Skip to main content

Role of lactoferrin and its receptors on biliary epithelium

Abstract

Human lactoferrin is an iron-binding glycoprotein present at high concentrations in breast milk and colostrum. It is produced by many exocrine glands and widely distributed in a variety of body fluids. This protein has antimicrobial, immunomodulatory, antioxidant, and anticancer properties. Two important hLf receptors have been identified: LDL receptor related protein (LRP1), a low specificity receptor, and intelectin-1 (ITLN1), a high specificity receptor. No data are present on the role of hLf on the biliary epithelium. Our aims have been to evaluate the expression of Lf and its receptors in human and murine cholangiocytes and its effect on proliferation. Immunohistochemistry and immunofluorescence (IF) were conducted on human healthy and primary biliary cholangitis (PBC) liver samples as well as on liver samples obtained from normal and bile duct ligated (BDL) mice to evaluate the expression of Lf, LRP1 and ITLN1. Cell proliferation in vitro studies were performed on human cholangiocyte cell lines via 3-(4,5-dimetiltiazol-2-il)-2,5-diphenyltetrazolium assay as well as IF to evaluate proliferating cell nuclear antigen (PCNA) expression. Our results show that mouse and human cholangiocytes express Lf, LRP1 and ITLN1, at higher extent in cholangiocytes from BDL and PBC samples. Furthermore, the in vitro addition of bovine Lf (bLf) has a proliferative effect on human cholangiocyte cell line. The results support a proliferative role of hLf on the biliary epithelium; this pro-proliferative effect of hLf and bLf on cholangiocytes could be particularly relevant in human cholangiopathies such as PBC, characterized by cholangiocyte death and ductopenia.

This is a preview of subscription content, access via your institution.

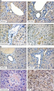
Fig. 1
Fig. 2
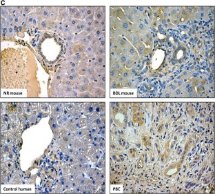
Fig. 3
Fig. 4
Fig. 5

References

  • Akiyama Y, Oshima K, Kuhara T, Shin K, Abe F, Iwatsuki K et al (2013) A lactoferrin-receptor, intelectin 1, affects uptake, sub-cellular localization and release of immunochemically detectable lactoferrin by intestinal epithelial Caco-2 cells. J Biochem 154:437–448

    Article  PubMed  CAS  Google Scholar 

  • Albar AH, Almehdar HA, Uversky VN, Redwan EM (2014) Structural heterogeneity and multifunctionality of lactoferrin. Curr Protein Pept Sci 15:778–797

    Article  PubMed  CAS  Google Scholar 

  • Ali AH, Tabibian JH, Carey EJ, Lindor KD (2016) Emerging drugs for the treatment of primary biliary cholangitis. Expert Opin Emerg Drugs 21:39–56

    Article  PubMed  CAS  Google Scholar 

  • Alvaro D, Invernizzi P, Onori P, Franchitto A, De Santis A, Crosignani A et al (2004) Estrogen receptors in cholangiocytes and the progression of primary biliary cirrhosis. J Hepatol 41:905–912

    Article  PubMed  CAS  Google Scholar 

  • Berlutti F, Morea C, Battistoni A, Sarli S, Cipriani P, Superti F et al (2005) Iron availability influences aggregation, biofilm, adhesion and invasion of Pseudomonas aeruginosa and Burkholderia cenocepacia. Int J Immunopathol Pharmacol 18:661–670

    Article  PubMed  CAS  Google Scholar 

  • Berlutti F, Superti F, Nicoletti M, Morea C, Frioni A, Ammendolia MG et al (2008) Bovine lactoferrin inhibits the efficiency of invasion of respiratory A549 cells of different iron-regulated morphological forms of Pseudomonas aeruginosa and Burkholderia cenocepacia. Int J Immunopathol Pharmacol 21:51–59

    Article  PubMed  CAS  Google Scholar 

  • Berlutti F, Pantanella F, Natalizi T, Frioni A, Paesano R, Polimeni A et al (2011) Antiviral properties of lactoferrin–a natural immunity molecule. Molecules 16:6992–7018

    Article  PubMed  CAS  Google Scholar 

  • Carpino G, Cardinale V, Renzi A, Hov JR, Berloco PB, Rossi M et al (2015) Activation of biliary tree stem cells within peribiliary glands in primary sclerosing cholangitis. J Hepatol 63:1220–1228

    Article  PubMed  Google Scholar 

  • Carpino G, Renzi A, Franchitto A, Cardinale V, Onori P, Reid L et al (2016) Stem/progenitor cell niches involved in hepatic and biliary regeneration. Stem Cells Int 2016:3658013

    Article  PubMed  PubMed Central  CAS  Google Scholar 

  • Cutone A, Frioni A, Berlutti F, Valenti P, Musci G, Bonaccorsi di Patti MC (2014) Lactoferrin prevents LPS-induced decrease of the iron exporter ferroportin in human monocytes/macrophages. Biometals 27:807–813

    Article  PubMed  CAS  Google Scholar 

  • Frioni A, Conte MP, Cutone A, Longhi C, Musci G, di Patti MC et al (2014) Lactoferrin differently modulates the inflammatory response in epithelial models mimicking human inflammatory and infectious diseases. Biometals 27:843–856

    Article  PubMed  CAS  Google Scholar 

  • Glaser SS, Gaudio E, Rao A, Pierce LM, Onori P, Franchitto A et al (2009) Morphological and functional heterogeneity of the mouse intrahepatic biliary epithelium. Lab Invest 89:456–469

    Article  PubMed  PubMed Central  CAS  Google Scholar 

  • Herz J, Strickland DK (2001) LRP: a multifunctional scavenger and signaling receptor. J Clin Invest 108:779–784

    Article  PubMed  PubMed Central  CAS  Google Scholar 

  • Ludwig J, Dickson ER, McDonald GSA (1978) Staging of chronic nonsuppurative destructive cholangitis (syndrome of primary biliary cirrhosis). Virchows Arch A Path Anat Histol 379(2):103–112

    Article  CAS  Google Scholar 

  • Mancinelli R, Franchitto A, Glaser S, Meng F, Onori P, Demorrow S et al (2013) GABA induces the differentiation of small into large cholangiocytes by activation of Ca(2+)/CaMK I-dependent adenylyl cyclase 8. Hepatology 58:251–263

    Article  PubMed  PubMed Central  CAS  Google Scholar 

  • Onori P, Alvaro D, Floreani AR, Mancino MG, Franchitto A, Guido M et al (2007) Activation of the IGF1 system characterizes cholangiocyte survival during progression of primary biliary cirrhosis. J Histochem Cytochem 55:327–334

    Article  PubMed  CAS  Google Scholar 

  • Rosa L, Cutone A, Lepanto MS, Paesano R, Valenti P (2017) Lactoferrin: a natural glycoprotein involved in iron and inflammatory homeostasis. Int J Mol Sci 18:1985

    Article  PubMed Central  Google Scholar 

  • Sessa R, Di Pietro M, Filardo S, Bressan A, Rosa L, Cutone A et al (2017) Effect of bovine lactoferrin on Chlamydia trachomatis infection and inflammation. Biochem Cell Biol 95:34–40

    Article  PubMed  CAS  Google Scholar 

  • Shi Y, Mantuano E, Inoue G, Campana WM, Gonias SL (2009) Ligand binding to LRP1 transactivates Trk receptors by a Src family kinase-dependent pathway. Sci Signal 2:ra18

    Article  PubMed  PubMed Central  CAS  Google Scholar 

  • Suzuki YA, Lopez V, Lonnerdal B (2005) Mammalian lactoferrin receptors: structure and function. Cell Mol Life Sci 62:2560–2575

    Article  PubMed  CAS  Google Scholar 

  • Suzuki YA, Wong H, Ashida KY, Schryvers AB, Lonnerdal B (2008) The N1 domain of human lactoferrin is required for internalization by caco-2 cells and targeting to the nucleus. Biochemistry 47:10915–10920

    Article  PubMed  PubMed Central  CAS  Google Scholar 

  • Taguchi K, Yamasaki K, Seo H, Otagiri M (2015) Potential use of biological proteins for liver failure therapy. Pharmaceutics 7:255–274

    Article  PubMed  PubMed Central  CAS  Google Scholar 

  • Ward PP, Paz E, Conneely OM (2005) Multifunctional roles of lactoferrin: a critical overview. Cell Mol Life Sci 62:2540–2548

    Article  PubMed  CAS  Google Scholar 

  • Wei M, Guo X, Tu L, Zou Q, Li Q, Tang C et al (2015) Lactoferrin-modified PEGylated liposomes loaded with doxorubicin for targeting delivery to hepatocellular carcinoma. Int J Nanomed 10:5123–5137

    CAS  Google Scholar 

  • Wrackmeyer U, Hansen GH, Seya T, Danielsen EM (2006) Intelectin: a novel lipid raft-associated protein in the enterocyte brush border. Biochemistry 45:9188–9197

    Article  PubMed  CAS  Google Scholar 

  • Zhang Y, Lima CF, Rodrigues LR (2014) Anticancer effects of lactoferrin: underlying mechanisms and future trends in cancer therapy. Nutr Rev 72:763–773

    Article  PubMed  Google Scholar 

Download references

Author information

Affiliations

Authors

Corresponding author

Correspondence to Romina Mancinelli.

Rights and permissions

Reprints and Permissions

About this article

Verify currency and authenticity via CrossMark

Cite this article

Mancinelli, R., Olivero, F., Carpino, G. et al. Role of lactoferrin and its receptors on biliary epithelium. Biometals 31, 369–379 (2018). https://doi.org/10.1007/s10534-018-0094-6

Download citation

  • Received:

  • Accepted:

  • Published:

  • Issue Date:

  • DOI: https://doi.org/10.1007/s10534-018-0094-6

Keywords

  • Biliary epithelium
  • Cholangiocytes
  • Lactoferrin
  • Intelectin-1
  • Primary biliary cholangitis