on the other hand mirrors the results from stroke research, indicating thrombi with higher RBC content are more permeable compared to those richer in fibrin [28, 52]. Considering the reduced iodine uptake and the lower VNC values, potentially reflecting the decreased permeability due to the low RBC density of CTEPH thrombi, and the requirement that all CTEPH patients underwent at least three months of anticoagulation prior to referral, our findings indirectly reinforce the existing evidence that thrombus permeability and attenuation are predictive of the response to thrombolytic therapy [26, 32, 44, 52, 53].
Notwithstanding these considerations, both VNC and IDO reconstructions demonstrated lesser diagnostic accuracy when compared to conventional and VMI50keV reconstructions. In the light of our findings, this may be attributed to the fact that the latter methods integrate both the cellular composition and the contrast enhancement of the pulmonary thrombi. Notably, combining conventional and VMI50keV reconstructions with the MPA diameter significantly improved diagnostic accuracy for distinguishing between thrombi from acute PE and CTEPH. Consequently, both parameters could effectively augment the current morphological parameters used to distinguish between both entities.
Limitations
Besides its retrospective design, this study has several limitations that must be acknowledged. First, our assessment was solely based on ROI measurements, which potentially fall short to capture the heterogeneous composition of thrombi; nevertheless, this method demonstrated high inter-reader reproducibility. Second, a considerable proportion of patients in both the CTEPH (74/107, 69%) and the acute PE groups (73/150, 49%) were excluded due to small thrombus sizes, which limits the applicability of our results to everyday clinical practice. Third, both CTEPH and PE diagnoses were established in accordance with the respective guidelines. However, histopathological verification of thrombus age was not possible in either group. Given the diagnostic work-up of both entities, greater uncertainties regarding the true thrombus age and clot composition remain for the acute PE patients, which may affect our results. Therefore, future studies incorporating in vivo DECT-based thrombus characterization alongside histopathological thrombus analysis would be desirable to validate of our findings.
Last, although our findings align with evidence from stroke research and ex vivo investigations, they diverge in part from the prevailing literature on pulmonary thromboembolism [29, 30]. This divergence may be ascribed to the differential patient selection criteria used for the chronic PE cohort in our study. As this is the first study to adhere rigorously to the current definition of CTEPH [50], further validation of our results within a larger patient population is highly warranted. Additionally, the potential diagnostic value of our findings in identifying patients with acute on chronic PE, remains unclear based on our data and merits further investigation.
Conclusion
In summary, thrombi in patients with CTEPH are characterized by lower attenuation in conventional CT images, VNC and VMI50keV reconstructions as well as a reduced contrast enhancement.
While dlDECT reconstructions do not yield a higher diagnostic accuracy to differentiate between acute PE and CTEPH than conventional images, they provide a deeper insight into the attenuation characteristics of pulmonary emboli. Especially attenuation properties in central pulmonary thrombi can complement current morphological criteria, thereby refining diagnostic accuracy and potentially guiding therapy decisions in the context of pulmonary embolism.
Data availability
No datasets were generated or analysed during the current study.
Abbreviations
- AUC:
-
Area under the curve
- CTEPH:
-
Chronic thromboembolic pulmonary hypertension
- CTPA:
-
CT pulmonary angiography
- DECT:
-
Dual-energy CT
- dlDECT:
-
Dual-layer dual-energy CT
- ID:
-
Iodine density
- IDO:
-
Iodine density overlay
- MPA:
-
Main pulmonary artery
- PE:
-
Pulmonary embolism
- PH:
-
Pulmonary hypertension
- RBC:
-
Red blood cell
- ROI:
-
Region of interest
- RV:
-
Right ventricle/ventricular
- VMI:
-
Virtual monoenergetic images
- VNC:
-
Virtual non-contrast
References
Wendelboe AM, Raskob GE (2016) Global burden of thrombosis: epidemiologic aspects. Circ Res 118:1340–1347. https://doi.org/10.1161/CIRCRESAHA.115.306841
Raskob GE, Angchaisuksiri P, Blanco AN et al (2014) Thrombosis: a major contributor to global disease burden. Arterioscler Thromb Vasc Biol 34:2363–2371. https://doi.org/10.1161/ATVBAHA.114.304488
Turetz M, Sideris AT, Friedman OA et al (2018) Epidemiology, pathophysiology, and natural history of pulmonary embolism. Semin Intervent Radiol 35:92–98. https://doi.org/10.1055/s-0038-1642036
Delcroix M, Torbicki A, Gopalan D et al (2021) ERS statement on chronic thromboembolic pulmonary hypertension. Eur Respir J 57:2002828. https://doi.org/10.1183/13993003.02828-2020
Simonneau G, Hoeper MM (2017) Evaluation of the incidence of rare diseases: difficulties and uncertainties, the example of chronic thromboembolic pulmonary hypertension. Eur Respir J 49:1602522. https://doi.org/10.1183/13993003.02522-2016
Coquoz N, Weilenmann D, Stolz D et al (2018) Multicentre observational screening survey for the detection of CTEPH following pulmonary embolism. Eur Respir J. https://doi.org/10.1183/13993003.02505-2017
Ende-Verhaar YM, Cannegieter SC, Vonk Noordegraaf A et al (2017) Incidence of chronic thromboembolic pulmonary hypertension after acute pulmonary embolism: a contemporary view of the published literature. Eur Respir J. https://doi.org/10.1183/13993003.01792-2016
Czaplicki C, Albadawi H, Partovi S et al (2017) Can thrombus age guide thrombolytic therapy? Cardiovasc Diagn Ther 7:S186–S196. https://doi.org/10.21037/cdt.2017.11.05
Ruggiero A, Screaton NJ (2017) Imaging of acute and chronic thromboembolic disease: state of the art. Clin Radiol 72:375–388. https://doi.org/10.1016/j.crad.2017.02.011
Kharat A, Hachulla A-L, Noble S, Lador F (2018) Modern diagnosis of chronic thromboembolic pulmonary hypertension. Thromb Res 163:260–265. https://doi.org/10.1016/j.thromres.2017.09.008
Remy-Jardin M, Ryerson CJ, Schiebler ML et al (2021) Imaging of pulmonary hypertension in adults: a position paper from the Fleischner society. Radiology 298:531–549. https://doi.org/10.1148/radiol.2020203108
Doğan H, de Roos A, Geleijins J et al (2015) The role of computed tomography in the diagnosis of acute and chronic pulmonary embolism. Diagn Interv Radiol 21:307–316. https://doi.org/10.5152/dir.2015.14403
Pena E, Dennie C (2012) Acute and chronic pulmonary embolism: an in-depth review for radiologists through the use of frequently asked questions. Semin Ultrasound CT MR 33:500–521. https://doi.org/10.1053/j.sult.2012.06.001
Wittram C, Kalra MK, Maher MM et al (2006) Acute and chronic pulmonary emboli: angiography-CT correlation. Am J Roentgenol 186:S421–S429. https://doi.org/10.2214/AJR.04.1955
Boon GJAM, Jairam PM, Groot GMC et al (2021) Identification of chronic thromboembolic pulmonary hypertension on CTPAs performed for diagnosing acute pulmonary embolism depending on level of expertise. Eur J Intern Med 93:64–70. https://doi.org/10.1016/j.ejim.2021.07.001
Barco S, Mavromanoli AC, Kreitner K-F et al (2023) Preexisting chronic thromboembolic pulmonary hypertension in acute pulmonary embolism. Chest 163:923–932. https://doi.org/10.1016/j.chest.2022.11.045
Gopalan D, Delcroix M, Held M (2017) Diagnosis of chronic thromboembolic pulmonary hypertension. Eur Respir Rev 26:160108. https://doi.org/10.1183/16000617.0108-2016
Opitz I, Patella M, Lauk O et al (2022) Acute on chronic thromboembolic pulmonary hypertension: case series and review of management. J Clin Med. https://doi.org/10.3390/jcm11144224
Große Hokamp N, Maintz D, Shapira N et al (2020) Technical background of a novel detector-based approach to dual-energy computed tomography. Diagn Interv Radiol 26:68–71. https://doi.org/10.5152/dir.2019.19136
Alvarez RE, Macovski A (1976) Energy-selective reconstructions in X-ray computerized tomography. Phys Med Biol 21:733–744. https://doi.org/10.1088/0031-9155/21/5/002
Neuhaus V, Abdullayev N, Große Hokamp N et al (2017) Improvement of image quality in unenhanced dual-layer CT of the head using virtual monoenergetic images compared with polyenergetic single-energy CT. Invest Radiol 52:470–476. https://doi.org/10.1097/rli.0000000000000367
Große Hokamp N, Höink AJ, Doerner J et al (2018) Assessment of arterially hyper-enhancing liver lesions using virtual monoenergetic images from spectral detector CT: phantom and patient experience. Abdom Radiol 43:2066–2074. https://doi.org/10.1007/s00261-017-1411-1
Brinjikji W, Duffy S, Burrows A et al (2017) Correlation of imaging and histopathology of thrombi in acute ischemic stroke with etiology and outcome: a systematic review. J Neurointerv Surg 9:529–534. https://doi.org/10.1136/neurintsurg-2016-012391
Velasco Gonzalez A, Buerke B, Görlich D et al (2020) Clot analog attenuation in non-contrast CT predicts histology: an experimental study using machine learning. Transl Stroke Res 11:940–949. https://doi.org/10.1007/s12975-019-00766-z
Niesten JM, van der Schaaf IC, van der Graaf Y et al (2014) Predictive value of thrombus attenuation on thin-slice non-contrast CT for persistent occlusion after intravenous thrombolysis. Cerebrovasc Dis 37:116–122. https://doi.org/10.1159/000357420
Roh B-S, Park K-H, Kim E-A et al (2002) Prognostic value of CT before thrombolytic therapy in iliofemoral deep venous thrombosis. J Vasc Interv Radiol 13:71–76. https://doi.org/10.1016/S1051-0443(07)60011-6
Ding Y-H, Abbasi M, Michalak G et al (2021) Characterization of thrombus composition with multimodality CT-based imaging: an in-vitro study. J Neurointerv Surg 13:738–740. https://doi.org/10.1136/neurintsurg-2020-016799
Arrarte Terreros N, Tolhuisen ML, Bennink E et al (2020) From perviousness to permeability, modelling and measuring intra-thrombus flow in acute ischemic stroke. J Biomech 111:110001. https://doi.org/10.1016/j.jbiomech.2020.110001
Wittram C, Maher MM, Halpern EF, Shepard J-AO (2005) Attenuation of acute and chronic pulmonary emboli. Radiology 235:1050–1054. https://doi.org/10.1148/radiol.2353040387
Kim S, Hur J, Kim YJ et al (2014) Dual-energy CT for differentiating acute and chronic pulmonary thromboembolism: an initial experience. Int J Cardiovasc Imaging 30:113–120. https://doi.org/10.1007/s10554-014-0508-7
De Luca F, Modolon C, Buia F et al (2012) Densitometric CT evaluation of acute and chronic thromboembolic filling defects of the pulmonary arteries before and after contrast injection. Radiol Med 117:979–991. https://doi.org/10.1007/s11547-012-0828-4
Takahashi EA, Reisenauer CJ, Stockland AH et al (2018) Pulmonary embolism attenuation is a potential imaging biomarker for pulmonary artery hemodynamic improvement after catheter-directed thrombolysis. Vasc Med 23:134–138. https://doi.org/10.1177/1358863X18756504
Galiè N, Humbert M, Vachiery J-L et al (2016) 2015 ESC/ERS guidelines for the diagnosis and treatment of pulmonary hypertension: the Joint Task Force for the diagnosis and treatment of pulmonary hypertension of the European Society of Cardiology (ESC) and the European Respiratory Society (ERS): Endor. Eur Heart J 37:67–119. https://doi.org/10.1093/eurheartj/ehv317
Fernández-Capitán C, Rodriguez Cobo A, Jiménez D et al (2021) Symptomatic subsegmental versus more central pulmonary embolism: Clinical outcomes during anticoagulation. Res Pract Thromb Haemost 5:168–178. https://doi.org/10.1002/rth2.12446
Gertz RJ, Gerhardt F, Pienn M et al (2023) Dual-layer dual-energy CT-derived pulmonary perfusion for the differentiation of acute pulmonary embolism and chronic thromboembolic pulmonary hypertension. Eur Radiol. https://doi.org/10.1007/s00330-023-10337-4
Boyden EA (1954) Segmental anatomy of the lungs. Mc Graw Hill, New York
Robin X, Turck N, Hainard A et al (2011) pROC: an open-source package for R and S+ to analyze and compare ROC curves. BMC Bioinformatics 12:77. https://doi.org/10.1186/1471-2105-12-77
Pepe MS, Thompson ML (2000) Combining diagnostic test results to increase accuracy. Biostatistics 1:123–140. https://doi.org/10.1093/biostatistics/1.2.123
DeLong ER, DeLong DM, Clarke-Pearson DL (1988) Comparing the areas under two or more correlated receiver operating characteristic curves: a nonparametric approach. Biometrics 44:837–845
Liljequist D, Elfving B, Skavberg Roaldsen K (2019) Intraclass correlation—a discussion and demonstration of basic features. PLoS ONE 14:e0219854
Koo TK, Li MY (2016) A guideline of selecting and reporting intraclass correlation coefficients for reliability research. J Chiropr Med 15:155–163. https://doi.org/10.1016/j.jcm.2016.02.012
Revelle WR (2017) No title. Psych: procedures for personality and psychological research software
Bland JM, Altman DG (1999) Measuring agreement in method comparison studies. Stat Methods Med Res 8:135–160. https://doi.org/10.1177/096228029900800204
Hendley SA, Dimov A, Bhargava A et al (2021) Assessment of histological characteristics, imaging markers, and rt-PA susceptibility of ex vivo venous thrombi. Sci Rep 11:22805. https://doi.org/10.1038/s41598-021-02030-7
Silver MJ, Kawakami R, Jolly MA et al (2021) Histopathologic analysis of extracted thrombi from deep venous thrombosis and pulmonary embolism: mechanisms and timing. Catheterization Cardiovasc Interv 97:1422–1429. https://doi.org/10.1002/ccd.29500
Si-Mohamed S, Dupuis N, Tatard-Leitman V et al (2019) Virtual versus true non-contrast dual-energy CT imaging for the diagnosis of aortic intramural hematoma. Eur Radiol 29:6762–6771. https://doi.org/10.1007/s00330-019-06322-5
Winklhofer S, Vittoria De Martini I, Nern C et al (2017) Dual-energy computed tomography in stroke imaging: technical and clinical considerations of virtual noncontrast images for detection of the hyperdense artery sign. J Comput Assist Tomogr 41:843–848
Helck A, Hummel N, Meinel FG et al (2014) Can single-phase dual-energy CT reliably identify adrenal adenomas? Eur Radiol 24:1636–1642. https://doi.org/10.1007/s00330-014-3192-z
Simonneau G, Montani D, Celermajer DS et al (2019) Haemodynamic definitions and updated clinical classification of pulmonary hypertension. Eur Respir J. https://doi.org/10.1183/13993003.01913-2018
Humbert M, Kovacs G, Hoeper MM et al (2022) 2022 ESC/ERS Guidelines for the diagnosis and treatment of pulmonary hypertension: Developed by the task force for the diagnosis and treatment of pulmonary hypertension of the European Society of Cardiology (ESC) and the European Respiratory Society (ERS). Eur Heart J 43:3618–3731. https://doi.org/10.1093/eurheartj/ehac237
Alias S, Redwan B, Panzenboeck A et al (2014) Defective angiogenesis delays thrombus resolution: a potential pathogenetic mechanism underlying chronic thromboembolic pulmonary hypertension. Arterioscler Thromb Vasc Biol 34:810–819. https://doi.org/10.1161/ATVBAHA.113.302991
Dai Y, Xu H, Fang X et al (2023) Dual-energy CT in assessment of thrombus perviousness and its application in predicting outcomes after intravenous thrombolysis in acute ischemic stroke. Eur J Radiol 164:110861. https://doi.org/10.1016/j.ejrad.2023.110861
Benson JC, Fitzgerald ST, Kadirvel R et al (2020) Clot permeability and histopathology: is a clot’s perviousness on CT imaging correlated with its histologic composition? J Neurointerv Surg 12:38–42. https://doi.org/10.1136/neurintsurg-2019-014979
Funding
Open Access funding enabled and organized by Projekt DEAL. Supported by the Cologne Clinician Scientist Program (CCSP)/Faculty of Medicine/University of Cologne. Funded by the Deutsche Forschungsgemeinschaft (DFG, German Research Foundation) (Project No. 413543196).
Author information
Authors and Affiliations
Contributions
RJG was responsible for data collection, image analysis, and writing the manuscript, including graphic preparation. KK performed the reproducibility analysis. SR conducted clinical characterization of the patients and invasive testing in the CTEPH cohort. SL, JK, JRK, and RPWMR supported image analysis and study design. NGH, LP, CHG, and FF contributed to graphic preparation and manuscript conceptualization. MP performed the statistical analysis. ACB designed the study, supported graphic preparation and manuscript conceptualization, and supervised the project. All authors reviewed and approved the final manuscript.
Corresponding author
Ethics declarations
Competing interest
Roman Johannes Gertz was supported by the Cologne Clinician Scientist Program (CCSP)/Faculty of Medicine/University of Cologne. Funded by the Deutsche Forschungsgemeinschaft (DFG, German Research Foundation) (Project No. 413543196). Roman Johannes Gertz, Nils Große Hokamp, Lenhard Pennig and David Maintz are on speaker’s bureau of Philips Healthcare. Florian Johannes Fintelmann is a speaker and consultant for Boston Scientific, a consultant for BD, and has received research funding from Pfizer. Roman Johannes Gertz and Lenhard Pennig are on speaker´s bureau of Guerbet GmbH. Simon Lennartz is a member of Editorial Board of Radiology and a Senior Deputy Editor of Radiology in Training. Jan Robert Kroeger received honoraria for scientific lectures from GE Healthcare and honoraria for clinical advisory board membership from Siemens Healthineers.
Ethical approval
This study was approved by the local institutional review board (Ethics Committee of the Faculty of Medicine from the University of Cologne, Cologne, Germany). The necessity for informed consent was waived due to the retrospective design of the study. All clinical investigations were conducted in accordance with the Declaration of Helsinki.
Additional information
Publisher's Note
Springer Nature remains neutral with regard to jurisdictional claims in published maps and institutional affiliations.
Supplementary Information
Below is the link to the electronic supplementary material.
Rights and permissions
Open Access This article is licensed under a Creative Commons Attribution 4.0 International License, which permits use, sharing, adaptation, distribution and reproduction in any medium or format, as long as you give appropriate credit to the original author(s) and the source, provide a link to the Creative Commons licence, and indicate if changes were made. The images or other third party material in this article are included in the article's Creative Commons licence, unless indicated otherwise in a credit line to the material. If material is not included in the article's Creative Commons licence and your intended use is not permitted by statutory regulation or exceeds the permitted use, you will need to obtain permission directly from the copyright holder. To view a copy of this licence, visit http://creativecommons.org/licenses/by/4.0/.
About this article
Cite this article
Gertz, R.J., Lennartz, S., Kaya, K. et al. Dual-layer dual-energy CT characterization of thrombus composition in acute pulmonary embolism and chronic thromboembolic pulmonary hypertension. Int J Cardiovasc Imaging 41, 303–314 (2025). https://doi.org/10.1007/s10554-024-03309-2
Received:
Accepted:
Published:
Issue date:
DOI: https://doi.org/10.1007/s10554-024-03309-2






