Skip to main content

Prognostic significance of epithelial–mesenchymal transition proteins Twist and Foxc2 in phyllodes tumours of the breast

Abstract

Epithelial–mesenchymal transition (EMT), an important process during embryonic development, is reportedly exploited during tumour progression. Deregulation of EMT-related molecules has been shown in many malignancies, including breast carcinoma. We aim to investigate the clinical relevance and prognostic significance of EMT proteins, Twist and Foxc2, in breast phyllodes tumours (PTs). The study cohort comprised 271 PTs diagnosed from 2003 to 2010. Of these, 188 (69.4 %) were benign, 60 (22.1 %) borderline, and 23 (8.5 %) malignant. Immunohistochemistry for Twist and Foxc2 was performed on tissue microarray sections. Percentage of tumour cells stained was evaluated and correlated with clinicopathological parameters and clinical outcome. Twist and Foxc2 stromal nuclear expression was associated with tumour grade (P = 0.038 and 0.012). Foxc2 stromal nuclear expression was positively correlated with epithelial expression (P < 0.001), tumour relapse, and metastasis (P = 0.037). Furthermore, stromal nuclear immunoreactivity of Twist and Foxc2 was interrelated (P < 0.001). Tumours expressing Foxc2 and those co-expressing both Twist and Foxc2 revealed a shorter time to recurrence (P < 0.001 and 0.001) and death (P = 0.044 and 0.015). Twist and Foxc2 stromal expression in PTs was significantly correlated with tumour grade and worse histological features. In addition, expression of Foxc2 and co-expression of Twist and Foxc2 in the stroma of PTs contributed to poorer prognosis. Clinical relevance of EMT-related molecules may be worthy of further investigation in PTs.

This is a preview of subscription content, access via your institution.

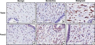
Fig. 1
Fig. 2

References

  1. Tan PH, Jayabaskar T, Chuah KL, Lee HY, Tan Y, Hilmy M, Hung H, Selvarajan S, Bay BH (2005) Phyllodes tumors of the breast: the role of pathologic parameters. Am J Clin Pathol 123:529–540

    Article  PubMed  Google Scholar 

  2. Lakhani SR, Ellis IO, Schnitt SJ, Tan PH, van de Vijver MJ (2012) Who classification of tumours of the breast, 4th edn. International Agency for Research on Cancer, Lyon

    Google Scholar 

  3. Noguchi S, Motomura K, Inaji H, Imaoka S, Koyama H (1993) Clonal analysis of fibroadenoma and phyllodes tumor of the breast. Cancer Res 53:4071–4074

    CAS  PubMed  Google Scholar 

  4. Karim RZ, O’Toole SA, Scolyer RA, Cooper CL, Chan B, Selinger C, Yu B, Carmalt H, Mak C, Tse GM, Tan PH, Putti TC, Lee CS (2013) Recent insights into the molecular pathogenesis of mammary phyllodes tumours. J Clin Pathol 66:496–505

    Article  CAS  PubMed  Google Scholar 

  5. Sawyer EJ, Hanby AM, Rowan AJ, Gillett CE, Thomas RE, Poulsom R, Lakhani SR, Ellis IO, Ellis P, Tomlinson IPM (2002) The Wnt pathway, epithelial–stromal interactions, and malignant progression in phyllodes tumours. J Pathol 196:437–444

    Article  CAS  PubMed  Google Scholar 

  6. Thiery JP (2002) Epithelial–mesenchymal transitions in tumour progression. Nat Rev Cancer 2:442–454

    Article  CAS  PubMed  Google Scholar 

  7. Kalluri R, Weinberg RA (2009) The basics of epithelial–mesenchymal transition. J Clin Invest 119:1420–1428

    Article  PubMed Central  CAS  PubMed  Google Scholar 

  8. Wang Y, Zhou BP (2013) Epithelial–mesenchymal transition—a hallmark of breast cancer metastasis. Cancer Hallm 1:38–49

    Article  PubMed Central  PubMed  Google Scholar 

  9. Moustakas A, Heldin CH (2007) Signaling networks guiding epithelial–mesenchymal transitions during embryogenesis and cancer progression. Cancer Sci 98:1512–1520

    Article  CAS  PubMed  Google Scholar 

  10. Lee TK, Poon RTP, Yuen AP, Ling MT, Kwok WK, Wang XH, Wong YC, Guan XY, Man K, Chau KL, Fan ST (2006) Twist overexpression correlates with hepatocellular carcinoma metastasis through induction of epithelial–mesenchymal transition. Clin Cancer Res 12:5369–5376

    Article  CAS  PubMed  Google Scholar 

  11. Hartwell KA, Muir B, Reinhardt F, Carpenter AE, Sgroi DC, Weinberg RA (2006) The spemann organizer gene, goosecoid, promotes tumor metastasis. Proc Natl Acad Sci USA 103:18969–18974

    Article  PubMed Central  CAS  PubMed  Google Scholar 

  12. Zhu JL, Song YX, Wang ZN, Gao P, Wang MX, Dong YL, Xing CZ, Xu HM (2013) The clinical significance of mesenchyme forkhead 1 (foxc2) in gastric carcinoma. Histopathology 62:1038–1048

    Article  PubMed  Google Scholar 

  13. Thisse B, el Messal M, Perrin-Schmitt F (1987) The twist gene: isolation of a drosophila zygotic gene necessary for the establishment of dorsoventral pattern. Nucleic Acids Res 15:3439–3453

    Article  PubMed Central  CAS  PubMed  Google Scholar 

  14. Puisieux A, Valsesia-Wittmann S, Ansieau S (2006) A twist for survival and cancer progression. Br J Cancer 94:13–17

    Article  PubMed Central  CAS  PubMed  Google Scholar 

  15. Castanon I, Baylies MK (2002) A twist in fate: evolutionary comparison of twist structure and function. Gene 287:11–22

    Article  CAS  PubMed  Google Scholar 

  16. Bastid J, Ciancia C, Puisieux A, Ansieau S (2010) Role of twist proteins in cancer progression. Atlas Genet Cytogenet Oncol Haematol 14:898–907

    Google Scholar 

  17. Watanabe O, Imamura H, Shimizu T, Kinoshita J, Okabe T, Hirano A, Yoshimatsu K, Konno S, Aiba M, Ogawa K (2004) Expression of twist and Wnt in human breast cancer. Anticancer Res 24:3851–3856

    CAS  PubMed  Google Scholar 

  18. Gort EH, Suijkerbuijk KPM, Roothaan SM, Raman V, Vooijs M, van der Wall E, van Diest PJ (2008) Methylation of the Twist1 promoter, Twist1 mrna levels, and immunohistochemical expression of Twist1 in breast cancer. Cancer Epidemiol Biomarkers Prev 17:3325–3330

    Article  CAS  PubMed  Google Scholar 

  19. Hui L, Zhang S, Dong X, Tian D, Cui Z, Qiu X (2013) Prognostic significance of twist and n-cadherin expression in NSCLC. PLoS ONE 8:e62171

    Article  PubMed Central  CAS  PubMed  Google Scholar 

  20. Gao XH, Yang XQ, Wang BC, Liu SP, Wang FB (2013) Overexpression of twist and matrix metalloproteinase-9 with metastasis and prognosis in gastric cancer. Asian Pac J Cancer Prev 14:5055–5060

    Article  PubMed  Google Scholar 

  21. Ohuchida K, Mizumoto K, Ohhashi S, Yamaguchi H, Konomi H, Nagai E, Yamaguchi K, Tsuneyoshi M, Tanaka M (2007) Twist, a novel oncogene, is upregulated in pancreatic cancer: clinical implication of twist expression in pancreatic juice. Int J Cancer 120:1634–1640

    Article  CAS  PubMed  Google Scholar 

  22. Shen CH, Wu JD, Jou YC, Cheng MC, Lin CT, Chen PC, Tseng YS, Shi CS, Chen SY, Chang DC, Lee YR (2011) The correlation between twist, e-cadherin, and beta-catenin in human bladder cancer. J BUON 16:733–737

    PubMed  Google Scholar 

  23. Kwok WK, Ling MT, Lee TW, Lau TCM, Zhou C, Zhang X, Chua CW, Chan KW, Chan FL, Glackin C, Wong YC, Wang X (2005) Up-regulation of twist in prostate cancer and its implication as a therapeutic target. Cancer Res 65:5153–5162

    Article  CAS  PubMed  Google Scholar 

  24. Hosono S, Kajiyama H, Terauchi M, Shibata K, Ino K, Nawa A, Kikkawa F (2007) Expression of twist increases the risk for recurrence and for poor survival in epithelial ovarian carcinoma patients. Br J Cancer 96:314–320

    Article  PubMed Central  CAS  PubMed  Google Scholar 

  25. Entz-Werlé N, Stoetzel C, Berard-Marec P, Kalifa C, Brugiere L, Pacquement H, Schmitt C, Tabone MD, Gentet JC, Quillet R, Oudet P, Lutz P, Babin-Boilletot A, Gaub MP, Perrin-Schmitt F (2005) Frequent genomic abnormalities at twist in human pediatric osteosarcomas. Int J Cancer 117:349–355

    Article  PubMed  Google Scholar 

  26. Yin K, Liao Q, He H, Zhong D (2012) Prognostic value of twist and e-cadherin in patients with osteosarcoma. Med Oncol 29:3449–3455

    Article  CAS  PubMed  Google Scholar 

  27. Maestro R, Dei Tos AP, Hamamori Y, Krasnokutsky S, Sartorelli V, Kedes L, Doglioni C, Beach DH, Hannon GJ (1999) Twist is a potential oncogene that inhibits apoptosis. Genes Dev 13:2207–2217

    Article  PubMed Central  CAS  PubMed  Google Scholar 

  28. Yang J, Mani SA, Donaher JL, Ramaswamy S, Itzykson RA, Come C, Savagner P, Gitelman I, Richardson A, Weinberg RA (2004) Twist, a master regulator of morphogenesis, plays an essential role in tumor metastasis. Cell 117:927–939

    Article  CAS  PubMed  Google Scholar 

  29. Martin TA, Goyal A, Watkins G, Jiang WG (2005) Expression of the transcription factors snail, slug, and twist and their clinical significance in human breast cancer. Ann Surg Oncol 12:488–496

    Article  PubMed  Google Scholar 

  30. Lam EWF, Brosens JJ, Gomes AR, Koo CY (2013) Forkhead box proteins: tuning forks for transcriptional harmony. Nat Rev Cancer 13:482–495

    Article  CAS  PubMed  Google Scholar 

  31. Miura N, Wanaka A, Tohyama M, Tanaka K (1993) Mfh-1, a new member of the fork head domain family, is expressed in developing mesenchyme. FEBS Lett 326:171–176

    Article  CAS  PubMed  Google Scholar 

  32. Carlsson P, Mahlapuu M (2002) Forkhead transcription factors: key players in development and metabolism. Dev Biol 250:1–23

    Article  CAS  PubMed  Google Scholar 

  33. Seo S, Fujita H, Nakano A, Kang M, Duarte A, Kume T (2006) The forkhead transcription factors, Foxc1 and Foxc2, are required for arterial specification and lymphatic sprouting during vascular development. Dev Biol 294:458–470

    Article  CAS  PubMed  Google Scholar 

  34. Seo S, Kume T (2006) Forkhead transcription factors, Foxc1 and Foxc2, are required for the morphogenesis of the cardiac outflow tract. Dev Biol 296:421–436

    Article  CAS  PubMed  Google Scholar 

  35. Cederberg A, Grønning LM, Ahrén B, Taskén K, Carlsson P, Enerbäck S (2001) Foxc2 is a winged helix gene that counteracts obesity, hypertriglyceridemia, and diet-induced insulin resistance. Cell 106:563–573

    Article  CAS  PubMed  Google Scholar 

  36. Sano H, Leboeuf JP, Novitskiy SV, Seo S, Zaja-Milatovic S, Dikov MM, Kume T (2010) The Foxc2 transcription factor regulates tumor angiogenesis. Biochem Biophys Res Commun 392:201–206

    Article  PubMed Central  CAS  PubMed  Google Scholar 

  37. Yang J, Weinberg RA (2008) Epithelial–mesenchymal transition: at the crossroads of development and tumor metastasis. Dev Cell 14:818–829

    Article  CAS  PubMed  Google Scholar 

  38. Sasahira T, Ueda N, Yamamoto K, Kurihara M, Matsushima S, Bhawal UK, Kirita T, Kuniyasu H (2014) Prox1 and Foxc2 act as regulators of lymphangiogenesis and angiogenesis in oral squamous cell carcinoma. PLoS ONE 9:e92534

    Article  PubMed Central  PubMed  Google Scholar 

  39. Mani SA, Yang J, Brooks M, Schwaninger G, Zhou A, Miura N, Kutok JL, Hartwell K, Richardson AL, Weinberg RA (2007) Mesenchyme forkhead 1 (Foxc2) plays a key role in metastasis and is associated with aggressive basal-like breast cancers. Proc Natl Acad Sci USA 104:10069–10074

    Article  PubMed Central  CAS  PubMed  Google Scholar 

  40. Jiang W, Pang XG, Wang Q, Shen YX, Chen XK, Xi JJ (2012) Prognostic role of twist, slug, and Foxc2 expression in stage i non-small-cell lung cancer after curative resection. Clin Lung Cancer 13:280–287

    Article  CAS  PubMed  Google Scholar 

  41. Nishida N, Mimori K, Yokobori T, Sudo T, Tanaka F, Shibata K, Ishii H, Doki Y, Mori M (2011) Foxc2 is a novel prognostic factor in human esophageal squamous cell carcinoma. Ann Surg Oncol 18:535–542

    Article  PubMed  Google Scholar 

  42. Li Y, Yang W, Yang Q, Zhou S (2012) Nuclear localization of Gli1 and elevated expression of Foxc2 in breast cancer is associated with the basal-like phenotype. Histol Histopathol 27:475–484

    CAS  PubMed  Google Scholar 

  43. Do SI, Kim JY, Kang SY, Lee JJ, Lee JE, Nam SJ, Cho EY (2013) Expression of twist1, snail, slug, and nf-κb and methylation of the twist1 promoter in mammary phyllodes tumor. Tumour Biol 34:445–453

    Article  CAS  PubMed  Google Scholar 

  44. Kwon JE, Jung WH, Koo JS (2012) Molecules involved in epithelial–mesenchymal transition and epithelial–stromal interaction in phyllodes tumors: implications for histologic grade and prognosis. Tumour Biol 33:787–798

    Article  PubMed  Google Scholar 

  45. van Nes JGH, de Kruijf EM, Putter H, Faratian D, Munro A, Campbell F, Smit VTHBM, Liefers GJ, Kuppen PJK, van de Velde CJH, Bartlett JMS (2012) Co-expression of snail and twist determines prognosis in estrogen receptor-positive early breast cancer patients. Breast Cancer Res Treat 133:49–59

    Article  CAS  PubMed  Google Scholar 

  46. Yang MH, Chen CL, Chau GY, Chiou SH, Su CW, Chou TY, Peng WL, Wu JC (2009) Comprehensive analysis of the independent effect of twist and snail in promoting metastasis of hepatocellular carcinoma. Hepatology 50:1464–1474

    Article  CAS  PubMed  Google Scholar 

  47. Tan PH, Thike AA, Tan WJ, Thu MMM, Busmanis I, Li H, Chay WY, Tan MH, Phyllodes Tumour Network Singapore (2012) Predicting clinical behaviour of breast phyllodes tumours: a nomogram based on histological criteria and surgical margins. J Clin Pathol 65:69–76

    Article  PubMed  Google Scholar 

  48. McShane LM, Altman DG, Sauerbrei W, Taube SE, Gion M, Clark GM, Statistics Subcommittee of NCI-EORTC Working Group on Cancer Diagnostics (2006) Reporting recommendations for tumor marker prognostic studies. Breast Cancer Res Treat 100:229–235

    Article  PubMed  Google Scholar 

  49. Sawyer EJ, Hanby AM, Ellis P, Lakhani SR, Ellis IO, Boyle S, Tomlinson IP (2000) Molecular analysis of phyllodes tumors reveals distinct changes in the epithelial and stromal components. Am J Pathol 156:1093–1098

    Article  PubMed Central  CAS  PubMed  Google Scholar 

  50. Dietrich CU, Pandis N, Rizou H, Petersson C, Bardi G, Qvist H, Apostolikas N, Bøhler PJ, Andersen JA, Idvall I, Mitelman F, Heim S (1997) Cytogenetic findings in phyllodes tumors of the breast: karyotypic complexity differentiates between malignant and benign tumors. Hum Pathol 28:1379–1382

    Article  CAS  PubMed  Google Scholar 

  51. Sawhney N, Garrahan N, Douglas-Jones AG, Williams ED (1992) Epithelial–stromal interactions in tumors. A morphologic study of fibroepithelial tumors of the breast. Cancer 70:2115–2120

    Article  CAS  PubMed  Google Scholar 

  52. Millar EK, Beretov J, Marr P, Sarris M, Clarke RA, Kearsley JH, Lee CS (1999) Malignant phyllodes tumours of the breast display increased stromal p53 protein expression. Histopathology 34:491–496

    Article  CAS  PubMed  Google Scholar 

  53. Tsang JYS, Mendoza P, Putti TC, Karim RZ, Scolyer RA, Lee CS, Pang ALM, Tse GM (2012) E-cadherin expression in the epithelial components of mammary phyllodes tumors. Hum Pathol 43:2117–2123

    Article  CAS  PubMed  Google Scholar 

  54. Tan WJ, Thike AA, Bay BH, Tan PH (2014) Immunohistochemical expression of homeoproteins Six1 and Pax3 in breast phyllodes tumours correlates with histological grade and clinical outcome. Histopathology 64:807–817

    Article  PubMed  Google Scholar 

  55. Hayashi H, Sano H, Seo S, Kume T (2008) The Foxc2 transcription factor regulates angiogenesis via induction of integrin beta3 expression. J Biol Chem 283:23791–23800

    Article  PubMed Central  CAS  PubMed  Google Scholar 

  56. Mortazavi F, An J, Dubinett S, Rettig M (2010) P120-catenin is transcriptionally downregulated by foxc2 in non-small cell lung cancer cells. Mol Cancer Res 8:762–774

    Article  CAS  PubMed  Google Scholar 

  57. Montserrat N, Gallardo A, Escuin D, Catasus L, Prat J, Gutiérrez-Avignó FJ, Peiró G, Barnadas A, Lerma E (2011) Repression of e-cadherin by snail, zeb1, and twist in invasive ductal carcinomas of the breast: a cooperative effort? Hum Pathol 42:103–110

    Article  CAS  PubMed  Google Scholar 

  58. Mironchik Y, Winnard PT, Vesuna F, Kato Y, Wildes F, Pathak AP, Kominsky S, Artemov D, Bhujwalla Z, Van Diest P, Burger H, Glackin C, Raman V (2005) Twist overexpression induces in vivo angiogenesis and correlates with chromosomal instability in breast cancer. Cancer Res 65:10801–10809

    Article  CAS  PubMed  Google Scholar 

  59. Vesuna F, Lisok A, Kimble B, Raman V (2009) Twist modulates breast cancer stem cells by transcriptional regulation of cd24 expression. Neoplasia 11:1318–1328

    PubMed Central  CAS  PubMed  Google Scholar 

  60. Hollier BG, Tinnirello AA, Werden SJ, Evans KW, Taube JH, Sarkar TR, Sphyris N, Shariati M, Kumar SV, Battula VL, Herschkowitz JI, Guerra R, Chang JT, Miura N, Rosen JM, Mani SA (2013) Foxc2 expression links epithelial–mesenchymal transition and stem cell properties in breast cancer. Cancer Res 73:1981–1992

    Article  PubMed Central  CAS  PubMed  Google Scholar 

Download references

Conflict of interest

None.

Author information

Affiliations

Authors

Corresponding author

Correspondence to Puay Hoon Tan.

Rights and permissions

Reprints and Permissions

About this article

Verify currency and authenticity via CrossMark

Cite this article

Lim, J.C.T., Koh, V.C.Y., Tan, J.S.Y. et al. Prognostic significance of epithelial–mesenchymal transition proteins Twist and Foxc2 in phyllodes tumours of the breast. Breast Cancer Res Treat 150, 19–29 (2015). https://doi.org/10.1007/s10549-015-3296-4

Download citation

  • Received:

  • Accepted:

  • Published:

  • Issue Date:

  • DOI: https://doi.org/10.1007/s10549-015-3296-4

Keywords

  • Phyllodes tumours
  • Breast
  • Twist
  • Foxc2
  • Epithelial–mesenchymal transition
  • Prognosis
  • Immunohistochemistry