Skip to main content

Histopathological findings of nonalcoholic fatty liver disease and nonalcoholic steatohepatitis

Abstract

Nonalcoholic fatty liver disease (NAFLD) is based on the concept of pathological morphology as well as clinical findings, and is broadly categorized into nonalcoholic fatty liver (NAFL) and nonalcoholic steatohepatitis (NASH). The differential diagnosis between NAFL and NASH is important because NASH has the potential to progress to cirrhosis and hepatocellular carcinoma. NAFL is simple hepatic steatosis without hepatocellular injury, while NASH is characterized by macrovesicular steatosis, inflammation, and ballooning hepatocytes with a predominantly centrilobular (zone 3) distribution. Liver biopsy is a useful test for diagnosing NAFLD, but it is invasive. Therefore, various noninvasive methods including diagnostic imaging have been developed in recent years. To verify their usefulness, it is necessary to clarify in detail how the pathological findings are reflected in the image findings as imaging and histopathological findings are closely related. We describe the main histological features of NAFLD, i.e., steatosis, inflammation, ballooning hepatocytes, Mallory-Denk bodies, and fibrosis, as well as the evolutional process to liver cirrhosis.

This is a preview of subscription content, access via your institution.

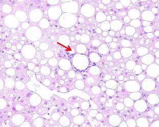
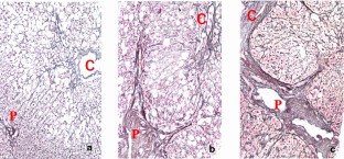
Fig. 1
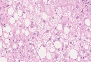
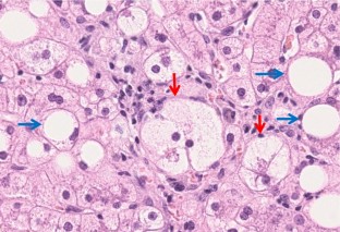
Fig. 2
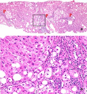
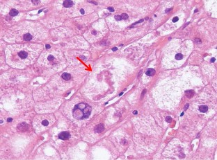
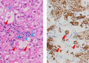
Fig. 3
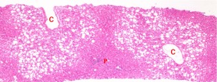
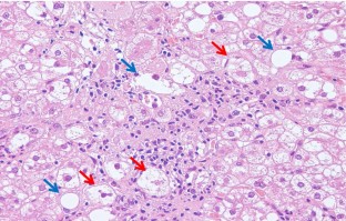
Fig. 4
Fig. 5
Fig. 6
Fig. 7
Fig. 8
Fig. 9
Fig. 10
Fig. 11

References

  1. Younossi ZM, Koenig AB, Abdelatif D, et al. Global epidemiology of nonalcoholic fatty liver disease-Meta-analytic assessment of prevalence, incidence, and outcomes. Hepatology. 2016;64:73–84.

    Article  Google Scholar 

  2. Chalasani N, Younossi Z, Lavine JE, et al. The diagnosis and management of disease: practice Guideline by the American Association for the Study of Liver Diseases. Am College Gastroenterol Assoc Hepatol. 2018;67:328–57.

    Google Scholar 

  3. Ludwig J, Viggiano TR, McGill DB, Oh BJ. Nonalcoholic steatohepatitis: mayo clinic experiences with a hitherto unnamed disease. Mayo ClinProc. 1980;55:434–8.

    CAS  Google Scholar 

  4. Matteoni CA, Younssi ZM, Gramlich T, et al. Non nonalcoholic fatty liver disease: a spectrum of clinical and pathological severity. Gastroenterology. 1999;116:1413–9.

    CAS  Article  Google Scholar 

  5. Hashimoto E, Tokushige K, Ludwig J. Diagnosis and classification of non-alcoholic steatohepatitis: current concepts and remaining challenges. Hepatol Res. 2015;45:20–8.

    Article  Google Scholar 

  6. Kuwashiro T, Takahashi H, Hyogo H, et al. Discordant pathological diagnosis of non-alcoholic fatty liver disease: a prospective multicenter study. JGH. 2020;4:497–502.

    Article  Google Scholar 

  7. Gambino RG, Cassader M, Pagono G. Meta-analysis: Natural history of non-alcoholic fatty liver disease (NAFLD) and diagnostic accuracy of non-invasive tests for liver disease accuracy severity. Ann Med. 2011;43:617–49.

    Article  Google Scholar 

  8. Cassinoto C, Boursier J, Ledinghen V, et al. (2016) Liver stiffness in nonalcoholic fatty liver disease: a comparison of supersonic shear imaging, FibroScan and ARFI with liver biopsy. Hepatology. 2016;63:1817–27.

    Article  Google Scholar 

  9. Oeda S, Takahashi H, Imajo K, et al. Accuracy of liver stiffness measurement and controlled attenuation parameter using FibroScan M/XL probes to diagnose liver fibrosis and steatosis in patients with nonalcoholic fatty liver disease: a multicenter prospective study. J Gastoenterol. 2020;55:428–40.

    CAS  Article  Google Scholar 

  10. Tada T, Iijima H, Kobayashi N, et al. Usefulness of attenuation imaging with an ultrasound saner for the evaluation of hepatic steatosis. Ultrasound Med Biol. 2019;45:2679–87.

    Article  Google Scholar 

  11. Vuppalanchi R, Siddiqui MS, Van Natta ML, et al. Performance characteristics of vibration-controled transient elastography for evaluation of nonalcoholic fatty liver disease. Hepatology. 2018;67:134–44.

    Article  Google Scholar 

  12. Noureddin M, Lam J, Peterson MR, et al. Utility of magnetic resonance imaging versus histology for quantifying changes in liver fat in nonalcoholic fatty liver disease trials. Hepatology. 2013;58:1930–40.

    CAS  Article  Google Scholar 

  13. Imajo K, Kessoku T, Honda Y, et al. Magnetic resonance imaging more accurately classifies steatosis and fibrosis in patients with nonalcoholic fatty liver disease than transient elastography. Gastroenterology. 2016;150:626–37.

    Article  Google Scholar 

  14. Brunt EM, Janney CG, Di Bisceglie AM, et al. Nonalcoholic steatohepatitis: a proposal for grading and staging the histological lesions. Am J Gastroenterol. 1999;94:2467–74.

    CAS  Article  Google Scholar 

  15. Kleiner DE, Brunt EM, Van Natta M, et al. Design and validation of a histological scoring system for nonalcoholic fatty liver disease. Hepatology. 2005;41:1313–21.

    Article  Google Scholar 

  16. Brunt EM, Kleiner DE, Laura W, et al. Portal chronic inflammation in nonalcoholic fatty liver (NAFLD): a histologic marker of advanced NAFLD-Clinicopathologic correlations from the nonalcoholic steatohepatitis clinical research network. Hepatology. 2009;49:809–20.

    Article  Google Scholar 

  17. Sakamoto M, Tsujikawa H, Effendi K, et al. Pathological findings of nonalcoholic steatohepatitis and nonalcoholic fatty liver disease. Pathol Int. 2017;67:1–7.

    Article  Google Scholar 

  18. Younossi ZM, Stepanova M, Rafiq N, et al. Pathologic criteria for nonalcoholic steatohepatitis; inter-protocol agreement and ability to predict liver-related mortality. Hepatopoly. 2011;53:1874–82.

    Article  Google Scholar 

  19. Sanyal AJ, Brunt EM, Kleiner DE, et al. End points and clinical trial design for nonalcoholic steatohepatitis. Hepatology. 2011;54:344–53.

    Article  Google Scholar 

  20. Zatloukal K, Denk H, Stumptner C, et al. From Mallory to Mallory-Denk inclusion bodies: what, how and why? Exp Cell Res. 2007;313:2033–49.

    CAS  Article  Google Scholar 

  21. Diehl AM, Goodman Z, Ishak KG. Alcohol-like liver disease in nonalcoholics. A clinical and histologic comparison with alcohol-induced liver injury. Gastroentelology. 1948;95:1056–62.

    Article  Google Scholar 

  22. Angulo P, Kleiner DE, Dam-Larsen S, et al. Liver fibrosis, but no other histologic features, is associated with long-term outcomes of patients with nonalcoholic fatty liver diseases. Gastroenterology. 2015;149:389–97.

    Article  Google Scholar 

  23. Latry P, Bioulac-Sage P, Echinard E, et al. Perisinusoidal fibrosis and basement membrane-like material in the livers of diabetic patients. Hum Pathol. 1987;18:775–80.

    CAS  Article  Google Scholar 

  24. Itoh S, Yougel T, Kawagoe K. Comparison between nonalcoholic steatohepatitis and alcoholic hepatitis. Am J Gastroenterol. 1987;82:650–4.

    CAS  PubMed  Google Scholar 

Download references

Author information

Affiliations

Authors

Corresponding author

Correspondence to Masayoshi Kage.

Ethics declarations

Conflict of interest

The authors declare that there is no conflict of interest.

Ethical standards

All procedures followed were in accordance with the ethical standards of the responsible committee on human experimentation (institutional and national) and with the Helsinki Declaration of 1964 and later versions.

Additional information

Publisher's Note

Springer Nature remains neutral with regard to jurisdictional claims in published maps and institutional affiliations.

About this article

Verify currency and authenticity via CrossMark

Cite this article

Kage, M., Aishima, S., Kusano, H. et al. Histopathological findings of nonalcoholic fatty liver disease and nonalcoholic steatohepatitis. J Med Ultrasonics 47, 549–554 (2020). https://doi.org/10.1007/s10396-020-01061-3

Download citation

  • Received:

  • Accepted:

  • Published:

  • Issue Date:

  • DOI: https://doi.org/10.1007/s10396-020-01061-3

Keywords

  • Nonalcoholic fatty liver
  • Nonalcoholic steatohepatitis
  • Liver pathology