Abstract
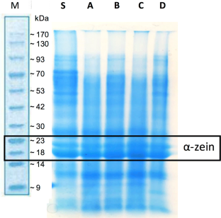
The loss of plant agro-biodiversity is a global problem with repercussions on both humans and (agro-)ecosystems. This article presents the data of a census of the herbaceous landraces currently cultivated in Lombardy (Northern Italy), one of the most industrialized regions of Europe, and for which information was previously extremely limited. The census showed that 72 herbaceous landraces are cultivated (conserved on farms) in Lombardy yet most of them are threatened since they are cultivated by a small number of farmers, mostly hobbyists. Only 11% have been the subject of scientific studies while 12.5% are protected since they are registered in the European Register of Conservation Varieties. Lombardy has lost about 78% of its landraces cultivated over the last 70–80 years. The nutritional characteristics of four little-known maize landraces of the Lombardy region recently used for the creation of niche food chains were also analyzed. They have a higher content of protein (about 12.34%) and phytic acid (about 1.35%), compared to a hybrid maize (B73/Mo17), while they are slightly poorer in starch (about 77.85%), Mg and Zn. Some of these landraces, those with coloured kernels due to the high concentration of polyphenols, have high antioxidant activity which makes them interesting for the production of nutraceutical foods. 2D-electrophoretic protein profiles highlighted that the four maize landraces are different one from another. Finally, some actions and tools are suggested to favour the in situ conservation of plant agro-biodiversity.
This is a preview of subscription content, access via your institution.








References
Al-Turki TA, Al-Namazi AA, Masrahi YS (2018) Conservation of genetic resources for five traditional crops from Jazan, SW Saudi Arabia, at the KACST Gene-Bank. Saudi J Biol Sci. https://doi.org/10.1016/j.sjbs.2018.09.007
Anderson TJ, Lamsal BP (2011) Zein extraction from corn, corn products, and coproducts and modifications for various applications: a review. Cereal Chem 88:159–173
AOAC (2000) Official methods of analysis of AOAC. International 17th edition. Association of Analytical Communities, Gaithersburg, p 43–44
Barcaccia G, Volpato M, Gentili R, Abeli T, Galla G, Orsenigo S, Citterio S, Sgorbati S, Rossi G (2016) Genetic identity of common buckwheat (Fagopyrum esculentum Moench) landraces locally cultivated in the Alps. Genet Resour Crop Evol 63:639–651
Bertolini M (2002) Mais in Lombardia: varietà tradizionali. Istituto Sperimentale per la Cerealicoltura Sezione di Bergamo, Quaderni della Ricerca
Bragdon S (1996) The convention on biological diversity. Glob Environ Change 6:177–179
Camacho Villa TC, Maxted N, Scholten M, Ford-Lloyd B (2005) Defining and identifying crop landraces. Plant Genet Res 3:373–384
Capraro J, Magni C, Giorgi A, Duranti M, Scarafoni A (2018) Comparative 1D- and 2D-electrophoretic protein profiles of ancestral and modern buckwheat seeds grown in the Italian Alpine Region. Ital J Food Sci 30:497–503
Cassani E, Puglisi D, Cantaluppi E, Landoni M, Giupponi L, Giorgi A, Pilu R (2017) Genetic studies regarding the control of seed pigmentation of an ancient European pointed maize (Zea mays) rich in phlobaphenes: the “Nero Spinoso” from the Camonica valley. Genet Resour Crop Evol 64:761–773
CBD [Convention on Biological Diversity] (1992) Convention on biological diversity: text and annexes. Secretariat of the Convention on Biological Diversity, Montreal https://www.cbd.int/convention/text/. Accessed 11 April 2019
CBD [Convention on Biological Diversity] (2002) Global strategy for plant conservation. Secretariat of the Convention on Biological Diversity, Montreal. https://www.cbd.int/gspc/documents.shtml. Accessed 11 April 2019
CBD [Convention on Biological Diversity] (2010) Conference of the parties 10 decision X/17. Consolidated Update of the Global Strategy for Plant Conservation 2011–2020. Secretariat of the Convention on Biological Diversity, Montreal. https://www.cbd.int/decision/cop/?id=12283. Accessed 11 April 2019
Ceccarelli S (2012) Landraces: importance and use in breeding and environmentally friendly agronomic systems. In: Maxted et al (eds) Agrobiodiversity conservation: securing the diversity of crop wild relatives and landraces. CAB International, Oxfordshire, pp 103–117
Cleveland DA, Soleri D, Smith SE (1994) Do folk crop varieties have a role in sustainable agriculture? Bioscience 11:740–751
Directive 2008/62/EC (2008) Commission Directive 2008/62/EC of 20 June 2008 providing for certain derogations for acceptance of agricultural landraces and varieties which are naturally adapted to the local and regional conditions and threatened by genetic erosion and for marketing of seed and seed potatoes of those landraces and varieties. https://eur-lex.europa.eu/legal-content/EN/ALL/?uri=CELEX%3A32008L0062. Accessed 01 September 2019
Directive 2009/145/EC (2009) Commission Directive 2009/145/EC of 26 November 2009 providing for certain derogations, for acceptance of vegetable landraces and varieties which have been traditionally grown in particular localities and regions and are threatened by genetic erosion and of vegetable varieties with no intrinsic value for commercial crop production but developed for growing under particular conditions and for marketing of seed of those landraces and varieties. https://eur-lex.europa.eu/legal-content/EN/TXT/?uri=CELEX%3A32009L0145. Accessed 01 September 2019
Directive 2010/60/EU (2010) Commission Directive 2010/60/EU of 30 August 2010 providing for certain derogations for marketing of fodder plant seed mixtures intended for use in the preservation of the natural environment Text with EEA relevance. https://eur-lex.europa.eu/legal-content/EN/TXT/?qid=1567082342503&uri=CELEX:32010L0060. Accessed 01 September 2019
Eichten SR, Foerster JM, de Leon N, Kay Y, Yeh CT, Liu S, Jeddeloh JA, Schnable PS, Kaeppler SM, Springer NM (2011) B73-Mo17 near-isogenic lines demonstrate dispersed structural variation in maize. Plant Physiol 156:1679–1690
Esquinas-Alcázar J (2010) Protecting crop genetic diversity for food security: political, ethical and technical challenges. Nature 6:946–953
EU Commission (2010) EUROPE 2020 A strategy for smart, sustainable and inclusive growth. https://eur-lex.europa.eu/legal-content/EN/TXT/?uri=CELEX%3A52010DC2020. Accessed 11 April 2019
EU Commission (2017) Region innovation monitor plus. https://ec.europa.eu/growth/tools-databases/regional-innovation-monitor/base-profile/lombardy. Accessed 11 April 2019
FAO (1999) Agricultural biodiversity. Background Paper 1. FAO/Netherlands Conference of multifunctional character of agriculture and land. http://www.fao.org/mfcal/pdf/bp_1_agb.pdf. Accessed 11 April 2019
FAO (2004) Building on gender, Agrobiodiversity and local Knowledge. Food and agriculture organization of the United Nations, Rome. http://www.fao.org/docrep/007/y5609e/y5609e00.htm. Accessed 11 April 2019
FAO (2009) International treaty on plant genetic resources for food and agriculture. Food and agriculture Organization of the United Nations, Rome. http://www.fao.org/3/a-i0510e.pdf. Accessed 11 April 2019
FAO (2010) Second report on the state of the world’s plant genetic resources for food and agriculture. Commission on Genetic Resources for Food and Agriculture. Food and Agriculture Organization of the United Nations, Rome
Fideghelli C, Engel P (2009) Biodiversity and local genetic resources: from knowledge to exploitation. Acta Hortic 817:295–310
Frankel OH, Brown AHD, Burdon JJ (1995) Conservation of plant biodiversity. Cambridge University Press, UK
Frei M, Becker K (2004) Agro-biodiversity in subsistence-oriented farming systems in a Philippine upland region: nutritional considerations. Biodivers Conserv 13:1591–1610
Frison EA, Cherfas J, Hodgkin T (2011) Agricultural biodiversity is essential for a sustainable improvement in food and nutrition security. Sustainability 3:238–253
Giacomini V (1954) Il grano siberiano (Fagopyrum tataricum) in Valtellina. Ramponi, Sondrio
Giorgi A, Scheurer T (2015) Alpine resources: assets for a promising future. Conclusions from the Forum Alpinum 2014. Mt Res Dev 35:414–415
Giupponi L, Corti C, Manfredi P, Cassinari C (2013) Application of the oristic-vegetational indexes system for the evaluation of the environmental quality of a semi-natural area of the Po Valley (Piacenza, Italy). Plant Sociol 50:47–56
Giupponi L, Corti C, Manfredi P (2015) The vegetation of the Borgotrebbia landfill (Piacenza, Italy): phytosociological and ecological characteristics. Plant Biosyst 149:865–874
Giupponi L, Tamburini A, Giorgi A (2018) Prospects for broader cultivation and commercialization of Copafam, a local variety of Phaseolus coccineus, in the Brescia Pre-Alps. Mt Res Dev 38:24–34
Giupponi L, Borgonovo G, Panseri S, Giorgi A (2019) Multidisciplinary study of a little known landrace of Fagopyrum tataricum Gaertn. of Valtellina (Italian Alps). Genet Resour Crop Evol 66:783–796
Gupta RK, Gangoliya SS, Singhcorresponding NK (2015) Reduction of phytic acid and enhancement of bioavailable micronutrients in food grains. J Food Sci Technol 52:676–684
Hammer K, Knüppfer H, Xhuveli L, Perrino P (1996) Estimating genetic erosion in landraces—two case studies. Genet Resour Crop Evol 43:329–336
Hammer K, Gladis T, Diederichsen A (2003) In situ and on-farm management of plant genetic resources. Eur J Agron 19:509–517
Hammer K, Montesano V, Direnzo P, Laghetti G (2018) Conservation of crop genetic resources in Italy with a focus on vegetables and a case study of a neglected race of Brassica oleracea. Agriculture 8:105
ISMEA (2014) Stime di produzione—Cereali autunnali, mais, semi oleosi. http://www.ismeamercati.it/flex/cm/pages/ServeBLOB.php/L/IT/IDPagina/4292. Accessed 11 April 2019
ISTAT (2010) Censimento Agricoltura 2010. http://dati-censimentoagricoltura.istat.it/Index.aspx. Accessed 11 April 2019
IUCN (2019) The IUCN red list of threatened species. Version 2019-1. http://dati-censimentoagricoltura.istat.it/Index.aspxhttps://www.iucnredlist.org. Accessed 11 April 2019
Jackson LE, Pascual U, Hodgkin T (2007) Utilizing and conserving agrobiodiversity in agricultural landscapes. Agr Ecosyst Environ 121:196–210
Joshi BK, Upadhyay MP, Gauchan D, Sthapit BR, Joshi KD (2004) Red listing of agricultural crop species, varieties and landraces. Nepal Agric Res J 5:73–80
Joshi BK, Ghimire KH, Gauchan D, Singh D, Paudel MN (2017) Agrobiodiversity: conservation strategies, methods and action plans. In: Joshi BK, Gauchan D (ed) Rebuilding local seed system of native crops in earthquake affected areas of Nepal, Proceedings of Sharingshop, Kathmandu. NAGRC, BI and Crop Trust, Nepal
Keenleyside C, Tucker GM (2010) Farmland abandonment in the EU: an assessment of trends and prospects report prepared for WWF. Institute for European Environmental Policy, London
Laghetti G, Hammer K, Perrino P (1993) Collecting in north-west Italy. FAO/IBPGR Plant Genet Res Newslett 91:23
Laghetti G, Bisignano V, Urbano M (2018) Genetic resources of vegetable crops and their safeguarding in Italy. Horticult Int J 2:72–74
Last L, Arndorfer M, Balàzs K, Dennis P, Dyman T et al (2014) Indicators for the on-farm assessment of crop cultivar and livestock breed diversity: a survey-based participatory approach. Biodivers Conserv 23:3051–3071
Law 2015/194 (2015) Disposizioni per la tutela e la valorizzazione della biodiversità di interesse agricolo e alimentare. https://www.gazzettaufficiale.it/eli/gu/2015/12/11/288/sg/pdf. Accessed 01 September 2019
Legislative Decree 2013/9167 (2013) Procedura per la presentazione e l’istruttoria delle domande di iscrizione alla sezione delle varietà da conservazione del registro nazionale delle varietà di specie agrarie e ortive. http://www.galdeiduelaghi.org/assets/Uploads/bandi/323/SEO4215-10-2013.pdf. Accessed 01 September 2019
Liu Z, Pan J (2017) A practical method for extending the biuret assay to protein determination of corn-based products. Food Chem 224:289–293
MacDonald-Wicks LK, Wood LG, Garg ML (2006) Methodology for the determination of biological antioxidant capacity in vitro: a review. J Sci Food Agric 86:2046–2056
Magni C, Scarafoni A, Herndl A et al (2007) Combined 2D electrophoretic approaches for the study of white lupin mature seed storage proteome. Phytochemistry 68:997–1007
Malvar RA, Butròn A, Alvarez A, Padilla G, Cartea ME, Revilla P, Ordàs A (2007) Yield performance of the European Union Maize Landrace Core Collection under multiple corn borer infestations. Crop Prot 26:775–781
Maxted N, Magos Brehm J, Kell S (2013) Resource book for preparation of national conservation plans for crop wild relatives and landraces. University of Birmingham, United Kingdom
McKie VA, McCleary BV (2016) A novel and rapid colorimetric method for measuring total phosphorus and phytic acid in foods and animal feeds. J AOAC Int 99:738–743
Meseka S, Menkir A, Obeng-Antwi K (2015) Exploitation of beneficial alleles from maize (Zea mays) landraces to enhance performance of an elite variety in water stress environments. Euphytica 201:149–160
Montesano V, Negro D, Sarli G, Logozzo G, Spagnoletti Zeuli P (2012) Landraces in Inland areas of the Basilicata region, Italy: monitoring and perspectives for on farm conservation. Genet Resour Crop Evol 59:701–716
Nazzaro F, Orlando P, Fratianni F, Di Luccia A, Coppola F (2012) Protein analysis-on-chip systems in foodomics. Nutrients 4:1475–1489
Negri V (2003) Landraces in central Italy: where and why they are conserved and perspectives for their on farm conservation. Genet Resour Crop Evol 50:871–885
Negri V (2005) Agro-biodiversity conservation in Europe: ethical issues. J Agric Environ Ethics 18:3–25
Negri V, Donnini D, Gigante D, Landucci F, Pacicco L, Panella L, Torricelli R, Venanzoni R (2013) The first Italian inventory of in situ maintained landraces. http://vnr.unipg.it/PGRSecure/html/national_inventory.html. Accessed 11 April 2019
Newton AC, Akar T, Baresel JP et al (2010) Cereal landraces for sustainable agriculture: a review. Agron Sust Dev 30:237–269
NORDREGIO (2004) Mountain Areas in Europe: Analysis of mountain areas in EU member states, acceding and other European countries. Commissioned report by the European Commission—DG Regional Policy, Brussels. https://ec.europa.eu/regional_policy/sources/docgener/studies/pdf/montagne/mount1.pdf. Accessed 11 April 2019
O’Donnell K, Sharrock S (2017) The contribution of botanic gardens to ex situ conservation through seed banking. Plant Divers 39:373–378
Orsenigo S, Abeli T, Schiavi M, Cauzzi P, Guzzon F, Ardenghi MNG, Rossi G, Vagge I (2018) Morphological characterisation of Cucurbita maxima Duchesne (Cucurbitaceae) landraces from the Po Valley (Northern Italy). Ital J Agron 13:338–342
Pacicco L, Bodesmo M, Torricelli R, Negri V (2018) A methodological approach to identify agro-biodiversity hotspots for priority in situ conservation of plant genetic resources. PLoS ONE 13:e0197709
Paton AJ, Brummitt N, Govaerts R, Harman K, Hinchcliffe S, Allkin B, Lughadha EN (2008) Target 1 of the global strategy for plant conservation: a working list of all known plant species progress and prospects. Taxon 57:602–611
Peres S (2016) Saving the gene pool for the future: seed banks as archives. Stud Hist Philos Biol 55:96–104
Pignatti S (1982) Flora d’Italia. Edagricole, Bologna
Puglisi D, Landoni M, Cassani E, Toschi I, Lucchini G, Cesari V, Borlini G, Scapin A, Pilu R (2018) Traditional farmers’ varieties: a valuable source of genetic variability for biofortification programs. Maydica 63:1–10
R Development Core Team (2018) R: A language and environment or statistical computing. R Foundation for Statistical Computing, Vienna, Austria. http://www.r-project.org. Accessed 11 April 2019
Rischkowsky B, Pilling D (2007) The State of the World’s animal genetic Resources for food and agriculture—in brief. Food and Agriculture Organization of the United Nations, Rome
Sharrock S, Oldfield S, Wilson O (2014) Plant Conservation Report 2014: a review of progress in implementation of the Global Strategy for Plant Conservation 2011-2020. CBD Technical Series 81. Secretariat of the Convention on Biological Diversity and Botanic Gardens Conservation International, Montréal-Richmond
Singleton VL, Orthofer R, Lamuela-Raventós RM (1999) Analysis of total phenols and other oxidation substrates and antioxidants by means of Folin-Ciocalteu reagent. Methods Enzymol 299:152–178
Spataro G, Negri V (2013) The European seed legislation on conservation varieties: focus, implementation, present and future impact on landrace on farm conservation. Genet Resour Crop Evol 60:2421–2430
Srinivasan CC, Thirtle C, Palladino P (2003) Winter wheat in England and Wales, 1923–1995: what do indices of genetic diversity reveal? Plant Genet Resour 1:43–57
Terres JM, Nisini L, Anguiano E. (2013) Assessing the risk of farmland abandonment in the EU. Final report EUR 25783EN, Joint Research Centre of the European Commission, Luxembourg
United Nations (2015) Transforming our world: the 2030 Agenda for Sustainable Development. A/RES/70/1. https://undocs.org/A/RES/70/1. Accessed 11 April 2019
USDA (2017) Italy exporter guide 2017. Global Agricultural Information Network, report number: IT1771
Veteläinen M, Negri V, Maxted N (2009) European landraces: on-farm conservation management and use. Biodiversity technical bulletin 15. Biodiversity International, Rome
Wood D, Lenné JM (1997) The conservation of agrobiodiversity on-farm: questioning the emerging paradigm. Biodivers Conserv 6:109–129
Yadav OP, Bidinger FR (2007) Utilization, diversification and improvement of landraces for enhancing pearl millet productivity in arid environments. Ann Arid Zone 46:49–57
Zeven AC (1998) Landraces: a review of definitions and classifications. Euphytica 104:127–139
Zilić S, Serpen A, Akillioğlu G, Gökmen V, Vančetović J (2012) Phenolic compounds, carotenoids, anthocyanins, and antioxidant capacity of colored maize (Zea mays) kernels. J Agric Food Chem 60:1224–1231
Acknowledgments
We wish to thank Elisabetta Galanti, Arianna Di Marco, Lara Domini, Davide Maria Molinari for their work in the field and in the laboratory, Laura Ronchi of Lombardy Region for her support, and all the farmers and associations that have contributed to this study. This research was supported by “Accordo di collaborazione fra Regione Lombardia e CRC Ge.S.Di.Mont. per attività di ricerca scientifica ed applicata e di diffusione della conoscenza inerente il territorio montano lombardo (art. 4 c.7 l.r. 22/2016)”, “FISR-MIUR Italian Mountain Lab” project and by “Valorizzazione della biodiversità dei territori di montagna, con particolare riferimento all’agro-biodiversità e derivati: orizzonti di bio e green economy per la montagna (DARA–CRC Ge.S.Di.Mont.)” project.
Author information
Authors and Affiliations
Corresponding author
Ethics declarations
Conflict of interest
The authors declare that they have no conflict of interest.
Additional information
Communicated by Daniel Sanchez Mata.
Publisher's Note
Springer Nature remains neutral with regard to jurisdictional claims in published maps and institutional affiliations.
This article belongs to the Topical Collection: Biodiversity exploitation and use.
Electronic supplementary material
Below is the link to the electronic supplementary material.
Rights and permissions
About this article
Cite this article
Giupponi, L., Pilu, R., Scarafoni, A. et al. Plant agro-biodiversity needs protection, study and promotion: results of research conducted in Lombardy region (Northern Italy). Biodivers Conserv 29, 409–430 (2020). https://doi.org/10.1007/s10531-019-01889-3
Received:
Revised:
Accepted:
Published:
Issue Date:
DOI: https://doi.org/10.1007/s10531-019-01889-3
Keywords
- Agricultural biodiversity
- In situ conservation
- Landraces
- Nutritional value
- Plant genetic resources
- Zea mays