Abstract
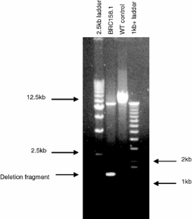
Germline mutations in BRCA1 and BRCA2 increase the risk for developing breast and ovarian cancer. Previously, the techniques available allowed only for the identification of small genomic alterations, but the dawn of new technology now allows for the rapid detection of large genomic rearrangements (LGRs). LGRs in BRCA1 are responsible for between 0 and 27% of all BRCA1 disease-causing mutations identified in numerous populations. Such alterations are far less common in the BRCA2 gene. To determine the impact of BRCA1 and BRCA2 LGRs in South Africa, 52 hereditary breast and/or ovarian South African families (36 were Afrikaners) were screened for BRCA1 and BRCA2 LGRs using multiplex ligation-dependent probe amplification. These patients were previously shown to be BRCA1 and BRCA2 small mutation negative. One LGR was detected in BRCA1 in a South African family with Greek ancestry. This is a novel deletion of both exons 23 and 24 (NG_005905.2:g.169527_180579del). This first study of BRCA rearrangements in South Africa reveals that LGRs comprise ~3% of identified BRCA1 mutations, a low rate in comparison to other populations. In addition, we have reviewed all 98 previously characterized BRCA1/2 LGRs and re-named them according to the recommended HGVS nomenclature, using the recently released RefSeqGene records, NG_005905.2 and NG_012772.1 for BRCA1 and BRCA2. A standardized resource is now provided which will assist researchers in determining whether their LGRs are novel. Furthermore, we have clarified some of the previously misunderstood rules of nomenclature, which will make uniform reporting of BRCA1/2 easier in the future.





References
Mqoqi N, Kellet P, Madhoo J, Sitas F (2004) Incidence of histologically diagnosed cancer in South Africa, 1998–1999. National Cancer Registry of South Africa, National Health Laboratory Service, Johannesburg
Ford D, Easton DF (1995) The genetics of breast and ovarian cancer. Br J Cancer 72:805–812
Miki Y, Swenson J, Shattuck-Eidens D, Futreal PA, Harshman K, Tavtigian S, Liu Q, Cochran C, Bennett LM, Ding W, Bell R, Rosenthal J, Hussey C, Tran T, McClure M, Frye C, Hattier T, Phelps R, Haugen-Strano A, Katcher H, Yakumo K, Gholami Z, Shaffer D, Stone S, Bayer S, Wray C, Bogden R, Dayananth P, Ward J, Tonin P, Narod S, Bristow PK, Norris FH, Helvering L, Morrison P, Rosteck P, Lai M, Barrett JC, Lewis C, Neuhausen S, Cannon-Albright L, Goldgar D, Wiseman R, Kamb A, Skolnick MH (1994) A strong candidate for the breast and ovarian cancer susceptibility gene BRCA1. Science 266:66–71
Wooster R, Bignell G, Lancaster J, Swift S, Seal S, Mangion J, Collins N, Gregory S, Gumbs C, Micklem G (1995) Identification of the breast cancer susceptibility gene BRCA2. Nature 378:789–791
Ford D, Easton DF, Stratton M, Narod S, Goldgar D, Devilee P, Bishop DT, Weber B, Lenoir G, Chang-Claude J, Sobol H, Teare MD, Struewing J, Arason A, Scherneck S, Peto J, Rebbeck TR, Tonin P, Neuhausen S, Barkardottir R, Eyfjord J, Lynch H, Ponder BAJ, Gayther SA, Birch JM, Lindblom A, Stoppa-Lyonnet D, Bignon Y, Borg A, Hamann U, Haites N, Scott RJ, Maugard CM, Vasen H, Seitz S, Cannon-Albright LA, Schofield A, Zelada-Hedman M, The Breast Cancer Linkage Consortium (1998) Genetic heterogeneity and penetrance analysis of the BRCA1 and BRCA2 genes in breast cancer families. Am J Hum Genet 62:676–689
Smith TM, Lee MK, Szabo CI, Jerome N, McEuen M, Taylor M, Hood L, King MC (1996) Complete genomic sequence and analysis of 117 kb of human DNA containing the gene BRCA1. Genome Res 6:1029–1049
Agata S, Dalla Palma M, Callegaro M, Scaini MC, Menin C, Ghiotto C, Nicoletto O, Zavagno G, Chieco-Bianchi L, D’Andrea F, Montagna M (2005) Large genomic deletions inactivate the BRCA2 gene in breast cancer families. J Med Genet 42:e64
Bunyan DJ, Eccles DM, Sillibourne J, Wilkins E, Thomas NS, Shea-Simonds J, Duncan PJ, Curtis, Robinson DO, Harvey, Cross NCP (2004) Dosage analysis of cancer predisposition genes by multiplex ligation-dependent probe amplification. Br J Cancer 91:1155–1159
Casilli F, Tournier I, Sinilnikova OM, Coulet F, Soubrier F, Houdayer C, Hardouin A, Berthet P, Sobol H, Bourdon V, Muller D, Fricker JP, Capoulade-Metay C, Chompret A, Nogues C, Mazoyer S, Chappuis P, Maillet P, Philippe C, Lortholary A, Gesta P, Bézieau S, Toulas C, Gladieff L, Maugard CM, Provencher DM, Dugast C, Delvincourt C, Nguyen TD, Faivre L, Bonadona V, Frébourg T, Lidereau R, Stoppa-Lyonnet D, Tosi M (2006) The contribution of germline rearrangements to the spectrum of BRCA2 mutations. J Med Genet 43:e49
Machado PM, Brandão RD, Cavaco BM, Eugénio J, Bento S, Nave M, Rodrigues P, Fernandes A, Vaz F (2007) Screening for a BRCA2 rearrangement in high-risk breast/ovarian cancer families: evidence for a founder effect and analysis of the associated phenotypes. J Clin Oncol 25:2027–2034
Nordling M, Karlsson P, Wahlström EY, Wallgren A, Martinsson T (1998) A large deletion disrupts the exon 3 transcription activation domain of the BRCA2 gene in a breast/ovarian cancer family. Cancer Res 58:1372–1375
Tournier I, Paillerets BB, Sobol H, Stoppa-Lyonnet D, Lidereau R, Barrois M, Mazoyer S, Coulet F, Hardouin A, Chompret A, Lortholary A, Chappuis P, Bourdon V, Bonadona V, Maugard C, Gilbert B, Nogues C, Frebourg T, Tosi M (2004) Significant contribution of germline BRCA2 rearrangements in male breast cancer families. Cancer Res 64:8143–8147
Walsh T, Casadei S, Coats KH, Swisher E, Stray SM, Higgins J, Roach KC, Mandell J, Lee MK, Ciernikova S, Foretova L, Soucek P, King MC (2006) Spectrum of mutations in BRCA1, BRCA2, CHEK2, and TP53 in families at high risk of breast cancer. JAMA 295:1379–1399
Wang T, Lerer I, Gueta Z, Sagi M, Kadouri L, Peretz T, Abeliovich D (2001) A deletion/insertion mutation in the BRCA2 gene in a breast cancer family: a possible role of the Alu-polyA tail in the evolution of the deletion. Genes Chromosom Cancer 31:91–95
Woodward AM, Davis TA, Silva AG, Kirk JA, Leary JA (2005) Large genomic rearrangements of both BRCA2 and BRCA1 are a feature of the inherited breast/ovarian cancer phenotype in selected families. J Med Genet 42:e31
Puget N, Torchard D, Serova-Sinilnikova OM, Lynch HT, Feunteun J, Lenior GM, Mazoyer S (1997) A 1-kb Alu-mediated germ-line deletion removing BRCA1 exon 17. Cancer Res 57:828–831
Swensen J, Hoffman M, Skolnick MH, Neuhausen SL (1997) Identification of a 14 kb deletion involving the promotor region of BRCA1 in a breast cancer family. Hum Mol Genet 6:1513–1517
Hogervorst FBL, Nederlof PM, Gille JJP, McElgunn CJ, Grippeling M, Pruntel R, Regnerus R, van Welsem T, van Spaendonk R, Menko FH, Kluijt I, Dommering C, Verhoef S, Schouten JP, van’t Veer LJ, Pals G (2003) Large genomic deletions and duplications in the BRCA1 gene identified by a novel quantitative method. Cancer Res 63:1449–1453
Moisan A-M, Fortin J, Dumont M, Samson C, Bessette P, Chiquette J, Laframboise R, Lepine J, Lesperance B, Pichette R, Plante M, Provencher L, Voyer P, Goldgar D, Bridge P, Simard J (2006) No evidence of BRCA1/2 genomic rearrangements in high-risk French-Canadian breast/ovarian cancer families. Genet Test 10:104–115
Pietschmann A, Mehdipour P, Mehdipour P, Atri M, Hofmann W, Hosseini-Asl SS, Scherneck S, Mundlos S, Peters H (2005) Mutation analysis of BRCA1 and BRCA2 genes in Iranian high risk breast cancer families. J Cancer Res Clin Oncol 131:552–558
The BRCA1 Exon 13 Duplication Screening Group (2000) The exon 13 duplication in the BRCA1 gene is a founder mutation present in geographically diverse populations. Am J Hum Genet 67:207–212
Hartmann C, John AL, Klaes R, Hofmann W, Bielen R, Koehler R, Janssen B, Bartram CR, Arnold N, Zschocke J (2004) Large BRCA1 gene deletions are found in 3% of German high-risk breast cancer families. Hum Mutat 24:534–541
Montagna M, Palma MD, Menin C, Agata S, De Nicolo A, Chieco-Bianchi L, D’Andrea E (2003) Genomic rearrangements account for more than one-third of the BRCA1 mutations in northern Italian breast/ovarian cancer families. Hum Mol Genet 12:1055–1061
van Rensburg EJ, van der Merwe NC, Sluiter MD and Schlebusch CM. Impact of the BRCA-Genes on the Burden of Familial Breast/Ovarian cancer in South Africa (2007) Presented at the 57th annual meeting of the American Society of Human Genetics, San Diego, California
Johns MB Jr, Paulus-Thomas JE (1989) Purification of human genomic DNA from whole blood using sodium perchlorate in place of phenol. Anal Biochem 180:276–278
Schouten JP, McElgunn CJ, Waaijer R, Zwijnenburg D, Diepvens F, Pals G (2002) Relative quantification of 40 nucleic acid sequences by multiplex ligation-dependent probe amplification. Nucleic Acids Res 30:e57
den Dunnen JT, Antonarakis SE (2000) Mutation nomenclature extensions and suggestions to describe complex mutations: A discussion. Hum Mutat 15:7–12
de la Hoya M, Gutiérrez-Enríquez S, Velasco E, Osorio A, de Abajo AS, Vega A, Salazar R, Esteban E, Llort G, Gonzalez-Sarmiento R, Carracedo A, Benitez J, Miner C, Diez O, Diaz-Rubio E, Caldes T (2006) Genomic rearrangements at the BRCA1 locus in Spanish families with breast/ovarian cancer. Clin Chem 52:1480–1485
Armaou S, Konstantopoulou I, Anagnostopoulos T, Razis E, Boukovinas I, Xenidis N, Fountzilase G, Yannoukakos D (2007) Novel genomic rearrangements in the BRCA1 gene detected in Greek breast/ovarian cancer patients. Eur J Cancer 43:443–453
Engert S, Wappenscmidt B, Betz B, Kast K, Kutsche M, Hellebrand H, Goecke TO, Kiechle M, Niederacher D, Schmutzler RK, Meindl A (2008) MLPA screening in the BRCA1 gene from 1, 506 German hereditary breast cancer cases: novel deletions, frequent involvement of exon 17, and occurrence in single early onset cases. Hum Mutat 29:948–958
Buffone A, Capalbo C, Ricevuto E, Sidoni T, Ottini L, Falchetti M, Cortesi E, Marchetti P, Scambia G, Tomao S, Rinaldi C, Zani M, Ferraro S, Frati L, Screpanti I, Gulino A, Giannini G (2007) Prevalence of BRCA1 and BRCA2 genomic rearrangements in a cohort of consecutive Italian breast and/or ovarian cancer families. Breast Cancer Res Treat 106:289–296
Agata S, Viel A, Della Puppa L, Cortesi L, Fersini G, Callegaro M, Dalla Palma M, Dolcetti R, Federico M, Venuta S, Miolo G, D’Andrea E, Montagna M (2006) Prevalence of BRCA1 genomic rearrangements in a large cohort of Italian breast and breast/ovarian cancer families without detectable BRCA1 and BRCA2 point mutations. Genes Chromosom Cancer 45:791–797
Glover JN, Williams RS, Lee MS (2004) Interactions between BRCT repeats and phosphoproteins: tangled up in two. Trends Biochem Sci 29:579–585
Peixoto A, Santos C, Rocha P, Pinheiro M, Príncipe S, Pereira D, Rodrigues H, Castro F, Abreu J, Gusmão L, Amorim A, Teixeira MR (2009) The c.156_157insAlu BRCA2 rearrangement accounts for more than one-fourth of deleterious BRCA mutations in northern/central Portugal. Breast Cancer Res Treat 114:31–38
Laurila E, Syriakoski K, Holli K, Kallioniemi A, Karhu R (2005) Search for genomic alterations of the BRCA1 gene in a Finnish population. Cancer Genet Cytogenet 163:57–61
Pylkas K, Erkko H, Nikkila J, Solyom S, Winqvist R (2008) Analysis of large deletions in BRCA1, BRCA2 and PALB2 genes in Finnish breast and ovarian cancer families. BMC Cancer 8:146–150
Lahti-Domenici J, Rapakko K, Pääkkönen K, Allinen M, Nevanlinna H, Kujala M, Huusko P, Winqvist R (2001) Exclusion of large deletions and other rearrangements in BRCA1 and BRCA2 in Finnish breast and ovarian cancer families. Cancer Genet Cytogenet 129:120–123
Petrij-Bosch A, Peelen T, van Vliet M, van Eijk R, Olmer R, Drusedau M, Hogervorst FB, Hageman S, Arts PJ, Ligtenberg MJ, Meijers-Heijboer H, Klijn JG, Vasen HF, Cornelisse CJ, van‘t Veer LJ, Bakker E, van Ommen GJ, Devilee P (1997) BRCA1 genomic deletions are major founder mutations in Dutch breast cancer patients. Nat Genet 17:341–345
van der Hout AH, van den Ouweland AM, van der Luijt RB, Gille HJ, Bodmer D, Brüggenwirth H, Mulder IM, van der Vlies P, Elfferich P, Huisman MT, ten Berge AM, Kromosoeto J, Jansen RP, van Zon PH, Vriesman T, Arts N, Lange MB, Oosterwijk JC, Meijers-Heijboer H, Ausems MG, Hoogerbrugge N, Verhoef S, Halley DJ, Vos YJ, Hogervorst F, Ligtenberg M, Hofstra RM (2006) A DGGE system for comprehensive mutation screening of BRCA1 and BRCA2: application in a Dutch cancer clinic setting. Hum Mutat 27:654–666
van den Ouweland AMW, Dinjens WNM, Dorssers LCJ, van Veghel-Plandsoen MM, Bruggenwirth HT, Withagen-Hermans CJ, Collee JM, Joosse SA, Terlouw-Kromosoeto JNR, Nederlof PM (2009) Deletion of exons 1a–2 of BRCA1: a rather frequent pathogenic abnormality. Genet Test Mol Biomarkers 13:399–406
Weitzel JN, Lagos VI, Herzog JS, Judkins T, Hendrickson B, Ho JS, Ricker CN, Lowstuter KJ, Blazer KR, Tomlinson G, Scholl T (2007) Evidence for a common Ancestral Origin of a recurring BRCA1 genomic rearrangement identified in high-risk Hispanic families. Cancer Epidemiol Biomarkers Prev 16:1615–1620
Reeves MD, Yawitch TM, van der Merwe NC, van den Berg HJ, Dreyer G, van Rensburg EJ (2004) BRCA1 mutations in South African breast and/or ovarian cancer families: evidence of a novel founder mutation in Afrikaner families. Int J Cancer 110:667–682
Huusko P, Pääkkönen K, Launonen V, Pöyhönen M, Blanco G, Kauppila A, Puistola U, Kiviniemi H, Kujala M, Leisti J, Winqvist R (1998) Evidence of founder mutations in Finnish BRCA1 and BRCA2 families. Am J Hum Genet 62:1544–1548
Peelen T, van Vliet M, Bosch A, Bignell G, Vasen HF, Klijn JG, Meijers-Heijboer H, Stratton M, van Ommen GJ, Cornelisse CJ, Devilee P (2000) Screening for BRCA2 mutations in 81 Dutch breast-ovarian cancer families. Br J Cancer 82:151–156
Preisler-Adams S, Schőnbuchner I, Fiebig B, Welling B, Dworniczak B, Weber BHF (2006) Gross rearrangements in BRCA1 but not BRCA2 play a notable role in predisposition to breast and ovarian cancer in high-risk families of German origin. Cancer Genet Cytogenet 168:44–49
Thomassen M, Gerdes A-M, Cruger D, Jensen PKA, Kruse TA (2006) Low frequency of genomic rearrangements of BRCA1 and BRCA2 in western Denmark. Cancer Gen Cyto Genet 168:168–171
Vasickova P, Machackova E, Lukesova M, Damborsky J, Horky O, Pavlu H, Kuklova J, Kosinova V, Navratilova M, Foretova L (2007) High occurrence of BRCA1 intragenic rearrangements in hereditary breast and ovarian cancer syndrome in the Czech Republic. BMC Med Genet 8:32
Zikan M, Pohlreich P, Stribrna J, Kleibl Z, Cibula D (2008) Novel complex genomic rearrangement of the BRCA1 gene. Mutat Res 637:205–208
Ramus SJ, Harrington PA, Pye C, DiCioccio RA, Cox MJ, Garlinghouse-Jones K, Oakley-Girvan I, Jacobs IJ, Hardy RM, Whittemore AS, Ponder BA, Piver MS, Pharoah PD, Gayther SA (2007) Contribution of BRCA1 and BRCA2 mutations to inherited ovarian cancer. Hum Mutat 28:1207–1215
Teugels E, De Brakeleer S, Goelen G, Lissens W, Sermijn E, De Grève J (2005) De novo Alu element insertions targeted to a sequence common to the BRCA1 and BRCA2 genes. Hum Mutat 26:284
Miki Y, Katagiri T, Kasumi F, Yoshimoto T, Nakamura Y (1996) Mutation analysis in the BRCA2 gene in primary breast cancers. Nat Genet 13:245–247
Mazoyer S (2005) Genomic rearrangements in the BRCA1 and BRCA2 genes. Hum Mutat 25:415–422
Puget N, Sinilnikova OM, Stoppa-Lyonnet D, Audoynaud C, Pages S, Lynch HT, Goldgar D, Lenoir GM, Mazoyer S (1999) An Alu-mediated duplication in the BRCA1 gene: a new founder mutation? Am J Hum Genet 64:300–302
Evans DG, Bulman M, Young K, Gokhale D, Lalloo F (2003) Sensitivity of BRCA1/2 mutation testing in 466 breast/ovarian cancer families. J Med Genet 40:107
Ramus SJ, Harrington PA, Pye C, Peock S, Cook MR, Cox MJ, Jacobs IJ, DiCioccio RA, Whittemore AS, Piver MS, EMBRACE, Easton DF, Ponder BA, Pharoah PD, Gayther SA (2007) Screening for the BRCA1-ins6kbEx13 Mutation: Potential for misdiagnosis. Hum Mutat 28:525–526
Hansen TVO, Jonson L, Albrechtsen A, Andersen MetteK, MK EjlertsenB, Nielsen FC (2008) Large BRCA1 and BRCA2 genomic rearrangements in Danish high risk breast-ovarian cancer families. Breast Cancer Res Treat 115:315–323
Rohlfs EM, Puget N, Graham ML, Weber BL, Garber JE, Skrzynia C, Halperin JL, Lenoir GM, Silverman LM, Mazoyer S (2000) An Alu-mediated 7.1 kb deletion of BRCA1 exons 8 and 9 in breast and ovarian cancer families that results in alternative splicing of exon 10. Genes, Chromosomes Cancer 28:300–307
Gad S, Caux-Moncoutier V, Pages-Berhouet S, Gauthier-Villars M, Coupier I, Pujol P, Frenay M, Gilbert B, Maugard C, Bignon YJ, Chevrier A, Rossi A, Fricker JP, Nguyen TD, Demange L, Aurias A, Bensimon A, Stoppa-Lyonnet D (2002) Significant contribution of large BRCA1 gene rearrangements in 120 French breast and ovarian cancer families. Oncogene 21:6841–6847
Gad S, Klinger M, Caux-Moncoutier V, Pages-Berhouet S, Gauthier-Villars M, Coupier I, Bensimon A, Aurias A, Stoppa-Lyonnet D (2002) Bar code screening on combed DNA for large rearrangements of the BRCA1 and BRCA2 genes in French breast cancer families. J Med Genet 39:817–821
Montagna M, Santacatterina M, Torri A, Menin C, Zullato D, Chieco-Bianchi L, D’Andrea E (1999) Identification of a 3 kb Alu-mediated BRCA1 gene rearrangement in two breast/ovarian cancer families. Oncogene 18:4160–4165
Welcsh PL, King M-C (2001) BRCA1 and BRCA2 and the genetics of breast and ovarian cancer. Hum Mol Genet 10:705–713
Puget N, Gad S, Perrin-Vidoz L, Sinilnikova OM, Stoppa-Lyonnet D, Lenoir GM, Mazoyer S (2002) Distinct BRCA1 rearrangements involving the BRCA1 pseudogene suggest the existence of a recombination hot spot. Am J Hum Genet 70:858–865
Palanca Suela S, Esteban Cardeñosa E, Barragán González E, Oltra Soler S, de Juan Jiménez I, Chirivella González I, Segura Huerta A, Guillén Ponce C, Martínez de Dueñas E, Bolufer Gilabert P, Group for Assessment of Hereditary Cancer of Valencia Community (2008) Identification of a novel BRCA1 large genomic rearrangement in a Spanish breast/ovarian cancer family. Breast Cancer Res Treat 112:63–67
Gad S, Bièche I, Barrois M, Casilli F, Pages-Berhouet S, Dehainault C, Gauthier Villars M, Bensimon A, Aurias A, Lidereau R, Bressac de Paillerets B, Tosi M, Mazoyer S, Stoppa-Lyonnet D (2003) Characterisation of a 161 kb Deletion Extending From the NBR1 to the BRCA1 Genes in a French Breast-Ovarian Cancer Family. Hum Mutat 21:654
Marino M, Rabacchi C, Simone ML, Medici V, Cortesi L, Calandra S (2009) A novel deletion of BRCA1 gene that eliminates the ATG initiation codon without affecting the promoter region. Clin Chim Acta 403:249–253
Payne SR, Newman B, King MC (2000) Complex germline rearrangement of BRCA1 associated with breast and ovarian cancer. Genes Chromosom Cancer 29:58–62
Gad S, Aurias A, Puget N, Mairal A, Schurra C, Montagna M, Pages S, Caux V, Mazoyer S, Bensimon A, Stoppa-Lyonnet D (2001) Color bar coding the BRCA1 gene on combed DNA: a useful strategy for detecting large gene rearrangements. Genes Chromosom Cancer 31:75–84
Thomassen M, Hansen TV, Borg A, Lianee HT, Wikman F, Pedersen IS, Bisgaard ML, Nielsen FC, Kruse TA, Gerdes AM (2008) BRCA1 and BRCA2 mutations in Danish families with hereditary breast and/or ovarian cancer. Acta Oncol 47:772–777
Unger MA, Nathanson KL, Calzone K, Antin-Ozerkis D, Shih HA, Martin A-M, Lenoir GM, Mazoyer S, Weber BL (2000) Screening for genomic rearrangements in families with breast and ovarian cancer identifies BRCA1 mutations previously missed by conformation-sensitive gel electrophoresis and sequencing. Am J Hum Genet 67:841–850
Puget N, Stoppa-Lyonnet D, Sinilnikova OM, Pages S, Lynch HT, Lenoir GM, Mazoyer S (1999) Screening for genomic rearrangements and regulatory mutations in BRCA1 led to the identification of four new deletions. Cancer Res 59:455–461
Hendrickson BC, Judkins T, Ward B, Eliason K, Deffenbaugh AE, Burbridge LA, Pyne K, Leclair B, Ward BE, Scholl T (2005) Prevalence of five previously reported and recurrent BRCA1 genetic rearrangement mutations in 20 000 patients from hereditary breast/ovarian cancer families. Genes Chromosom Cancer 43:309–313
Robinson MD, Chu CE, Turner G, Bishop DT, Taylor GR (2000) Exon deletions and duplications in BRCA1 detected by semiquantitative PCR. Genet Test 4:49–54
Hofmann W, Wappenschmidt B, Berhane S, Schmutzler R, Scherneck S (2002) Detection of large rearrangements of exons 13 and 22 in the BRCA1 gene in German families. J Med Genet 39:E36
Hofmann W, Görgens H, John A, Horn D, Hüttner C, Arnold N, Scherneck S, Schackert HK (2003) Screening for large rearrangements of the BRCA1 gene in German breast or ovarian cancer families using semi-quantitative multiplex PCR method. Hum Mutat 22:103–104
Yap KP, Ang P, Lim IH, Ho GH, Lee AS (2006) Detection of a novel Alu-mediated BRCA1 exon 13 duplication in Chinese breast cancer patients and implications for genetic testing. Clin Genet 70:80–82
Gad S, Scheuner MT, Pages-Berhouet S, Caux-Moncoutier V, Bensimon A, Aurias A, Pinto M, Stoppa-Lyonnet D (2001) Identification of a large rearrangement of the BRCA1 gene using colour bar code on combed DNA in an American breast/ovarian cancer family previously studied by direct sequencing. J Med Genet 38:388–392
Lim YK, Iau PTC, Ali AB, Lee SC, Wong JE-L, Putti TC, Sng J-H (2007) Identification of novel BRCA large genomic rearrangements in Singapore Asian breast and ovarian patients with cancer. Clin Genet 71:331–342
Seong MW, Cho SI, Noh DY, Han W, Kim SW, Park CM, Park HW, Kim SY, Kim JY, Park SS (2009) Low contribution of BRCA1/2 genomic rearrangement to high-risk breast cancer in the Korean population. Fam Cancer 8:505–508
Tancredi M, Sensi E, Cipollini G, Aretini P, Lombardi G, Di Cristofano C, Presciuttini S, Bevilacqua G, Caligo MA (2004) Haplotype analysis of BRCA1 gene reveals a new gene rearrangement: characterization of a 19.9 KBP deletion. Eur J Hum Genet 12:775–777
Ward B, Hendrickson BC, Judkins T, Deffenbaugh AE, Benoit L, Ward BE, Scholl T (2005) A multi-exonic BRCA1 deletion identified in multiple families through single nucleotide polymorphism haplotype pair analysis and gene amplification with widely dispersed primer sets. J Mol Diagn 7:139–142
Palma MD, Domchek SM, Stopfer J, Erlichman J, Siegfried JD, Tigges-Cardwell J, Mason BA, Rebbeck TR, Nathanson KL (2008) The relative contribution of point mutations and genomic rearrangements in BRCA1 and BRCA2 in high-risk breast cancer families. Cancer Res 68:7006–7014
Casilli F, Di Rocco ZC, Gad S, Tournier I, Stoppa-Lyonnet D, Frebourg T, Tosi M (2002) Rapid detection of novel BRCA1 rearrangements in high-risk breast-ovarian cancer families using multiplex PCR of short fluorescent fragments. Hum Mutat 20:218–226
Del Valle J, Feliubadalo L, Nadal M, Teule A, Miro R, Cuesta R, Tornero E, Menendez M, Darder E, Brunet J, Capella G, Blanco I, Lazaro C (2009) Identification and comprehensive characterization of large genomic rearrangements in the BRCA1 and BRCA2 genes. Breast Cancer Res Treat. doi: 10.1007/s10549-009-0613-9
Rohlfs EM, Chung CH, Yang Q, Skrzynia C, Grody WW, Graham ML, Silverman LM (2000) In-frame deletions of BRCA1 may define critical functional domains. Hum Genet 107:385–390
Carson N, Gilpin C, Hunter A, Allanson J, Aubrey H (1999) An in-frame deletion of BRCA1 exon 20 in a family with early onset breast and ovarian cancer. Am J Hum Genet 65:A1610
Belogianni I, Apessos A, Mihalatos M, Razi E, Labropoulos S, Petounis A, Gaki V, Keramopoulos A, Pandis N, Kyriacou K, Hadjisavvas A, Kosmidis P, Yannoukakos D, Nasioulas G (2004) Characterisation of a novel large deletion and single point mutations in the BRCA1 gene in a Greek cohort of families with suspected hereditary breast cancer. BMC Cancer 4:61–68
Ang P, Lim IHK, Lee T-C, Luo J-T, Ong DCT, Tan PH, Lee ASG (2007) BRCA1 and BRCA2 mutations in an Asian Clinic-based population detected using a comprehensive strategy. Cancer Epidemiol Biomarkers Prev 16:2276–2284
Peixoto A, Salgueiro N, Santos C, Varzim G, Rocha P, Soares MJ, Pereira D, Rodrigues H, Bento MJ, Fraguas A, Moura G, Regateiro F, Castedo S, Teixeira MR (2006) BRCA1 and BRCA2 germline mutational spectrum and evidence for genetic anticipation in Portuguese breast/ovarian cancer families. Fam Cancer 5:379–387
Ratajska M, Brozek I, Senkus-Konefka E, Jassem J, Stepnowska M, Palomba G, Pisano M, Casula M, Palmieri G, Borg A, Limon J (2008) BRCA1 and BRCA2 point mutations and large rearrangements in breast and ovarian cancer families in Northern Poland. Oncol Rep 19:263–268
Acknowledgments
We thank Gerard Pals for assistance with the MLPA technology and supplying us with positive controls. Also, our sincere thanks to Jan Schouten for endorsing us with MLPA kits, and Johan den Dunnen for assistance with the nomenclature. This study was supported by a research grant from the Cancer Association of South Africa (CANSA) to E. J. van Rensburg.
Author information
Authors and Affiliations
Corresponding author
Rights and permissions
About this article
Cite this article
Sluiter, M.D., van Rensburg, E.J. Large genomic rearrangements of the BRCA1 and BRCA2 genes: review of the literature and report of a novel BRCA1 mutation. Breast Cancer Res Treat 125, 325–349 (2011). https://doi.org/10.1007/s10549-010-0817-z
Received:
Accepted:
Published:
Issue Date:
DOI: https://doi.org/10.1007/s10549-010-0817-z