Abstract
Purpose
To study the diastolic functions using color Doppler M-mode (CDMM) for noninvasive analysis of the intraventricular pressure difference (IVPD) in diabetic rats.
Methods
Two equal groups of rats were included: control and streptozotocin-induced DM (n = 15). The cardiac functions were examined monthly using conventional echocardiography and CDMM with a specific MATLAB software. Echocardiography was performed under 2% isoflurane mask inhalation. Five months thereafter, all rats were killed for macroscopic and microscopic examinations of the cardiac fibrosis.
Results
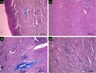
DM rats showed higher systolic blood pressure and diastolic dysfunction, i.e., decreases in several parameters such as E, E/A, TDIs, and IVPDs, compared to the controls. Moreover, obvious cardiac fibrosis was seen in perivascular and interstitial tissues, but there were no notable differences in terms of gross lesions.
Conclusions
Because of the noninvasive nature of CDMM, IVPD and other conventional echocardiographic parameters can be used as reliable indicators generally for evaluating cardiac function and particularly the change in intraventricular pressure.



References
Domanski M, Krause-Steinrauf H, Deedwania P, et al. The effect of diabetes on outcomes of patients with advanced heart failure in the BEST trial. J Am Coll Cardiol. 2003;42:914–22.
Rubler S, Dlugash J, Yuceoglu YZ, et al. New type of cardiomyopathy associated with diabetic glomerulosclerosis. Am J Cardiol. 1972;30:595–602.
Voulgari C, Papadogiannis D, Tentolouris N. Diabetic cardiomyopathy: from the pathophysiology of the cardiac myocytes to current diagnosis and management strategies. Vasc Health Risk Manag. 2010;6:883–903.
Watson LE, Sheth M, Denyer RF, et al. Baseline echocardiographic values for adult male rats. J Am Soc Echocardiogr. 2004;17:161–7.
Greenberg NL, Vandervoort PM, Firstenberg MS, et al. Estimation of diastolic intraventricular pressure gradients by Doppler M-mode echocardiography. Am J Physiol Heart Circ Physiol. 2001;280:H2507–H25152515.
Firstenberg M, Smedira N, Greenberg N, et al. Relationship between early diastolic intraventricular pressure gradients, an index of elastic recoil, and improvements in systolic and diastolic function. Circulation. 2001;104:I330–I33535.
Thomas JD, Popovic ZB. Intraventricular pressure differences: a new window into cardiac function. Circulation. 2005;112:1684–6.
Schiller NB, Shah PM, Crawford M, et al. Recommendations for quantitation of the left ventricle by two-dimensional echocardiography. American society of echocardiography committee on standards, subcommittee on quantitation of two-dimensional echocardiograms. J Am Soc Echocardiogr. 1989;2:358–67.
Ono K, Masuyama T, Yamamoto K, et al. Echo doppler assessment of left ventricular function in rats with hypertensive hypertrophy. J Am Soc Echocardiogr. 2002;15:109–17.
Nazar CMJ. Mechanism of hypertension in diabetic nephropathy. J Nephropharmacol. 2014;3:49–55.
Banach M, Aronow WS. Blood pressure j-curve: current concepts. Curr Hypertens Rep. 2012;14:556–66.
Leese GP, Savage MW, Chattington PD, et al. The diabetic patient with hypertension. Postgrad Med J. 1996;72:263.
Han JH, Han JS, Kim EJ, et al. Diastolic dysfunction is an independent predictor of cardiovascular events in incident dialysis patients with preserved systolic function. PLoS ONE. 2015;10:e0118694.
Nagueh SF, Smiseth OA, Appleton CP, et al. Recommendations for the evaluation of left ventricular diastolic function by echocardiography: an update from the American society of echocardiography and the European association of cardiovascular imaging. J Am Soc Echocardiogr. 2016;29:277–314.
Skardal K, Espe EK, Zhang L, et al. Three-directional evaluation of mitral flow in the rat heart by phase-contrast cardiovascular magnetic resonance. PLoS ONE. 2016;11:e0150536.
Yamakado T, Takagi E, Okubo S, et al. Effects of aging on left ventricular relaxation in humans. Analysis of left ventricular isovolumic pressure decay. Circulation. 1997;95:917–23.
Baldi JC, Aoina JL, Whalley GA, et al. The effect of type 2 diabetes on diastolic function. Med Sci Sports Exerc. 2006;38:1384–8.
Bergerot C, Davidsen ES, Amaz C, et al. Diastolic function deterioration in type 2 diabetes mellitus: predictive factors over a 3-year follow-up. Eur Heart J Cardiovasc Imaging. 2018;19:67–73.
Mochizuki Y, Tanaka H, Matsumoto K, et al. Impact of left ventricular longitudinal functional mechanics on the progression of diastolic function in diabetes mellitus. Int J Cardiovasc Imaging. 2017;33:1905–14.
Tabako S, Harada M, Sugiyama K, et al. Association of left ventricular myocardial dysfunction with diabetic polyneuropathy. J Med Ultrason. 2001;2019(46):69–79.
Brunvand L, Fugelseth D, Stensaeth KH, et al. Early reduced myocardial diastolic function in children and adolescents with type 1 diabetes mellitus a population-based study. BMC Cardiovasc Disord. 2016;16:103.
Kosmala W, Kucharski W, Przewlocka-Kosmala M, et al. Comparison of left ventricular function by tissue Doppler imaging in patients with diabetes mellitus without systemic hypertension versus diabetes mellitus with systemic hypertension. Am J Cardiol. 2004;94:395–9.
Saponaro F, Sonaglioni A, Rossi A, et al. Improved diastolic function in type 2 diabetes after a six month liraglutide treatment. Diabetes Res Clin Pract. 2016;118:21–8.
Ohara T, Niebel CL, Stewart KC, et al. Loss of adrenergic augmentation of diastolic intra-LV pressure difference in patients with diastolic dysfunction: evaluation by color M-mode echocardiography. JACC Cardiovasc Imaging. 2012;5:861–70.
Shigemitsu S, Takahashi K, Yazaki K, et al. New insight into the intraventricular pressure gradient as a sensitive indicator of diastolic cardiac dysfunction in patients with childhood cancer after anthracycline therapy. Heart Vessels. 2019;34:992–1001.
Yamamoto Y, Takahashi K, Takemoto Y, et al. Evaluation of myocardial function according to early diastolic intraventricular pressure difference in fetuses. J Am Soc Echocardiogr. 2017;30:1130–7 (e1).
Matsuura K, Shiraishi K, Sato K, et al. Left ventricular vortex and intraventricular pressure difference in dogs under various loading conditions. Am J Physiol Heart Circ Physiol. 2019;316:H882–H88888.
Popovic ZB, Richards KE, Greenberg NL, et al. Scaling of diastolic intraventricular pressure gradients is related to filling time duration. Am J Physiol Heart Circ Physiol. 2006;291:H762–H769769.
Acknowledgements
We would like to thank the toxicology laboratory members for sectioning and staining tissue, and the members of Juntendo University for analyzing the IVPD.
Author information
Authors and Affiliations
Corresponding author
Ethics declarations
Conflict of interest
The authors report no relationships that could be construed as a conflict of interest.
Animal rights statement
All procedures and protocols used in this experiment were performed and approved in accordance with the standard guidelines described in “Guide for the Care and Use of Laboratory Animals” of Tokyo University of Agriculture and Technology (Approval number: 29-79).
Additional information
Publisher's Note
Springer Nature remains neutral with regard to jurisdictional claims in published maps and institutional affiliations.
About this article
Cite this article
Kitpipatkun, P., Matsuura, K., Shimada, K. et al. Key factors of diastolic dysfunction and abnormal left ventricular relaxation in diabetic rats. J Med Ultrasonics 47, 347–356 (2020). https://doi.org/10.1007/s10396-020-01021-x
Received:
Accepted:
Published:
Issue Date:
DOI: https://doi.org/10.1007/s10396-020-01021-x