Abstract
Purpose
Triple-negative breast cancer (TNBC) is most prevalent in young women of African ancestry (WAA) compared to women of other ethnicities. Recent studies found a correlation between high expression of the transcription factor Kaiso, TNBC aggressiveness, and ethnicity. However, little is known about Kaiso expression and localization patterns in TNBC tissues of WAA. Herein, we analyze Kaiso expression patterns in TNBC tissues of African (Nigerian), Caribbean (Barbados), African American (AA), and Caucasian American (CA) women.
Methods
Formalin-fixed and paraffin embedded (FFPE) TNBC tissue blocks from Nigeria and Barbados were utilized to construct a Nigerian/Barbadian tissue microarray (NB-TMA). This NB-TMA and a commercially available TMA comprising AA and CA TNBC tissues (AA-CA-YTMA) were subjected to immunohistochemistry to assess Kaiso expression and subcellular localization patterns, and correlate Kaiso expression with TNBC clinical features.
Results
Nigerian and Barbadian women in our study were diagnosed with TNBC at a younger age than AA and CA women. Nuclear and cytoplasmic Kaiso expression was observed in all tissues analyzed. Analysis of Kaiso expression in the NB-TMA and AA-CA-YTMA revealed that nuclear Kaiso H scores were significantly higher in Nigerian, Barbadian, and AA women compared with CA women. However, there was no statistically significant difference in nuclear Kaiso expression between Nigerian versus Barbadian women, or Barbadian versus AA women.
Conclusions
High levels of nuclear Kaiso expression were detected in patients with a higher degree of African heritage compared to their Caucasian counterparts, suggesting a role for Kaiso in TNBC racial disparity.
Similar content being viewed by others
Avoid common mistakes on your manuscript.
Introduction
Breast cancer (BCa) is a complex disease that occurs mostly in females and is a leading cause of female deaths worldwide [1,2,3]. The triple-negative breast cancer (TNBC) subtype accounts for a disproportionate number of BCa deaths due to its highly aggressive nature and metastatic tendencies [4,5,6]. As the name implies, triple-negative tumors represent a subset of breast tumors that are negative for the estrogen receptor (ER), progesterone receptor (PR), and human epidermal growth factor receptor-2 (HER2) [7]. Most TNBC are classified as basal-like cancers and are generally characterized by high histologic/nuclear grade, increased rate of recurrence, and a greater frequency of epidermal growth factor receptor (EGFR) amplification, p53 mutations, and breast cancer type 1 (BRCA1) mutations [7, 8]. Due to their triple-negative status for ER, PR, and HER2, TNBCs lack targeted-treatment options, and cannot be treated with hormonal (Tamoxifen) or anti-HER2 therapies [7].
There is increasing evidence that TNBC occurs more frequently in young premenopausal African and AA women compared to Caucasian women [7, 9,10,11,12,13,14]. For example, Stark and colleagues reported that among Ghanaian BCa cases, there was a TNBC prevalence of ~82% compared to the USA where TNBC prevalence was ~33% and ~10% among AA and CA cases, respectively [11]. Similarly, Agboola et al. reported a high incidence of TNBC among BCa cases in Nigerian women (~48%) compared with British women (~14%) [14]. The trend of high TNBC prevalence in AA and African females strongly suggests an ancestral genetic predisposition to TNBC in women of African ancestry (WAA) [15,16,17]. More disturbing, however, is the poor survival rate of AA TNBC patients compared with Caucasian TNBC patients [10, 18], which underscores the urgency to identify potential prognostic or diagnostic TNBC biomarkers in WAA.
Recent studies have found a correlation between increased nuclear expression of the transcription factor Kaiso and poor overall survival of AA breast cancer and prostate cancer patients compared to their Caucasian counterparts [19, 20]. These data hint at a role for Kaiso in the racial disparity in outcomes associated with breast and prostate cancer. Kaiso was first identified as a binding partner of the E-cadherin catenin cofactor—p120-catenin [21]. Kaiso is a dual-specificity transcription factor and member of the POZ-ZF family of transcription factors [21,22,23,24,25] that are implicated in vertebrate development and tumorigenesis. Kaiso has been most often characterized as a transcriptional repressor [26], but some studies indicate that Kaiso can also function as a transcriptional activator [27, 28]. Notably, several Kaiso target genes identified to date (cyclinD1, matrilysin, E-cadherin) have been linked to tumor onset, invasion, and metastasis [29,30,31].
Since its discovery, Kaiso has been implicated in the poor prognostic outcomes of several cancers including colorectal, non-small cell lung cancer, prostate, pancreatic ductal adenocarcinoma, and TNBC [20, 32,33,34,35]. Studies from our lab and others indicates that Kaiso plays both pro-oncogenic and tumor suppressive roles in several human cancers [19, 20, 33, 34, 36,37,38]. Notably, in addition to being implicated in racial disparities in breast cancer outcomes, high Kaiso expression correlates significantly with ER-α negativity, and the aggressiveness of basal/TNBCs [35, 38]. To date however, no studies have specifically examined and compared Kaiso expression and subcellular localization in TNBC tissues from WAA, who have the highest prevalence and worst outcomes from TNBC compared to Caucasian women. In this retrospective study, we evaluated Kaiso expression in TNBC specimens from Nigerian, Barbadian, AA, and CA patients. We found that nuclear Kaiso expression was significantly increased in TNBC tissues of Nigerian, Barbadian, and AA patients compared with their Caucasian counterparts. While there was no significant difference in nuclear Kaiso expression in TNBC tissues of Nigerian versus Barbadian patients (who have a higher percentage of African ancestry compared to AA), we found significantly more nuclear Kaiso expression in Nigerian versus AA patients, and a trend towards higher nuclear Kaiso expression in Barbadian versus AA patients. Collectively, these findings suggest that Kaiso may play a role in the racial disparity associated with TNBC in WAA.
Methods
Study population and characteristics of tumor samples
FFPE TNBC tissue blocks of 28 Nigerian TNBC patients diagnosed between 2011 and 2013 at the Lagos University Teaching Hospital (LUTH), Nigeria, and 46 Barbadian TNBC patients diagnosed between 2002 and 2011 at the Queen Elizabeth Hospital (QEH), Barbados were obtained from the archives of the Department of Anatomic and Molecular Pathology at LUTH and the Department of Pathology at QEH after approval by LUTH and QEH Ethics committees, respectively. The FFPE specimens were then shipped to the Developmental Histology Lab at the Yale Pathological Tissue Services (YPTS), Yale University (Connecticut, New Haven, USA), where they were hematoxylin and eosin (H&E) stained for histopathological confirmation, before tumor areas from each FFPE tissue block were selected for the construction of a Nigerian and Barbadian TNBC tissue microarray (NB-TMA). ER, PR, and HER2 status of the Nigerian tissues were confirmed by immunohistochemistry (IHC) conducted at LUTH, while ER, PR, and HER2 status of the Barbadian tissues were confirmed by IHC conducted at QEH, Barbados, the Human Tissue Resource Center (Chicago, IL, USA) or the Immunohistochemistry Lab at the University of Miami, Miller School of Medicine (Clinical Research Building, Miami, FL, USA). Any sample with less than 1% staining for ER and PR was scored negative; likewise, 0 or +1 for HER2 was considered negative. Available clinico-pathological data (age, tumor pathology, lymph node involvement, and grade) were retrieved from the hardcopy pathology reports at LUTH and QEH, and are summarized in Table 1.
For the AA and CA patient population, we utilized the Yale tissue microarray 347 (YTMA-347), which was generated at the Yale Developmental Histology Lab, and comprised of 20 AA and 43 CA usable TNBC specimens that were diagnosed at the Yale-New Haven Hospital, Connecticut, USA between 1996 and 2004. ER, PR, and HER2 status were determined by IHC at the Yale Developmental Histology Lab. The clinico-pathological features of the YTMA-347 cohort are summarized in Table 1.
Immunohistochemistry
5-μm tissue sections prepared from the NB-TMA tissue block and the purchased YTMA-347 tissue slides were de-paraffinized by warming at 60 °C for 20 min, followed by immersion in xylenes for 10 min. Tissue sections were then rehydrated in descending ethanol dilutions before they were subjected to heat antigen retrieval in a low pH buffer (pH 6.0) solution (DAKO, Glostrup, Denmark). Endogenous biotin, biotin receptors, and avidin binding sites on tissues were subsequently blocked using the Avidin/Biotin blocking kit (Vector Laboratories, Inc., Burlingame, CA, USA), while endogenous peroxidase activity was quenched by treatment with 3% hydrogen peroxide. Tissue slides were stained with mouse anti-Kaiso 6F monoclonal (1:10,000; [39]) or mouse anti-human cytokeratin clones AE1/AE3 monoclonal (1:500; Dako North America, Inc., Carpinteria, CA, USA) primary antibodies overnight at 4 °C, followed by secondary antibody incubations at room temperature for 2 h with biotinylated donkey anti-mouse secondary antibody (Vector Labs; 1:1000). Tissues were subsequently incubated in Vectastain (Vector Labs) for 30 min, rinsed in 1X PBS, and then incubated in diaminobenzidine (DAB) (Vector Labs) for 10 min. Counterstaining was achieved by incubating tissues in Harris hematoxylin (Sigma) for 10–60 s, followed by rinsing in tap water or as described in [40]. Slides were then dehydrated in ascending alcohol dilutions, and cleared with two rounds of xylenes before being mounted using Polymount (Polysciences Inc., Warrington, PA, USA). Negative control staining data were achieved by slide incubation with secondary antibodies only. Images of stained slides were captured using the Aperio Slide scanner (Leica Biosystems, ON, Canada). Stained tissues were scored blindly by two Pathologists, and the scores averaged to give a final score value. The intensity of staining was scored as 0, 1, 2, or 3 representing no, mild, moderate, or high staining intensity. The modified histochemical score (H-score) system was then used to generate the total score for each tissue with values spanning 0–300 using the formula: 3 × (percentage of cells with high intensity staining (3+) + 2 × (percentage of cells with moderate intensity staining (2+) + 1 × (percentage of cells with mild intensity staining (1+) for each slide.
Statistical analysis
GraphPad Prism statistical software (GraphPad Software Inc., La Jolla, CA, USA) was used for all statistical analyses. Standard unpaired Student’s t test with Welch’s correction was used for pairwise comparison of means. Chi square analysis was used to assess the difference in clinico-pathological features between the Nigerian, Barbadian, AA, and CA cohorts. Data are presented as mean ± SEM where applicable. For all statistical tests, p values <0.05 denote statistical significance.
Results
Clinico-pathological characteristics of study participants
This retrospective study involved a total of 28 Nigerian, 46 Barbadian, 20 African American (AA), and 43 Caucasian American (CA) TNBC patients. The mean age at time of diagnosis for Nigerian women was 42.6 years compared to 52.1 years for Barbadian women (p = 0.002), 51.5 years for AA women (p = 0.03), and 56.2 years for CA women (p < 0.0001; Fig. 1a). Comparison of the mean age at diagnosis between Barbadian, AA, and CA patients yielded no statistical significance (Fig. 1b, c). The percentage of younger women who presented with TNBC at time of diagnosis was significantly higher for the Nigerian cohort (71.4%; n = 20) compared with the Barbadian (45.7%; n = 21), AA (30.0%; n = 6), and CA (23.3%; n = 10) cohort (p < 0.001) (Table 1). Low-grade tumors were seldom observed in the Nigerian (17.9%; n = 5), Barbadian (0%; n = 0), and AA (10.0%; n = 2) cohorts compared to the CA (30.2%; n = 13) cohort (p < 0.0001; Table 1). Low-grade was defined as grade 1, medium-grade as grade 2, and high-grade as grade 3, respectively. Approximately 39.3% (n = 11) of Nigerian women presented with higher stage (T3–T4) tumors compared with 2.2% (n = 1) for Barbadian, 5.0% (n = 1) for AA, and 0% (n = 0) for CA women (p < 0.0001; Table 1). Finally, CA TNBC patients displayed a higher frequency of lymph node-negative tumors (60.5%; n = 26) compared with that observed in Nigerian (14.3%; n = 4), Barbadian (23.9%; n = 11), and AA (35.0%; n = 7) TNBC patients (p = 0.02; Table 1).
Nigerian women are diagnosed with TNBC at younger ages than Barbadian, AA, and CA women. a The mean age at diagnosis for Nigerian TNBC patients was 42.6 years (n = 25) compared with 52.1 years for Barbadian women (n = 46), 51.5 years for AA women (n = 13), and 56.2 years for CA women (n = 37). No significant differences were observed between the mean age at diagnosis for Barbadian versus AA and CA TNBC patients (b) and for AA versus CA patients (c). * p < 0.05, ** p < 0.005, **** p < 0.0001
Kaiso is highly expressed in TNBC tissues of WAA compared to Caucasian women
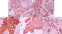
Previously, we reported that Kaiso is highly expressed at the mRNA level in triple-negative tumors compared with hormone receptor-positive breast tumors in publicly available datasets downloaded from The Cancer Genome Atlas—TCGA website or the Gene Expression Omnibus—GEO website [35]. Thus, in this study, we utilized immunohistochemistry to specifically evaluate the expression and subcellular localization of Kaiso in TNBC tissues from Nigerian, Barbadian, AA, and CA patients. Tissue integrity of the Nigerian and Barbadian TNBC tissues was determined by immunostaining for pan-cytokeratin as described in the methods; Fig. 2a, b shows representative images of the tissue quality of the Nigerian and Barbadian TNBC tissues. As shown in Fig. 3a (representative images shown), Kaiso exhibited both nuclear and cytoplasmic localization in all TNBC tissues analyzed, with varying degrees of heterogeneity. Nuclear and cytoplasmic Kaiso staining intensity was scored as described in the methods, and Kaiso’s relative expression in each TNBC cohort analyzed. As seen in Fig. 3b, we observed significantly higher cytoplasmic than nuclear Kaiso expression in the AA and CA TNBC cohorts (p < 0.0001), but did not find significant differences between nuclear and cytoplasmic Kaiso expression in the Nigerian and Barbadian TNBC cohorts.
Cytokeratin immunostaining of Nigerian and Barbadian TNBC tissues verifies tissue integrity. IHC images at low (5×) and high magnification (40×) show intact tissue cores (a, b) and membrane localization (ai, bi) of cytokeratin, which portrays good integrity of the Nigerian and Barbadian tissues. Scale bar 50 μm
Kaiso subcellular localization and expression in Nigerian, Barbadian, AA, and CA TNBC tissues. (ai–viii) IHC images showing Kaiso localization to both the nucleus and cytoplasm of Nigerian, Barbadian, AA, and CA TNBC tissues. (b) Graphical representation of nuclear and cytoplasmic Kaiso expression in Nigerian (n = 19), Barbadian (n = 20), AA (n = 20), and CA (n = 39) TNBC tissues. Cytoplasmic Kaiso expression was significantly higher than nuclear Kaiso expression in the AA and CA TNBC cohorts but not in the Nigerian and Barbadian TNBC cohorts. Red arrows indicate nuclear Kaiso staining, while blue arrows indicate cytoplasmic Kaiso staining. Scale bar 50 μm. ns not significant, **** p < 0.0001
Since nuclear but not cytoplasmic Kaiso expression is known to be associated with TNBC aggressiveness, and decreased survival of AA BCa patients [19, 38], we next performed comparative analysis of nuclear Kaiso expression between the Nigerian, Barbadian, AA, and CA cohorts. Interestingly, we observed a significantly higher level of nuclear Kaiso expression in TNBC tissues of patients of African ancestry (Nigerian, Barbadian, and AA) compared to their Caucasian counterparts (Fig. 4a). However, there was no significant difference between nuclear Kaiso expression in TNBC tissues of Nigerian and Barbadian patients, who have ~99.8 and ~77.4% degree of African heritage, respectively [41, 42], or between TNBC tissues of Barbadian and AA patients, who have ~77.4 and ~72.5% degree of African heritage, respectively [42] (Fig. 4b). Remarkably however, there was significantly more nuclear Kaiso expression in TNBC tissues of Nigerian compared to AA patients (Fig. 4c), probably due to the higher degree of African heritage in Nigerian patients (~99.8%) compared to AA patients (~72.5%). Since TNBC is more prevalent in WAA compared to Caucasian women, these findings suggest a role for nuclear Kaiso expression levels in the racial disparity in TNBC prevalence.
Comparative analysis of nuclear Kaiso expression in Nigerian, Barbadian, AA, and CA TNBC tissues. Higher levels of nuclear Kaiso expression were detected in TNBC tissues of Nigerian, Barbadian, and AA compared with their Caucasian counterparts (a). Although no significant difference in nuclear Kaiso expression was observed between Nigerian versus Barbadian tissues, or between Barbadian versus AA tissues (b), there was a significant difference in nuclear Kaiso expression between Nigerian and AA TNBC tissues (c). * p < 0.05, ** p < 0.005, *** p < 0.001
Correlation between nuclear Kaiso expression and clinico-pathological features of study participants
Breast tumors of WAA are often associated with a higher histological grade and positive lymph node involvement compared to breast tumors of Caucasian women [11, 14]. Since previous studies from our lab and others have correlated increased Kaiso expression with advanced grade and metastasis of TNBC [35, 38], and lymph node involvement is an established prognostic marker for the metastatic potential of breast tumors [43], we next assessed the association of Kaiso expression with high-grade and lymph node involvement in Nigerian, Barbadian, AA, and CA patients. High-grade tumors were defined as grade 3 for Nigerian and Barbadian patients and grade 2 for AA and CA patients due to no analyzed grade 3 tumors in the AA and CA TNBC cohort (the only observed grade 3 CA patient could not be scored as a result of tissue loss). Low-grade tumors were thus defined as grades 1 and 2 for Nigerian and Barbadian patients, and grade 1 for AA and CA patients. Lymph node metastasis was considered positive if one or more lymph nodes were noted to contain cancer cells (n1–n3), and negative if there were no observed cancer cells in the lymph nodes (n0). Due to the small sample size used in the analysis, no significant correlation was found between high nuclear Kaiso expression and high-grade or lymph node-positive triple-negative tumors in any of the patient cohorts analyzed (Suppl. Figure 1).
Discussion
TNBC is most prevalent in WAA compared to Caucasian American/European females, but the reason for this disparity is currently unknown [11, 14, 16, 44]. Although poor socio-economic status has been linked to TNBC mortality in African and AA women, it does not fully explain the disproportionate prevalence and aggressiveness of TNBC in WAA compared to their Caucasian counterparts [17]. Thus, we and others have postulated that there may be an ancestral genetic predisposition to TNBC in WAA [17, 45].
Notably, a higher prevalence of TNBC has been reported in West-African women (Nigerians—65%, and Ghanaians—82.2%) compared with that reported in AA— ~33% [9, 11, 46], thus supporting the idea of a relationship between percentage of African ancestry and TNBC prevalence. Since West-African countries such as Ghana and Nigeria are the founding ancestors of most WAA worldwide [41, 42, 47,48,49], we posit that there is a higher probability of identifying a founder mutation, if one exists, in Nigerian and Ghanaian populations, and also in more homogeneous populations of the African Diaspora such as the Caribbean (e.g., Barbados).
Recent studies have linked high nuclear expression of the transcription factor Kaiso with increased TNBC aggressiveness [20, 38], and decreased survival of AA breast cancer patients compared with their Caucasian counterparts [19]. These reports suggest a link between increased nuclear Kaiso, TNBC aggressiveness/metastasis, and the racial disparity in prevalence/outcomes associated with breast cancer. Remarkably, our findings lend some credence to this hypothesis as we observed elevated expression of nuclear Kaiso in TNBC tissues from patients of African ancestry (Nigerians, Barbadians, and African Americans) compared to their Caucasian/European ancestry counterparts (CA) (see Fig. 4a). Thus, our previous findings in Kaiso-depleted mouse xenograft models [35, 51], where we demonstrated roles for Kaiso in TNBC cell growth, survival, and metastasis, may explain why high Kaiso-expressing triple-negative tumors in WAA are associated with a more aggressive phenotype and fatal outcomes than TNBC in Caucasian women.
Importantly, our findings highlight an interesting correlation between high nuclear Kaiso expression and percent African ancestry, which may be linked to the predisposition of young WAA to TNBC. However, this study is limited by the small sample size, the semi-quantitative method of analysis used, and lack of complete clinico-pathological information, which did not allow proper assessment of the correlation between Kaiso expression and the high tumor grade observed in African/Caribbean women compared to African American or Caucasian women. Additional studies using larger cohort sizes of West-African (Nigeria and others), Caribbean (Barbados and others), AA, and CA TNBC cases, coupled with quantitative methods of immunostain analysis such as the automated quantitative analysis (AQUA) system established by Rimm and colleagues [50], will undoubtedly provide more insight into the clinical relevance of nuclear Kaiso expression in the etiology of TNBC in WAA.
In conclusion, this is the first study to suggest a potential link between increased Kaiso expression and the predisposition of young WAA to TNBC. This observation, in addition to the previous identified roles for Kaiso in TNBC aggressiveness, metastasis, and poor overall survival in affected patients [35, 38, 51], raises two exciting possibilities: i) Kaiso expression could be utilized as a biomarker for the diagnosis and prognosis of TNBC in WAA and ii) Kaiso could be a molecular target for the development of treatment options against TNBC not only in WAA but also TNBC patients worldwide.
References
Hortobagyi GN, de la Garza Salazar J, Pritchard K, Amadori D, Haidinger R, Hudis CA et al (2005) The global breast cancer burden: variations in epidemiology and survival. Clin Breast Cancer. 6(5):391–401
Jemal A, Bray F, Center MM, Ferlay J, Ward E, Forman D (2011) Global cancer statistics. CA Cancer J Clin 61(2):69–90
Ferlay J, Soerjomataram I, Ervik M, Dikshit R, Eser S, Mathers C et al (2013) GLOBOCAN 2012 v1.0, Cancer incidence and mortality worldwide: IARC CancerBase No. 11 [Internet]. International Agency for Research on Cancer, Lyon
Oakman C, Viale G, Di Leo A (2010) Management of triple negative breast cancer. Breast 19(5):312–321
Carey LA (2011) Directed therapy of subtypes of triple-negative breast cancer. Oncologist 16(Suppl 1):71–78
Andre F, Zielinski CC (2012) Optimal strategies for the treatment of metastatic triple-negative breast cancer with currently approved agents. Ann Oncol 23(Suppl 6):vi46–vi51
Foulkes WD, Smith IE, Reis-Filho JS (2010) Triple-negative breast cancer. N Engl J Med 363(20):1938–1948
Irshad S, Ellis P, Tutt A (2011) Molecular heterogeneity of triple-negative breast cancer and its clinical implications. Curr Opin Oncol 23(6):566–577
Carey LA, Perou CM, Livasy CA, Dressler LG, Cowan D, Conway K et al (2006) Race, breast cancer subtypes, and survival in the Carolina Breast Cancer Study. JAMA 295(21):2492–2502
Lund MJ, Trivers KF, Porter PL, Coates RJ, Leyland-Jones B, Brawley OW et al (2009) Race and triple negative threats to breast cancer survival: a population-based study in Atlanta, GA. Breast Cancer Res Treat 113(2):357–370
Stark A, Kleer CG, Martin I, Awuah B, Nsiah-Asare A, Takyi V et al (2010) African ancestry and higher prevalence of triple-negative breast cancer: findings from an international study. Cancer 116(21):4926–4932
Bhikoo R, Srinivasa S, Yu TC, Moss D, Hill AG (2011) Systematic review of breast cancer biology in developing countries (part 1): Africa, the Middle East, Eastern Europe, Mexico, the Caribbean and South America. Cancers 3:2358–2381
Amirikia KC, Mills P, Bush J, Newman LA (2011) Higher population-based incidence rates of triple-negative breast cancer among young African-American women: implications for breast cancer screening recommendations. Cancer 117(12):2747–2753
Agboola AJ, Musa AA, Wanangwa N, Abdel-Fatah T, Nolan CC, Ayoade BA et al (2012) Molecular characteristics and prognostic features of breast cancer in Nigerian compared with UK women. Breast Cancer Res Treat 135(2):555–569
Amend K, Hicks D, Ambrosone CB (2006) Breast cancer in African-American women: differences in tumor biology from European-American women. Can Res 66(17):8327–8330
Boyle P (2012) Triple-negative breast cancer: epidemiological considerations and recommendations. Ann Oncol 23(Suppl 6):vi7–vi12
Dietze EC, Sistrunk C, Miranda-Carboni G, O’Regan R, Seewaldt VL (2015) Triple-negative breast cancer in African-American women: disparities versus biology. Nat Rev Cancer 15(4):248–254
Bauer KR, Brown M, Cress RD, Parise CA, Caggiano V (2007) Descriptive analysis of estrogen receptor (ER)-negative, progesterone receptor (PR)-negative, and HER2-negative invasive breast cancer, the so-called triple-negative phenotype: a population-based study from the California cancer Registry. Cancer 109(9):1721–1728
Jones J, Wang H, Karanam B, Theodore S, Dean-Colomb W, Welch DR et al (2014) Nuclear localization of Kaiso promotes the poorly differentiated phenotype and EMT in infiltrating ductal carcinomas. Clin Exp Metasis 31(5):497–510
Jones J, Wang H, Zhou J, Hardy S, Turner T, Austin D et al (2012) Nuclear kaiso indicates aggressive prostate cancers and promotes migration and invasiveness of prostate cancer cells. Am J Pathol 181(5):1836–1846
Daniel JM, Reynolds AB (1999) The catenin p120(ctn) interacts with Kaiso, a novel BTB/POZ domain zinc finger transcription factor. Mol Cell Biol 19(5):3614–3623
Kelly KF, Daniel JM (2006) POZ for effect—POZ-ZF transcription factors in cancer and development. Trends Cell Biol 16(11):578–587
Daniel JM, Spring CM, Crawford HC, Reynolds AB, Baig A (2002) The p120(ctn)-binding partner Kaiso is a bi-modal DNA-binding protein that recognizes both a sequence-specific consensus and methylated CpG dinucleotides. Nucleic Acids Res 30(13):2911–2919
Prokhortchouk A, Hendrich B, Jorgensen H, Ruzov A, Wilm M, Georgiev G et al (2001) The p120 catenin partner Kaiso is a DNA methylation-dependent transcriptional repressor. Genes Dev 15(13):1613–1618
Donaldson NS, Pierre CC, Anstey MI, Robinson SC, Weerawardane SM, Daniel JM (2012) Kaiso represses the cell cycle gene cyclin D1 via sequence-specific and methyl-CpG-dependent mechanisms. PLoS ONE 7(11):e50398
Daniel JM (2007) Dancing in and out of the nucleus: p120(ctn) and the transcription factor Kaiso. Biochim Biophys Acta 1773(1):59–68
Rodova M, Kelly KF, VanSaun M, Daniel JM, Werle MJ (2004) Regulation of the rapsyn promoter by kaiso and delta-catenin. Mol Cell Biol 24(16):7188–7196
Blattler A, Yao L, Wang Y, Ye Z, Jin VX, Farnham PJ (2013) ZBTB33 binds unmethylated regions of the genome associated with actively expressed genes. Epigenetics Chromatin 6(1):13
Musgrove EA, Caldon CE, Barraclough J, Stone A, Sutherland RL (2011) Cyclin D as a therapeutic target in cancer. Nat Rev Cancer 11(8):558–572
Adachi Y, Yamamoto H, Itoh F, Hinoda Y, Okada Y, Imai K (1999) Contribution of matrilysin (MMP-7) to the metastatic pathway of human colorectal cancers. Gut 45(2):252–258
Onder TT, Gupta PB, Mani SA, Yang J, Lander ES, Weinberg RA (2008) Loss of E-cadherin promotes metastasis via multiple downstream transcriptional pathways. Can Res 68(10):3645–3654
Pierre CC, Longo J, Mavor M, Milosavljevic SB, Chaudhary R, Gilbreath E et al (2015) Kaiso overexpression promotes intestinal inflammation and potentiates intestinal tumorigenesis in Apc(Min/+) mice. Biochim Biophys Acta 1852(9):1846–1855
Dai SD, Wang Y, Miao Y, Zhao Y, Zhang Y, Jiang GY et al (2009) Cytoplasmic Kaiso is associated with poor prognosis in non-small cell lung cancer. BMC Cancer 9:178
Jones J, Mukherjee A, Karanam B, Davis M, Jaynes J, Reams RR et al (2016) African Americans with pancreatic ductal adenocarcinoma exhibit gender differences in Kaiso expression. Cancer Lett 380(2):513–522
Bassey-Archibong BI, Kwiecien JM, Milosavljevic SB, Hallett RM, Rayner LG, Erb MJ et al (2016) Kaiso depletion attenuates transforming growth factor-β signaling and metastatic activity of triple-negative breast cancer cells. Oncogenesis 5:e208
Prokhortchouk A, Sansom O, Selfridge J, Caballero IM, Salozhin S, Aithozhina D et al (2006) Kaiso-deficient mice show resistance to intestinal cancer. Mol Cell Biol 26(1):199–208
Lopes EC, Valls E, Figueroa ME, Mazur A, Meng FG, Chiosis G et al (2008) Kaiso contributes to DNA methylation-dependent silencing of tumor suppressor genes in colon cancer cell lines. Can Res 68(18):7258–7263
Vermeulen JF, van de Ven RA, Ercan C, van der Groep P, van der Wall E, Bult P et al (2012) Nuclear Kaiso expression is associated with high grade and triple-negative invasive breast cancer. PLoS ONE 7(5):e37864
Daniel JM, Ireton RC, Reynolds AB (2001) Monoclonal antibodies to Kaiso: a novel transcription factor and p120ctn-binding protein. Hybridoma 20(3):159–166
Chaudhary R, Pierre CC, Nanan K, Wojtal D, Morone S, Pinelli C et al (2013) The POZ-ZF transcription factor Kaiso (ZBTB33) induces inflammation and progenitor cell differentiation in the murine intestine. PLoS ONE 8(9):e74160
Tracing African roots; exploring the ethnic origins of the Afro-Diaspora
Murray T, Beaty TH, Mathias RA, Rafaels N, Grant AV, Faruque MU et al (2010) African and non-African admixture components in African Americans and an African Caribbean population. Genet Epidemiol 34(6):561–568
Weigelt B, Peterse JL, van’t Veer LJ (2005) Breast cancer metastasis: markers and models. Nat Rev Cancer 5(8):591–602
Huo D, Ikpatt F, Khramtsov A, Dangou JM, Nanda R, Dignam J et al (2009) Population differences in breast cancer: survey in indigenous African women reveals over-representation of triple-negative breast cancer. J Clin Oncol 27(27):4515–4521
Sawe RT, Kerper M, Badve S, Li J, Sandoval-Cooper M, Xie J et al (2016) Aggressive breast cancer in western Kenya has early onset, high proliferation, and immune cell infiltration. BMC Cancer 16:204
Adisa CA, Eleweke N, Alfred AA, Campbell MJ, Sharma R, Nseyo O et al (2012) Biology of breast cancer in Nigerian women: a pilot study. Ann Afr Med 11(3):169–175
Fraizer M (2005) Continuity and change in Caribbean immigration. People’s World
Jackson FL (2008) Ancestral links of Chesapeake Bay region African Americans to specific Bight of Bonny (West Africa) microethnic groups and increased frequency of aggressive breast cancer in both regions. Am J Hum Biol 20(2):165–173
Bryc K, Auton A, Nelson MR, Oksenberg JR, Hauser SL, Williams S et al (2010) Genome-wide patterns of population structure and admixture in West Africans and African Americans. Proc Natl Acad Sci USA 107(2):786–791
McCabe A, Dolled-Filhart M, Camp RL, Rimm DL (2005) Automated quantitative analysis (AQUA) of in situ protein expression, antibody concentration, and prognosis. J Natl Cancer Inst 97(24):1808–1815
Bassey-Archibong BI, Rayner LG, Hercules SM, Aarts CW, Dvorkin-Gheva A, Bramson JL et al (2017) Kaiso depletion attenuates the growth and survival of triple negative breast cancer cells. Cell Death Dis 8(3):e2689
Acknowledgments
We would like to thank the staff and personnel of the Pathology and Oncology departments at QEH and LUTH, for their assistance with the samples used for this project. We would also like to thank Lori Charette and Dr. David Rimm (Department of Pathology, Yale University School of Medicine, New Haven, Connecticut, USA) for their assistance with the construction of the Nigerian–Barbadian TMA. This work was funded in part by the Canadian Breast Cancer Foundation (CBCF), the Juravinski Hospital and Cancer Center Foundation (JHCCF), and the Natural Sciences and Engineering Research Council of Canada (NSERC). BIB-A was partly supported by a Schlumberger Faculty for the Future Fellowship.
Author information
Authors and Affiliations
Corresponding author
Ethics declarations
Conflict of interest
The authors declare that they have no conflict of interest.
Ethical approval
All procedures performed in this retrospective study were in accordance with the ethical standards of LUTH and QEH, respectively. For this type of study formal consent is not required.
Electronic supplementary material
Below is the link to the electronic supplementary material.
Rights and permissions
Open Access This article is distributed under the terms of the Creative Commons Attribution 4.0 International License (http://creativecommons.org/licenses/by/4.0/), which permits unrestricted use, distribution, and reproduction in any medium, provided you give appropriate credit to the original author(s) and the source, provide a link to the Creative Commons license, and indicate if changes were made.
About this article
Cite this article
Bassey-Archibong, B.I., Hercules, S.M., Rayner, L.G.A. et al. Kaiso is highly expressed in TNBC tissues of women of African ancestry compared to Caucasian women. Cancer Causes Control 28, 1295–1304 (2017). https://doi.org/10.1007/s10552-017-0955-2
Received:
Accepted:
Published:
Issue Date:
DOI: https://doi.org/10.1007/s10552-017-0955-2






