Skip to main content

Tumor microenvironment in invasive lobular carcinoma: possible therapeutic targets

Abstract

Invasive ductal and lobular carcinomas (IDC and ILC) are the two most common histological types of breast cancer, and have been considered to develop from terminal duct lobular unit but their molecular, pathological, and clinical features are markedly different between them. These differences could be due to different mechanisms of carcinogenesis and tumor microenvironment, especially cancer-associated fibroblasts (CAFs) but little has been explored in this aspect. Therefore, in this study, we evaluated the status of angiogenesis, maturation of intratumoral microvessels, and proliferation of CAFs using immunohistochemistry and PCR array analysis to explore the differences of tumor microenvironment between ILC and IDC. We studied grade- and age-matched, luminal-like ILC and IDC. We immunolocalized CD34 and αSMA for an evaluation of CAFs and CD31, Vasohibin-1, a specific marker of proliferative endothelial cells and nestin, a marker of pericytes for studying the status of proliferation and maturation of intratumoral microvessel. We also performed PCR array analysis to evaluate angiogenic factors in tumor stromal components. The number of CAFs, microvessel density, and vasohibin-1/CD31 positive ratio were all significantly higher in ILC than IDC but nestin immunoreactivity in intratumoral microvessel was significantly lower in ILC. These results did indicate that proliferation of CAFs and endothelial cells was more pronounced in ILC than IDC but newly formed microvessels were less mature than those in IDC. PCR array analysis also revealed that IGF-1 expression was higher in ILC than IDC. This is the first study to demonstrate the differences of tumor microenvironment including CAFs and proliferation and maturation of intratumoral vessels between ILC and IDC.

This is a preview of subscription content, access via your institution.

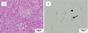
Fig. 1
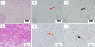
Fig. 2
Fig. 3
Fig. 4
Fig. 5
Fig. 6

References

  1. Fisher ER, Gregorio RM et al (1975) The pathology of invasive breast cancer. A syllabus derived from findings of the National Surgical Adjuvant Breast Project (protocol no. 4). Cancer 36(1):1–85

    PubMed  Article  CAS  Google Scholar 

  2. Arpino G, Bardou VJ et al (2004) Infiltrating lobular carcinoma of the breast: tumor characteristics and clinical outcome. Breast Cancer Res 6(3):R149–R156

    PubMed  PubMed Central  Article  Google Scholar 

  3. Sastre-Garau X, Jouve M et al (1996) Infiltrating lobular carcinoma of the breast. Clinicopathologic analysis of 975 cases with reference to data on conservative therapy and metastatic patterns. Cancer 77(1):113–120

    PubMed  Article  CAS  Google Scholar 

  4. Katz A, Saad ED et al (2007) Primary systemic chemotherapy of invasive lobular carcinoma of the breast. Lancet Oncol 8:55–62

    PubMed  Article  CAS  Google Scholar 

  5. Sorlie T, Perou CM, Tibshirani R et al (2001) Gene expression patterns of breast carcinomas distinguish tumor subclasses with clinical implications. Proc Natl Acad Sci USA 98:10869–10874

    PubMed  PubMed Central  Article  CAS  Google Scholar 

  6. Korhonen T, Kuukasjärvi T et al (2013) The impact of lobular and ductal breast cancer histology on the metastatic behavior and long term survival of breast cancer patients. Breast 22:1119–1124

    PubMed  Article  CAS  Google Scholar 

  7. Wasif N, Maggard MA et al (2010) Invasive lobular versus ductal breast cancer: a stage-matched comparison of outcomes. Ann Surg Oncol 17:1862–1869

    PubMed  Article  Google Scholar 

  8. Cleton-Jansen AM (2001) E-cadherin and loss of heterozygosity at chromosome 16 in breast carcinogenesis: different genetic pathways in ductal and lobular breast cancer? Breast Cancer Res 4:5–8

    PubMed  PubMed Central  Article  Google Scholar 

  9. Mersin H, Yildirim E, Gulben K, Berberoglu U (2003) Is invasive lobular carcinoma different from invasive ductal carcinoma? Eur J Surg Oncol 29:390–395

    PubMed  Article  CAS  Google Scholar 

  10. Truin W, Vugts G et al (2015) Differences in response and surgical management with neoadjuvant chemotherapy in invasive lobular versus ductal breast cancer. Ann Surg Oncol. doi:10.1245/s10434-015-4603-3

    Google Scholar 

  11. Coradini D et al (2002) Infiltrating ductal and lobular breast carcinomas are characterised by different interrelationships among markers related to angiogenesis and hormone dependence. Br J Cancer 87(10):1105–1111

    PubMed  PubMed Central  Article  CAS  Google Scholar 

  12. Le Gal M, Ollivier L, Asselain B et al (1992) Mammographic features of 455 invasive lobular carcinomas. Radiology 185:705–708

    PubMed  Article  Google Scholar 

  13. Wellings SR, Jensen HM (1975) An atlas of sub gross pathology of human breast with special reference to possible cancerous lesions. J Natl Cancer Inst 55:231–273

    PubMed  CAS  Google Scholar 

  14. Ohuchi N, Abe R, Kasai M (1984) Possible cancerous change of intraductal papillomas of the breast: a 3-D reconstruction of 25 cases. Cancer 54:605–611

    PubMed  Article  CAS  Google Scholar 

  15. Turashvili G, Bouchal J, Kolar Z et al (2007) Novel markers for differentiation of lobular and ductal invasive breast carcinomas by laser microdissection and microarray analysis. BMC Cancer 7:55. doi:10.1186/1471-2407-7-55

    PubMed  PubMed Central  Article  CAS  Google Scholar 

  16. Miyashita M, Sasano H, Tamaki K, Ohuchi N et al (2014) Tumor-infiltrating CD8+ and FOXP3+ in triple-negative breast cancer: its correlation with pathological complete response to neoadjuvant chemotherapy. Breast Cancer Res Tr. 148(3):525–534. doi:10.1007/s10549-014-3197-y

    Article  CAS  Google Scholar 

  17. Ali HR, Provenzano E, Caldas C et al (2014) Association between CD8+ T-cell infiltration and breast cancer survival in 12 439 patients. Ann Oncol 25:1536–1543. doi:10.1093/annonc/mdu191

    PubMed  Article  CAS  Google Scholar 

  18. Mao Y, Keller ET (2013) Stromal cells in tumor microenvironment and breast cancer. Cancer Metastasis Rev 32:303–315. doi:10.1007/s10555-012-9415-3

    PubMed  PubMed Central  Article  Google Scholar 

  19. Kalluri R et al (2006) Fibroblasts in cancer. Nat Rev Cancer 6(5):392–401

    PubMed  Article  CAS  Google Scholar 

  20. Lips EH, Mukhtar RA, Yau C, de Ronde JJ, Livasy C, Carey LA, Loo CE, Vrancken-Peeters M-J, Sonke GS, Berry DA, van‘t Veer LJ, Esserman LJ, Wesseling J, Rodenhuis S, Shelley Hwang E, I-SPY TRIAL Investigators, Laura J (2012) Lobular histology and response to neoadjuvant chemotherapy in invasive breast cancer. Breast Cancer Res Treat. doi:10.1007/s10549-012-2233-z

    Google Scholar 

  21. Uzzan B, Nicolas P, Cucherat M, Perret G-Y (2004) Microvessel density as a prognostic factor in women with breast cancer: a systematic review of the literature and meta-analysis. Cancer Res 64:2941–2955

    PubMed  Article  CAS  Google Scholar 

  22. Sato Y (2013) The vasohibin family: a novel family for angiogenesis regulation. J Biochem 153(1):5–11. doi:10.1093/jb/mvs128

    PubMed  PubMed Central  Article  CAS  Google Scholar 

  23. Tamaki K, Moriya T, Sato Y, Ishida T, Ohuchi N, Sasano H et al (2009) Vasohibin-1 in human breast carcinoma: a potential negative feedback regulator of angiogenesis. Cancer Sci 100(1):88–94. doi:10.1111/j.1349-7006.2008.01015.x

    PubMed  Article  CAS  Google Scholar 

  24. Matsuda Y, Hagio M, Ishikawa T (2013) Nestin: a novel angiogenesis marker and possible target for tumor angiogenesis. World J Gastroenterol 19(1):42–48. doi:10.3748/wjg.v19.i1.42

    PubMed  PubMed Central  Article  CAS  Google Scholar 

  25. Liu C, Chen B, Zhu J, Zhang R, Yao F, Jin F, Huimian X, Ping L (2010) Clinical implications for nestin protein expression in breast cancer. Cancer Sci 10:815–819. doi:10.1111/j.1349-7006.2009.01422.x

    Article  CAS  Google Scholar 

  26. Goldhirsch A, Winer EP, Coates AS, Gelber RD, Piccart-Gebhart M, Thürlimann B, Senn HJ (2013) Personalizing the treatment of women with early breast cancer: highlights of the St Gallen International Expert Consensus on the Primary Therapy of Early Breast Cancer 2013. Ann Oncol 24:2206–2223. doi:10.1093/annonc/mdt303

    PubMed  PubMed Central  Article  CAS  Google Scholar 

  27. Sobin LH, Wittekind C (2011) TNM Classification of malignant tumours, 7th edn. Wiley, Hoboken, pp 131–141

    Google Scholar 

  28. Rakha EA, El-Sayed ME, Menon S, Green AR, Lee AHS, Ellis IO (2008) Histologic grading is an independent prognostic factor in invasive lobular carcinoma of the breast. Breast Cancer Res Tr 111(1):121–127. doi:10.1007/s10549-007-9768-4

    Article  Google Scholar 

  29. Vered M, Dobriyan A, Dayan D, Yahalom R, Talmi YP, Bedrin L, Barshack I, Taicher S (2010) Tumor-host histopathologic variables, stromal myofibroblasts and risk score, are significantly associated with recurrent disease in tongue cancer. Cancer Sci 101:274–280. doi:10.1111/j.1349-7006.2009.01357.x

    PubMed  Article  CAS  Google Scholar 

  30. Cheng Y, Wang K, Ma W, Zhang X, Song Y, Wang J, Wang N, Song Q, Cao F, Tan B, Jinming Y (2015) Cancer-associated fibroblasts are associated with poor prognosis in esophageal squamous cell carcinoma after surgery. Int J Clin Exp Med 8(2):1896–1903

    PubMed  PubMed Central  Google Scholar 

  31. Li Z-J, Ying X-J, Chen H-L, Ye P-J, Chen Z-L, Li G, Jiang H-F, Liu S-Z Zhou (2013) Insulin-like growth factor-1 induces lymphangiogenesis and facilitates lymphatic metastasis in colorectal cancer. World J Gastroenterol 19(43):7788–7794. doi:10.3748/wjg.v19.i43.7788

    PubMed  PubMed Central  Article  CAS  Google Scholar 

  32. Pilichowska M, Kimura N, Fujikawa H, Nagura H (1997) Immunohistochemical study of TGF-alpha, TGF-beta1, EGFR, and IGF-1 expression in human breast carcinoma. Modern Pathol. 10(10):969–975

    CAS  Google Scholar 

  33. Aaltonen KE, Rosendahl AH, Olsson H, Malmström P, Hartman L, Fernö M (2014) Association between insulin-like growth factor-1 receptor (IGF1R) negativity and poor prognosis in a cohort of women with primary breast cancer. BMC Cancer 14:794

    PubMed  PubMed Central  Article  Google Scholar 

  34. Hu M, Yao J, Carroll DK et al (2008) Regulation of in situ to invasive breast carcinoma transition. Cancer Cell 13(5):394–406. doi:10.1016/j.ccr.2008.03.007

    PubMed  PubMed Central  Article  CAS  Google Scholar 

  35. Ostman A, Augsten M (2009) Cancer-associated fibroblasts and tumor growth—bystanders turning into key players. Curr Opin Genet Dev 19(1):67–73. doi:10.1016/j.gde.2009.01.003

    PubMed  Article  CAS  Google Scholar 

  36. Loeffler M, Krüger JA, Niethammer AG, Reisfeld RA (2006) Targeting tumor-associated fibroblasts improves cancer chemotherapy by increasing intratumoral drug uptake. J Clin Investig 116(7):1955–1962. doi:10.1172/JCI26532

    PubMed  PubMed Central  Article  CAS  Google Scholar 

  37. Bonkowski D (2011) The CNS microvascular pericyte: pericyte-astrocyte crosstalk in the regulation of tissue survival. Fluids Barriers CNS. 8:8

    PubMed  PubMed Central  Article  Google Scholar 

  38. Krüger K, Stefansson IM, Collett K, Arnes JB, Aas T, Akslen LA (2013) Microvessel proliferation by co-expression of endothelial nestin and Ki-67 is associated with a basal-like phenotype and aggressive features in breast cancer. The Breast 22:282–288. doi:10.1016/j.breast.2012.07.008

    PubMed  Article  Google Scholar 

  39. Yazdania S, Miki Y, Tamaki K, Ono K, Suzuki T, Sato Y, Sasano H (2013) Proliferation and maturation of intratumoral blood vessels in non–small cell lung cancer. Hum Pathol 44:1586–1596. doi:10.1016/j.humpath.2013.01.004

    Article  Google Scholar 

  40. Raza A, Franklin MJ, Dudek AZ (2010) Pericytes and vessel maturation during tumor angiogenesis and metastasis. Am J Hematol 85:593–598. doi:10.1002/ajh.21745

    PubMed  Article  CAS  Google Scholar 

  41. Bhati R, Patterson C, Klauber-DeMore N et al (2008) Molecular characterization of human breast tumor vascular cells. Am J Pathol 172(5):1381–1390. doi:10.2353/ajpath.2008.070988

    PubMed  PubMed Central  Article  CAS  Google Scholar 

  42. Christopoulos PF, Msaouel P, Koutsilieris M (2015) The role of the insulin-like growth factor-1 system in breast cancer. Molecular Cancer 14:43. doi:10.1186/s12943-015-0291-7

    PubMed  PubMed Central  Article  CAS  Google Scholar 

  43. Bertucci F, Orsetti B, Theillet C et al (2008) Lobular and ductal carcinomas of the breast have distinct genomic and expression profiles. Oncogene 27(40):5359–5372. doi:10.1038/onc.2008.158

    PubMed  PubMed Central  Article  CAS  Google Scholar 

  44. Korkola JE, DeVries S, Fridlyand J, Hwang ES, Estep AL, Chen YY et al (2003) Differentiation of lobular versus ductal breast carcinomas by expression microarray analysis. Cancer Res. 63:7167–7175

    PubMed  CAS  Google Scholar 

  45. Chong YM, Colston K, Jiang WG, Sharma AK, Mokbel K (2006) The relationship between the insulin-like growth factor-1 system and the oestrogen metabolising enzymes in breast cancer tissue and its adjacent non-cancerous tissue. Breast Cancer Res Tr 99:275–288. doi:10.1007/s10549-006-9215-y

    Article  CAS  Google Scholar 

  46. Eppler E, Zapf J, Bailer N, Falkmer UG, Falkmer S, Reinecke M (2002) IGF-1 in human breast cancer: low differentiation stage is associated with decreased IGF-1 content. European J of Endocrinopathy 146:813–821

    Article  CAS  Google Scholar 

  47. Law JH, Habibi G, Dunn SE et al (2008) Phosphorylated insulin-like growth factor-1/insulin receptor is present in all breast cancer subtypes and is related to poor survival. Cancer Res 68:10238–10246. doi:10.1158/0008-5472.CAN-08-2755

    PubMed  Article  CAS  Google Scholar 

  48. Gil EMC (2014) Targeting the PI3K/AKT/mTOR pathway in estrogen receptor-positive breast cancer. Cancer Treatment Reviews 40:862–871. doi:10.1016/j.ctrv.2014.03.004

    Article  CAS  Google Scholar 

Download references

Acknowledgments

This work was partly supported by Grant-in-Aid for Scientific Research from the Japanese Ministry of Education, Culture, Sports, Science and Technology (Tokyo, Japan).

Author information

Affiliations

Authors

Corresponding author

Correspondence to Hironobu Sasano.

Ethics declarations

Conflict of interest

There are no conflicts of interest in any of the authors.

Rights and permissions

Reprints and Permissions

About this article

Verify currency and authenticity via CrossMark

Cite this article

Nakagawa, S., Miki, Y., Miyashita, M. et al. Tumor microenvironment in invasive lobular carcinoma: possible therapeutic targets. Breast Cancer Res Treat 155, 65–75 (2016). https://doi.org/10.1007/s10549-015-3668-9

Download citation

  • Received:

  • Accepted:

  • Published:

  • Issue Date:

  • DOI: https://doi.org/10.1007/s10549-015-3668-9

Keywords

  • Invasive lobular carcinoma
  • Cancer-associated fibroblasts
  • Microvessel density
  • Vasohibin-1 positive ratio
  • Nestin
  • Insulin-like growth factor-1