Abstract
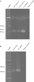
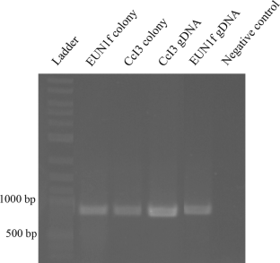
Molecular analysis of the filamentous actinobacteria Frankia is laborious because of the slow growth rate and required biomass needed for these techniques. An efficient and simple colony PCR protocol for Frankia was developed that saved time for analysis of any Frankia strains growing on a plate. Previously, it took 5–6 weeks to get the correct size Frankia colonies on plates and then a minimum of 5 weeks of growth in liquid culture for DNA extraction. With this technique, these colonies could be screened after 5–6 weeks of growth by colony PCR. The procedure used a combination of mechanical and heat treatments and required no added buffers or chemicals. Our results demonstrate rapid and efficient PCR.


References
Baker D, Newcomb W, Torrey JG (1980) Characterization of an Ineffective actinorhizal micro-symbiont, Frankia sp. EuI1 (Actinomycetales). Can J Microbiol 26:1072–1089
Bassi CA, Benson DR (2007) Growth characteristics of the slow-growing actinobacterium Frankia sp. strain Ccl3 on solid media. Physiol Plantarum 130:391–399. https://doi.org/10.1111/j.1399-3054.2007.00866.x
Cournoyer B, Normand P (1992) Relationship between electroporation conditions, electropermeability and respiratory activity for Frankia strain Acn14a. FEMS Microbiol Lett 94:95–100
Diagne N, Arumugam K, Ngom M, Nambiar-Veetil M, Franche C, Narayanan KK, Laplaze L (2013a) Use of Frankia and actinorhizal plants for degraded lands reclamation. BioMed Res Int 2013:948258. https://doi.org/10.1155/2013/948258
Diagne N et al (2013b) Casuarina in Africa: distribution, role and importance of arbuscular mycorrhizal, ectomycorrhizal fungi and Frankia on plant development. J Environ Manage 128:204–209. https://doi.org/10.1016/j.jenvman.2013.05.009
Girgis MGZ, Ishac YZ, Diem HG, Dommergues YR (1992) Selection of salt tolerant Casuarina glauca and Frankia. Acta Oecol 13:443–451
Gtari M et al (2015) Cultivating the uncultured: growing the recalcitrant cluster-2 Frankia strains. Sci Rep 5:13112. https://doi.org/10.1038/srep13112
Kucho K-I, Kakoi K, Yamaura M, Higashi S, Uchiumi T, Abe M (2009) Transient transformation of Frankia by fusion marker genes in liquid culture. Microbes Environ 24:231–240. https://doi.org/10.1264/jsme2.me09115
Lalonde M, Calvert HE, Pine S (1981) Isolation and use of Frankia strains in actinorhizae formation. In: Gibson AH, Newton WE (eds) Current perspectives in nitrogen fixation. Australian Academy of Science, Canbarra, pp 296–299
Lane DJ, Pace B, Olsen GJ, Stahl DA, Sogin ML, Pace NR (1985) Rapid determination of 16S ribosomal RNA sequences for phylogenetic analyses. Proc Natl Acad Sci USA 82:6955–6959
Murray MG, Thompson WF (1980) Rapid isolation of high molecular weight plant DNA. Nucl Acids Res 8:4321–4325
Myers AK, Tisa LS (2004) Isolation of antibiotic-resistant and antimetabolite-resistant mutants of Frankia strains EuI1c and Cc1.17. Can J Microbiol 50:261–267. https://doi.org/10.1139/w04-013
Ngom M et al (2016) Symbiotic performance of diverse Frankia strains on salt-stressed Casuarina glauca and Casuarina equisetifolia plants front. Plant Sci 7:1331. https://doi.org/10.3389/fpls.2016.01331
Normand P, Benson DR, Berry AM, Tisa L (2014) The family Frankiaceae. In: Rosenberg EDE, Lory S, Stackebrandt E, Thompson F (eds) The prokaryote—actinobacteria. Springer, Berlin, pp 339–356. https://doi.org/10.1007/978-3-30138-4_183
Nouioui I et al (2016) Proposal of a type strain for Frankia alni (Woronin 1866) Von Tubeuf 1895, emended description of Frankia alni, and recognition of Frankia casuarinae sp. nov. and Frankia elaeagni sp. nov. Int J Syst Evol Microbiol 66:5201–5210. https://doi.org/10.1099/ijsem.0.001496
Nouioui I, Ghodhbane-Gtari F, Montero-Calasanz MD, Rohde M, Tisa LS, Gtari M, Klenk HP (2017) Frankia inefficax sp. nov., an actinobacterial endophyte inducing ineffective, non nitrogen-fixing, root nodules on its actinorhizal host plants. Anton Leeuw Int J G 110:313–320. https://doi.org/10.1007/s10482-016-0801-7
Richards JW, Krumholz GD, Chval MS, Tisa LS (2002) Heavy metal resistance patterns of Frankia strains. Appl Environ Microbiol 68:923–927. https://doi.org/10.1128/aem.68.2.923-927.2002
Ridgway KP, Marland LA, Harrison AF, Wright J, Young JPW, Fitter AH (2004) Molecular diversity of Frankia in root nodules of Alnus incana grown with inoculum from polluted urban soils. Fems Microbiol Ecol 50:255–263. https://doi.org/10.1016/j.femsec.2004.07.002
Schrader C, Schielke A, Ellerbroek L, Johne R (2012) PCR inhibitors—occurrence, properties and removal. J Appl Microbiol 113:1014–1026. https://doi.org/10.1111/j.1365-2672.2012.05384.x
Schwencke J (1991) Rapid, exponential-growth and increased biomass yield of some Frankia strains in buffered and stirred mineral medium (BAP) with phosphatidyl choline. Plant Soil 137:37–41. https://doi.org/10.1007/Bf02187429
Soliveri J, Scheu AK, Hernandez A, Copa-Patino JL, Chater KF (1989) Faster recombinant DNA procedures for Streptomyces. Bio Tech 26:394–396
Tisa L, Mcbride M, Ensign JC (1983) Studies of growth and morphology of Frankia strains EAN1pec, EuI1c, CpI1, and ACN1ag. Can J Bot 61:2768–2773
Tisa LS, Chval MS, Krumholz GD, Richards J (1999) Antibiotic resistance patterns of Frankia strains. Can J Bot 77:1257–1260. https://doi.org/10.1139/cjb-77-9-1257
Van Dessel W, Van Mellaert L, Geukens N, Anné J (2003) Improved PCR-based method for the direct screening of Streptomyces transformants. J Microbiol Methods 53:401–403. https://doi.org/10.1016/s0167-7012(02)00235-x
Xu LH, Tiang YQ, Zhang YF, Zhao LX, Jiang CL (1998) Streptomyces thermogriseus, a new species of the genus Streptomyces from soil, lake and hot-spring. Int J Syst Bacteriol 48:1089–1093. https://doi.org/10.1099/00207713-48-4-1089
Zhang Z, Lopez MF, Torrey JG (1984) A comparison of cultural-characteristics and infectivity of Frankia Isolates from root-nodules of Casuarina species. Plant Soil 78:79–90. https://doi.org/10.1007/Bf02277841
Funding
Partial funding was provided by the New Hampshire Agricultural Experiment Station. This is Scientific Contribution Number 2779. This work was also supported by the USDA National Institute of Food and Agriculture Hatch 022821 (LST), Agriculture and Food Research Initiative Grant 2015-67014-22849 from the USDA National Institute of Food and Agriculture (LST), and the College of Life Science and Agriculture at the University of New Hampshire-Durham.
Author information
Authors and Affiliations
Contributions
CP and VAK designed the study, performed the research, and analysed the data. CP, VAK and LST wrote the paper. All the authors approved the paper.
Corresponding author
Ethics declarations
Conflict of interest
The authors declared that they have no conflict of interest.
Ethical approval
This article does not contain any studies with human participants or animals performed by any of the authors.
Electronic supplementary material
Below is the link to the electronic supplementary material.
Rights and permissions
About this article
Cite this article
Pesce, C., Kleiner, V.A. & Tisa, L.S. Simple colony PCR procedure for the filamentous actinobacteria Frankia. Antonie van Leeuwenhoek 112, 109–114 (2019). https://doi.org/10.1007/s10482-018-1155-0
Received:
Accepted:
Published:
Issue Date:
DOI: https://doi.org/10.1007/s10482-018-1155-0