Skip to main content

Pressurized intraperitoneal chemotherapy (PIPAC) in women with gynecologic malignancies: a review

Pressurized intraperitoneal chemotherapy (PIPAC) bei Frauen mit gynäkologischen Malignomen: eine Übersicht

Summary

Objective

The objective of this study was to provide an overview of published and ongoing trials of pressurized intraperitoneal chemotherapy (PIPAC) in ovarian cancer.

Design

The study comprised a systematic literature review.

Results

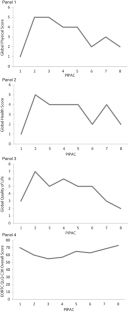
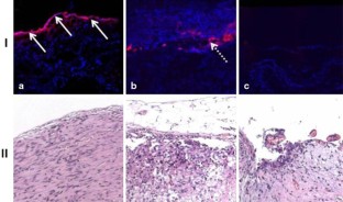
We identified 10 studies, including 2 ex vivo and in vitro studies, 6 clinical studies, and 2 ongoing clinical trials using PIPAC in women with recurrent ovarian cancer and pseudomyxoma peritonei. Experimental evidence and clinical study data demonstrate that PIPAC increases peritoneal cavity coverage and depth of peritoneal infiltration, and is technically feasible. Occupational safety has been established. PIPAC has demonstrated antitumor activity based on histological, radiological, and clinical evidence. The toxicity of PIPAC is manageable and restricted to Common Terminology Criteria for Adverse Events grade 2–3 events when used without concomitant cytoreductive surgery. Further clinical trials assessing efficacy and dose escalation are ongoing.

Conclusions

PIPAC is technically feasible, has a safe local and systemic safety profile, and has antitumor activity in women with peritoneal carcinomatosis from recurrent ovarian cancer.

Zusammenfassung

Zielsetzung

Ziel dieser systematischen Literaturübersicht war die Erfassung der publizierten experimentellen und klinischen Daten zur pressurized intraperitoneal chemotherapy (PIPAC) bei Frauen mit gynäkologischen Malignomen und Peritonealkarzinose (PC).

Methodik

Systematische Literaturübersicht über experimentelle und klinische Studien zum Thema PIPAC anhand der öffentlich zugänglichen Datenbanken PUBMED, EMBASE, Cochrane Controlled Trials Register, EudraCT und des US NIH ClinicalTrials.gov Registers.

Ergebnisse

Wir identifizierten 10 Studien, davon 2 ex-vivo und in-vitro Studien, 6 klinische Studien an Frauen mit rezidiviertem Ovarialkarzinom und Pseudomyxoma peritonei, sowie 2 laufende klinische Studien über PIPAC bei Frauen mit PC und Ovarialkarzinom-Rezidiv. Die experimentelle Evidenz und die Ergebnisse der klinischen Studien zeigen, dass mittels PIPAC die peritoneale Benetzungsfläche erhöht und die peritoneale Infiltrationstiefe erhöht werden kann und dass PIPAC technisch durchführbar ist. Die Arbeitssicherheit von PIPAC wurde unter kontrollierten Bedingungen bestätigt. Die verfügbaren klinischen Daten belegen eine Antitumoraktivität von PIPAC, basierend auf histologischen, radiologischen und klinischen Beobachtungsdaten. Die lokale und systemische Toxizität der Methode ist mit CTCAE Grad 2–3 Ereignissen gering, falls PIPAC ohne konkomitante zytoreduktive Chirurgie angewandt wird. Weitere klinische Studien zur Effektivität und Dosiseskalation werden derzeit durchgeführt.

Schlussfolgerungen

PIPAC ist technisch durchführbar, sicher in Anwendung und Patientinnentoxizität und hat nachweisliche Antitumoraktivität bei Frauen mit PC und Ovarialkarzinom oder PMP.

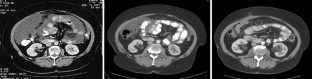
This is a preview of subscription content, access via your institution.

Fig. 1
Fig. 2
Fig. 3
Fig. 4
Fig. 5
Fig. 6

References

  1. Foley OW, Rauh-Hain JA, del Carmen MG. Recurrent epithelial ovarian cancer: an update on treatment. Oncology. 2013;27(4):288–94.

    PubMed  Google Scholar 

  2. Hanker LC, Loibl S, Burchardi N, Pfisterer J, Meier W, Pujade-Lauraine E, Ray-Coquard I, Sehouli J, Harter P, du Bois A, AGO and GINECO study group. The impact of second to sixth line therapy on survival of relapsed ovarian cancer after primary taxane/platinum-based therapy. Ann Oncol. 2012;23(10):2605–12.

    CAS  PubMed  Article  Google Scholar 

  3. Armstrong DK, Bundy B, Wenzel L, Huang HQ, Baergen R, Lele S, Copeland LJ, Walker JL, Burger RA, Gynecologic Oncology Group. Intraperitoneal cisplatin and paclitaxel in ovarian cancer. N Engl J Med. 2006;354(1):34–43.

    CAS  PubMed  Article  Google Scholar 

  4. Gadducci A, Conte PF. Intraperitoneal chemotherapy in the management of patients with advanced epithelial ovarian cancer: a critical review of the literature. Int J Gynecol Cancer. 2008;18(5):943–53.

    CAS  PubMed  Article  Google Scholar 

  5. Varona JF, Guerra JM, Salamanca J, Colina F, Lopez G, Morales M. Pseudomyxoma peritonei: a clinicopathologic analysis and follow-up of 21 patients. Hepatogastroenterology. 2005;52(63):812–6.

    CAS  PubMed  Google Scholar 

  6. McBride K, McFadden D, Osler T. Improved survival of patients with pseudomyxoma peritonei receiving intraperitoneal chemotherapy with cytoreductive surgery: a systematic review and meta-analysis. J Surg Res. 2013;183(1):246–52.

    PubMed  Article  Google Scholar 

  7. Saxena A, Yan TD, Chua TC, Morris DL. Critical assessment of risk factors for complications after cytoreductive surgery and perioperative intraperitoneal chemotherapy for pseudomyxoma peritonei. Ann Surg Oncol. 2010;17(5):1291–301.

    PubMed  Article  Google Scholar 

  8. Eskander RN, Tewari KS. Emerging treatment options for management of malignant ascites in patients with ovarian cancer. Int J Womens Health. 2012;4:395–404.

    CAS  PubMed Central  PubMed  Google Scholar 

  9. Dedrick RL, Flessner MF. Pharmacokinetic problems in peritoneal drug administration: tissue penetration and surface exposure. J Natl Cancer Inst. 1997;89:480–7.

    CAS  PubMed  Article  Google Scholar 

  10. Esquis P, Consolo D, Magnin G, Pointaire P, Moretto P, Ynsa MD, Beltramo JL, Drogoul C, Simonet M, Benoit L, Rat P, Chauffert B. High intra-abdominal pressure enhances the penetration and antitumor effect of intraperitoneal cisplatin on experimental peritoneal carcinomatosis. Ann Surg. 2006;244(1):106–12.

    PubMed Central  PubMed  Article  Google Scholar 

  11. Solass W, Herbette A, Schwarz T, Hetzel A, Sun JS, Dutreix M, Reymond MA. Therapeutic approach of human peritoneal carcinomatosis with Dbait in combination with capnoperitoneum: proof of concept. Surg Endosc. 2012;26(3):847–52.

    PubMed Central  PubMed  Article  Google Scholar 

  12. Solass W, Hetzel A, Nadiradze G, Sagynaliev E, Reymond MA. Intraoperative intraperitonal drug delivery using a nebulizer: rationale and pharmacokinetic results. Surg Endosc. 2012;26(7):1849–55.

    PubMed  Article  Google Scholar 

  13. Solass W, Kerb R, Muerdter T, Giger U, Strumberg D, Tempfer C, Zieren J, Schwab M. Reymond. intraperitoneal chemotherapy of peritoneal carcinomatosis using pressurized aerosol as an alternative to liquid solution: first evidence for efficacy. Ann Surg Oncol. 2014;21(2):553–9.

    PubMed Central  PubMed  Article  Google Scholar 

  14. Solass W, Giger-Pabst U, Zieren J, Reymond MA. Pressurized intraperitoneal aerosol chemotherapy (PIPAC): occupational health and safety aspects. Ann Surg Oncol. 2013;20(11):3504–11.

    PubMed Central  PubMed  Article  Google Scholar 

  15. Blanco A, Giger-Pabst U, Solass W, Zieren J, Reymond MA. Renal and hepatic toxicities after pressurized intraperitoneal aerosol chemotherapy (PIPAC). Ann Surg Oncol. 2013;20(7):2311–6.

    PubMed Central  PubMed  Article  Google Scholar 

  16. Tempfer CB, Celik I, Solass W, Buerkle B, Pabst UG, Zieren J, Strumberg D, Reymond MA. Activity of Pressurized Intraperitoneal Aerosol Chemotherapy (PIPAC) with cisplatin and doxorubicin in women with recurrent, platinum-resistant ovarian cancer: preliminary clinical experience. Gynecol Oncol. 2014;132(2):307–11.

    CAS  PubMed  Article  Google Scholar 

  17. Tempfer C, Solass W, Buerkle B, Reymond MA. Pressurized intraperitoneal aerosol chemotherapy (PIPAC) with cisplatin and doxorubicin in a woman with pseudomyxoma peritonei. Int J Gynecol Cancer, submitted (2014).

  18. Giger-Pabst U, Solass W, Buerkle B, Reymond MA, Tempfer C. Low-dose pressurized intraperitoneal aerosol chemotherapy (PIPAC) as an alternative therapy for ovarian cancer in an octogenarian patient. Gynecol Oncol Case Reports, submitted (2014).

  19. https://clinicaltrials.gov/ct2/show/NCT01809379?term=PIPAC&rank=2. Accessed 13 Juli 2014.

  20. https://eudract.ema.europa.eu/document.html. Accessed 13 Juli 2014.

  21. Mazzei MA, Khader L, Cirigliano A, Cioffi Squitieri N, Guerrini S, Forzoni B, Marrelli D, Roviello F, Mazzei FG, Volterrani L. Accuracy of MDCT in the preoperative definition of Peritoneal Cancer Index (PCI) in patients with advanced ovarian cancer who underwent peritonectomy and hyperthermic intraperitoneal chemotherapy (HIPEC). Abdom Imaging. 2013;38(6):1422–30.

    PubMed  Article  Google Scholar 

  22. Common Terminology Criteria for Adverse Events (CTCAE) version 4.0; published: May 28, 2009 (v4.03: June 14, 2010); U.S. Department of Health and Human Services, National Institutes of Health, National Cancer Institute.

  23. Eisenhauer EA, Therasse P, Bogaerts J, Schwartz LH, Sargent D, Ford R, Dancey J, Arbuck S, Gwyther S, Mooney M, Rubinstein L, Shankar L, Dodd L, Kaplan R, Lacombe D, Verweij J. New response evaluation criteria in solid tumours: revised RECIST guideline (version 1.1). Eur J Cancer. 2009;45(2):228–47.

    CAS  PubMed  Article  Google Scholar 

Download references

Conflict of interest

Marc-André Reymond holds a patent related to the mechanical device used in PIPAC (patent number DE 2020 1110115U1).

Author information

Affiliations

Authors

Corresponding author

Correspondence to Clemens B. Tempfer MD, MBA.

Rights and permissions

Reprints and Permissions

About this article

Verify currency and authenticity via CrossMark

Cite this article

Tempfer, C., Solass, W. & Reymond, MA. Pressurized intraperitoneal chemotherapy (PIPAC) in women with gynecologic malignancies: a review. Wien Med Wochenschr 164, 519–528 (2014). https://doi.org/10.1007/s10354-014-0312-y

Download citation

  • Received:

  • Accepted:

  • Published:

  • Issue Date:

  • DOI: https://doi.org/10.1007/s10354-014-0312-y

Keywords

  • Recurrent ovarian cancer
  • Platinum-resistant
  • Chemotherapy
  • Intra-abdominal
  • High pressure
  • PIPAC

Schlüsselwörter

  • Ovarialkarzinom
  • Rezidiv
  • Platinresistenz
  • Chemotherapie
  • Intraabdominal
  • Hochdruck
  • PIPAC