Skip to main content

HepG2 cells infected with Klebsiella pneumoniae show DNA laddering at apoptotic and necrotic stages

Abstract

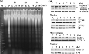
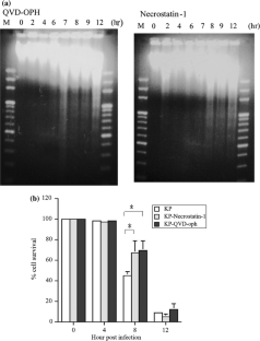
Virulent Klebasiella pneumoniae (KP) inflicts severe liver abscesses in infected patients. This study investigated how the bacterial infection affected cell survival at the molecular level, in a cultured cell model. A strain of KP highly virulent in mice was isolated from a patient with liver abscess, and was used to infect HepG2 cells. The infected cells were examined for their viability, DNA fragmentation, and proteins involved in apoptosis or necrosis. We found that the infection decreased the viability of HepG2 cells at 4 hours (h) to 12 h post infection (pi). DNA ladders appeared 6–16 h pi and flow cytometry analysis showed apoptosis at 3–5 h pi, secondary necrosis at 6–9 h pi and primary necrosis at 8–9 h pi. Cleavages of Caspase 7, Caspase 9, α-Fodrin, and PARP were evident at 2–4 h pi. At 7 h pi, we observed the following: increased nuclear AIF, the release from mitochondria of cytosolic Apaf-1 and Cyt c, increased DFF40 expression, decreased DFF45, decreased BcL-xL and the release of Endo G from mitochondria to nucleus. Cellular ATP concentration decreased at 4–8 h pi, accompanied by increased Calpain-2 expression. In summary, infected HepG2 cells underwent apoptosis early after infection and progressed to secondary necrosis and primary necrosis. Nuclear fragmentation corresponded to Caspase 7 activation and the appearance of Endo G and DFF40 in the nucleus, with a concomitant decrease in DFF45. Mitochondrial release of Cyt c together with activation of Caspase 9 and Apaf-1 in cytosol was also observed. Early-hour cleavage of poly(ATP-ribose) polymerase (PARP) followed by the later activation of PARP corresponded to the appearance of DNA laddering, and the depletion of cellular ATP was associated with the appearance of necrosis.

This is a preview of subscription content, access via your institution.

Fig. 1
Fig. 2
Fig. 3
Fig. 4
Fig. 5
Fig. 6
Fig. 7

Abbreviations

AIF:

Apoptosis inducing factor

Apaf-1:

Apoptotic protease-activating factor 1

Cyt c :

Cytochrome c

DFF:

DNA fragmentation factor

Endo G:

Endonuclease G

h:

Hour

KP:

Klebsiella pneumoniae

min:

Minute

Nec-1:

Necrostatin-1

PARP:

Poly(ADP) polymerase

pi:

Post infection

QVD-OPH:

Quindyl valyl-O-methylaspartyl-[2,6-difluorophenoxy]-methyl ketone

References

  1. Ko WC, Paterson DL, Sagnimeni AJ, Hansen DS, Von Gottberg A, Mohapatra S, Casellas JM, Goossens H, Mulazimoglu L, Trenholme G, Klugman KP, McCormack JG, Yu VL (2002) Community-acquired Klebsiella pneumoniae bacteremia: global differences in clinical patterns. Emerg Infect Dis 8:160–166

    PubMed  Article  Google Scholar 

  2. Chan KS, Chen CM, Cheng KC, Hou CC, Lin HJ, Yu WL (2005) Pyogenic liver abscess: a retrospective analysis of 107 patients during a 3-year period. Jpn J Infect Dis 58:366–368

    PubMed  Google Scholar 

  3. Wu JH, Wu AM, Tsia CG, Chang XY, Tsai SF, Wu TS (2008) Contribution of fucose- containing capsules in Klebsiella pneumoniae to bacterial virulence in mice. Exp Biol Med 233:64–70

    Article  CAS  Google Scholar 

  4. Wu JH, Tsai CG (2005) Infectivity of hepatic strain Klebsiella pneumoniae in diabetic mice. Exp Biol Med 230:757–761

    CAS  Google Scholar 

  5. Saikumar P, Dong Z, Mikhailov V, Denton M, Weinberg JM, Venkatachalam MA (1999) Apoptosis: definition, mechanisms, and relevance to disease. Am J Med 107:489–506

    PubMed  Article  CAS  Google Scholar 

  6. Ya S, Proskuryakov SY, Konoplyannikov AG, Gabai VL (2003) Necrosis: a specific form of programmed cell death? Exp Cell Res 283:1–16

    Article  Google Scholar 

  7. Fink SL, Cookson BT (2005) Apoptosis, pyroptosis, and necrosis: mechanistic description of dead and dying eukaryotic cells. Infect Immun 73:1907–1916

    PubMed  Article  CAS  Google Scholar 

  8. Kroemer G, Martin SJ (2005) Caspase-independent cell death. Nature Med 11:725–730

    PubMed  Article  Google Scholar 

  9. Goldstein P, Kroemer G (2006) Cell death by necrosis: towards a molecular definition. Trends Biochem Sci 32:37–432

    Article  Google Scholar 

  10. Rollo S, Stockert JC, Moreno V, Gamez A, Pacheco M, Juarranz A, Canete M, Villanueva A (2005) Morphological criteria to distinguish cell death induced by apoptotic and necrotic treatments. Apoptosis 10:201–208

    Article  Google Scholar 

  11. Dong Z, Saikumar P, Weinberg JM, Venkatachalam MA (1997) Internucleosomal DNA cleavage triggered by plasma membrane damage during necrotic cell death. Involvement of serine but not cysteine proteases. Am J Pathol 151:1205–1213

    PubMed  CAS  Google Scholar 

  12. Vermes J, Haanen C, Steffens-Nakken H, Reutelingsperger C (1995) A novel assay for apoptosis. Flow cytometric detection of phosphatidylserine expression on early apoptotic cells using fluorescein labelled annexin V. J Immunol Meth 184:39–51

    Article  CAS  Google Scholar 

  13. Van Engeland M, Nieland LJ, Ramaekers FC, Schutte B, Reutelingsperger CP (1998) Annexin V-affinity assay: a review on an apoptosis detection system based on phosphatidylserine exposure. Cytometry 31:1–9

    PubMed  Article  Google Scholar 

  14. Cookson BT, Brennan MA (2001) Pro-inflammatory programmed cell death. Trends Microbiol 9:113–114

    PubMed  Article  CAS  Google Scholar 

  15. Christofferson DE, Yuan J (2010) Necroptosis as an alternative form of programmed cell death. Curr Opin Cell Biol 22:263–268

    PubMed  Article  CAS  Google Scholar 

  16. Hua ZJ, Xu M (2000) DNA fragmentation in apoptosis. Cell Res 10:205–211

    Article  Google Scholar 

  17. Liu X, Zou H, Widlak P, Garrard W, Wang X (1999) Activation of the apoptotic endonuclease DFF40 (caspase-activated DNase or nuclease). J Biol Chem 74:13836–13840

    Article  Google Scholar 

  18. Thomas D, Du C, Xu M, Wang X, Ley TJ (2000) DFF45/ICAD can be directly process by granzyme B during the induction of apoptosis. Immunity 12:621–632

    PubMed  Article  CAS  Google Scholar 

  19. Liu X, Zou H, Slaughter C, Wang X (1997) DFF, a heterodimeric protein that functions downstream of caspase-3 to trigger DNA fragmentation during apoptosis. Cell 89:175–184

    PubMed  Article  CAS  Google Scholar 

  20. Li LY, Luo X, Wang X (2001) Endonuclease G is an apoptotic DNase when released from mitochondria. Nature 412:95–99

    PubMed  Article  CAS  Google Scholar 

  21. Martin SJ, O’Brien GA, Nichioka WK, McGahon AJ, Mahboubi A, Saido TC, Green DR (1995) Proteolysis of Fodrin (Non-erythroid Spectrin) during apoptosis. J Biol Chem 270:6425–6428

    PubMed  Article  CAS  Google Scholar 

  22. Desagher S, Osen-Sand A, Nichols A, Eskes R, Montessuit S, Lauper S, Maundrell K, Antonsson B, Martinou JC (1999) Bid-induced conformational change of Bax is responsible for mitochondrial Cytochrome c release during apoptosis. J Cell Biol 144:891–901

    PubMed  Article  CAS  Google Scholar 

  23. Hsu YT, Wolter KG, Youle RJ (1997) Cytosol-to-membrane redistribution of Bax and Bcl-xL during apoptosis. Proc Natl Acad Sci USA 94:3668–3672

    PubMed  Article  CAS  Google Scholar 

  24. Cheung EC, Joza N, Steenaart NA, McClellan KA, Neuspiel M, McNamara S, MacLaurin JG, Rippstein P, Park DS, Shore GC, McBride HM, Penninger JM, Slack RS (2006) Dissociating the dual roles of apoptosis-inducing factor in maintaining mitochondrial structure and apoptosis. EMBO J 25:4061–4073

    PubMed  Article  CAS  Google Scholar 

  25. Porter AG, Urbano AG (2006) Does apoptosis-inducing factor (AIF) have both life and death functions in cells? Bioassays 28:834–843

    Article  CAS  Google Scholar 

  26. Riedl SJ, Salvesen GS (2007) The apoptosome: signalling platform of cell death. Nat Rev Mol Cell Biol 8:405–413

    PubMed  Article  CAS  Google Scholar 

  27. Germain M, Affar EB, D’Amours D, Dixit VM, Salvesen GS, Poirier GG (1999) Cleavage of automodified Poly(ADP-ribose) Polymerase during apoptosis. Evidence for involvement of caspase-7. J Biol Chem 274:28379–28384

    PubMed  Article  CAS  Google Scholar 

  28. Ha HC, Snyder SH (1999) Poly(ADP-ribose) polymerase is a mediator of necrotic cell death by ATP depletion. Proc Natl Acad Sci USA 96:13978–13982

    PubMed  Article  CAS  Google Scholar 

  29. Edinger AL, Thompson CB (2004) Death by design: apoptosis, necrosis and autophagy. Curr Opin Cell Biol 16:663–669

    PubMed  Article  CAS  Google Scholar 

  30. Zong WX, Thompson CB (2006) Necrotic death as a cell fate. Genes Dev 20:1–15

    PubMed  Article  CAS  Google Scholar 

  31. Moubarak RS, Yuste VJ, Artus C, Bouharrour A, Greer PA, Menissier-deMurcia J, Susin SA (2007) Sequential activation of poly(ADP-Ribose) polymerase 1, calpains and Bax is essential in apoptosis-inducing factor-mediated program necrosis. Mol Cell Biol 27:4844–4862

    PubMed  Article  CAS  Google Scholar 

  32. Yuste VJ, Sández-López I, Solé C, Moubarak RS, Bayascas JR, Dolcet X, Encinas M, Susin SA, Comella JK (2005) The contribution of apoptosis-inducing factor, caspase-activated Dnase, and inhibitor of caspase-activated Dnase to the nuclear phenotype and DNA degradation during apoptosis. J Biol Chem 280:35670–35683

    PubMed  Article  CAS  Google Scholar 

  33. Zanna C, Ghelli A, Porcelli AM, Martinuzzi A, Carelli V, Rugdo M (2005) Caspase-independent death of Leber’s hereditary optic neuropathy cybrids is driven by energetic failure and mediated by AIF and Endonuclease G. Apoptosis 10:997–1007

    PubMed  Article  CAS  Google Scholar 

  34. Nawaz M, Manz C, Lacher V, Krumschnabel G (2006) Copper-induced stimulation of extracellular signal-regulated kinase in trout hepatocytes: the role of reactive oxygen species, Ca2+, and cell energetics and the impact of extracellular signal-regulated kinase signaling on apoptosis and necrosis. Toxicol Sci 92:464–475

    PubMed  Article  CAS  Google Scholar 

  35. Wu JH, Hong LC, Tsai YY, Chen HW, Chen WX, Wu TS (2006) Mitogen-activated protein kinase (MAPK) signaling pathways in HepG2 cells infected with a virulent strain of Klebsiella pneumoniae. Cell Microbiol 8:1467–1474

    PubMed  Article  CAS  Google Scholar 

  36. Burdette DL, Yarbrough ML, Orvedahl A, Gilpin CJ, Orth K (2008) Vibrio parahaemolyticus orchestrates a multifaced host cell infection by induction of autophagy, cell rounding, and then cell lysis. Proc Natl Acad Sci USA 105:12497–12502

    PubMed  Article  CAS  Google Scholar 

  37. Brennan MA, Cookson BT (2000) Salmonella induces macrophage death by caspase-1-dependent necrosis. Mol Microbiol 38:31–40

    PubMed  Article  CAS  Google Scholar 

  38. François M, LeCabec V, Dupont MA, Sansonetti PJ, Maridonneau-Parini I (2000) Induction of necrosis in human neutrophils by Shigella flexneri requires type III secretion, IpaB and IpaC invasions, and actin polymerization. Infect Immun 68:1289–1296

    PubMed  Article  Google Scholar 

  39. Gao LY, Kwaik YA (2000) The modulation of host cell apoptosis by intracellular bacterial pathogens. Trends Microbiol 8:306–313

    PubMed  Article  CAS  Google Scholar 

Download references

Acknowledgments

The work was supported by Grants, NSC93-2320-B-182-024, NSC96-3112-B-182-005 and NSC97-3112-B-182-001 from National Science Council of Taiwan and a Grant CMRPD180461 from Chang Gung University of Taiwan.

Author information

Affiliations

Authors

Corresponding author

Correspondence to June Hsieh Wu.

Electronic supplementary material

Below is the link to the electronic supplementary material.

Supplementary Fig. 1. PARP activity assay in HepG2 cell infected with KpL1. (JPG 740 kb)

10495_2011_666_MOESM2_ESM.jpg

Supplementary Fig. 2. Flow cytometry analysis after QVD-OPH or necrostatin-1 treatment in HepG2 cells infected with KpL1. (JPG 815 kb)

Rights and permissions

Reprints and Permissions

About this article

Cite this article

Yang, PY., Chen, WX., Chang, FY. et al. HepG2 cells infected with Klebsiella pneumoniae show DNA laddering at apoptotic and necrotic stages. Apoptosis 17, 154–163 (2012). https://doi.org/10.1007/s10495-011-0666-1

Download citation

  • Published:

  • Issue Date:

  • DOI: https://doi.org/10.1007/s10495-011-0666-1

Keywords

  • Annexin V/PI staining
  • Flow cytometry
  • Cell viability
  • Western blot