Skip to main content

Prognosis of patients with diabetic macular edema before Japanese approval of anti-vascular endothelial growth factor

Abstract

Purpose

To examine the prognosis of patients with diabetic macular edema (DME) before Japanese approval of antivascular endothelial growth factor (VEGF).

Methods

This retrospective study included 135 eyes of 115 patients who received treatments (photocoagulation, pharmacological treatments, vitrectomy) for DME between January 2003 and August 2012. The best-corrected visual acuity (BCVA) before and 1, 3, 6, 12, and 24 months after treatment was examined. BCVA was classified based on the decimal value of BCVA before treatment as good (BCVA > 0.7, BCVA = 0.7), moderate (BCVA > 0.7 but <0.2), or poor (BCVA < 0.2, BCVA = 0.2), and each prognosis of BCVA was investigated.

Results

Thirty-five (25.9 %) patients were classified with good BCVA, while 69 (51.1 %) had moderate and 31 (23.0 %) poor BCVA. Following 24 months of treatment, the averaged good BCVA maintained its value (0.0513 ± 0.0954 to 0.0773 ± 0.258). Similarly, the averaged moderate BCVA maintained its value (0.449 ± 0.169 to 0.441 ± 0.431), whereas the averaged poor BCVA significantly improved (1.070 ± 0.291 to 0.879 ± 0.361: p < 0.001). Specifically, the averaged BCVA of patients who initially received vitrectomy increased 0.380 logMAR after 24 months (0.859 ± 0.414 to 0.479 ± 0.549).

Conclusion

DME patients with good BCVA at the time of initial treatment generally maintained the averaged BCVA at 24 months, while patients with moderate BCVA did not significantly improve without a standard regimen of anti-VEGF therapy. However, the results indicate that early vitrectomy is a potential treatment option for DME patients with poor BCVA.

This is a preview of subscription content, access via your institution.

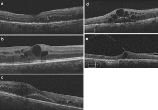
Fig. 1
Fig. 2
Fig. 3
Fig. 4
Fig. 5

References

  1. Early Treatment Diabetic Retinopathy Study research group. Photocoagulation for diabetic macular edema. Early Treatment Diabetic Retinopathy Study report number 1. Arch Ophthalmol. 1985;103:1796–806.

    Article  Google Scholar 

  2. Early Treatment Diabetic Retinopathy Study Research Group. Treatment techniques and clinical guidelines for photocoagulation of diabetic macular edema. Early Treatment Diabetic Retinopathy Study report number 2. Ophthalmology. 1987;94:761–74.

    Article  Google Scholar 

  3. Lewis H, Abram GW, Blumenkranz MS, Campo RV. Vitrectomy for diabetic macular traction and edema associated with posterior hyaloidal traction. Ophthalmology. 1992;99:753–9.

    CAS  PubMed  Article  Google Scholar 

  4. Yamamoto T, Akabane N, Takeuchi S. Vitrectomy for diabetic macular edema: the role of posterior vitreous detachment and epimacular membrane. Am J Ophthalmol. 2001;132:369–77.

    CAS  PubMed  Article  Google Scholar 

  5. Kumagai K, Furukawa M, Ogino N, Larson E, Iwaki M, Tachi N. Long-term follow-up of vitrectomy for diffuse nontractional diabetic macular edema. Retina. 2009;29:464–72.

    PubMed  Article  Google Scholar 

  6. Martidis A, Ducker JS, Greenberg PB, Rogers AH, Puliafito CA, Reichel E, et al. Intravitreal triamcinolone for refractory diabetic macular edema. Ophthalmology. 2002;109:920–7.

    PubMed  Article  Google Scholar 

  7. Beck RW, Edwards AR, Aiello LP, Bressler NM, Ferris F, Glassman AR, et al. Three-year follow-up of a randomized trial comparing focal/grid photocoagulation and intravitreal triamcinolone for diabetic macular edema. Arch Ophthalmol. 2009;127:245–51.

    PubMed  Article  Google Scholar 

  8. Mitchell P, Bandello F, Schmidt-Erfurth U, Lang GE, Massin P, Schlingemann RO. The RESTORE study: ranibizumab monotherapy or combined with laser versus laser monotherapy for diabetic macular edema. Ophthalmology. 2011;118:615–25.

    PubMed  Article  Google Scholar 

  9. Do DV, Nguyen QD, Khwaja AA, Channa R, Sepah YJ, Sophie R, et al. Ranibizumab for edema of the macula in diabetes study: 3-year outcomes and the need for prolonged frequent treatment. JAMA Ophthalmol. 2013;131:139–45.

    CAS  PubMed  Article  Google Scholar 

  10. Brown DM, Nguyen QD, Marcus DM, Boyer DS, Patel S, Feiner L, et al. Long-term outcomes of ranibizumab therapy for diabetic macular edema: the 36-month results from two phase III trials: RISE and RIDE. Ophthalmology. 2013;120:2013–22.

    PubMed  Article  Google Scholar 

  11. Nguyen QD, Shah SM, Heir JS, Boyer DS, Patel S, Feiner L, et al. Primary End Point (six months) Results of the Ranibizumab for Edema of the macula in diabetes (READ-2) study. Ophthalmology. 2009;116(2175–81):e1.

    Google Scholar 

  12. Massin P, Bandello F, Garweg JG, Hansen LL, Harding SP, Larsen M, et al. Safety and efficacy of ranibizumab in diabetic macular edema (RESOLVE Study): a 12-month, randomized, controlled, double-masked, multicenter phase II study. Diabetes Care. 2010;33:2399–405.

    CAS  PubMed Central  PubMed  Article  Google Scholar 

  13. Research Diabetic Retinopathy Clinical, Network Elman ML, Qin H, Aillo LP, Beck RW, Bressler NM, et al. Intravitreal ranibizumab for diabetic macular edema with prompt versus deferred laser treatment: three-year randomized trial results. Ophthalmology. 2012;119:2312–8.

    Article  Google Scholar 

  14. Otani T, Kishi S, Maruyama Y. Patterns of diabetic macular edema with optical coherence tomography. Am J Ophthalmol. 1999;127:688–93.

    CAS  PubMed  Article  Google Scholar 

  15. Abedi G, Patal P, Doros G, Subramanian ML. Transitioning from stratus OCT to cirrus OCT: a comparison and a proposed equation to convert central subfield macular thickness measurements in healthy subjects. Graefes Arch Clin Exp Ophthalmol. 2011;249:1353–7.

    PubMed  Article  Google Scholar 

  16. Ohkoshi K, Yamaguchi T. Subthreshold micropulse diode laser photocoagulation for diabetic macular edema in Japanese patients. Am J Ophthalmol. 2010;149:133–9.

    PubMed  Article  Google Scholar 

  17. Othman IS, Eissa SA, Kotb MS, Sadek SH. Subthreshold diode-laser micropulse photocoagulation as a primary and secondary line of treatment in management of diabetic macular edema. Clin Ophthalmol. 2014;8:653–9.

    PubMed Central  PubMed  Google Scholar 

Download references

Conflicts of interest

S. Serizawa, None; K. Ohkoshi, None; Y. Minowa, None; O. Takahashi, None.

Author information

Affiliations

Authors

Corresponding author

Correspondence to Satoshi Serizawa.

About this article

Verify currency and authenticity via CrossMark

Cite this article

Serizawa, S., Ohkoshi, K., Minowa, Y. et al. Prognosis of patients with diabetic macular edema before Japanese approval of anti-vascular endothelial growth factor. Jpn J Ophthalmol 59, 244–251 (2015). https://doi.org/10.1007/s10384-015-0384-2

Download citation

  • Received:

  • Accepted:

  • Published:

  • Issue Date:

  • DOI: https://doi.org/10.1007/s10384-015-0384-2

Keywords

  • Diabetic macular edema
  • Ranibizumab
  • Vitrectomy
  • Optic coherence tomography
  • Diabetic retinopathy