Skip to main content

Secreted expression of truncated capsid protein from porcine circovirus type 2 in Pichia pastoris

Abstract

Objective

To achieve secreted expression of the truncated capsid protein from porcine circovirus type 2 (PCV2) in Pichia pastoris.

Results

A truncated cap gene (tcap) with a deleted N-terminal nuclear localization signal was optimized and synthesized. Effective secreted expression was achieved in P. pastoris GS115. The high-productive recombinant strain for tCap was grown in a 5 l bioreactor and the productivity of tCap in supernatant reached 250 μg/ml. Furthermore, serum antibody test demonstrated that adjuvant-assisting tCap induced a significant increase of specific PCV2-Cap antibody over time in mice and a similar antibody level in pigs compared with a commercial Cap-based subunit vaccine.

Conclusion

This work establishes a secreted expression strategy in P. pastoris for the production of PCV2 Cap with superior bioactivity, and this strategy might provide potential uses in developing Cap-based subunit vaccine in the future.

This is a preview of subscription content, access via your institution.

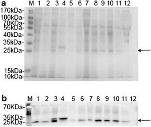
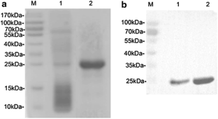
Fig. 1
Fig. 2
Fig. 3
Fig. 4
Fig. 5
Fig. 6

References

  • Beach NM, Meng XJ (2012) Efficacy and future prospects of commercially available and experimental vaccines against porcine circovirus type 2 (PCV2). Virus Res 164:33–42

    CAS  Article  PubMed  Google Scholar 

  • Bill RM (2015) Recombinant protein subunit vaccine synthesis in microbes: a role for yeast? J Pharm Pharmacol 67:319–328

    CAS  Article  PubMed  Google Scholar 

  • Bucarey SA, Noriega J, Reyes P, Tapia C, Sáenz L, Zuñiga A, Tobar JA (2009) The optimized capsid gene of porcine circovirus type 2 expressed in yeast forms virus-like particles and elicits antibody responses in mice fed with recombinant yeast extracts. Vaccine 27:5781–5790

    CAS  Article  PubMed  Google Scholar 

  • Cereghino GP, Cereghino JL, Ilgen C, Cregg JM (2002) Production of recombinant proteins in fermenter cultures of the yeast Pichia pastoris. Curr Opin Biotech 13:329–332

    Article  PubMed  Google Scholar 

  • Fan H, Pan Y, Fang L, Wang D, Wang S, Jiang Y, Xiao S (2008) Construction and immunogenicity of recombinant pseudotype baculovirus expressing the capsid protein of porcine circovirus type 2 in mice. J Virol Methods 150:21–26

    CAS  Article  PubMed  Google Scholar 

  • Gamage LN, Ellis J, Hayes S (2009) Immunogenicity of bacteriophage lambda particles displaying porcine Circovirus 2 (PCV2) capsid protein epitopes. Vaccine 27:6595–6604

    CAS  Article  PubMed  Google Scholar 

  • Gao MJ, Li Z, Yu RS, Wu JR, Zheng ZY, Shi ZP, Lin CC (2012) Methanol/sorbitol co-feeding induction enhanced porcine interferon-α production by P. pastoris associated with energy metabolism shift. Bioproc Biosyst Eng 35:1125–1136

    CAS  Article  Google Scholar 

  • Ge M, Yan A, Luo W, Hu YF, Li RC, Jiang DL, Yu XL (2013) Epitope screening of the PCV2 Cap protein by use of a random peptide-displayed library and polyclonal antibody. Virus Res 177:103–107

    CAS  Article  PubMed  Google Scholar 

  • Huang L, Lu Y, Wei Y, Guo L, Liu C (2011) Development of a blocking ELISA for detection of serum neutralizing antibodies against porcine circovirus type 2. J Virol Methods 171:26–33

    CAS  Article  PubMed  Google Scholar 

  • Inan M, Aryasomayajula D, Sinha J, Meagher MM (2006) Enhancement of protein secretion in Pichia pastoris by overexpression of protein disulfide isomerase. Biotechnol Bioeng 93:771–778

    CAS  Article  PubMed  Google Scholar 

  • Khayat R, Brunn N, Speir JA, Hardham JM, Ankenbauer RG, Schneemann A, Johnson JE (2011) The 2.3-angstrom structure of porcine circovirus 2. J Virol 85:7856–7862

    CAS  Article  PubMed  PubMed Central  Google Scholar 

  • Lekcharoensuk P, Morozov I, Paul PS, Thangthumniyom N, Wajjawalku W, Meng XJ (2004) Epitope mapping of the major capsid protein of type 2 porcine circovirus (PCV2) by using chimeric PCV1 and PCV2. J Virol 78:8135–8145

    CAS  Article  PubMed  PubMed Central  Google Scholar 

  • Li PC, Qiao XW, Zheng QS, Hou JB (2016) Immunogenicity and immunoprotection of porcine circovirus type 2 (PCV2) Cap protein displayed by Lactococcus lactis. Vaccine 34:696–702

    CAS  Article  PubMed  Google Scholar 

  • Liu Q, Tikoo SK, Babiuk LA (2001) Nuclear localization of the ORF2 protein encoded by porcine circovirus type 2. Virology 285:91–99

    CAS  Article  PubMed  Google Scholar 

  • Macauley-Patrick S, Fazenda M, McNeil B, Harvey LM (2005) Heterologous protein production using the Pichia pastoris expression system. Yeast 22:249–270

    CAS  Article  PubMed  Google Scholar 

  • Mahé D, Blanchard P, Truong C, Arnauld C, Le Cann P, Cariolet R, Madec F, Albina E, Jestin A (2000) Differential recognition of ORF2 protein from type 1 and type 2 porcine circoviruses and identification of immunorelevant epitopes. J Gen Virol 81:1815–1824

    Article  PubMed  Google Scholar 

  • Mankertz A, Caliskan R, Hattermann K, Hillenbrand B, Kurzendoerfer P, Mueller B, Schmitt C, Steinfeldt T, Finsterbusch T (2004) Molecular biology of porcine circovirus: analyses of gene expression and viral replication. Vet Microbiol 98:81–88

    CAS  Article  PubMed  Google Scholar 

  • Marcekova Z, Psikal I, Kosinova E, Benada O, Sebo P, Bumba L (2009) Heterologous expression of full-length capsid protein of porcine circovirus 2 in Escherichia coli and its potential use for detection of antibodies. J Virol Methods 162:133–141

    CAS  Article  PubMed  Google Scholar 

  • Nawagitgul P, Morozov I, Bolin SR, Harms PA, Sorden SD, Paul PS (2000) Open reading frame 2 of porcine circovirus type 2 encodes a major capsid protein. J Gen Virol 81:2281–2287

    CAS  Article  PubMed  Google Scholar 

  • Prielhofer R, Maurer M, Klein J, Wenger J, Kiziak C, Gasser B, Mattanovich D (2013) Induction without methanol: novel regulated promoters enable high-level expression in Pichia pastoris. Microb Cell Fact 12:5

    CAS  Article  PubMed  PubMed Central  Google Scholar 

  • Scorer CA, Clare JJ, McCombie WR, Romanos MA, Sreekrishna K (1994) Rapid selection using G418 of high copy number transformants of Pichia pastoris for high-level foreign gene expression. Nat Biotechnol 12:181–184

    CAS  Article  Google Scholar 

  • Segalés J (2012) Porcine circovirus type 2 (PCV2) infections: clinical signs, pathology and laboratory diagnosis. Virus Res 164:10–19

    Article  PubMed  Google Scholar 

  • Sinclair G, Choy FY (2002) Synonymous codon usage bias and the expression of human glucocerebrosidase in the methylotrophic yeast, Pichia pastoris. Protein Expres Purif 26:96–105

    CAS  Article  Google Scholar 

  • Tu Y, Wang Y, Wang G, Wu J, Liu Y, Wang S, Cai X (2013) High-level expression and immunogenicity of a porcine circovirus type 2 capsid protein through codon optimization in Pichia pastoris. Appl Microbiol Biot 97:2867–2875

    CAS  Article  Google Scholar 

  • Yarimizu T, Nakamura M, Hoshida H, Akada R (2015) Synthetic signal sequences that enable efficient secretory protein production in the yeast Kluyveromyces marxianus. Microb Cell Fact 14:20

    Article  PubMed  PubMed Central  Google Scholar 

  • Zhan R, Mu W, Jiang B, Li Y, Zhou L, Zhang T (2015) High-level extracellular expression of inulin fructotransferase in Pichia pastoris for DFA III production. J Sci Food Agr 95:1408–1413

    CAS  Article  Google Scholar 

  • Zhou JY, Shang SB, Gong H, Chen QX, Wu JX, Shen HG, Guo JQ (2005) In vitro expression, monoclonal antibody and bioactivity for capsid protein of porcine circovirus type II without nuclear localization signal. J Biotechnol 118:201–211

    CAS  Article  PubMed  Google Scholar 

Download references

Author information

Affiliations

Authors

Corresponding authors

Correspondence to Yong Deng or Qin Liu.

Rights and permissions

Reprints and Permissions

About this article

Verify currency and authenticity via CrossMark

Cite this article

Chen, X., Chen, J., Zhang, Y. et al. Secreted expression of truncated capsid protein from porcine circovirus type 2 in Pichia pastoris . Biotechnol Lett 38, 959–967 (2016). https://doi.org/10.1007/s10529-016-2076-5

Download citation

  • Received:

  • Accepted:

  • Published:

  • Issue Date:

  • DOI: https://doi.org/10.1007/s10529-016-2076-5

Keywords

  • Immunogenicity
  • Pichia pastoris
  • Porcine circovirus diseases
  • Porcine circovirus type 2
  • Secretion expression
  • Truncated capsid protein