Skip to main content

Fluidized-bed denitrification for mine waters. Part I: low pH and temperature operation

Abstract

Mining often leads to nitrate and metal contamination of groundwater and water bodies. Denitrification of acidic water was investigated in two up-flow fluidized-bed reactors (FBR) and using batch assays. Bacterial communities were enriched on ethanol plus nitrate in the FBRs. Initially, the effects of temperature, low-pH and ethanol/nitrate on denitrification were revealed. Batch assays showed that pH 4.8 was inhibitory to denitrification, whereas FBR characteristics permitted denitrification even at feed pH of 2.5 and at 7–8 °C. Nitrate and ethanol were removed and the feed pH was neutralized, provided that ethanol was supplied in excess to nitrate. Subsequently, Fe(II) and Cu impact on denitrification was investigated within batch tests at pH 7. Iron supplementation up to 100 mg/L resulted in iron oxidation and soluble concentrations ranging from 0.4 to 1.6 mg/L that stimulated denitrification. On the contrary, 0.7 mg/L of soluble Cu significantly slowed denitrification down resulting in about 45 % of inhibition in the first 8 h. Polymerase chain reaction—denaturant gradient gel electrophoresis demonstrated the co-existence of different denitrifying microbial consortia in FBRs. Dechloromonas denitrificans and Hydrogenophaga caeni were present in both FBRs and mainly responsible for nitrate reduction.

This is a preview of subscription content, access via your institution.

Fig. 1
Fig. 2
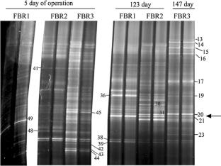
Fig. 3
Fig. 4
Fig. 5
Fig. 6
Fig. 7

Abbreviations

DGGE:

Denaturant gradient gel electrophoresis

FBR:

Fluidized-bed reactor

HPLC:

High performance liquid chromatograph

HRT:

Hydraulic retention time

IC:

Ion chromatograph

PCR:

Polymerase chain reaction

RID:

Refractive index detector

TAE:

Tris-acetate-EDTA

VSS:

Volatile suspended solids

References

  • American Public Health Association APHA (2005) Standard methods for examination of water and wastewater. American Public Health Association, Washington DC

    Google Scholar 

  • Baeseman JL, Smith RL, Silverstein J (2006) Denitrification potential in stream sediments impacted by acid mine drainage: effects of pH, various electron donors, and iron. Microb Ecol 51:232–241

    PubMed  Article  CAS  Google Scholar 

  • Borden AK, Brusseau ML, Carroll KC, McMillan A, Akyol NH, Berkompas J, Miao Z, Jordan F, Tick G, Waugh WJ, Glenn EP (2012) Ethanol addition for enhancing denitrification at the uranium mill tailing site in Monument Valley, AZ. Water Air Soil Pollut 223:755–763

    Article  CAS  Google Scholar 

  • Calderer M, Gibert O, Martì V, Rovira M, de Pablo J, Jordana S, Duro L, Guimerà J, Bruno J (2010) Denitrification in presence of acetate and glucose for bioremediation of nitrate-contaminated groundwater. Environ Technol 31:799–814

    PubMed  Article  CAS  Google Scholar 

  • Christensson M, Lie E, Welander T (1994) A comparison between ethanol and methanol as carbon sources for denitrification. Water Sci Technol 30:83–90

    CAS  Google Scholar 

  • Chung BS, Ryu SH, Park M, Jeon Y, Chung YR, Jeon CO (2007) Hydrogenophaga caeni sp. nov., isolated from activated sludge. Int J Syst Evol Microbiol 57:1126–1130

    PubMed  Article  CAS  Google Scholar 

  • Dahab MF, Lee YW (1988) Nitrate removal from water supplies using biological denitrification. J Water Pollut Cont Fed 60:1670–1674

    CAS  Google Scholar 

  • Devlin JF, Eedy R, Butler BJ (2000) The effects of electron donor and granular iron on nitrate transformation rates in sediments from a municipal water supply aquifer. J Contam Hydrol 46:81–97

    Article  CAS  Google Scholar 

  • dos Santos SG, Amancio Varesche MB, Zaiat M, Foresti E (2004) Comparison of methanol, ethanol, and methane as electron donors for denitrification. Environ Eng Sci 21:313–320

    Article  CAS  Google Scholar 

  • Evangelou VP, Zhang YL (1995) A review: pyrite oxidation mechanisms and acid mine drainage prevention. Crit Rev Environ Sci Technol 25:141–199

    Article  CAS  Google Scholar 

  • Gayle BP, Boardman GD, Sherrard JH, Benoit RE (1989) Biological denitrification of water. J Environ Eng 115:930–943

    Article  CAS  Google Scholar 

  • Glass C, Silverstein J (1998) Denitrification kinetics of high nitrate concentration water: pH effect on inhibition and nitrite accumulation. Water Res 32:831–839

    Article  CAS  Google Scholar 

  • Häyrynen K, Pongracz E, Väisänen V, Pap N, Mänttäri M, Langwaldt J, Keiski RL (2009) Concentration of ammonium and nitrate from mine water by reverse osmosis and nanofiltration. Desalination 240:280–289

    Article  CAS  Google Scholar 

  • Heylen K, Vanparys B, Wittebolle L, Verstraete W, Boon N, De Vos P (2006) Cultivation of denitrifying bacteria: optimization of isolation conditions and diversity study. Appl Environ Microbiol 72:2637–2643

    PubMed Central  PubMed  Article  CAS  Google Scholar 

  • Holtan-Hartwig L, Bechmann M, Risnes Høyås T, Linjordet R, Reier Bakken L (2002) Heavy metals tolerance of soil denitrifying communities: N2O dynamics. Soil Biol Biochem 34:1181–1190

    Article  CAS  Google Scholar 

  • Horn MA, Ihssen J, Matthies C, Schramm A, Acker G, Drake HL (2005) Dechloromonas denitrificans sp. nov., Flavobacterium denitrificans sp. nov., Paenibacillus anaericanus sp. nov. and Paenibacillus terrae strain MH72, N2O-producing bacteria isolated from the gut of the earthworm Aporrectodea caliginosa. Int J Syst Evol Micrbiol 55:1255–1265

    Article  CAS  Google Scholar 

  • Hovanec TA, Taylor LT, Blakis A, Delong EF (1998) Nitrospira-like bacteria associated with nitrite oxidation in freshwater aquaria. Appl Environ Microbiol 64:258–264

    PubMed Central  PubMed  CAS  Google Scholar 

  • Kaksonen AH, Riekkola-Vanhanen ML, Puhakka JA (2003a) Optimization of metal sulphide precipitation in fluidized-bed treatment of acidic wastewater. Water Res 37:255–266

    PubMed  Article  CAS  Google Scholar 

  • Kaksonen AH, Franzmann PD, Puhakka JA (2003b) Performance and ethanol oxidation kinetics of a sulfate-reducing fluidized-bed reactor treating acidic metal-containing wastewater. Biodegradation 14:207–217

    PubMed  Article  CAS  Google Scholar 

  • Kolehmainen RE, Langwald JH, Puhakka JA (2007) Natural organic matter (NOM) removal and structural changes in the bacterial community during artificial groundwater recharge with humic lake water. Water Res 41:2715–2725

    PubMed  Article  CAS  Google Scholar 

  • Koren DW, Gould WD, Bédard P (2000) Biological removal of ammonia and nitrate from simulated mine and mill effluents. Hydrometallurgy 56:127–144

    Article  CAS  Google Scholar 

  • Korom SF (1992) Natural denitrification in the saturated zone: a review. Water Resour Res 28:1657–1668

    Article  CAS  Google Scholar 

  • Liessens J, Germonpré R, Beernaert S, Verstraete W (1993) Removing nitrate with a methylothophic fluidized bed: technology and operating performance. J Am Water Works Assoc 85:144–154

    CAS  Google Scholar 

  • Magalhães C, Costa J, Teixeira C, Bordalo AA (2007) Impact of trace metals on denitrification in estuarine sediments of the Douro River estuary. Portugal Mar Chem 107:332–341

    Article  CAS  Google Scholar 

  • Martin D, Salminen JM, Niemi RM, Heiskanen IM, Valve MJ, Hellstén PP, Nystén TH (2009) Acetate and ethanol as potential enhancers of low temperature denitrification in soil contaminated by fur farms: a pilot-scale study. J Hazard Mater 163:1230–1238

    PubMed  Article  CAS  Google Scholar 

  • Milu V, Leroy J, Peiffert C (2002) Water contamination downstream from a copper mine in the Apuseni Mountains, Romania. Environ Geol 42:773–782

    Article  CAS  Google Scholar 

  • Mohseni-Bandpi AM, Elliott DJ, Mazdh AM (1999) Denitrification of groundwater using acetic acid as carbon source. Water Sci Technol 40:53–59

    Article  CAS  Google Scholar 

  • Nicolella C, Renzo DF, Rovatti M (1997) Biomass concentration in fluidized bed biological reactors. Water Res 31:936–940

    Article  CAS  Google Scholar 

  • Nielsen JL, Nielsen PH (1998) Microbial nitrate-dependent oxidation of ferrous iron in activated sludge. Environ Sci Technol 32:3556–3561

    Article  CAS  Google Scholar 

  • Ochoa-Herrera V, León G, Banihani Q, Field JA, Sierra-Alvarez R (2011) Toxicity of copper (II) ions to microorganisms in biological wastewater treatment systems. Sci Total Environ 412–413:380–385

    PubMed  Article  CAS  Google Scholar 

  • Papirio S, Villa-Gomez DK, Esposito G, Pirozzi F, Lens PNL (2013a) Acid mine drainage treatment in fluidized-bed bioreactors by sulfate-reducing bacteria: a critical review. Crit Rev Environ Sci Technol. doi:10.1080/10643389.2012.694328

    Google Scholar 

  • Papirio S, Esposito G, Pirozzi F (2013b) Biological inverse fluidized-bed reactors for the treatment of low pH- and sulphate-containing wastewaters under different COD/SO4 2− conditions. Environ Technol 34:1141–1149

    PubMed  Article  CAS  Google Scholar 

  • Park JY, Yoo YJ (2009) Biological nitrate removal in industrial wastewater treatment: which electron donor we can choose. Appl Microbiol Biotechnol 82:415–429

    PubMed  Article  CAS  Google Scholar 

  • Parkin TB, Sextone AJ, Tiedje JM (1985) Adaptation of denitrifying populations to low soil pH. Appl Environ Microbiol 49:1053–1056

    PubMed Central  PubMed  CAS  Google Scholar 

  • Power JF, Schepers JS (1989) Nitrate contamination of groundwater in North America. Agr Ecosyst Environ 26:165–187

    Article  CAS  Google Scholar 

  • Shao Y, Chung BS, Lee SS, Park W, Lee SS, Jeon CO (2009) Zoogloea caeni sp. nov., a floc-forming bacterium isolated from activated sludge. Int J Syst Evol Microbiol 59:526–530

    PubMed  Article  CAS  Google Scholar 

  • Shieh WK, Keenan JD (1986) Fluidized bed biofilm reactor for wastewater treatment. Adv Biochem Eng Biotechnol 33:131–169

    CAS  Google Scholar 

  • Simek M, Jisova L, Hopkins DW (2002) What is the so-called optimum pH of denitrification in soil? Soil Biol Biochem 34:1227–1234

    Article  CAS  Google Scholar 

  • Thalasso F, Vallecillo A, Encina PG, Fernandez-Polanco F (1997) The use of methane as a sole carbon source for wastewater denitrification. Water Res 31:55–60

    Article  CAS  Google Scholar 

  • Zagury GJ, Oudjehani K, Deschenes L (2004) Characterization and availability of cyanide in solid mine tailings from gold extraction plants. Sci Total Environ 320:221–224

    Article  CAS  Google Scholar 

  • Zaitsev G, Mettänen T, Langwaldt J (2008) Removal of ammonium and nitrate from cold inorganic mine water by fixed-bed biofilm reactors. Miner Eng 21:10–15

    Article  CAS  Google Scholar 

  • Zhang Z, Schwartz S, Wagner L, Miller W (2000) A greedy algorithm for aligning DNA sequences. J Comput Biol 7:1230–1238

    Article  Google Scholar 

Download references

Acknowledgments

We thank the Finnish Funding Agency for Technology and Innovation (TEKES) for financing the current research.

Author information

Affiliations

Authors

Corresponding author

Correspondence to S. Papirio.

Rights and permissions

Reprints and Permissions

About this article

Cite this article

Papirio, S., Ylinen, A., Zou, G. et al. Fluidized-bed denitrification for mine waters. Part I: low pH and temperature operation. Biodegradation 25, 425–435 (2014). https://doi.org/10.1007/s10532-013-9671-0

Download citation

  • Received:

  • Accepted:

  • Published:

  • Issue Date:

  • DOI: https://doi.org/10.1007/s10532-013-9671-0

Keywords

  • Acid mine water
  • Denitrification
  • Fluidized-bed reactor
  • Nitrate
  • Iron
  • Copper