Skip to main content

Dynamic changes in high and low mammographic density human breast tissues maintained in murine tissue engineering chambers during various murine peripartum states and over time

Abstract

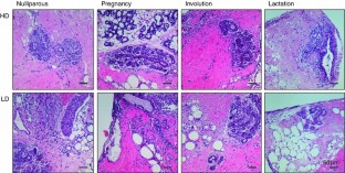
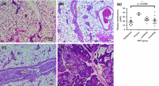
Mammographic density (MD) is a strong heritable risk factor for breast cancer, and may decrease with increasing parity. However, the biomolecular basis for MD-associated breast cancer remains unclear, and systemic hormonal effects on MD-associated risk is poorly understood. This study assessed the effect of murine peripartum states on high and low MD tissue maintained in a xenograft model of human MD. Method High and low MD human breast tissues were precisely sampled under radiographic guidance from prophylactic mastectomy specimens of women. The high and low MD tissues were maintained in separate vascularised biochambers in nulliparous or pregnant SCID mice for 4 weeks, or mice undergoing postpartum involution or lactation for three additional weeks. High and low MD biochamber material was harvested for histologic and radiographic comparisons during various murine peripartum states. High and low MD biochamber tissues in nulliparous mice were harvested at different timepoints for histologic and radiographic comparisons. Results High MD biochamber tissues had decreased stromal (p = 0.0027), increased adipose (p = 0.0003) and a trend to increased glandular tissue areas (p = 0.076) after murine postpartum involution. Stromal areas decreased (p = 0.042), while glandular (p = 0.001) and adipose areas (p = 0.009) increased in high MD biochamber tissues during lactation. A difference in radiographic density was observed in high (p = 0.0021) or low MD biochamber tissues (p = 0.004) between nulliparous, pregnant and involution groups. No differences in tissue composition were observed in high or low MD biochamber tissues maintained for different durations, although radiographic density increased over time. Conclusion High MD biochamber tissues had measurable histologic changes after postpartum involution or lactation. Alterations in radiographic density occurred in biochamber tissues between different peripartum states and over time. These findings demonstrate the dynamic nature of the human MD xenograft model, providing a platform for studying the biomolecular basis of MD-associated cancer risk.

This is a preview of subscription content, access via your institution.

Fig. 1
Fig. 2
Fig. 3
Fig. 4
Fig. 5
Fig. 6
Fig. 7
Fig. 8
Fig. 9

References

  1. Boyd NF, Guo H, Martin LJ, Sun L, Stone J, Fishell E, Jong RA, Hislop G, Chiarelli A, Minkin S, Yaffe MJ (2007) Mammographic density and the risk and detection of breast cancer. N Engl J Med 356(3):227–236. doi:10.1056/NEJMoa062790

    PubMed  Article  CAS  Google Scholar 

  2. McCormack VA, dos Santos Silva I (2006) Breast density and parenchymal patterns as markers of breast cancer risk: a meta-analysis. Cancer Epidemiol Biomarkers Prev 15(6):1159–1169. doi:10.1158/1055-9965.EPI-06-0034

    PubMed  Article  Google Scholar 

  3. Ursin G, Ma H, Wu AH, Bernstein L, Salane M, Parisky YR, Astrahan M, Siozon CC, Pike MC (2003) Mammographic density and breast cancer in three ethnic groups. Cancer Epidemiol Biomarkers Prev 12(4):332–338

    PubMed  Google Scholar 

  4. Byrne C, Schairer C, Wolfe J, Parekh N, Salane M, Brinton LA, Hoover R, Haile R (1995) Mammographic features and breast cancer risk: effects with time, age, and menopause status. J Natl Cancer Inst 87(21):1622–1629

    PubMed  Article  CAS  Google Scholar 

  5. Boyd NF, Byng JW, Jong RA, Fishell EK, Little LE, Miller AB, Lockwood GA, Tritchler DL, Yaffe MJ (1995) Quantitative classification of mammographic densities and breast cancer risk: results from the Canadian National Breast Screening Study. J Natl Cancer Inst 87(9):670–675

    PubMed  Article  CAS  Google Scholar 

  6. Wolfe JN, Saftlas AF, Salane M (1987) Mammographic parenchymal patterns and quantitative evaluation of mammographic densities: a case–control study. AJR Am J Roentgenol 148(6):1087–1092

    PubMed  Article  CAS  Google Scholar 

  7. Byrne C, Schairer C, Brinton LA, Wolfe J, Parekh N, Salane M, Carter C, Hoover R (2001) Effects of mammographic density and benign breast disease on breast cancer risk (United States). Cancer Causes Control 12(2):103–110

    PubMed  Article  CAS  Google Scholar 

  8. MacMahon B, Cole P, Lin TM, Lowe CR, Mirra AP, Ravnihar B, Salber EJ, Valaoras VG, Yuasa S (1970) Age at first birth and breast cancer risk. Bull World Health Organ 43(2):209–221

    PubMed  CAS  Google Scholar 

  9. Franceschi S (1989) Reproductive factors and cancers of the breast, ovary and endometrium. Eur J Cancer Clin Oncol 25(12):1933–1943

    PubMed  Article  CAS  Google Scholar 

  10. Brinton LA, Schairer C, Hoover RN, Fraumeni JF Jr (1988) Menstrual factors and risk of breast cancer. Cancer Invest 6(3):245–254

    PubMed  Article  CAS  Google Scholar 

  11. Britt K, Short R (2012) The plight of nuns: hazards of nulliparity. Lancet 379(9834):2322–2323. doi:10.1016/S0140-6736(11)61746-7

    PubMed  Article  Google Scholar 

  12. Purdie DM, Bain CJ, Siskind V, Webb PM, Green AC (2003) Ovulation and risk of epithelial ovarian cancer. Int J Cancer 104(2):228–232. doi:10.1002/ijc.10927

    PubMed  Article  CAS  Google Scholar 

  13. Li T, Sun L, Miller N, Nicklee T, Woo J, Hulse-Smith L, Tsao MS, Khokha R, Martin L, Boyd N (2005) The association of measured breast tissue characteristics with mammographic density and other risk factors for breast cancer. Cancer Epidemiol Biomarkers Prev 14(2):343–349. doi:10.1158/1055-9965.EPI-04-0490

    PubMed  Article  Google Scholar 

  14. Martin LJ, Minkin S, Boyd NF (2009) Hormone therapy, mammographic density, and breast cancer risk. Maturitas 64(1):20–26. doi:10.1016/j.maturitas.2009.07.009

    PubMed  Article  CAS  Google Scholar 

  15. Greendale GA, Reboussin BA, Slone S, Wasilauskas C, Pike MC, Ursin G (2003) Postmenopausal hormone therapy and change in mammographic density. J Natl Cancer Inst 95(1):30–37

    PubMed  Article  CAS  Google Scholar 

  16. Lundstrom E, Christow A, Kersemaekers W, Svane G, Azavedo E, Soderqvist G, Mol-Arts M, Barkfeldt J, von Schoultz B (2002) Effects of tibolone and continuous combined hormone replacement therapy on mammographic breast density. Am J Obstet Gynecol 186(4):717–722

    PubMed  Article  CAS  Google Scholar 

  17. Rutter CM, Mandelson MT, Laya MB, Seger DJ, Taplin S (2001) Changes in breast density associated with initiation, discontinuation, and continuing use of hormone replacement therapy. JAMA 285(2):171–176

    PubMed  Article  CAS  Google Scholar 

  18. Cuzick J, Warwick J, Pinney E, Duffy SW, Cawthorn S, Howell A, Forbes JF, Warren RM (2011) Tamoxifen-induced reduction in mammographic density and breast cancer risk reduction: a nested case–control study. J Natl Cancer Inst 103(9):744–752. doi:10.1093/jnci/djr079

    PubMed  Article  CAS  Google Scholar 

  19. Chew GL, Huang D, Lin SJ, Huo C, Blick T, Henderson MA, Hill P, Cawson J, Morrison WA, Campbell IG, Hopper JL, Southey MC, Haviv I, Thompson EW (2012) High and low mammographic density human breast tissues maintain histological differential in murine tissue engineering chambers. Breast Cancer Res Treat 135(1):177–187. doi:10.1007/s10549-012-2128-z

    PubMed  Article  CAS  Google Scholar 

  20. Lin SJ, Cawson J, Hill P, Haviv I, Jenkins M, Hopper JL, Southey MC, Campbell IG, Thompson EW (2011) Image-guided sampling reveals increased stroma and lower glandular complexity in mammographically dense breast tissue. Breast Cancer Res Treat 128(2):505–516. doi:10.1007/s10549-011-1346-0

    PubMed  Article  Google Scholar 

  21. Boyd NF, Melnichouk O, Martin LJ, Hislop G, Chiarelli AM, Yaffe MJ, Minkin S (2011) Mammographic density, response to hormones, and breast cancer risk. J Clin Oncol 29(22):2985–2992. doi:10.1200/JCO.2010.33.7964

    PubMed  Article  CAS  Google Scholar 

  22. Kelly JL, Findlay MW, Knight KR, Penington A, Thompson EW, Messina A, Morrison WA (2006) Contact with existing adipose tissue is inductive for adipogenesis in matrigel. Tissue Eng 12(7):2041–2047. doi:10.1089/ten.2006.12.2041

    PubMed  Article  CAS  Google Scholar 

  23. Stillaert F, Findlay M, Palmer J, Idrizi R, Cheang S, Messina A, Abberton K, Morrison W, Thompson EW (2007) Host rather than graft origin of matrigel-induced adipose tissue in the murine tissue-engineering chamber. Tissue Eng 13(9):2291–2300. doi:10.1089/ten.2006.0382

    PubMed  Article  CAS  Google Scholar 

  24. Thomas GP, Hemmrich K, Abberton KM, McCombe D, Penington AJ, Thompson EW, Morrison WA (2008) Zymosan-induced inflammation stimulates neo-adipogenesis. Int J Obes (Lond) 32(2):239–248. doi:10.1038/sj.ijo.0803702

    Article  CAS  Google Scholar 

  25. Rosen PP (ed) (2009) Rosen’s breast pathology, 3rd edn. Lippincott Williams & Wilkins, Philadelphia

    Google Scholar 

  26. Richert MM, Schwertfeger KL, Ryder JW, Anderson SM (2000) An atlas of mouse mammary gland development. J Mammary Gland Biol Neoplasia 5(2):227–241

    PubMed  Article  CAS  Google Scholar 

  27. Albrektsen G, Heuch I, Hansen S, Kvale G (2005) Breast cancer risk by age at birth, time since birth and time intervals between births: exploring interaction effects. Br J Cancer 92(1):167–175. doi:10.1038/sj.bjc.6602302

    PubMed  Article  CAS  Google Scholar 

  28. Schedin P (2006) Pregnancy-associated breast cancer and metastasis. Nat Rev Cancer 6(4):281–291. doi:10.1038/nrc1839

    PubMed  Article  CAS  Google Scholar 

  29. Wohlfahrt J, Melbye M (2001) Age at any birth is associated with breast cancer risk. Epidemiology 12(1):68–73

    PubMed  Article  CAS  Google Scholar 

  30. Milne RL, John EM, Knight JA, Dite GS, Southey MC, Giles GG, Apicella C, West DW, Andrulis IL, Whittemore AS, Hopper JL (2011) The potential value of sibling controls compared with population controls for association studies of lifestyle-related risk factors: an example from the Breast Cancer Family Registry. Int J Epidemiol 40(5):1342–1354. doi:10.1093/ije/dyr110

    PubMed  Article  Google Scholar 

  31. Lope V, Perez-Gomez B, Sanchez-Contador C, Santamarina MC, Moreo P, Vidal C, Laso MS, Ederra M, Pedraz-Pingarron C, Gonzalez-Roman I, Garcia-Lopez M, Salas-Trejo D, Peris M, Moreno MP, Vazquez-Carrete JA, Collado F, Aragones N, Pollan M (2012) Obstetric history and mammographic density: a population-based cross-sectional study in Spain (DDM-Spain). Breast Cancer Res Treat. doi:10.1007/s10549-011-1936-x

    Google Scholar 

  32. Loehberg CR, Heusinger K, Jud SM, Haeberle L, Hein A, Rauh C, Bani MR, Lux MP, Schrauder MG, Bayer CM, Helbig C, Grolik R, Adamietz B, Schulz-Wendtland R, Beckmann MW, Fasching PA (2010) Assessment of mammographic density before and after first full-term pregnancy. Eur J Cancer Prev 19(6):405–412. doi:10.1097/CEJ.0b013e32833ca1f4

    PubMed  Article  Google Scholar 

  33. Sung J, Song YM, Stone J, Lee K, Lee D (2011) Reproductive factors associated with mammographic density: a Korean co-twin control study. Breast Cancer Res Treat 128(2):567–572. doi:10.1007/s10549-011-1469-3

    PubMed  Article  Google Scholar 

  34. Gupta PB, Proia D, Cingoz O, Weremowicz J, Naber SP, Weinberg RA, Kuperwasser C (2007) Systemic stromal effects of estrogen promote the growth of estrogen receptor-negative cancers. Cancer Res 67(5):2062–2071. doi:10.1158/0008-5472.CAN-06-3895

    PubMed  Article  CAS  Google Scholar 

  35. Couto E, Qureshi SA, Hofvind S, Hilsen M, Aase H, Skaane P, Vatten L, Ursin G (2012) Hormone therapy use and mammographic density in postmenopausal Norwegian women. Breast Cancer Res Treat 132(1):297–305. doi:10.1007/s10549-011-1810-x

    PubMed  Article  CAS  Google Scholar 

  36. van Duijnhoven FJ, Peeters PH, Warren RM, Bingham SA, van Noord PA, Monninkhof EM, Grobbee DE, van Gils CH (2007) Postmenopausal hormone therapy and changes in mammographic density. J Clin Oncol 25(11):1323–1328. doi:10.1200/JCO.2005.04.7332

    PubMed  Article  Google Scholar 

  37. Bemis LT, Schedin P (2000) Reproductive state of rat mammary gland stroma modulates human breast cancer cell migration and invasion. Cancer Res 60(13):3414–3418

    PubMed  CAS  Google Scholar 

  38. Schenk S, Hintermann E, Bilban M, Koshikawa N, Hojilla C, Khokha R, Quaranta V (2003) Binding to EGF receptor of a laminin-5 EGF-like fragment liberated during MMP-dependent mammary gland involution. J Cell Biol 161(1):197–209. doi:10.1083/jcb.200208145

    PubMed  Article  CAS  Google Scholar 

  39. Lyons TR, O’Brien J, Borges VF, Conklin MW, Keely PJ, Eliceiri KW, Marusyk A, Tan AC, Schedin P (2011) Postpartum mammary gland involution drives progression of ductal carcinoma in situ through collagen and COX-2. Nat Med 17(9):1109–1115. doi:10.1038/nm.2416

    PubMed  Article  CAS  Google Scholar 

  40. Schedin P, Keely PJ (2011) Mammary gland ECM remodeling, stiffness, and mechanosignaling in normal development and tumor progression. Cold Spring Harb Perspect Biol 3(1):a003228. doi:10.1101/cshperspect.a003228

    PubMed  Article  Google Scholar 

  41. Strange R, Li F, Saurer S, Burkhardt A, Friis RR (1992) Apoptotic cell death and tissue remodelling during mouse mammary gland involution. Development 115(1):49–58

    PubMed  CAS  Google Scholar 

  42. Streuli CH, Schmidhauser C, Kobrin M, Bissell MJ, Derynck R (1993) Extracellular matrix regulates expression of the TGF-beta 1 gene. J Cell Biol 120(1):253–260

    PubMed  Article  CAS  Google Scholar 

  43. Nguyen AV, Pollard JW (2000) Transforming growth factor beta3 induces cell death during the first stage of mammary gland involution. Development 127(14):3107–3118

    PubMed  CAS  Google Scholar 

  44. Sabate JM, Clotet M, Torrubia S, Gomez A, Guerrero R, de las Heras P, Lerma E (2007) Radiologic evaluation of breast disorders related to pregnancy and lactation. Radiographics 27(Suppl 1):S101–S124. doi:10.1148/rg.27si075505

    PubMed  Article  Google Scholar 

  45. Ghosh K, Brandt KR, Reynolds C, Scott CG, Pankratz VS, Riehle DL, Lingle WL, Odogwu T, Radisky DC, Visscher DW, Ingle JN, Hartmann LC, Vachon CM (2012) Tissue composition of mammographically dense and non-dense breast tissue. Breast Cancer Res Treat 131(1):267–275. doi:10.1007/s10549-011-1727-4

    PubMed  Article  Google Scholar 

Download references

Acknowledgments

This work was supported by the Victorian BC Research Consortium (MCS, EWT, JH), the St Vincent’s Hospital Research Endowment Fund (EWT 2008, 2009), and National Health and Medical Research Council (GLC, MCS, JH) and the University of Melbourne Research Grant Support Scheme (MRGSS; EWT, IH, GLC). We thank Sue MacAuley and Nadine Wood (St Vincent’s BreastScreen, St Vincent’s Hospital, Victoria) for help with radiography and tissue sampling. St Vincent’s Institute receives support from the Victorian Government’s Operational Infrastructure Support Program.

Author information

Affiliations

Authors

Corresponding author

Correspondence to G. L. Chew.

Electronic supplementary material

Below is the link to the electronic supplementary material.

10549_2013_2642_MOESM1_ESM.pptx

Supp Fig. 1 a) The scatter plot column graph comparing the percentage tissue area of high MD biochamber tissues harvested from pregnant and lactating mice did not demonstrate a difference between stromal and fat percentage areas. An increase in gland percentage area was observed in high MD biochamber tissues harvested from lactating compared to pregnant mice. b) The scatter plot column graph comparing the percentage tissue area of high MD biochamber tissues harvested from pregnant and postpartum involution mice did not demonstrate a difference. (PPTX 3613 kb)

Rights and permissions

Reprints and Permissions

About this article

Cite this article

Chew, G.L., Huang, D., Huo, C.W. et al. Dynamic changes in high and low mammographic density human breast tissues maintained in murine tissue engineering chambers during various murine peripartum states and over time. Breast Cancer Res Treat 140, 285–297 (2013). https://doi.org/10.1007/s10549-013-2642-7

Download citation

  • Received:

  • Accepted:

  • Published:

  • Issue Date:

  • DOI: https://doi.org/10.1007/s10549-013-2642-7

Keywords

  • Mammographic density
  • Xenograft
  • Bioengineering chambers
  • Stroma
  • Postpartum involution
  • Lactation