Skip to main content

Tortuosity of coronary arteries: an indicator for impaired left ventricular relaxation?

Abstract

Objective

To investigate the relationship between coronary tortuosity and impaired left ventricular relaxation.

Methods

One hundred and four subjects who underwent coronary angiography were included in the study. Left anterior descending, left circumflex, and right coronary arteries were traced. Tortuosity was identified by the finding of ≥3 bends (defined as ≥45° change in vessel direction) along main trunk of at least one artery. Study population were divided into tortuosity (n = 54) and no tortuosity (n = 50) groups. Subjects were all submitted to pulsed-wave Doppler and two-dimensional echocardiographic examination to assess left ventricular functions.

Results

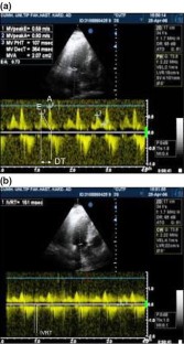
For subjects with tortuosity, early transmitral inflow (E) velocity was lower, late transmitral inflow (A) velocity was higher, E/A ratio was smaller compared with subjects without tortuosity (P < 0.001). Subjects with tortuosity had longer deceleration time of E velocity (DT) and isovolumic relaxation time (IVRT) than did subjects without tortuosity (P < 0.001). End-diastolic interventricular septal and left ventricular posterior wall thicknesses were greater in subjects with tortuosity than those without tortuosity (P = 0.01 and P = 0.005). There was an inverse correlation between total number of arteries with tortuosity and E/A ratio (r = −0.750, P < 0.001). Total number of arteries with tortuosity displayed correlations with DT (r = 0.723, P < 0.001) and IVRT (r = 0.703, P < 0.001).

Conclusions

This study depicts that coronary tortuosity is associated with impaired left ventricular relaxation.Thus, coronary tortuosity might be an indicator of impaired left ventricular relaxation.

This is a preview of subscription content, access via your institution.

Fig. 1
Fig. 2

Abbreviations

A:

Peak late mitral inflow

BMI:

Body mass index

CI:

Confidence interval

E:

Peak early mitral inflow

DT:

Deceleration time of the E velocity

IVRT:

Isovolumic relaxation time

IVS:

Interventricular septal wall thickness at end-diastole

LAD:

Left anterior descending coronary artery

LCX:

Left circumflex coronary artery

LVEF:

Left ventricular ejection fraction

OR:

Odds ratio

PW:

Left ventricular posterior wall thickness at end-diastole

References

  1. Hutchins GM, Bulkley BH, Miner MM, Boitnott JK (1977) Correlation of age and heart weight with tortuosity and caliber of normal human coronary arteries. Am Heart J 94:196–202

    PubMed  Article  CAS  Google Scholar 

  2. Gertz SD, Roberts WC (1990) Hemodynamic shear force in rupture of coronary arterial atherosclerotic plaques. Am J Cardiol 66:1368–1372

    PubMed  Article  CAS  Google Scholar 

  3. Cheng GC, Loree HM, Kamm RD, Fishbein MC, Lee RT (1993) Distribution of circumferential stress in ruptured and stable atherosclerotic lesions. A structural analysis with histopathological correlation. Circulation 87:1179–1187

    PubMed  CAS  Google Scholar 

  4. Tengiz I, Aliyev E, Ercan E (2005) An alternative percutaneous interventional approach for post-anastomatic left anterior descending artery stenosis in patients with markedly tortuous LIMA graft. Int J Cardiovasc Imaging 21:491–494

    PubMed  Article  Google Scholar 

  5. Cacciapuoti F, D’Avino M, Lama D, Bianchi U, Perrone N, Varricchio M (1992) Progressive impairment of left ventricular diastolic filling with advancing age: a Doppler echocardiographic study. J Am Geriatr Soc 40:245–250

    PubMed  CAS  Google Scholar 

  6. Yamada H, Oki T, Mishiro Y et al (1999) Effect of aging on diastolic left ventricular myocardial velocities measured by pulsed tissue Doppler imaging in healthy subjects. J Am Soc Echocardiogr 12:574–581

    PubMed  Article  CAS  Google Scholar 

  7. Tokushima T, Reid CL, Gardin JM (2001) Left ventricular diastolic function in the elderly. Am J Geriatr Cardiol 10:20–29

    PubMed  Article  CAS  Google Scholar 

  8. Stoddard MF, Tseuda K, Thomas M, Dillon S, Kupersmith J (1992) The influence of obesity on left ventricular filling and systolic function. Am Heart J 124:694–699

    PubMed  Article  CAS  Google Scholar 

  9. Berkalp B, Cesur V, Corapcioglu D, Erol C, Baskal N (1995) Obesity and left ventricular diastolic dysfunction. Int J Cardiol 52:23–26

    PubMed  Article  CAS  Google Scholar 

  10. Chang KC, Tseng YZ, Kuo TS, Chen HI (1994) Impaired left ventricular relaxation and arterial stiffness in patients with essential hypertension. Clin Sci (Lond) 87:641–647

    CAS  Google Scholar 

  11. Musiari L, Ceriati R, Taliani U, Montesi M, Novarini A (1999) Early abnormalities in left ventricular diastolic function of sodium-sensitive hypertensive patients. J Hum Hypertens 13:711–716

    PubMed  Article  CAS  Google Scholar 

  12. Zabalgoitia M, Ismaeil MF, Anderson L, Maklady FA (2001) Prevalence of diastolic dysfunction in normotensive, asymptomatic patients with well-controlled type 2 diabetes mellitus. Am J Cardiol 87:320–323

    PubMed  Article  CAS  Google Scholar 

  13. Boyer JK, Thanigaraj S, Schechtman KB, Perez JE (2004) Prevalence of ventricular diastolic dysfunction in asymptomatic, normotensive patients with diabetes mellitus. Am J Cardiol 93:870–875

    PubMed  Article  Google Scholar 

  14. Paolisso G, Cacciapuoti F, Lama D, Galzarano D, Varricchio M, D’Onofrio F (1992) Impaired left ventricular relaxation and hyperinsulinemia in patients with primary hypercholesterolemia. Atherosclerosis 96:65–70

    PubMed  Article  CAS  Google Scholar 

  15. Zaacks SM, Allen JE, Calvin JE et al (1998) Value of the American College of Cardiology/American Heart Association stenosis morphology classification for coronary interventions in the late 1990s. Am J Cardiol 82:43–49

    PubMed  Article  CAS  Google Scholar 

  16. Schiller NB, Shah PM, Crawford M et al (1989) Recommendations for quantitation of the left ventricle by two-dimensional echocardiography. American Society of Echocardiography Committee on Standards, Subcommittee on Quantitation of Two-Dimensional Echocardiograms. J Am Soc Echocardiogr 2:358–367

    PubMed  CAS  Google Scholar 

  17. Cohen GI, Pietrolungo JF, Thomas JD, Klein AL (1996) A practical guide to assessment of ventricular diastolic function using Doppler echocardiography. J Am Coll Cardiol 27:1753–1760

    PubMed  Article  CAS  Google Scholar 

  18. Dumesnil JG, Gaudreault G, Honos GN, Kingma JG Jr (1991) Use of Valsalva maneuver to unmask left ventricular diastolic function abnormalities by Doppler echocardiography in patients with coronary artery disease or systemic hypertension. Am J Cardiol 68:515–519

    PubMed  Article  CAS  Google Scholar 

  19. Jakob M, Spasojevic D, Krogmann ON, Wiher H, Hug R, Hess OM (1996) Tortuosity of coronary arteries in chronic pressure and volume overload. Cathet Cardiovasc Diagn 38:25–31

    PubMed  Article  CAS  Google Scholar 

  20. Dagianti A, Rosanio S, Luongo R, Dagianti A, Fedele F (1993) Coronary morphometry in essential arterial hypertension. Cardiologia 38:497–502

    PubMed  CAS  Google Scholar 

  21. Komuro I, Katoh Y, Kaida T et al (1991) Mechanical loading stimulates cell hypertrophy and specific gene expression in cultured rat cardiac myocytes. Possible role of protein kinase C activation. J Biol Chem 266:1265–1268

    PubMed  CAS  Google Scholar 

  22. Davies PF, Tripathi SC (1993) Mechanical stress mechanisms and the cell. An endothelial paradigm. Circ Res 72:239–245

    PubMed  CAS  Google Scholar 

  23. Stein PD, Hamid MS, Shivkumar K, Davis TP, Khaja F, Henry JW (1994) Effects of cyclic flexion of coronary arteries on progression of atherosclerosis. Am J Cardiol 73:431–437

    PubMed  Article  CAS  Google Scholar 

  24. Appleton CP, Hatle LK, Popp RL (1988) Relation of transmitral flow velocity patterns to left ventricular diastolic function: new insights from a combined hemodynamic and Doppler echocardiographic study. J Am Coll Cardiol 12:426–440

    PubMed  CAS  Article  Google Scholar 

Download references

Author information

Affiliations

Authors

Corresponding author

Correspondence to Okan Turgut.

Rights and permissions

Reprints and Permissions

About this article

Cite this article

Turgut, O., Yilmaz, A., Yalta, K. et al. Tortuosity of coronary arteries: an indicator for impaired left ventricular relaxation?. Int J Cardiovasc Imaging 23, 671–677 (2007). https://doi.org/10.1007/s10554-006-9186-4

Download citation

  • Received:

  • Accepted:

  • Published:

  • Issue Date:

  • DOI: https://doi.org/10.1007/s10554-006-9186-4

Keywords

  • Angiography
  • Coronary tortuosity
  • Diastolic dysfunction
  • Echocardiography