Skip to main content

Effect of myopia and age on optic disc margin anatomy within the parapapillary atrophy area

Abstract

Purpose

To evaluate the effect of myopia and age on temporal optic disc margin anatomy within the parapapillary atrophy (PPA) area by use of spectral-domain optical coherence tomography (OCT).

Methods

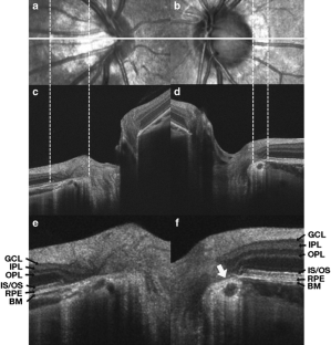
Fifty young myopic eyes with PPA (myopic PPA group), 50 aged non-myopic eyes with PPA (aged PPA group), and 50 young non-myopic eyes without PPA (control group) were enrolled. High-definition OCT scanning was used to obtain horizontal cross-sectional optic nerve head (ONH) images. By use of these OCT scans we investigated three temporal optic disc margin structures: the configuration of the border tissue of Elschnig; the cross-sectional ONH structure coinciding with the clinically detected optic disc margin; and the integrity of the retinal layers within the PPA area.

Results

The distribution of the configuration of the border tissue of Elschnig and the cross-sectional ONH structure coinciding with the clinically detected optic disc margin of the myopic PPA group differed significantly from those of the control group (P < 0.01) whereas those of the aged PPA group did not (P > 0.05). Other than the photoreceptor layer, the retinal layers within the PPA area were more commonly impaired in the myopic PPA group than in the aged PPA group (P < 0.001).

Conclusions

Myopia and aging led to different structural changes in temporal optic disc margin anatomy within the PPA area. This finding implies that different mechanisms may underlie myopic and age-related PPA development.

This is a preview of subscription content, access via your institution.

Fig. 1
Fig. 2

References

  1. Jonas JB, Nguyen XN, Gusek GC, Naumann GO. Parapapillary chorioretinal atrophy in normal and glaucoma eyes: I, morphometric data. Invest Ophthalmol Vis Sci. 1989;30:908–18.

    CAS  PubMed  Google Scholar 

  2. Jonas JB, Naumann GO. Parapapillary chorioretinal atrophy in normal and glaucoma eyes: II, correlations. Invest Ophthalmol Vis Sci. 1989;30:919–26.

    CAS  PubMed  Google Scholar 

  3. Jonas JB, Fernandez MC, Naumann GO. Glaucomatous parapapillary atrophy: occurrence and correlations. Arch Ophthalmol. 1992;110:214–22.

    Article  CAS  PubMed  Google Scholar 

  4. Rockwood EJ, Anderson DR. Acquired peripapillary changes and progression in glaucoma. Graefes Arch Clin Exp Ophthalmol. 1988;226:510–5.

    Article  CAS  PubMed  Google Scholar 

  5. Uchida H, Ugurlu S, Caprioli J. Increasing peripapillary atrophy is associated with progressive glaucoma. Ophthalmology. 1998;105:1541–5.

    Article  CAS  PubMed  Google Scholar 

  6. Teng CC, De Moraes CG, Prata TS, Liebmann CA, Tello C, Ritch R, et al. The region of largest β-zone parapapillary atrophy area predicts the location of most rapid visual field progression. Ophthalmology. 2011;118:2409–13.

    Article  PubMed  Google Scholar 

  7. Fantes FE, Anderson DR. Clinical histologic correlation of human peripapillary anatomy. Ophthalmology. 1989;96:20–5.

    CAS  PubMed  Google Scholar 

  8. Kubota T, Jonas JB, Naumann GOH. Direct clinico-histological correlation of parapapillary chorioretinal atrophy. Br J Ophthalmol. 1993;77:103–6.

    Article  CAS  PubMed  Google Scholar 

  9. Curcio CA, Saunders PL, Younger PW, Malek G. Peripapillary chorioretinal atrophy: Bruch’s membrane changes and photoreceptor loss. Ophthalmology. 2000;107:334–43.

    Article  CAS  PubMed  Google Scholar 

  10. Kim TW, Kim M, Weinreb RN, Woo SJ, Park KH, Hwang JM. Optic disc change with incipient myopia of childhood. Ophthalmology. 2012;119:21–6.

    Article  PubMed  Google Scholar 

  11. Manjunath V, Shah H, Fujimoto JG, Duker JS. Analysis of peripapillary atrophy using spectral domain optical coherence tomography. Ophthalmology. 2011;118:531–6.

    Article  PubMed  Google Scholar 

  12. Lee KY, Tomidokoro A, Sakata R, Konno S, Mayama C, Saito H, et al. Cross-sectional anatomic configurations of peripapillary atrophy evaluated with spectral domain-optical coherence tomography. Invest Ophthalmol Vis Sci. 2010;51:666–71.

    Article  PubMed  Google Scholar 

  13. Park SC, De Moraes CG, Tello C, Liebmann JM, Ritch R. In-vivo microstructural anatomy of beta-zone parapapillary atrophy in glaucoma. Invest Ophthalmol Vis Sci. 2010;51:6408–13.

    Article  PubMed  Google Scholar 

  14. Hayashi K, Tomidokoro A, Lee KY, Konno S, Saito H, Mayama C, et al. Spectral-domain optical coherence tomography of β-zone peripapillary atrophy: influence of myopia and glaucoma. Invest Ophthalmol Vis Sci. 2012;53:1499–505.

    Article  PubMed  Google Scholar 

  15. Reis AS, Sharpe GP, Yang H, Nicolela MT, Burgoyne CF, Chauhan BC. Optic disc margin anatomy in patients with glaucoma and normal controls with spectral domain optical coherence tomography. Ophthalmology. 2012;119:738–47.

    Article  PubMed  Google Scholar 

  16. Reis AS, O’Leary N, Yang H, Sharpe GP, Nicolela MT, Burgoyne CF, et al. Influence of clinically invisible, but optical coherence tomography detected, optic disc margin anatomy on neuroretinal rim evaluation. Invest Ophthalmol Vis Sci. 2012;53:1852–60.

    Article  PubMed  Google Scholar 

  17. Strouthidis NG, Yang H, Reynaud JF, Grimm JL, Gardiner SK, Fortune B, et al. Comparison of clinical and spectral domain optical coherence tomography optic disc margin anatomy. Invest Ophthalmol Vis Sci. 2009;50:4709–18.

    Article  PubMed  Google Scholar 

  18. Strouthidis NG, Yang H, Downs JC, Burgoyne CF. Comparison of clinical and three-dimensional histomorphometric optic disc margin anatomy. Invest Ophthalmol Vis Sci. 2009;50:2165–74.

    Article  PubMed  Google Scholar 

  19. Liew G, Mitchell P, Wong TY, Wang JJ. Hypermetropia is not associated with hypertension: the Blue Mountains Eye Study. Am J Ophthalmol. 2006;141:746–8.

    Article  PubMed  Google Scholar 

  20. Klein R, Peto T, Bird A, Vannewkirk MR. The epidemiology of age-related macular degeneration. Am J Ophthalmol. 2004;137:486–95.

    Article  PubMed  Google Scholar 

  21. Hogan MJ, Alvarado JA, Weddell JE. Histology of the human eye: an atlas and textbook. Philadelphia: Saunders; 1971. p. 538–40.

    Google Scholar 

  22. Nevarez J, Rockwood EJ, Anderson DR. The configuration of peripapillary tissue in unilateral glaucoma. Arch Ophthalmol. 1988;106:901–3.

    Article  CAS  PubMed  Google Scholar 

  23. Mwanza JC, Chang RT, Budenz DL, Durbin MK, Gendy MG, Shi W, et al. Reproducibility of peripapillary retinal nerve fiber layer thickness and optic nerve head parameters measured with Cirrus HD-OCT in glaucomatous eyes. Invest Ophthalmol Vis Sci. 2010;51:5724–30.

    Article  PubMed  Google Scholar 

  24. Hwang YH, Kim YY, Jin S, Na JH, Kim HK, Sohn YH. Errors in neuroretinal rim measurement by Cirrus HD optical coherence tomography in myopic eyes. Br J Ophthalmol. 2012;96:1386–90.

    Article  PubMed  Google Scholar 

Download references

Author information

Affiliations

Authors

Corresponding author

Correspondence to Young Hoon Hwang.

About this article

Cite this article

Hwang, Y.H., Jung, J.J., Park, Y.M. et al. Effect of myopia and age on optic disc margin anatomy within the parapapillary atrophy area. Jpn J Ophthalmol 57, 463–470 (2013). https://doi.org/10.1007/s10384-013-0263-7

Download citation

  • Received:

  • Accepted:

  • Published:

  • Issue Date:

  • DOI: https://doi.org/10.1007/s10384-013-0263-7

Keywords

  • Age
  • Glaucoma
  • Myopia
  • Optical coherence tomography
  • Parapapillary atrophy