Skip to main content

Effective and economical column-based method for RNA isolation from animal cells

Abstract

Objectives

To develop an efficient, economical, and low-toxicity method for the extraction of RNA from animal cells to meet a basic requirement of biological research: the isolation of high-quality RNA.

Results

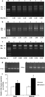
Guanidine hydrochloride was used as a lysis buffer and Na-acetate was used as a wash buffer to extract RNA fragments from TM3 Leydig cells and ovarian granulosa cells efficiently. The functionality of the extracted RNA samples was verified through polymerase chain reaction (PCR) and real-time fluorescence quantitative PCR (RT-PCR). PCR results showed that the normal DNA column-based method could guarantee RNA integrity and could be used to amplify gene fragments successfully. RT-PCR analysis showed that the RNA samples isolated through the proposed method could be used to detect the expression levels of steroidogenic acute regulatory protein and hydroxy-delta-5-steroid dehydrogenase, 3 beta- and steroid delta-isomerase 1 mRNA in TM3 Leydig cells under induction by luteinizing hormone. The proposed method could be used to isolate RNA from mammalian cells and provided RNA yields of > 120 ng/5 × 106 cells. This method provided RNA with purities and yields that are sufficient for cDNA synthesis and PCR amplification in gene expression studies.

Conclusions

The proposed RNA extraction method has the advantages of low toxicity, safe handling, and low cost. Isolation can be completed in 20 min. The proposed method can be used to extract RNA from various animal cell samples and is worth promoting.

This is a preview of subscription content, access via your institution.

Fig. 1

References

  • Arnold U, Ulbrich-Hofmann R (2000) Differences in the denaturation behavior of ribonuclease a induced by temperature and guanidine hydrochloride. J Protein Chem 19:345–352

    Article  CAS  PubMed  Google Scholar 

  • Chomczynski P, Sacchi N (2006) The single-step method of RNA isolation by acid guanidinium thiocyanate phenol chloroform extraction: twenty something years on. Nat Protoc 1:581–585

    Article  CAS  Google Scholar 

  • Fleige S, Walf V, Huch S, Prgomet CJ, Pfaffl MW (2006) Comparison of relative mRNA quantification models and the impact of RNA integrity in quantitative real-time RT-PCR. Biotechnol Lett 28:1601–1613

    Article  CAS  PubMed  Google Scholar 

  • Hila Y et al (2012) LogSpin: a simple, economical and fast method for RNA isolation from infected or healthy plants and other eukaryotic tissues. BMC Res Notes 5:1–8

    Article  CAS  Google Scholar 

  • Kokileva L, Mladenova I, Tsanev R (1971) Comparative agar gel electrophoresis of RNA, ribosomes and ribosomal subunits of higher eukaryotic organisms. FEBS Lett 16:17–20

    Article  CAS  PubMed  Google Scholar 

  • Li W, Li C, Chen S, Sun L, Li H, Chen L, Zhou X (2018) Effect of inhibin A on proliferation of porcine granulosa cells invitro. Theriogenology 114:136–142

    Article  CAS  PubMed  Google Scholar 

  • Ling MD, Feldman L (2010) A rapid trizol-based two-step method for DNA-free RNA extraction from arabidopsis siliques and dry seeds. Biotechnol J 5:183–186

    Article  CAS  Google Scholar 

  • Lodish H, Berk A, Zipursky SL, Matsudaira P, Baltimore D, Darnell J (2000) Overview of neuron structure and function—molecular cell biology. NCBI Bookshelf W. H. Freeman, New York

    Google Scholar 

  • Nicosia A, Tagliavia M, Costa S (2010) Regeneration of total RNA purification silica-based columns. Biomed Chromatogr 24:1263–1264

    Article  CAS  PubMed  Google Scholar 

  • Rio DC, Ares M, Hannon GJ, Nilsen TW (2010) Purification of RNA using trizol (TRI reagent). Cold Spring Harb Protoc 2010(6):pdb-prot5439

    Article  PubMed  Google Scholar 

  • Salvo-Chirnside E, Kane S, Kerr LE (2011) Protocol: high throughput silica-based purification of RNA from Arabidopsis seedlings in a 96-well format. Plant Methods 7:1–12

    Article  CAS  Google Scholar 

  • Vareli K, Frangou-Lazaridis M (1996) Modification of the acid guanidinium thiocyanate phenol chloroform method for nuclear RNA isolation. Biotechniques 21:236–237

    Article  CAS  PubMed  Google Scholar 

Download references

Acknowledgements

This work was supported by The National Natural Science Foundation of China (Grant Nos. 31672417 and 31301969), Jilin Key Programs for Science and Technology Development (Grant No. 20170204039NY).

Author information

Affiliations

Authors

Corresponding authors

Correspondence to Chunjin Li or Xu Zhou.

Ethics declarations

Conflict of interest

The authors declare no conflicts of interest.

Additional information

Publisher's Note

Springer Nature remains neutral with regard to jurisdictional claims in published maps and institutional affiliations.

Rights and permissions

Reprints and Permissions

About this article

Verify currency and authenticity via CrossMark

Cite this article

Niu, Q., Cao, M., Chen, S. et al. Effective and economical column-based method for RNA isolation from animal cells. Biotechnol Lett 41, 915–920 (2019). https://doi.org/10.1007/s10529-019-02700-7

Download citation

  • Received:

  • Accepted:

  • Published:

  • Issue Date:

  • DOI: https://doi.org/10.1007/s10529-019-02700-7

Keywords

  • Animal cells
  • Column
  • Ethanol
  • Guanidine hydrochloride
  • RNA isolation