Skip to main content

In vitro immunomodulatory properties of osteogenic and adipogenic differentiated mesenchymal stem cells isolated from three inbred mouse strains

Abstract

Mesenchymal stem cells (MSCs) are used for cell-based therapies because of their immunomodulatory properties. The immunomodulatory properties of adipogenic (AD) and osteogenic (OS) differentiated adipose tissue-derived MSCs (AD-MSCs) isolated from BALB/c, C57BL/6, and DBA mice were compared. Splenocytes proliferation was suppressed in the presence of AD-MSCs conditioned media in all mice. After OS differentiation, BALB/c AD-MSCs produced higher levels of TGF-β and IL-17 and lower levels of NO than AD-MSCs isolated from C57BL/6 and DBA mice. In addition, OS differentiated AD-MSCs isolated from DBA mice produced lower levels of IL-10 than AD-MSCs isolated from C57BL/6 and DBA mice. After in vitro AD and OD differentiation, AD-MSCs isolated from each mouse produced higher levels of NO and IDO than undifferentiated cells. Additionally, AD-MSCs isolated from C57BL/6 and DBA mice produced higher levels of NO than AD-MSCs isolated from BALB/c mice. Adipose tissue-derived MSCs thus retain their immunomodulatory properties after in vitro OS and AD differentiation in a strain-dependent manner.

This is a preview of subscription content, access via your institution.

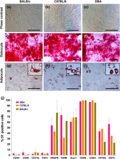
Fig. 1
Fig. 2
Fig. 3
Fig. 4

References

  • Chiesa S, Morbelli S, Morando S, Massollo M, Marini C, Bertoni A, Frassoni F, Bartolome ST, Sambuceti G, Traggiai E, Uccelli A (2011) Mesenchymal stem cells impair in vivo T-cell priming by dendritic cells. Proc Natl Acad Sci USA 108:17384–17389

    PubMed  Article  CAS  Google Scholar 

  • DelaRosa O, Lombardo E, Beraza A, Mancheno-Corvo P, Ramirez C, Menta R, Rico L, Camarillo E, Garcia L, Abad JL, Trigueros C, Delgado M, Buscher D (2009) Requirement of IFN-gamma-mediated indoleamine 2,3-dioxygenase expression in the modulation of lymphocyte proliferation by human adipose-derived stem cells. Tissue Eng A 15:2795–2806

    Article  CAS  Google Scholar 

  • Ivanova-Todorova E, Bochev I, Mourdjeva M, Dimitrov R, Bukarev D, Kyurkchiev S, Tivchev P, Altunkova I, Kyurkchiev DS (2009) Adipose tissue-derived mesenchymal stem cells are more potent suppressors of dendritic cells differentiation compared to bone marrow-derived mesenchymal stem cells. Immunol Lett 126:37–42

    PubMed  Article  CAS  Google Scholar 

  • Jiang XX, Zhang Y, Liu B, Zhang SX, Wu Y, Yu XD, Mao N (2005) Human mesenchymal stem cells inhibit differentiation and function of monocyte-derived dendritic cells. Blood 105:4120–4126

    PubMed  Article  CAS  Google Scholar 

  • Keyser KA, Beagles KE, Kiem HP (2007) Comparison of mesenchymal stem cells from different tissues to suppress T-cell activation. Cell Transplant 16:555–562

    PubMed  Google Scholar 

  • Le Blanc K, Tammik C, Rosendahl K, Zetterberg E, Ringden O (2003) HLA expression and immunologic properties of differentiated and undifferentiated mesenchymal stem cells. Exp Hematol 31:890–896

    PubMed  Article  Google Scholar 

  • Liu H, Kemeny DM, Heng BC, Ouyang HW, Melendez AJ, Cao T (2006) The immunogenicity and immunomodulatory function of osteogenic cells differentiated from mesenchymal stem cells. J Immunol 176:2864–2871

    PubMed  CAS  Google Scholar 

  • Lu X, Liu T, Gu L, Huang C, Zhu H, Meng W, Xi Y, Li S, Liu Y (2009) Immunomodulatory effects of mesenchymal stem cells involved in favoring type 2 T cell subsets. Transpl Immunol 22:55–61

    PubMed  Article  CAS  Google Scholar 

  • Mahanonda R, Sa-Ard-Iam N, Montreekachon P, Pimkhaokham A, Yongvanichit K, Fukuda MM, Pichyangkul S (2007) IL-8 and IDO expression by human gingival fibroblasts via TLRs. J Immunol 178:1151–1157

    PubMed  CAS  Google Scholar 

  • Mohseny AB, Hogendoorn PC (2011) Concise review: mesenchymal tumors: when stem cells go mad. Stem Cells 29:397–403

    PubMed  Article  CAS  Google Scholar 

  • Najar M, Raicevic G, Boufker HI, Fayyad Kazan H, De Bruyn C, Meuleman N, Bron D, Toungouz M, Lagneaux L (2010) Mesenchymal stromal cells use PGE2 to modulate activation and proliferation of lymphocyte subsets: combined comparison of adipose tissue, Wharton’s Jelly and bone marrow sources. Cell Immunol 264:171–179

    PubMed  Article  CAS  Google Scholar 

  • Nemeth K, Keane-Myers A, Brown JM, Metcalfe DD, Gorham JD, Bundoc VG, Hodges MG, Jelinek I, Madala S, Karpati S, Mezey E (2010) Bone marrow stromal cells use TGF-beta to suppress allergic responses in a mouse model of ragweed-induced asthma. Proc Natl Acad Sci USA 107:5652–5657

    PubMed  Article  CAS  Google Scholar 

  • Phinney DG, Prockop DJ (2007) Concise review: mesenchymal stem/multipotent stromal cells: the state of transdifferentiation and modes of tissue repair––current views. Stem Cells 25:2896–2902

    PubMed  Article  Google Scholar 

  • Rasmusson I, Ringden O, Sundberg B, Le Blanc K (2005) Mesenchymal stem cells inhibit lymphocyte proliferation by mitogens and alloantigens by different mechanisms. Exp Cell Res 305:33–41

    PubMed  Article  CAS  Google Scholar 

  • Ren G, Zhang L, Zhao X, Xu G, Zhang Y, Roberts AI, Zhao RC, Shi Y (2008) Mesenchymal stem cell-mediated immunosuppression occurs via concerted action of chemokines and nitric oxide. Cell Stem Cell 2:141–150

    PubMed  Article  CAS  Google Scholar 

  • Sato K, Ozaki K, Oh I, Meguro A, Hatanaka K, Nagai T, Muroi K, Ozawa K (2007) Nitric oxide plays a critical role in suppression of T-cell proliferation by mesenchymal stem cells. Blood 109:228–234

    PubMed  Article  CAS  Google Scholar 

  • Schurgers E, Kelchtermans H, Mitera T, Geboes L, Matthys P (2010) Discrepancy between the in vitro and in vivo effects of murine mesenchymal stem cells on T-cell proliferation and collagen-induced arthritis. Arthritis Res Ther 12:R31

    PubMed  Article  Google Scholar 

  • Selmani Z, Naji A, Gaiffe E, Obert L, Tiberghien P, Rouas-Freiss N, Carosella ED, Deschaseaux F (2009) HLA-G is a crucial immunosuppressive molecule secreted by adult human mesenchymal stem cells. Transplantation 87:S62–S66

    PubMed  Article  CAS  Google Scholar 

  • Sheng H, Wang Y, Jin Y, Zhang Q, Zhang Y, Wang L, Shen B, Yin S, Liu W, Cui L, Li N (2008) A critical role of IFN-gamma in priming MSC-mediated suppression of T cell proliferation through up-regulation of B7-H1. Cell Res 18:846–857

    PubMed  Article  CAS  Google Scholar 

  • Shi M, Liu ZW, Wang FS (2011) Immunomodulatory properties and therapeutic application of mesenchymal stem cells. Clin Exp Immunol 164:1–8

    PubMed  Article  CAS  Google Scholar 

  • Sioud M, Mobergslien A, Boudabous A, Floisand Y (2011) Mesenchymal stem cell-mediated T cell suppression occurs through secreted galectins. Int J Oncol 38:385–390

    PubMed  Article  CAS  Google Scholar 

  • Soudi S, Hosseini AZ, Hashemi SM (2011) Co-administration of rectal BCG and autoclaved Leishmania major induce protection in susceptible BALB/c mice. Parasite Immunol 33:561–571

    PubMed  Article  CAS  Google Scholar 

  • Svobodova E, Krulova M, Zajicova A, Pokorna K, Prochazkova J, Trosan P, Holan V (2011) The role of mouse mesenchymal stem cells in differentiation of naive T cells into anti-inflammatory regulatory T cell or proinflammatory helper T cell 17 population. Stem Cells Dev 21:901–910

    PubMed  Article  Google Scholar 

  • Tang R, Wei F, Wei L, Wang S, Ding G (2012) Osteogenic differentiated periodontal ligament stem cells maintain their immunomodulatory capacity. J Tissue Eng Regen Med. doi:10.1002/term.1516

  • Uccelli A, Moretta L, Pistoia V (2008) Mesenchymal stem cells in health and disease. Nat Rev Immunol 8:726–736

    PubMed  Article  CAS  Google Scholar 

  • Wang Q, Sun B, Wang D, Ji Y, Kong Q, Wang G, Wang J, Zhao W, Jin L, Li H (2008) Murine bone marrow mesenchymal stem cells cause mature dendritic cells to promote T cell tolerance. Scand J Immunol 68:607–615

    PubMed  Article  CAS  Google Scholar 

  • Yanez R, Oviedo A, Aldea M, Bueren JA, Lamana ML (2010) Prostaglandin E2 plays a key role in the immunosuppressive properties of adipose and bone marrow tissue-derived mesenchymal stromal cells. Exp Cell Res 316:3109–3123

    PubMed  Article  CAS  Google Scholar 

  • Yang SH, Park MJ, Yoon IH, Kim SY, Hong SH, Shin JY, Nam HY, Kim YH, Kim B, Park CG (2009) Soluble mediators from mesenchymal stem cells suppress T cell proliferation by inducing IL-10. Exp Mol Med 41:315–324

    PubMed  Article  CAS  Google Scholar 

  • Zhang B, Liu R, Shi D, Liu X, Chen Y, Dou X, Zhu X, Lu C, Liang W, Liao L, Zenke M, Zhao RC (2009a) Mesenchymal stem cells induce mature dendritic cells into a novel Jagged-2-dependent regulatory dendritic cell population. Blood 113:46–57

    PubMed  Article  CAS  Google Scholar 

  • Zhang X, Tang T, Shi Q, Fernandes JC, Dai K (2009b) The immunologic properties of undifferentiated and osteogenic differentiated mouse mesenchymal stem cells and its potential application in bone regeneration. Immunobiology 214:179–186

    PubMed  Article  CAS  Google Scholar 

Download references

Acknowledgments

We acknowledge funding for this study provided by Tarbiat Modares University and the Iranian Council of Stem Cell Technology.

Author information

Affiliations

Authors

Corresponding authors

Correspondence to Zuhair Mohammad Hassan or Masoud Soleimani.

Rights and permissions

Reprints and Permissions

About this article

Cite this article

Hashemi, S.M., Hassan, Z.M., Pourfathollah, A.A. et al. In vitro immunomodulatory properties of osteogenic and adipogenic differentiated mesenchymal stem cells isolated from three inbred mouse strains. Biotechnol Lett 35, 135–142 (2013). https://doi.org/10.1007/s10529-012-1051-z

Download citation

  • Received:

  • Accepted:

  • Published:

  • Issue Date:

  • DOI: https://doi.org/10.1007/s10529-012-1051-z

Keywords

  • Conditioned media
  • Differentiation
  • Immunomodulatory properties
  • Mesenchymal stem cells
  • Mouse strains