Skip to main content

Rates of upgrade to malignancy for 271 cases of flat epithelial atypia (FEA) diagnosed by breast core biopsy

Abstract

Flat epithelial atypia (FEA) is a borderline lesion that might represent an early stage in the development of certain low-grade carcinomas in situ and invasive cancers. There are no guidelines on its management. Our objectives were to determine the upgrade to malignancy rate and identify a subpopulation of patients that might undergo just mammographic surveillance. We retrospectively reviewed the data for 271 FEA cases among 5,555 breast core biopsies obtained over a 7-year period (January 2003–2010). We collated clinical data (age, history of cancer, menopausal status), radiological data (lesion type, size, Bi-Rads category), technical data (number of biopsies, needle gauge, excision quality) and histological data and sought correlations between these factors and upgrade rate. The 271 FEA comprised 128 cases of pure FEA, 135 cases of FEA + atypical ductal hyperplasia, and 8 cases of FEA + atypical lobular hyperplasia. Overall, 184 patients underwent surgery and 46 mammographic surveillance. Surgery detected 34 cases of malignancy (23 CIS, 7 invasive cancers, and 4 mixed cases) giving a 15% upgrade rate. Quality of excision was the only factor associated with under-diagnosis. The presence of FEA at biopsy warrants surgery.

This is a preview of subscription content, access via your institution.

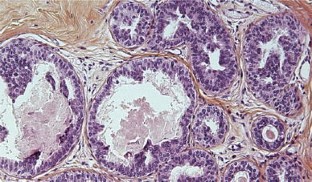
Fig. 1
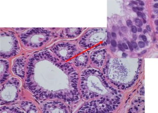
Fig. 2

References

  1. Collins LC, Baer HJ, Tamimi RM, Connolly JL, Colditz GA, Schnitt SJ (2007) Magnitude and laterality of breast cancer risk according to histologic type of atypical hyperplasia: results from the Nurses’ Health Study. Cancer 109:180–187

    PubMed  Article  Google Scholar 

  2. De Mascarel I, MacGrogan G, Mathoulin-Pelissier S, Vincent-Salomon A, Soubeyran I, Picot V et al (2007) Epithelial atypia in biopsies performed for microcalcifications. Practical considerations about 2,833 serially sectioned surgical biopsies with a long follow-up. Virchows Arch 451:1–10

    PubMed  Article  Google Scholar 

  3. Foote FW, Stewart FW (1945) Comparative studies of cancerous versus noncancerous breasts. Ann Surg 121:197–222

    PubMed  Article  CAS  Google Scholar 

  4. Schnitt SJ, Vincent-Salomon A (2003) Columnar cell lesions of the breast. Adv Anat Pathol 10:113–124

    PubMed  Article  Google Scholar 

  5. Schnitt SJ (2004) Columnar cell lesions of the breast pathological features and clinical significance. Mini-symposium:breast pathology. Curr Diagn Pathol 10:193–203

    Google Scholar 

  6. Abdel-Fatah TM, Powe DG, Hodi Z, Lee AH, Reis-Filho JS, Ellis IO (2007) High frequency of coexistence of columnar cell lesions, lobular neoplasia, and low grade ductal carcinoma in situ with invasive tubular carcinoma and invasive lobular carcinoma. Am J Surg Pathol 31:417–426

    PubMed  Article  Google Scholar 

  7. Oyama T, Maluf H, Koerner F (1999) Atypical cystic lobules: an early stage in the formation of low-grade ductal carcinoma in situ. Virchows Arch 435:413–421

    PubMed  Article  CAS  Google Scholar 

  8. Weidner N (1995) Malignant breast lesions that may mimic benign tumors. Semin Diagn Pathol 12:2–13

    PubMed  CAS  Google Scholar 

  9. Eusebi V, Feudale E, Foschini MP, Micheli A, Conti A, Riva C et al (1994) Long-term follow-up of in situ carcinoma of the breast. Semin Diagn Pathol 11:223–235

    PubMed  CAS  Google Scholar 

  10. Bijker N, Peterse JL, Duchateau L, Julien JP, Fentiman IS, Duval C et al (2001) Risk factors for recurrence and metastasis after breast-conserving therapy for ductal carcinoma-in situ: analysis of European Organization for Research and Treatment of Cancer Trial 10853. J Clin Oncol 19:2263–2271

    PubMed  CAS  Google Scholar 

  11. Jacobs TW, Connolly JL, Schnitt SJ (2002) Nonmalignant lesions in breast core needle biopsies: to excise or not to excise? Am J Surg Pathol 26:1095–1110

    PubMed  Article  Google Scholar 

  12. Nasser SM, Fan MJ (2003) Does atypical columnar cell hyperplasia on breast core biopsy warrant follow-up excision? Mod Pathol 16:42

    Article  Google Scholar 

  13. Schnitt SJ (2003) The diagnosis and management of pre-invasive breast disease: flat epithelial atypia-classification, pathologic features and clinical significance. Breast Cancer Res 5:263–268

    PubMed  Article  Google Scholar 

  14. Martel M, Barron-Rodriguez P, Tolgay OI, Dotto J, Tavassoli FA, Flat DIN (2007) 1 (flat epithelial atypia) on core needle biopsy: 63 cases identified retrospectively among 1, 751 core biopsies performed over an 8-year period (1992–1999). Virchows Arch 451:883–891

    PubMed  Article  Google Scholar 

  15. Piubello Q, Parisi A, Eccher A, Barbazeni G, Franchini Z, Iannucci A (2009) Flat epithelial atypia on core needle biopsy: which is the right management? Am J Surg Pathol 33:1078–1084

    PubMed  Article  Google Scholar 

  16. Brem RF, Behrndt VS, Sanow L, Gatewood OM (1999) Atypical ductal hyperplasia: histologic underestimation of carcinoma in tissue harvested from impalpable breast lesions using 11-gauge stereotactically guided directional vacuum-assisted biopsy. AJR Am J Roentgenol 172:1405–1407

    PubMed  CAS  Google Scholar 

  17. Darling ML, Smith DN, Lester SC, Kaelin C, Selland DL, Denison CM et al (2000) Atypical ductal hyperplasia and ductal carcinoma in situ as revealed by large-core needle breast biopsy: results of surgical excision. AJR Am J Roentgenol 175:1341–1346

    PubMed  CAS  Google Scholar 

  18. Liberman L, Smolkin JH, Dershaw DD, Morris EA, Abramson AF, Rosen PP (1998) Calcification retrieval at stereotactic, 11-gauge, directional, vacuum-assisted breast biopsy. Radiology 208:251–260

    PubMed  CAS  Google Scholar 

  19. Meyer JE, Smith DN, Lester SC, Kaelin C, DiPiro PJ, Denison CM et al (1999) Large-core needle biopsy of nonpalpable breast lesions. JAMA 281:1638–1641

    PubMed  Article  CAS  Google Scholar 

  20. Philpotts LE, Shaheen NA, Carter D, Lange RC, Lee CH (1999) Comparison of rebiopsy rates after stereotactic core needle biopsy of the breast with 11-gauge vacuum suction probe versus 14-gauge needle and automatic gun. AJR Am J Roentgenol 172:683–687

    PubMed  CAS  Google Scholar 

  21. Kunju LP, Kleer CG (2007) Significance of flat epithelial atypia on mammotome core needle biopsy: should it be excised? Hum Pathol 38:35–41

    PubMed  Article  Google Scholar 

  22. Burbank F, Parker SH, Fogarty TJ (1996) Stereotactic breast biopsy: improved tissue harvesting with the Mammotome. Am Surg 62:738–744

    PubMed  CAS  Google Scholar 

  23. Burbank F (1997) Stereotactic breast biopsy: comparison of 14- and 11-gauge Mammotome probe performance and complication rates. Am Surg 63:988–995

    PubMed  CAS  Google Scholar 

  24. David N, Labbe-Devilliers C, Moreau D, Loussouarn D, Campion L (2006) Diagnosis of flat epithelial atypia (FEA) after stereotactic vacuum-assisted biopsy (VAB) of the breast: what is the best management: systematic surgery for all or follow-up? J Radiol 87:1671–1677

    PubMed  Article  CAS  Google Scholar 

  25. Senetta R et al (2009) Columnar cell lesions associated with breast calcifications on vacuum-assisted core biopsies: clinical, radiographic, and histologic correlations. Mod Pathol 22:762–769

    PubMed  Google Scholar 

  26. Brogi E, Tan LP (2002) Findings at excisional biopsy (EBX) performed after identification of columnar cell change (CCC) of ductal epithelium in breast epithelium in breast core biopsy (CBX). Mod Pathol 15:29A–30A

    Google Scholar 

  27. Harigopal M, Yao DX, Hoda SA (2002) Columnar cell alteration diagnosed on mammotome core biopsy for indeterminate microcalcifications: results of subsequent mammogram and surgical excision. Mod Pathol 15:36

    Google Scholar 

  28. Bonnett M, Wallis T, Rossmann M, Pernick NL, Bouwman D, Carolin KA et al (2003) Histopathologic analysis of atypical lesions in image-guided core breast biopsies. Mod Pathol 16:154–160

    PubMed  Article  Google Scholar 

  29. Guerra-Wallace MM, Christensen WN, White RL Jr (2004) A retrospective study of columnar alteration with prominent apical snouts and secretions and the association with cancer. Am J Surg 188:395–398

    PubMed  Article  Google Scholar 

Download references

Acknowledgments

I would like to Thank Alain Toledano M.D and Jean-Philippe Brouland, for their valuable assistance for the realization of this article.

Conflict of interest

The authors declare that they have no conflict of interest.

Author information

Affiliations

Authors

Corresponding author

Correspondence to Alexandre Peres.

Rights and permissions

Reprints and Permissions

About this article

Cite this article

Peres, A., Barranger, E., Becette, V. et al. Rates of upgrade to malignancy for 271 cases of flat epithelial atypia (FEA) diagnosed by breast core biopsy. Breast Cancer Res Treat 133, 659–666 (2012). https://doi.org/10.1007/s10549-011-1839-x

Download citation

  • Received:

  • Accepted:

  • Published:

  • Issue Date:

  • DOI: https://doi.org/10.1007/s10549-011-1839-x

Keywords

  • Breast
  • Vacuum-assisted core biopsy
  • Flat epithelial atypia
  • Upgrade