Skip to main content

The challenge of coronary calcium on coronary computed tomographic angiography (CCTA) scans: effect on interpretation and possible solutions

Abstract

Coronary calcium seen on coronary computed tomographic angiography (CCTA) scans is a common diagnostic challenge which can make interpretation difficult. It is the most common cause of false positive (FP) results from CCTA compared with invasive coronary angiography (ICA), and affects the positive predictive results. At the same time, coronary calcium can result in false negative (FN) results, and this again can affect the reported diagnostic accuracy of CCTA, as the high negative predictive value of CCTA compared to ICA is one of its strengths. This paper reviews the reasons that coronary calcium can cause FP and FN results, and the effects of the morphologies and sizes of the calcified plaques, with particular regard to their relationship with the visualization of the contrast-filled lumen of the coronary artery. Some possible solutions to overcome the limitations of reading CCTA scans with calcified plaques also are discussed, with a view to improving the accuracy of interpreting and reporting CCTA scans; these solutions include using the degree of residual visible contrast-filled lumen to help assess the likelihood of significant associated coronary stenosis, and applying newer technical developments such as dual-energy imaging and volume calcium subtraction.

This is a preview of subscription content, access via your institution.

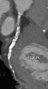
Fig. 1
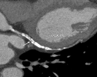
Fig. 2
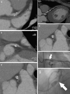
Fig. 3
Fig. 4
Fig. 5
Fig. 6
Fig. 7
Fig. 8

References

  1. Arbab-Zadeh A (2012) Stress testing and non-invasive coronary angiography in patients with suspected coronary artery disease: time for a new paradigm. Heart Int 7(1):e2

    PubMed Central  Article  PubMed  Google Scholar 

  2. Min JK, Shaw LJ, Berman DS (2010) The present state of coronary computed tomography angiography a process in evolution. J Am Coll Cardiol 55(10):957–965

    Article  PubMed  Google Scholar 

  3. Budoff MJ, Dowe D, Jollis JG, Gitter M, Sutherland J, Halamert E, Scherer M, Bellinger R, Martin A, Benton R, Delago A, Min JK (2008) Diagnostic performance of 64-multidetector row coronary computed tomographic angiography for evaluation of coronary artery stenosis in individuals without known coronary artery disease: results from the prospective multicenter ACCURACY (assessment by coronary computed tomographic angiography of individuals undergoing invasive coronary angiography) trial. J Am Coll Cardiol 52(21):1724–1732

    Article  PubMed  Google Scholar 

  4. Miller JM, Rochitte CE, Dewey M, Arbab-Zadeh A, Niinuma H, Gottlieb I, Paul N, Clouse ME, Shapiro EP, Hoe J, Lardo AC, Bush DE, de Roos A, Cox C, Brinker J, Lima JA (2008) Diagnostic performance of coronary angiography by 64-row CT. N Engl J Med 359(22):2324–2336

    CAS  Article  PubMed  Google Scholar 

  5. Meijboom WB, Meijs MF, Schuijf JD, Cramer MJ, Mollet NR, van Mieghem CA, Nieman K, van Werkhoven JM, Pundziute G, Weustink AC, de Vos AM, Pugliese F, Rensing B, Jukema JW, Bax JJ, Prokop M, Doevendans PA, Hunink MG, Krestin GP, de Feyter PJ (2008) Diagnostic accuracy of 64-slice computed tomography coronary angiography: a prospective, multicenter, multivendor study. J Am Coll Cardiol 52(25):2135–2144

    Article  PubMed  Google Scholar 

  6. Mowatt G, Cook JA, Hillis GS, Walker S, Fraser C, Jia X, Waugh N (2008) 64-Slice computed tomography angiography in the diagnosis and assessment of coronary artery disease: systematic review and meta-analysis. Heart 94(11):1386–1393

    CAS  Article  PubMed  Google Scholar 

  7. Paech DC, Weston AR (2011) A systematic review of the clinical effectiveness of 64-slice or higher computed tomography angiography as an alternative to invasive coronary angiography in the investigation of suspected coronary artery disease. BMC Cardiovasc Disord 11:32

    PubMed Central  Article  PubMed  Google Scholar 

  8. von Ballmoos MW, Haring B, Juillerat P, Alkadhi H (2011) Meta-analysis: diagnostic performance of low-radiation-dose coronary computed tomography angiography. Ann Intern Med 154(6):413–420

    Article  Google Scholar 

  9. Task Force Members, Montalescot G, Sechtem U, Achenbach S, Andreotti F, Arden C, Budaj A, Bugiardini R, Crea F, Cuisset T, Di Mario C, Ferreira JR, Gersh BJ, Gitt AK, Hulot JS, Marx N, Opie LH, Pfisterer M, Prescott E, Ruschitzka F, Sabate M, Senior R, Taggart DP, van der Wall EE, Vrints CJ, Guidelines ESCCfP, Zamorano JL, Achenbach S, Baumgartner H, Bax JJ, Bueno H, Dean V, Deaton C, Erol C, Fagard R, Ferrari R, Hasdai D, Hoes AW, Kirchhof P, Knuuti J, Kolh P, Lancellotti P, Linhart A, Nihoyannopoulos P, Piepoli MF, Ponikowski P, Sirnes PA, Tamargo JL, Tendera M, Torbicki A, Wijns W, Windecker S, Document R, Knuuti J, Valgimigli M, Bueno H, Claeys MJ, Donner-Banzhoff N, Erol C, Frank H, Funck-Brentano C, Gaemperli O, Gonzalez-Juanatey JR, Hamilos M, Hasdai D, Husted S, James SK, Kervinen K, Kolh P, Kristensen SD, Lancellotti P, Maggioni AP, Piepoli MF, Pries AR, Romeo F, Ryden L, Simoons ML, Sirnes PA, Steg PG, Timmis A, Wijns W, Windecker S, Yildirir A, Zamorano JL (2013) 2013 ESC guidelines on the management of stable coronary artery disease: the Task Force on the management of stable coronary artery disease of the European Society of Cardiology. Eur Heart J 34(38):2949–3003

    Article  Google Scholar 

  10. Cury RC (2014) President’s page: coronary CT angiography as a gatekeeper to the catheterization laboratory. J Cardiovasc Comput Tomogr 8(6):480–482

    Article  PubMed  Google Scholar 

  11. Raff GL (2007) Interpreting the evidence: how accurate is coronary computed tomography angiography? J Cardiovasc Comput Tomogr 1(2):73–77

    Article  PubMed  Google Scholar 

  12. Kroft LJ, de Roos A, Geleijns J (2007) Artifacts in ECG-synchronized MDCT coronary angiography. AJR Am J Roentgenol 189(3):581–591

    CAS  Article  PubMed  Google Scholar 

  13. Pugliese F, Mollet NR, Runza G, van Mieghem C, Meijboom WB, Malagutti P, Baks T, Krestin GP, deFeyter PJ, Cademartiri F (2006) Diagnostic accuracy of non-invasive 64-slice CT coronary angiography in patients with stable angina pectoris. Eur Radiol 16(3):575–582

    Article  PubMed  Google Scholar 

  14. Mollet NR, Cademartiri F, van Mieghem CA, Runza G, McFadden EP, Baks T, Serruys PW, Krestin GP, de Feyter PJ (2005) High-resolution spiral computed tomography coronary angiography in patients referred for diagnostic conventional coronary angiography. Circulation 112(15):2318–2323

    Article  PubMed  Google Scholar 

  15. Leber AW, Johnson T, Becker A, von Ziegler F, Tittus J, Nikolaou K, Reiser M, Steinbeck G, Becker CR, Knez A (2007) Diagnostic accuracy of dual-source multi-slice CT-coronary angiography in patients with an intermediate pretest likelihood for coronary artery disease. Eur Heart J 28(19):2354–2360

    Article  PubMed  Google Scholar 

  16. Hoffmann U, Moselewski F, Cury RC, Ferencik M, Jang IK, Diaz LJ, Abbara S, Brady TJ, Achenbach S (2004) Predictive value of 16-slice multidetector spiral computed tomography to detect significant obstructive coronary artery disease in patients at high risk for coronary artery disease: patient-versus segment-based analysis. Circulation 110(17):2638–2643

    Article  PubMed  Google Scholar 

  17. Brodoefel H, Reimann A, Burgstahler C, Schumacher F, Herberts T, Tsiflikas I, Schroeder S, Claussen CD, Kopp AF, Heuschmid M (2008) Noninvasive coronary angiography using 64-slice spiral computed tomography in an unselected patient collective: effect of heart rate, heart rate variability and coronary calcifications on image quality and diagnostic accuracy. Eur J Radiol 66(1):134–141

    CAS  Article  PubMed  Google Scholar 

  18. Kuettner A, Kopp AF, Schroeder S, Rieger T, Brunn J, Meisner C, Heuschmid M, Trabold T, Burgstahler C, Martensen J, Schoebel W, Selbmann HK, Claussen CD (2004) Diagnostic accuracy of multidetector computed tomography coronary angiography in patients with angiographically proven coronary artery disease. J Am Coll Cardiol 43(5):831–839

    Article  PubMed  Google Scholar 

  19. Vavere AL, Arbab-Zadeh A, Rochitte CE, Dewey M, Niinuma H, Gottlieb I, Clouse ME, Bush DE, Hoe JW, de Roos A, Cox C, Lima JA, Miller JM (2011) Coronary artery stenoses: accuracy of 64-detector row CT angiography in segments with mild, moderate, or severe calcification—a subanalysis of the CORE-64 trial. Radiology 261(1):100–108

    PubMed Central  Article  PubMed  Google Scholar 

  20. Gouya H, Varenne O, Trinquart L, Touze E, Vignaux O, Spaulding C, Mas JL, Sablayrolles JL (2009) Coronary artery stenosis in high-risk patients: 64-section CT and coronary angiography—prospective study and analysis of discordance. Radiology 252(2):377–385

    Article  PubMed  Google Scholar 

  21. Zhang S, Levin DC, Halpern EJ, Fischman D, Savage M, Walinsky P (2008) Accuracy of MDCT in assessing the degree of stenosis caused by calcified coronary artery plaques. AJR Am J Roentgenol 191(6):1676–1683

    Article  PubMed  Google Scholar 

  22. van Velzen JE, de Graaf FR, de Graaf MA, Schuijf JD, Kroft LJ, de Roos A, Reiber JH, Bax JJ, Jukema JW, Boersma E, Schalij MJ, van der Wall EE (2011) Comprehensive assessment of spotty calcifications on computed tomography angiography: comparison to plaque characteristics on intravascular ultrasound with radiofrequency backscatter analysis. J Nucl Cardiol 18(5):893–903

    PubMed Central  Article  PubMed  Google Scholar 

  23. Motoyama S, Kondo T, Sarai M, Sugiura A, Harigaya H, Sato T, Inoue K, Okumura M, Ishii J, Anno H, Virmani R, Ozaki Y, Hishida H, Narula J (2007) Multislice computed tomographic characteristics of coronary lesions in acute coronary syndromes. J Am Coll Cardiol 50(4):319–326

    Article  PubMed  Google Scholar 

  24. Motoyama S, Sarai M, Harigaya H, Anno H, Inoue K, Hara T, Naruse H, Ishii J, Hishida H, Wong ND, Virmani R, Kondo T, Ozaki Y, Narula J (2009) Computed tomographic angiography characteristics of atherosclerotic plaques subsequently resulting in acute coronary syndrome. J Am Coll Cardiol 54(1):49–57

    Article  PubMed  Google Scholar 

  25. Ehara S, Kobayashi Y, Yoshiyama M, Shimada K, Shimada Y, Fukuda D, Nakamura Y, Yamashita H, Yamagishi H, Takeuchi K, Naruko T, Haze K, Becker AE, Yoshikawa J, Ueda M (2004) Spotty calcification typifies the culprit plaque in patients with acute myocardial infarction: an intravascular ultrasound study. Circulation 110(22):3424–3429

    Article  PubMed  Google Scholar 

  26. Wexler L, Brundage B, Crouse J, Detrano R, Fuster V, Maddahi J, Rumberger J, Stanford W, White R, Taubert K (1996) Coronary artery calcification: pathophysiology, epidemiology, imaging methods, and clinical implications. A statement for health professionals from the American heart association. Writing group. Circulation 94(5):1175–1192

    CAS  Article  PubMed  Google Scholar 

  27. Kwan AC, Cater G, Vargas J, Bluemke DA (2013) Beyond coronary stenosis: coronary computed tomographic angiography for the assessment of atherosclerotic plaque burden. Curr Cardiovasc Imaging Rep 6(2):89–101

    PubMed Central  Article  PubMed  Google Scholar 

  28. Renker M, Nance JW Jr, Schoepf UJ, O’Brien TX, Zwerner PL, Meyer M, Kerl JM, Bauer RW, Fink C, Vogl TJ, Henzler T (2011) Evaluation of heavily calcified vessels with coronary CT angiography: comparison of iterative and filtered back projection image reconstruction. Radiology 260(2):390–399

    Article  PubMed  Google Scholar 

  29. Leber AW, Knez A, von Ziegler F, Becker A, Nikolaou K, Paul S, Wintersperger B, Reiser M, Becker CR, Steinbeck G, Boekstegers P (2005) Quantification of obstructive and nonobstructive coronary lesions by 64-slice computed tomography: a comparative study with quantitative coronary angiography and intravascular ultrasound. J Am Coll Cardiol 46(1):147–154

    Article  PubMed  Google Scholar 

  30. Sarwar A, Rieber J, Mooyaart EA, Seneviratne SK, Houser SL, Bamberg F, Raffel OC, Gupta R, Kalra MK, Pien H, Lee H, Brady TJ, Hoffmann U (2008) Calcified plaque: measurement of area at thin-section flat-panel CT and 64-section multidetector CT and comparison with histopathologic findings. Radiology 249(1):301–306

    Article  PubMed  Google Scholar 

  31. Voros S, Rinehart S, Qian Z, Joshi P, Vazquez G, Fischer C, Belur P, Hulten E, Villines TC (2011) Coronary atherosclerosis imaging by coronary CT angiography: current status, correlation with intravascular interrogation and meta-analysis. JACC Cardiovasc Imaging 4(5):537–548

    Article  PubMed  Google Scholar 

  32. Nicol E, Stirrup J, Kelion AD, Padley S (2012) Cardiovascular computed tomography. Oxford University Press, Oxford, p 26

    Google Scholar 

  33. Cordeiro MA, Lima JA (2006) Atherosclerotic plaque characterization by multidetector row computed tomography angiography. J Am Coll Cardiol 47(8 Suppl):C40–C47

    Article  PubMed  Google Scholar 

  34. Pontone G, Bertella E, Mushtaq S, Loguercio M, Cortinovis S, Baggiano A, Conte E, Annoni A, Formenti A, Beltrama V, Guaricci AI, Andreini D (2014) Coronary artery disease: diagnostic accuracy of CT coronary angiography—a comparison of high and standard spatial resolution scanning. Radiology 271(3):688–694

    Article  PubMed  Google Scholar 

  35. Achenbach S, Marwan M, Ropers D, Schepis T, Pflederer T, Anders K, Kuettner A, Daniel WG, Uder M, Lell MM (2010) Coronary computed tomography angiography with a consistent dose below 1 mSv using prospectively electrocardiogram-triggered high-pitch spiral acquisition. Eur Heart J 31(3):340–346

    Article  PubMed  Google Scholar 

  36. Esposito A, Colantoni C, De Cobelli F, Del Vecchio A, Palmisano A, Calandrino R, Del Maschio A (2013) Multidetector computed tomography for coronary stents imaging: high-voltage (140-kVp) prospective ECG-triggered versus standard-voltage (120-kVp) retrospective ECG-gated helical scanning. J Comput Assist Tomogr 37(3):395–401

    Article  PubMed  Google Scholar 

  37. Nelson RC, Feuerlein S, Boll DT (2011) New iterative reconstruction techniques for cardiovascular computed tomography: how do they work, and what are the advantages and disadvantages? J Cardiovasc Comput Tomogr 5(5):286–292

    Article  PubMed  Google Scholar 

  38. van der Bijl N, Joemai RM, Mertens BJ, de Roos A, Veldkamp WJ, Bax JJ, Schuijf JD, Geleijns J, Kroft LJ (2013) Effect of dose reduction on image quality and diagnostic performance in coronary computed tomography angiography. Int J Cardiovasc Imaging 29(2):453–461

    PubMed Central  Article  PubMed  Google Scholar 

  39. Kachelrieß M (2013) Iterative reconstruction techniques: what do they mean for cardiac CT? Curr Cardiovasc Imaging Rep 6:268–281

    Article  Google Scholar 

  40. Scheffel H, Stolzmann P, Schlett CL, Engel LC, Major GP, Karolyi M, Do S, Maurovich-Horvat P, Hoffmann U (2012) Coronary artery plaques: cardiac CT with model-based and adaptive-statistical iterative reconstruction technique. Eur J Radiol 81(3):e363–e369

    Article  PubMed  Google Scholar 

  41. Willemink MJ, Leiner T, de Jong PA, de Heer LM, Nievelstein RA, Schilham AM, Budde RP (2013) Iterative reconstruction techniques for computed tomography part 2: initial results in dose reduction and image quality. Eur Radiol 23(6):1632–1642

    Article  PubMed  Google Scholar 

  42. Vlahos I, Chung R, Nair A, Morgan R (2012) Dual-energy CT: vascular applications. AJR Am J Roentgenol 199(5 Suppl):S87–S97

    Article  PubMed  Google Scholar 

  43. Uotani K, Watanabe Y, Higashi M, Nakazawa T, Kono AK, Hori Y, Fukuda T, Kanzaki S, Yamada N, Itoh T, Sugimura K, Naito H (2009) Dual-energy CT head bone and hard plaque removal for quantification of calcified carotid stenosis: utility and comparison with digital subtraction angiography. Eur Radiol 19(8):2060–2065

    Article  PubMed  Google Scholar 

  44. Korn A, Bender B, Thomas C, Danz S, Fenchel M, Nagele T, Heuschmid M, Ernemann U, Hauser TK (2011) Dual energy CTA of the carotid bifurcation: advantage of plaque subtraction for assessment of grade of the stenosis and morphology. Eur J Radiol 80(2):e120–e125

    CAS  Article  PubMed  Google Scholar 

  45. Yamada M, Jinzaki M, Imai Y, Yamazaki S, Imanishi N, Tanami Y, Yamazaki A, Aiso S, Kuribayashi S (2011) Evaluation of severely calcified coronary artery using fast-switching dual-kVp 64-slice computed tomography. Circ J 75(2):472–473

    Article  PubMed  Google Scholar 

  46. Yoshioka K, Tanaka R (2011) Subtraction coronary CT angiography for the evaluation of severely calcified lesions using a 320-detector row scanner. Curr Cardiovasc Imaging Rep 4:437–446

    Article  Google Scholar 

  47. Yoshioka K, Tanaka R, Muranaka K (2012) Subtraction coronary CT angiography for calcified lesions. Cardiol Clin 30(1):93–102

    Article  PubMed  Google Scholar 

  48. Tanaka R, Yoshioka K, Muranaka K, Chiba T, Ueda T, Sasaki T, Fusazaki T, Ehara S (2013) Improved evaluation of calcified segments on coronary CT angiography: a feasibility study of coronary calcium subtraction. Int J Cardiovasc Imaging 29(Suppl 2):75–81

    Article  PubMed  Google Scholar 

  49. Hoe JW, Toh KH (2007) A practical guide to reading CT coronary angiograms—how to avoid mistakes when assessing for coronary stenoses. Int J Cardiovasc Imaging 23(5):617–633

    Article  PubMed  Google Scholar 

  50. Shmilovich H, Cheng VY, Dey D, Rajani R, Nakazato R, Otaki Y, Nakanishi R, Vashistha V, Min JK, Berman DS (2014) Optimizing image contrast display improves quantitative stenosis measurement in heavily calcified coronary arterial segments on coronary CT angiography: a proof-of-concept and comparison to quantitative invasive coronary angiography. Acad Radiol 21(6):797–804

    Article  PubMed  Google Scholar 

  51. Cerci R, Vavere AL, Miller JM, Yoneyama K, Rochitte CE, Dewey M, Niinuma H, Clouse ME, Laham R, Bush DE, Shapiro EP, Lardo AC, Cox C, Brinker J, Lima JA, Arbab-Zadeh A (2013) Patterns of coronary arterial lesion calcification by a novel, cross-sectional CT angiographic assessment. Int J Cardiovasc Imaging 29(7):1619–1627

    PubMed Central  Article  PubMed  Google Scholar 

  52. Park MJ, Jung JI, Choi YS, Ann SH, Youn HJ, Jeon GN, Choi HC (2011) Coronary CT angiography in patients with high calcium score: evaluation of plaque characteristics and diagnostic accuracy. Int J Cardiovasc Imaging 27(Suppl 1):43–51

    Article  PubMed  Google Scholar 

  53. Kajinami K, Seki H, Takekoshi N, Mabuchi H (1997) Coronary calcification and coronary atherosclerosis: site by site comparative morphologic study of electron beam computed tomography and coronary angiography. J Am Coll Cardiol 29(7):1549–1556

    CAS  Article  PubMed  Google Scholar 

  54. Thilo C, Gebregziabher M, Mayer FB, Zwerner PL, Costello P, Schoepf UJ (2010) Correlation of regional distribution and morphological pattern of calcification at CT coronary artery calcium scoring with non-calcified plaque formation and stenosis. Eur Radiol 20(4):855–861

    Article  PubMed  Google Scholar 

  55. Arbab-Zadeh A, Miller JM, Rochitte CE, Dewey M, Niinuma H, Gottlieb I, Paul N, Clouse ME, Shapiro EP, Hoe J, Lardo AC, Bush DE, de Roos A, Cox C, Brinker J, Lima JA (2012) Diagnostic accuracy of computed tomography coronary angiography according to pre-test probability of coronary artery disease and severity of coronary arterial calcification. The CORE-64 (coronary artery evaluation using 64-row multidetector computed tomography angiography) International Multicenter Study. J Am Coll Cardiol 59(4):379–387

    PubMed Central  Article  PubMed  Google Scholar 

  56. Palumbo AA, Maffei E, Martini C, Tarantini G, Di Tanna GL, Berti E, Grilli R, Casolo G, Brambilla V, Cerrato M, Rotondo A, Weustink AC, Mollet NR, Cademartiri F (2009) Coronary calcium score as gatekeeper for 64-slice computed tomography coronary angiography in patients with chest pain: per-segment and per-patient analysis. Eur Radiol 19(9):2127–2135

    Article  PubMed  Google Scholar 

  57. den Dekker MA, de Smet K, de Bock GH, Tio RA, Oudkerk M, Vliegenthart R (2012) Diagnostic performance of coronary CT angiography for stenosis detection according to calcium score: systematic review and meta-analysis. Eur Radiol 22(12):2688–2698

    Article  Google Scholar 

Download references

Author information

Affiliations

Authors

Corresponding author

Correspondence to Makmur Andrew.

Ethics declarations

Conflict of interest

Both authors (Andrew Makmur and John Hoe) declare that there is no conflict of interest.

Human and animals rights

This article does not contain any studies with human participants or animals performed by any of the authors.

Rights and permissions

Reprints and Permissions

About this article

Verify currency and authenticity via CrossMark

Cite this article

Andrew, M., John, H. The challenge of coronary calcium on coronary computed tomographic angiography (CCTA) scans: effect on interpretation and possible solutions. Int J Cardiovasc Imaging 31, 145–157 (2015). https://doi.org/10.1007/s10554-015-0773-0

Download citation

  • Received:

  • Accepted:

  • Published:

  • Issue Date:

  • DOI: https://doi.org/10.1007/s10554-015-0773-0

Keywords

  • Computed tomography
  • Coronary artery disease
  • Angiography
  • Calcified atherosclerotic plaques
  • Artifacts