Skip to main content

Cardiac Multi-detector CT Segmentation Based on Multiscale Directional Edge Detector and 3D Level Set

Abstract

Extraction of the cardiac surfaces of interest from multi-detector computed tomographic (MDCT) data is a pre-requisite step for cardiac analysis, as well as for image guidance procedures. Most of the existing methods need manual corrections, which is time-consuming. We present a fully automatic segmentation technique for the extraction of the right ventricle, left ventricular endocardium and epicardium from MDCT images. The method consists in a 3D level set surface evolution approach coupled to a new stopping function based on a multiscale directional second derivative Gaussian filter, which is able to stop propagation precisely on the real boundary of the structures of interest. We validated the segmentation method on 18 MDCT volumes from healthy and pathologic subjects using manual segmentation performed by a team of expert radiologists as gold standard. Segmentation errors were assessed for each structure resulting in a surface-to-surface mean error below 0.5 mm and a percentage of surface distance with errors less than 1 mm above 80%. Moreover, in comparison to other segmentation approaches, already proposed in previous work, our method presented an improved accuracy (with surface distance errors less than 1 mm increased of 8–20% for all structures). The obtained results suggest that our approach is accurate and effective for the segmentation of ventricular cavities and myocardium from MDCT images.

This is a preview of subscription content, access via your institution.

Figure 1
Figure 2
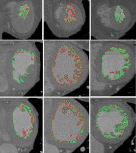
Figure 3
Figure 4
Figure 5
Figure 6
Figure 7

Abbreviations

O :

Original MDCT volume

t :

Number of iterations

c :

Conductance parameter

U :

Membership function matrix

C :

Number of classes

q i :

Pixel to be processed

i :

Pixel counts (1 to N)

l :

Counts of the classes

v l :

Cluster centroids

V :

Vector of the cluster centroids (v l)

w :

Weighting exponent

I :

Anisotropic filtered MDCT volume

M :

Mean of intensity

\( \sigma \) :

Standard deviation

r :

Constant value that controls the capture range

as :

Alpha shape constant of the concave hull algorithm

\( \phi 1 \) :

Level set function of the first propagation

\( \phi 2 \) :

Level set function of the second propagation

g 1 :

Stopping function of the first propagation

g 2 :

Stopping function of the second propagation

p 1 :

Propagation constant of the first evolution

p 2 :

Propagation constant of the second evolution

a 2 :

Advection constant of the second evolution

R :

Rotational matrix

b θ :

Directional filter

\( B^{\varTheta } \) :

Battery of 6 directional filters (b θ) in 6 different directions \( \left\{ {0,\frac{\pi }{6},\frac{\pi }{3},\frac{\pi }{2},\frac{2\pi }{3},\frac{5\pi }{6}} \right\} \)

\( j_{z}^{\theta } \) :

Result of filtering each slice with b θ

J z :

Image containing in each pixel (x,y) the maximum value in that position among the 6 directions \( \left\{ {0,\frac{\pi }{6},\frac{\pi }{3},\frac{\pi }{2},\frac{2\pi }{3},\frac{5\pi }{6}} \right\} \) of j θ z

References

  1. Antunes, S., J. S. Silva, J. B. Santos, P. Martins, and E. Castela. Phase symmetry approach applied to children heart chambers segmentation: a comparative study. IEEE Trans. Biomed. Eng. 58:2264–2271, 2011.

    Article  Google Scholar 

  2. Antunes, S., D. Tresoldi, C. Colantoni, A. Palmisano, A. Esposito, S. Colombo, G. Maccabelli, P. della Bella, S. Cerutti, and G. Rizzo. Multi-parametric model of the heart from CT images to guide ventricular tachycardia ablation. In: Proceedings of IEEE Computers in Cardiology (CinC), 2013, pp. 831–834.

  3. Appia, V. and A. Yezzi. Active geodesics: region-based active contour segmentation with a global edge-based constraint. In: 2011 IEEE International Conference on Computer Vision (ICCV), 2011, pp. 1975–1980.

  4. Bezdek, J. C., R. Ehrlich, and W. Full. FCM: the fuzzy c-means clustering algorithm. Comput. Geosci. 10:191–203, 1984.

    Article  Google Scholar 

  5. Caselles, V., R. Kimmel, and G. Sapiro. Geodesic active contours. Int. J. Comput. Vis. 22:61–79, 1995.

    Article  Google Scholar 

  6. Chakraborty, A., L. H. Staib, and J. S. Duncan. Deformable boundary finding in medical images by integrating gradient and region information. IEEE Trans. Med. Imaging 15:859–870, 1996.

    CAS  Article  PubMed  Google Scholar 

  7. Coche, E., M. J. Walker, F. Zech, R. de Crombrugghe, and A. Vlassenbroek. Quantitative right and left ventricular functional analysis during gated whole-chest MDCT: a feasibility study comparing automatic segmentation to semi-manual contouring. Eur. J. Radiol. 74:138–143, 2010.

    Article  Google Scholar 

  8. Ecabert, O., J. Peters, H. Schramm, C. Lorenz, J. von Berg, M. J. Walker, M. Vembar, M. E. Olszewski, K. Subramanyan, G. Lavi, and J. Weese. Automatic model-based segmentation of the heart in CT images. IEEE Trans. Med. Imaging 27(9):1189–1201, 2008.

    Article  PubMed  Google Scholar 

  9. Ecabert, O., J. Peters, M. J. Walker, T. Ivanc, C. Lorenz, J. von Berg, J. Lessick, M. Vembar, and J. Weese. Segmentation of the heart and great vessels in CT images using a model-based adaptation framework. Med. Image Anal. 15:863–876, 2011.

    Article  PubMed  Google Scholar 

  10. Freling, H. G., K. van Wijk, K. Jaspers, P. G. Pieper, K. M. Vermeulen, J. M. van Swieten, and T. P. Willems. Impact of right ventricular endocardial trabeculae on volumes and function assessed by CMR in patients with tetralogy of Fallot. Int. J. Cardiovasc. Imaging 29:625–631, 2013.

    Article  PubMed  Google Scholar 

  11. He, L., Z. Peng, B. Everding, X. Wang, C. Y. Han, K. L. Weiss, and W. G. Wee. A comparative study of deformable contour methods on medical image segmentation. Image Vis. Comput. 26(2):141–163, 2008.

    Article  Google Scholar 

  12. Heimann, T., B. van Ginneken, M. A. Styner, Y. Arzhaeva, V. Aurich, C. Bauer, A. Beck, C. Becker, R. Beichel, G. Bekes, F. Bello, G. Binnig, H. Bischof, A. Bornik, P. M. M. Cashman, Y. Chi, A. Cordova, B. M. Dawant, M. Fidrich, J. D. Furst, D. Furukawa, L. Grenacher, J. Hornegger, D. Kainmueller, R. I. Kitney, H. Kobatake, H. Lamecker, T. Lange, J. Lee, B. Lennon, R. Li, S. Li, H. Meinzer, G. Nemeth, D. S. Raicu, A. Rau, E. M. van Rikxoort, M. Rousson, L. Rusko, K. A. Saddi, G. Schmidt, D. Seghers, A. Shimizu, P. Slagmolen, E. Sorantin, G. Soza, R. Susomboon, J. M. Waite, A. Wimmer, and I. Wolf. Comparison and evaluation of methods for liver segmentation from CT datasets. IEEE Trans. Med. Imaging 28:1251–1265, 2009.

    Article  PubMed  Google Scholar 

  13. Kang, D., J. Woo, P. J. Slomka, D. Dey, G. Germano, and C. J. Kuo. Heart chambers and whole heart segmentation techniques: review. J. Electron. Imaging 21:010901-1, 2012.

    Article  Google Scholar 

  14. Kaus, M. R., J. V. Berg, J. Weese, W. Niessen, and V. Pekar. Automated segmentation of the left ventricle in cardiac MRI. Med. Image Anal. 8:245–254, 2004.

    Article  PubMed  Google Scholar 

  15. Lucas, B. C., M. Kazhdan, and R. H. Taylor. Multi-object spring level sets (MUSCLE). In: Medical Image Computing and Computer-Assisted Intervention—MICCAI 2012. New York: Springer, 2012, pp. 495–503.

  16. Lynch, M., O. Ghita, and P. F. Whelan. Automatic segmentation of the left ventricle cavity and myocardium in MRI data. Comput. Biol. Med. 36:389–407, 2006.

    CAS  Article  PubMed  Google Scholar 

  17. Malladi, R., J. A. Sethian, and B. C. Vemuri. Shape modeling with front propagation: a level set approach. IEEE Trans. Pattern Anal. Mach. Intell. 17:158–175, 1995.

    Article  Google Scholar 

  18. Marrouche, N. F. and G. R. Vergara. MRI/CCT fusion into fluoroscopic imaging. In: Cardiac Imaging in Electrophysiology. New York: Springer, 2012, pp. 295–298.

  19. McInerney, T., and D. Terzopoulos. Deformable models in medical image analysis: a survey. Med. Image Anal. 1:91–108, 1996.

    CAS  Article  PubMed  Google Scholar 

  20. Mukhopadhyay, A., Z. Qian, S. M. Bhandarkar, T. Liu, S. Rinehart, and S. Voros. Morphological analysis of the left ventricular endocardial surface and its clinical implications. In: Medical Image Computing and Computer-Assisted Intervention, MICCAI 2012. Berlin: Springer, 2012, pp. 502–510.

  21. Noble, J. A., and D. Boukerroui. Ultrasound image segmentation: a survey. IEEE Trans. Med. Imaging 25:987–1010, 2006.

    Article  PubMed  Google Scholar 

  22. Paragios, N. A variational approach for the segmentation of the left ventricle in cardiac image analysis. Int. J. Comput. Vis. 50:345–362, 2002.

    Article  Google Scholar 

  23. Perona, P., and J. Malik. Scale-space and edge-detection using anisotropic diffusion. IEEE Trans. Pattern Anal. Mach. Intell. 12:629–639, 1990.

    Article  Google Scholar 

  24. Peters, J., O. Ecabert, C. Meyer, R. Kneser, and J. Weese. Optimizing boundary detection via simulated search with applications to multi-modal heart segmentation. Med. Image Anal. 14:70–84, 2010.

    CAS  Article  PubMed  Google Scholar 

  25. Peters, J., J. Lessick, R. Kneser, I. Wächter, M. Vembar, O. Ecabert, and J. Weese. Accurate segmentation of the left ventricle in computed tomography images for local wall thickness assessment. In: Medical Image Computing and Computer-Assisted Intervention—MICCAI 2010. Berlin: Springer, 2010, pp. 400–408.

  26. Petitjean, C., and J. Dacher. A review of segmentation methods in short axis cardiac MR images. Med. Image Anal. 15:169–184, 2011.

    Article  PubMed  Google Scholar 

  27. Piers, S. R. D., C. F. B. V. H. van Taxis, Q. Tao, R. J. van der Geest, S. F. Askar, H. J. Siebelink, M. J. Schalij, and K. Zeppenfeld. Epicardial substrate mapping for ventricular tachycardia ablation in patients with non-ischaemic cardiomyopathy: a new algorithm to differentiate between scar and viable myocardium developed by simultaneous integration of computed tomography and contrast-enhanced magnetic resonance imaging. Eur. Heart J. 34:586–596, 2013.

    CAS  Article  PubMed  Google Scholar 

  28. Somkantha, K., N. Theera-Umpon, and S. Auephanwiriyakul. Boundary detection in medical images using edge following algorithm based on intensity gradient and texture gradient features. IEEE Trans. Biomed. Eng. 58:567–573, 2011.

    Article  PubMed  Google Scholar 

  29. Varma, M., and A. Zisserman. A statistical approach to texture classification from single images. Int. J. Comput. Vis. 62:61–81, 2005.

    Article  Google Scholar 

  30. Whitaker, R. T. and X. Xue. Variable-conductance, level-set curvature for image denoising. In: IEEE International Conference on Image Processing, vol. 3, 2001, pp. 142–145.

  31. Zhu, L., Y. Gao, V. Appia, A. Yezzi, C. Arepalli, T. Faber, A. Stillman, and A. Tannenbaum. A complete system for automatic extraction of left ventricular myocardium from CT images using shape segmentation and contour evolution. IEEE Trans. Image Process. 23(3):1340–1351, 2014.

    Article  PubMed Central  Google Scholar 

Download references

Acknowledgements

The work was partially supported by the Italian Ministry of Health GR-2009-1594705. Sofia Antunes is grateful to the Portuguese Foundation for Science and Technology (FCT) by generous funding through the Grant SFRH/BD/69488/2010.

Author information

Affiliations

Authors

Corresponding author

Correspondence to Sofia Antunes.

Additional information

Associate Editor Joel D. Stitzel oversaw the review of this article.

Appendix

Appendix

Implementation Details

In the following is the list of classes, with brief descriptions, that we used within our method within Python:

Preprocessing

  • Curvature anisotropic diffusion image filter function from the ITK library was used to compute anisotropic filtering, in order to enhance the local properties of MDCT volumes.

Initialization of the Segmentation Algorithm

  • Scikit-fuzzy toolkit for the Fuzzy C Mean algorithm implementation.

  • Skeletonize function from Scikit-image toolkit for the skeletonization and point extraction.

  • Confidence connected image filter implementation of ITK was used to obtain the initial rough segmentation from the seeds extracted in the previously point.

The 3D Level Set Algorithm

  • Geodesic active contour image filter function from ITK was used for the surface GAC evolution approach.

  • Numpy and Scipy packages were used to implement the multiscale and directional stopping function g that was given in input to the previously point.

Final Processing

  • 3d alpha shape function from the CGAL library was used to implement the Convex and Concave Hull (Table 4).

    Table 4 Optimal parameters setting for the three cardiac structures.

Rights and permissions

Reprints and Permissions

About this article

Verify currency and authenticity via CrossMark

Cite this article

Antunes, S., Esposito, A., Palmisano, A. et al. Cardiac Multi-detector CT Segmentation Based on Multiscale Directional Edge Detector and 3D Level Set. Ann Biomed Eng 44, 1487–1501 (2016). https://doi.org/10.1007/s10439-015-1422-4

Download citation

  • Received:

  • Accepted:

  • Published:

  • Issue Date:

  • DOI: https://doi.org/10.1007/s10439-015-1422-4

Keywords

  • Cardiac segmentation
  • Level set
  • Edge detection
  • Filter bank