Abstract
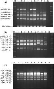
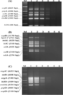
The increased occurrence of Salmonella occurrence in local indigenous vegetables and poultry meat can be a potential health hazards. This study is aimed to detect the prevalence of twenty different virulence factors among Salmonella enterica strains isolated from poultry and local indigenous vegetables in Malaysia via an optimized, rapid and specific multiplex PCR assay. The assay encompasses a total of 19 Salmonella pathogenicity islands genes and a quorum sensing gene (sdiA) in three multiplex reaction sets. A total of 114 Salmonella enterica isolates belonging to 38 different serovars were tested. Each isolate in under this study was found to possess up to 70% of the virulence genes tested and exhibited variable pathogenicity gene patterns. Reproducibility of the multiplex PCR assay was found to be 100% and the detection limit of the optimized multiplex PCR was tested with lowest detectable concentration of DNA 0.8 pg μl−1. This study demonstrated various Salmonella pathogenicity island virulence gene patterns even within the same serovar. This sets of multiplex PCR system provide a fast and reliable typing approach based on Salmonella pathogenicity islands, thus enabling an effective monitoring of emerging pathogenic Salmonella strains as an additional tool in Salmonella surveillance studies.



Similar content being viewed by others
References
Ait Melloul A, Hassani L, Rafouk L (2001) Salmonella contamination of vegetables irrigated with untreated wastewater. J Microbiol Biotechnol 17:207–209
Altier C, Suyemoto M, Lawhon SD (2000) Regulation of Salmonella enterica serovar Typhimurium invasion gene by csrA. Infect Immun 68:6790–6797
Anon (2002) Risk profile on the microbiological contamination of fruits and vegetables eaten raw. Scientific Committee on Food. SCF/CS/FMH/SURF, Brussel
AVRDC (2004) AVRDC report 2003. AVRDC publication number 04-599. AVRDC—The World Vegetable Center, Shanhua, pp 194
Baumler AJ, Tsolis RM, Ficht TA, Adams LG (1998) Evolution of host adaptation in Salmonella enterica. Infect Immun 66:4579–4587
Blanc-Potard AB, Solomon F, Kayser J, Groisman EA (1999) The SPI-3 pathogenicity island of Salmonella enterica. J Bacteriol 181:998–1004
Bohez L, Ducatelle R, Pasmans F, Botteldoorn N, Haesebrouck F, Immerseel FV (2006) Salmonella enterica serovar Enteritidis colonization of the chicken caecum requires the HilA regulatory protein. Vet Microbiol 116:202–210
Brumell JH, Goosney DL, Finlay BB (2002) SifA, a type III secreted effectors of Salmonella typhimurium, directs Salmonella-induced filament (Sif) formation along microtubules. Traffic 3:407–415
Center for Disease Control and Prevention (CDC) (2008) Investigation of outbreak of infections caused by Salmonella Saintpaul. Department of Health and Human Services. Available: URL: http://www.cdc.gov/salmonella/saintpaul/
Courtney S, Mossoba ME, Hammack TS, Keys C, Al-Khaldi SF (2006) Using PCR amplification to increase the confidence level of Salmonella typhimurium DNA microarray chip hybridization. Mol Cell Probes 20:163–171
Elnifro EM, Ashshi AM, Cooper RJ, Klapper PE (2000) Multiple PCR: optimization and application in diagnostic virology. Clin Microbiol Rev 13:559–570
Fierer J, Guiney DG (2001) Diverse virulence traits underlying different clinical outcomes of Salmonella infection. J Clin Invest 107:775–780
Food and Drug Administration (FDA) (2008) Salmonellosis outbreak in certain types of tomatoes. U.S. Department of Health and Human Services. Available: URL: http://www.fda.gov/oc/opacom/hottopics/tomatoes.html
Halatsi K, Oikonomou I, Lambiri M, Mandilara G, Vatopoulos A, Kyriacou A (2006) PCR detection of Salmonella spp. using Primers targeting the quorum sensing gene sdiA. FEMS Microbiol Lett 259:201–207
Hardt W-D, Urlaub H, Galan JE (1998) A substrate of the centisome 63 type III protein secretion system of Salmonella typhimurium is encoded by a cryptic bacteriophage. PNAS 95:2574–2579
Heithoff DM, Shimp WR, Lau PW, Badie G, Enioutina EY, Daynes RA, Byrne BA, House JK, Mahan MJ (2008) Human Salmonella clinical isolates distinct from those of animal origin. Appl Environ Microbiol 74:1757–1766
Hensel M (2004) Evolution of pathogenicity islands of Salmonella enterica. Int J Med Microbiol 294:95–102
Hughes LA, Shopland S, Wigley P, Bradon H, Leatherbarrow AH, Williams NJ, Bennett M, Pinna ED, Lawson B, Cunningham AA, Chantrey J (2008) Characterisation of Salmonella enterica serotype Typhimurium isolates from wild birds in northern England from 2005–2006. BMC Vet Res 4:1–10
Hunter PR (1990) Reproducibility and indices of discriminatory power of microbial typing methods. J Clin Microbiol 28:1903–1905
Jegathesan M, Tee GH, Cheong YM (1993) The pattern of serotypes in Malaysia an aid to epidemiology. In: Travel health: proceedings of the world congress on tourist medicine and health, Singapore. Asia Pacific Travel Health Association, pp. 269–282
Jofré A, Martin B, Garriga M, Hugas M, Pla M, Rodríguez-Lázaro D, Aymerich T (2005) Simultaneously detection of Listeria monocytogenes and Salmonella by multiplex PCR in cooked ham. Int J Food Microbiol 22:109–115
Klein JR, Fahlen TF, Jones BD (2000) Transcriptional organization and function of invasion genes within Salmonella enterica serovar Typhimurium pathogenicity island 1, including the prgH, prgI, prgJ, prgK, orgA, orgB, and orgC genes. Infect Immun 68:3368–3376
Lee AK, Detweiler CS, Falkow S (2000) OmpR regulates the two-component system SsrA-SsrB in Salmonella pathogenicity island 2. J Bacteriol 182:771–781
Lim S, Jung J, Kim D (2007) The effect of γ radiation on the expression of the virulence genes of Salmonella typhimurium and Vibrio spp. Radiat Phys Chem 76:1763–1766
Lostroh CP, Lee CA (2001) The Salmonella pathogenicity island-1 type III secretion system. Microb Infect 3:1281–1291
Marcus SL, Brumell JH, Pfeifer CG, Finlay BB (2000) Salmonella pathogenicity islands: big virulence in small packages. Microb Infect 2:145–156
Mastropeni P, Maskell D (2006) Salmonella infections: clinical, immunological and molecular aspects. Cambridge University Press, Cambridge, pp 89–90
Mirold S, Rabsch W, Rohde M, Stender S, Tschape H, Russmann H, Igwe E, Hardt WD (1999) Isolation of a temperate bacteriophage encoding the type III effector protein SopE from an epidemic Salmonella typhimurium strain. PNAS 96:9845–9850
Noorzaleha AS, Gulam R, Zaiton H, Abdul R, Siti HI, Nishibuchi M, Son R (2003) Incidence of Salmonella spp. in raw vegetables in Selangor, Malaysia. Food Control 14:475–479
Pathmanathan SG, Cardona-Castro N, Sánchez-Jiménez MM, Correa-Ochoa MM, Puthucheary SD, Thong KL (2003) Simple and rapid detection of Salmonella strains by direct PCR amplification of the hilA gene. J Med Microbiol 52:773–776
Prager R, Rabsch W, Streckel W, Voigt W, Tietze E, Tschäpe H (2003) Molecular properties of Salmonella enterica serotype paratyphi B distinguish between its systemic and its enteric pathovars. J Clin Microbiol 41:4270–4278
Rusul G, Khair J, Son R, Cheah CT, Yassin RM (1996) Prevalence of Salmonella in broilers at retail outlets, processing plants and farms in Malaysia. Int J Food Microbiol 33:183–194
Sahilah AM, Son R, Rusul G, Samuel L, Hassan Z, Lum KY, Ahmad MA (2000) Molecular typing of Salmonella weltevreden and Salmonella chincol by pulse-field gel electrophoresis (PFGE) and enterobacterial repetitive intergenic consensus-polymerase chain reaction (ERIC-PCR). World J Microbiol Biotechnol 16:621–624
Salama NR, Falkow S (1999) Genomic clues for defining bacterial pathogenicity. Microb Infect 1:615–619
Shea JE, Hensel M, Gleeson C, Holden DW (1996) Identification of a virulence locus encoding a second type III secretion system in Salmonella typhimurium. PNAS 93:2593–2597
Son R, Ansary A, Salmah I, Maznah A (1995) Survey of plasmids and resistance factors among veterinary isolates of Salmonella enteriditis in Malaysia. World J Microbiol Biotechnol 11:315–318
Soumet C, Ermel G, Rose N, Drouin P, Salvant G, Colin P (1999) Identification by a multiplex PCR-based assay of Salmonella Typhimurium and Salmonella Enteriditis strains from environmental swabs of poultry houses. Lett Appl Microbiol 29:1–6
Streckel W, Wolff A-C, Prager R, Tietze E, Tschäpe H (2004) Expression profiles of effector protein SopB, SopD1, SopE1, and AvrA differ with systemic, enteric, and epidemic strains of Salmonella enterica. Mol Nutr Food Res 48:496–503
Thong KL, Goh YL, Noorzaleha S, Yasin R, Koh YT, Lim VKE, Rusul G (2002) Genetic diversity of clinical and environmental strains of Salmonella enterica serotype Weltevreden isolated in Malaysia. J Clin Microbiol 40:2498–2503
Thong KL, Hoe SLL, Puthucheary S, Yasin RM (2005) Detection of virulence genes in Malaysian Shigella species by multiplex PCR assay. BMC Infect Dis 5:1–7
Trafny EA, Kozlowska K, Szpakowska M (2006) A novel multiplex PCR assay for the detection of Salmonella enterica serovar Enteriditis in human faeces. Lett Appl Microbiol 43:673–679
Uzzau S, Brown DJ, Wallis T, Rubino S, Leori G, Bernard S, Casadesus J, Platt DJ, Olsen JE (2000) Host adapted serotypes of Salmonella enterica. Epidemiol Infect 125:229–255
Walters M, Sperandio V (2006) Quorum sensing in Escherichia coli and Salmonella. Int J Med Microbiol 296:125–131
Yee CF, Ayob MK (1994) Isolation and identification of Salmonella spp. from some local food products. Trop Biomed 11:53–60
Yoke-Kqueen C, Noorzaleha AS, Learn-Han L, Son R, Sabrina S, Jiun-Horng S (2008) Comparison of PCR fingerprinting techniques for the discrimination of Salmonella enterica subsp. enterica serovar Weltevreden isolated from indigenous vegetables in Malaysia. World J Microbiol Biotechnol 24:327–335
Zhang S, Santos RL, Tsolis RM, Stencer S, Hardt WD, Bäumler AJ, Adams LG (2002) SipA, SopA, SopB, SopD, and SopE2 act in concert to induce diarrhea in calves infected with Salmonella enterica serovar Typhimurium. FEMS Microbiol Lett 70:3843–3855
Acknowledgments
The authors thank the Department of Chemistry, Malaysia for collaboration and providing the Salmonella isolates in this study. This study was supported by Fundamental Research Grant Scheme (04-01-07-098) provided from the Ministry of Higher Education, Malaysia.
Author information
Authors and Affiliations
Corresponding author
Rights and permissions
About this article
Cite this article
Khoo, CH., Cheah, YK., Lee, LH. et al. Virulotyping of Salmonella enterica subsp. enterica isolated from indigenous vegetables and poultry meat in Malaysia using multiplex-PCR. Antonie van Leeuwenhoek 96, 441–457 (2009). https://doi.org/10.1007/s10482-009-9358-z
Received:
Accepted:
Published:
Issue Date:
DOI: https://doi.org/10.1007/s10482-009-9358-z


