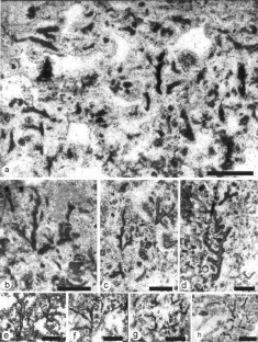
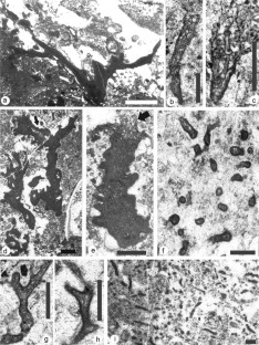
Abstract
Tubiphytes Maslov (Nigriporella Rigby, Shamovella Rauser-Chernoussova) and similar organisms belong to one of the most abundant, enigmatic fossils reported from Carboniferous to Cretaceous rocks of numerous localities worldwide. Tubiphytes has been referred to many distinctly different organisms of the Tethys occurring in shallow water, particularly reef biotopes. Paleozoic Tubiphytes were revised by Senowbari-Daryan and Flügel, and Jurassic-Cretaceous species by Senowbari-Daryan et al. In this paper, the Triassic representatives of Tubiphytes and Tubiphytes-like organisms are described. The morphological and structural differences between the Paleozoic and Triassic Tubiphytes are shown and their systematic position is discussed. The following new species are described: Tubiphytes carnicus, T. ramosus, T. alcicornis, and Plexoramea cylindrica. The new genus Carniphytes is proposed for Tubiphytes multisiphonatus Schäfer and Senowbari-Daryan. Tubiphytes gracilis Schäfer and Senowbari-Daryan is transferred to the genus Plexoramea Mello. All described taxa are relatively abundant in Ladinian-Carnian reefs (e.g., “Wetterstein limestone” of the Alps) and in shallow-water carbonates of the northwestern Tethys. Some of them occur rarely in Anisian or in Norian-Rhaetian reefs.




















References
Altiner D, Zaninetti L (1980) Le Trias dans la région de Pinarbasi, Taurus oriental, Turquie: unités lithologiques, micropaléontologie, milieux de dépôt. Riv Ital Paleont 86:705–760
Babcock JA (1977) Calcareous algae, organic boundstones, and the genesis of the Upper Capitan Limestone (Permian, Guadalupian), Guadalupe Mts., West Texas and New Mexico. In: Hileman ME, Mazzullo SJ (eds) Upper Guadalupian facies, Permian reef complex, Guadalupe Mountains, New Mexico and West Texas. SEPM, Permian Basin Section, Spec Publ 77–16:3–44
Babcock JA (1979) Calcareous algae and algal problematica of the Capitan Reef (Permian), Guadalupe Mountains, West Texas and New Mexico, USA. Bull Cent Rech Explor Prod Elf-Aquitane 3(2):419–428
Babcock JA (1986) The puzzle of alga-like problematica, or rummaging around in the algal wastebasket. In: Hoffman A, Nitecki MH (eds) Problematic fossil taxa. Oxford Monogr Geol Geophys 5:12–26
Bernier P (1984) Les formations carbonatées du Kimméridgien et du Portlandien dans le Jura méridional. Stratigraphie, micropaléontologie, sédimentologie. Doc Lab Géol Lyon 92:1–803
Bilgütay U (1960) Some Permian calcareous algae from the vicinity of Ankara. Bull Miner Res Turkey 54:52–65
Blomeier DPG, Reijmer JJG (1999) Drowning of a lower Jurassic carbonate platform: Jbel Bou Dahar, High Atlas, Morocco. Facies 41:81–110
Boni M, Iannace A, Torre M, Zamparelli V (1991) Le facies carbonatiche del Trias Medio-Superiore dell′unità di S. Donato nell′area di Castrovillari (Calabria). Mem Soc Geol Ital 47:39–54
Boni M, Iannace A, Torre M, Zamparelli V (1994) The Ladinian-Carnian reef facies of Monte Caramolo (Calabria, Southern Italy). Facies 30:101–118
Brandner R, Resch W (1981) Reef development in the Middle Triassic (Ladinian and Cordevolian) of the Northern Limestone Alps near Innsbruck, Austria. SEPM Spec Publ 30:203–231
Brandner R, Flügel E, Senowbari-Daryan B (1991) Microfacies of carbonate slope boulders: indicator of the source area (Middle Triassic: Mahlknecht Cliff, Western Dolomites). Facies 25:279–296
Chen ZQ, Shi GR, Yang WR (2003) Internal structure and paleoecology of the Lower Permian Uzunbulak Reef Complex of the Tarim Basin, Northwest China. Facies 49:119–234
Chuvashov BI (1974) Permskie izvestkovie vodoroli urala. Akad Nauk SSSR, Uralskii Nauchnyi Tsentr. Trudy Inst Geol Geokhim 109:1–76
Chuvashov BI, Shuysky VP, Ivanova RM (1993) Stratigraphical and facies complexes of the Paleozoic calcareous algae of the Urals. In: Barattolo F, De Castro P, Parente M (eds) Studies on fossil benthic algae. Boll Soc Paleont Ital Spec Vol 1:93–119
Ciarapica G, Cirilli S, Martini R, Rettori R, Salvini Bonnard G, Zaninetti L (1990) Carbonate buildups and associated facies in the Monte Facito Formation (Southern Apennines). Boll Soc Geol Ital 109:151–164
Crescenti U (1969) Biostratigrafia delle facies mesozoiche del l′Appennino centrale: correlazioni. Geol Romana 8:15–40
Croneis C, Toomey DF (1965) Gunsight (Virgilian) wewokellid sponges and their depositional environment. J Paleont 39:1–16
Cys JM (1985) Taxonomic survey of Lower Permian algae from the Southern Tatum Basin, southeastern New Mexico, U.S.A. In: Toomey DF, Nitecki MH (eds) Paleoalgology. Springer, Berlin Heidelberg New York, pp 306–314
Dragastan O (1969) “Micro-oncolithes” dans le Jurassique supérieur de la vallée du Bicaz (Carpates orientales, Roumanie). Bull Soc Geol France 11(7):655–659
Dullo WC, Flügel E, Lein R, Riedel P, Senowbari-Daryan B (1987) Algen, Kalkschwämme und Mikroproblematika aus unterkarnischen Riffkalken des Bosruck-Gipfels (Nördliche Kalkalpen, Österreich). Jb Geol B-A 129:525–543
El Albani A, Vachard D, Fürsich F, Buitrón B, Flores de Dios A (2005) Depositional environment and biofacies characterization of the upper Pennsylvanian-lower Permian deposits of the San Salvador Patlanoaya section (Puebla, Mexico). Facies 50:629–645
Elias MK (1959) Facies of upper Carboniferous and Artinskian deposits in the Sterlitamak-Ishimvaevo region of the Preurals, based on a study of fusulinids. Int Geol Rev 1(2):39–88
Eliášová H (1986) Some binding microorganisms of the Strambeck reef limestones (Tithonian, Czechoslovakia). Vesnik ustr usta Geol 56:27–32
Elliott GF (1958) Fossil microproblematica from the Middle East. Micropaleontology 4:419–428
Elliott GF (1962) More microproblematica from the Middle East. Micropaleontology 8:29–44
Emmerich A, Zamparelli V, Bechstädt T, Zühlke R (2005) The reefal margin and slope of a Middle Triassic carbonate platform: the Latemar (Dolomites, Italy). Facies 50:573–614
Endo R (1951) Stratigraphical and paleontological studies of the later Paleozoic calcareous algae in Japan. I. Trans Proc Palaeont Soc Japan, New Ser 5:121–129
Enos P, Jiayong W, Yangji Y (1997) Facies distribution and retreat on Middle Triassic platform margin, Guizhou province, south China. Sedimentology 44:563–584
Fagerstrom JA, Weidlich O (2005) Biologic response to environmental stress in tropical reefs: lessons from modern Polynesian coralgal atolls and Middle Permian sponge and Shamovella-microbe reefs (Capitan Limestone USA). Facies 51:517–531
Fan J, Rigby JK, Qi J (1990) The Permian reefs of South China and comparisons with the Permian reef complex of the Guadalupe Mountains, West Texas and New Mexico. Brigham Young Univ Geol Stud 36:15–55
Flügel E (1966) Algen aus dem Perm der Karnischen Alpen. Carinthia II. Sonderh 25:1–76
Flügel E (1981a) Lower Permian Tubiphytes/Archaeolithoporella buildups in the southern Alps (Austria and Italy). SEPM Spec Publ 30:143–160
Flügel E (1981b) Paleoecology and facies of Upper Triassic reefs in the Northern Calcareous Alps. SEPM Spec Publ 30:291–359
Flügel E (2004) Microfacies of carbonate rocks, analysis, interpretation and application. Springer, Berlin Heidelberg New York, p 976
Flügel E, Flügel-Kahler E (1980) Algen aus den Kalken der Trogkofel-Schichten der Karnischen Alpen. Carinthia II 36:113–182
Flügel E, Kraus S (1986) The Lower Permian Sexten Breccia (Sexten Dolomites) and the Tarvis Breccia (Carnic Alps): microfacies, depositional environment and paleotectonic implications. Mem Soc Geol Ital 34:67–90
Flügel E, Senowbari-Daryan B (1996): Evolution of Triassic reef biota: State of the art. In: Reitner J, Neuweiler F, Gunkel F (eds) Global and regional controls on biogenic sedimentation. I. Reef evolution. Göttinger Arb Geol Paläont Sb 2:285–294
Flügel E, Lein R, Senowbari-Daryan B (1978) Kalkschwämme, Hydrozoen, Algen und Mikroproblematika aus den Cidarisschichten (Karn, Obertrias) der Mürztaler Alpen (Steiermark) und des Gosaukammes (Oberösterreich). Mitt Ges Geol Bergbaustud Österr 25:153–195
Flügel E, Kochansky-Devidé V, Ramovs A (1984) A Middle Permian calcisponge/algal/cement reef: straza near Bled, Slovenia. Facies 10:179–256
Flügel E, Riedel P, Senowbari-Daryan B (1988) Plexoramea cerebriformis Mello, ein häufiges Mikrofossil in triadischen Flachwasserkalken: Alge oder Pilz? Mitt Ges Geol Bergbaustud Österr 34(35):263–277
Flügel E, Di Stefano P, Senowbari-Daryan B (1991) Microfacies and depositional structure of allochthonous carbonate base-of-slope deposits: the late Permian Pietra di Salomone Megablock, Sosio Valley (Western Sicily). Facies 25:147–186
Fohrer B (1991) Verkieselte Flachwasser-Ostracoden und ihre Begleitfauna und -flora aus dem Oberkarbon der Karnischen Alpen (Naßfeld-Region, Kärnten, Österreich). Abh Geol B-A 46:1–107
Fois E (1982) The Sass da Putia carbonate buildup (Western Dolomites): biofacies succession and margin development during the Ladinian. Riv Ital Paleont 87:565–598
Fois E, Gaetani M (1981) The northern margin of the Cibetta buildup. Evolution during the Ladinian and the Carnian. Riv Ital Paleont 86:469–542
Forke H (1995) Biostratigraphie (Fusuliniden; Conodonten) und Mikrofazies im Unterperm (Sakmar) der Karnischen Alpen (Naßfeldgebiet, Österreich). Jb Geol B-A 138:207–297
Gaetani M, Gorza M (1989) The Anisian (Middle Triassic) carbonate bank of Camorelli (Lombardy, Southern Alps). Facies 21:41–56
Gaetani M, Angolini L, Garzanti E, Jadoul F, Leven EY, Nicora A, Sciunnach D (1995) Permian stratigraphy in the northern Karakorum, Pakistan. Rev Ital Paleont Stratigr 101:107–152
Gusic I, Wohlfeil H, Wohlfeil K (1984) Zur Altersstellung und Fazies des Kalkes von Kalecik (Devon) und der Akdag-Serie (Trias) im nordöstlichen Teil von Karaburun (west. Izmir, Türkei). N Jb Geol Paläont Abh 167:375–404
Gyalog L, Oraveczné Scheffer A, Csaba D (1986) A Födolomit és Feküképzödményeinek rétegtani helyzete a keszuthelyi-Hegység K-I részén. M Áll Föld Inté Jelnt Az Évröl 245–272
Hoffman A, Nitecki MH (eds) (1986) Problematic fossil taxa. Oxford University Press, New York Clarendon Press, Oxford, p 267
Homann W (1972) Unter- und tief-mittelpermische Kalkalgen aus den Rattendorfer Schichten, dem Trogkofel-Kalk und dem Treßdorfer Kalk der Karnischen Alpen (Österreich). Senckenberg leth 53:135–313
Hornung T, Spatzenegger A, Joachimski MM (2007) Multistratigraphy of condensed ammonoid beds of the Rappoltstein (Berchtesgaden, southern Germany): unravelling paleoenvironmental condition on `Hallstatt deep swells′ during the Reingraben Event (Late Lower Carnian). Facies 53:267–292
Hüneke H, Joachimski M, Buggisch W, Lützner H (2001) Marine carbonate facies in response to climate and nutrient level: the upper Carboniferous and Permian of Central Spitzbergen (Svalbard). Facies 45:93–136
Igawa T (2003) Microbial contribution to deposition of upper Carboniferous and lower Permian seamount-top carbonates, Akiyoshi, Japan. Facies 48:61–78
Johnson JH (1963) Pennsylvanian and Permian algae. Colo Sch Mines Q 58:1–211
Kochansky-Devidé V (1970a) Permiski Mikrofosili Zahodnih Karavank. Geol Razp por 13:175–255
Kochansky-Devidé V (1970b) Die Kalkalgen des Karbons von Velebit-Gebirge (Moskovien und Kassimovien). Palaeont Jugoslav 10:1–32
Kolodka C, Vennin E, Vachard D, Trocme V, Goodarzi MH (2011) Timing and progression of the end-Guadalupian crisis in the Fars province (Dalan Formation, Kuh-e Gakhum, Iran) constrained by foraminifers and other carbonate microfossils. Facies 58:131–153
Konishi K (1959) Identity of alga Tubiphytes Maslov, 1956, and hydrozoan genus Nigriporella Rigby, 1958. Trans Proc Paleont Soc Japan 35:142
Kott R (1989) Fazies und Geochemie des Treuchtlinger Marmors (Unter- und Mittel-Kimmeridge, Südliche Frankenalb). Berliner geowiss Abh A 111:1–115
Kozur HW, Krainer K, Mostler H (1996) Ichnology and sedimentology of the Early Permian deep-water deposits from the Lercara-Roccapalumba area (Western Sicily, Italy). Facies 34:123–150
Krainer K, Flügel E, Vachard D, Joachimski MM (2003) A close look at late carboniferous algal mounds: schulterkofel, Carnic Alps, Austria. Facies 49:325–350
Kraus O, Ott E (1968) Eine ladinische Riff-Fauna im Dobratsch-Gipfelkalk (Kärnten, Österreich) und Bemerkungen zum Faziesvergleich von Nordalpen und Drauzug. Mitt Bayer Staatssamml Paläont hist Geol 8:263–290
Leinfelder RR, Nose M, Schmid DU, Werner W (1993) Microbial crusts of the Late Jurassic: composition, palaeoecological significance and importance in reef construction. Facies 29:195–230
Mamet B (1991) Carboniferous calcareous algae. In: Riding R (ed) Calcareous algae and stromatolites. Springer, Berlin Heidelberg New York, pp 372–451
Mamet B, Villa E (2004) Calcareous marine algae from the Carboniferous (Moscovian-Gzhelian) of the Cantabrian zone (NW Spain). Rev Espan Paleont 19:151–190
Mamet BL, Roux A, Nassichuk WW (1987) Algues carbonifères et permiennes de L′Arctique Canada. Comm Géol Can Bull 342:1–143
Maslov VP (1956) Fossil calcareous algae of the USSR. Trudy Geol Inst SSSR 160:1–301 (in Russian)
Mello J (1977) Plexoramea cerebriformis n.gen., n.sp. and some other microproblematics and microfossils from Triassic limestones of the West Carpathians. Zapad Karp, ser Paleont 2–3:189–202
Meyer RKF (1975) Mikrofazielle Untersuchungen in Schwamm-Biohermen und -Biostromen des Malm Epsilon (Ober-Kimmeridge) und obersten Malm-Delta der Frankenalb. Geol Bl NO-Bayern 25:149–177
Mišík M (1979) Jurassic and Cretaceous algae (dasycladales excepted) from the West Carpathians. Bull Cent Rech Explor-Prod Elf-Aquitane 3:705–712
Mu X (1981) Upper Permian calcareous algae from western Guizhou. Acta Palaeont Sinica 29:33–48
Newell ND, Rigby JK, Fischer AG, Whiteman AJ, Hickox JE, Bradley JS (1953) The Permian reef complex of the Guadalupe Mountains region, Texas and New Mexico. A study in paleontology. Freeman, San Francisco, p 236
Nittel P (2006) Beiträge zur Stratigraphie und Mikropaläontologie der Mitteltrias der Innsbrucker Nordkette (Nördliche Kalkalpen, Austria). Geo Alp 3:93–145
Noé S (1996) Late-stage reef evolution of the Permian reef complex: Shelf margin and outer-shelf development of the Tansill Formation (Late Permian), Northern Guadalupe Mountains, New Mexico, USA. In: Reitner J, Neuweiler F, Gunkel F (eds) Global and regional controls on biogenic sedimentation. I. Reef evolution. Göttinger Arb Geol Paläont Sb 2:317–324
Noé S (2003) Spätstadium einer sterbenden Karbonatplattform: schelfrand- und Außenschelf-Entwicklung der Tansill-Formation (Permian Reef Complex, New Mexico, USA). Kölner Forum Geol Paläont 11:1–245
Oravecz-Scheffer A (1987) Triassic foraminifers of the Transdanubian Central Range. Geol Hung Ser Paleont 50:1–331
Ott E (1966) Zwei neue Kalkalgen aus den Cassianer Schichten Südtirols (Oberladin, mittlere Trias). Mitt Bayer Staatssamml Paläont hist Geol 6:155–166
Pantić S (1972) Mikropaleontoloske i biostratigrafske odlike trijaskih karbonatnih sedimenata busotine SB-2 na Profilu brane HE Mratinje (Crna Gora). Vesnik Knjiga Bull Ser A 29(30):271–308
Pantić S (1973/1974) Prilozi za stratigrafiju trijasa Prokletija. Vesnik (Geol) Ser A 31/32:135–167
Panzenelli-Fratoni R, Limongi P, Ciarapica G, Cirilli S, Matini R, Salvini-Bonnard G, Zaninetti L (1987) Les foraminifères du Permien supérieur remaines dans Le “complexe terrigene” de la formation triasique du Monte Facito, Apennin meridonal. Rev Paléobiol 6:293–913
Payne JL, Lehrmann DJ, Christensen S, Wie J, Knoll AH (2006) Environmental and biological controls on the initiation and growth of a Middle Triassic (Anisian) reef complex on the great bank of Guizhou, Guizhou Province, China. Palaios 21:325–343
Pisera A, Zawidzka K (1981) Archaeolithoporella from the upper Permian reef limestones of the Northern Caucasus. Bull Acad Polon Sci Sér Sci Terre 29:233–238
Pratt BR (1995) The origin, biota and evolution of deep-water mud-mounds. Spec Publ Int Ass Sediment 23:49–123
Ramalho M (1971) Contribution à l′étude micropaléontologique et stratigraphique du Jurassique supérieur et du Crétacé inférieur des environs de Lisbonne (Portugal). Ser Geol Portugal Mem 19:1–212
Rauser-Chernoussova DM (1950) Facies of upper Carboniferous and Artinskian deposits in the Sterlitamak-Ishimbaevo region of the Pre-Urals, base on a study of fusulinids. Trudy Inst Geol Nauk Akad Nauk SSSR Trans 119(43):1–108 (in Russian)
Razgallah R, Vachard D (1991) Systematique et biosedimentologie des algues constructrices permiennes Tubiphytes and Archaeolithoporella suivant l′example du Jebel Tebaga (Murghabien de Tunisie). Palaeontogr B 221:171–205
Riding R (1991) Calcified cyanobacteria. In: Riding R (ed) Calcareous algae and stromatolites. Springer, Berlin Heidelberg New York, pp 55–87
Riding R (1993) Shamovella obscura: the correct name for Tubiphytes obscurus (Fossil). Taxon 42:71–73
Riding R, Barkham S (1999) Temperate water Shamovella from the Lower Permian of West Timor, Indonesia. Alcheringa 23:21–29
Riding R, Guo L (1992) Affinity of Tubiphytes. Palaeontology 35:37–49
Riedel P (1990) Riffbiotope im Karn und Nor (Obertrias) der Tethys: Entwicklung, Einschnitte und Diversitätsmuster. PhD Thesis, University of Erlangen, Erlangen, p 96
Rigby JK (1958) Two new Upper Paleozoic hydrozoans. J Paleont 32:583–586
Rüffer T (1995) Entwicklung einer Karbonat-Plattform: fazies, Kontrollfaktoren und Sequenzstratigraphie in der Mitteltrias der westlichen Nördlichen Kalkalpen (Tirol, Bayern). Gaea heidelberg 1:1–282
Rüffer T, Zamparelli V (1997) Facies and biota of Anisian to Carnian carbonate platform in the Northern Calcareous Alps (Tyrol and Bavaria). Facies 37:115–136
Russo F, Neri C, Mastandrea A, Baracca A (1997) The mud mound nature of the Cassian Platform margin of the Dolomites. A case history: the Cipit Boulders from Punta Grohmann (Sasso Platto Massif, Northern Italy). Facies 36:25–36
Russo F, Mastandrea A, Stefani M, Neri C (2000) Carbonate facies dominated by syndepositional cements: a key component of Middle Triassic platforms. The Marmolada case history (Dolomites, Italy). Facies 42:211–226
Sano H, Kanmera K (1996) Microbial controls on Panthalassan Carboniferous-Permian oceanic buildups, Japan. Facies 34:239–256
Sano H, Horibo K, Kumamoto Y (1990) Tubiphytes-Archaeolithoporella-Girvanella reefal facies in Permian buildup, Mino terrane, central Japan. Sediment Geol 68:293–306
Sawin RS, West RR (2005) Paleoecology of the Permian (Wolfcampian) phylloid alga Calcipatera from an in situ occurrence in Kansas, U.S.A. Curr Res Earth Sci Bull 251:1–14. http://www.kgs.ku.edu/Current2005/sawub/sawub1.html
Schäfer P, Senowbari-Daryan B (1983) Die Kalkalgen aus der Obertrias von Hydra, Griechenland. Palaeontogr B 185:83–142
Schlagintweit F, Gawlick HJ (2009) Enigmatic tubes associated with microbial crusts from the Late Jurassic of the Northern Calcareous Alps (Austria): a mutualistic sponge-epibiont consortium? Lethaia 42:452–461
Schmid DU (1995) „Tubiphytes“ morronensis—eine fakultativ inkrustierende Foraminifere mit endosymbiotischen Algen. Profil 8:305–317
Schmid DU (1996) Marine Mikrobiolithe und Mikroinkrustierer aus dem Oberjura. Profil 9:101–251
Scholle PA, Ulmer-Scholle DS (2003) A color guide to the petrography of carbonate rocks: grains, textures, porosity, diagenesis. AAPG Mem 77:1–474
Scholz G (1972) An Anisian Wetterstein limestone reef in North Hungary. Acta Miner Petro Szeged 20:337–362
Senowbari-Daryan B (1984) Mikroproblematika aus den obertriadischen Riffkalken von Sizilien. Münster Forsch Geol Paläont 61:1–81
Senowbari-Daryan B (2007) Isnella misiki nov.gen., nov.sp., kein „Tubiphytes“, aber eine mögliche Foraminifere, Wurmröhre oder Cyanophycee aus den ladinisch-karnischen Riffkalken der Tethys. J Alp Geol (Mitt Ges Geol Bergbaustud Österr) 48:45–56
Senowbari-Daryan B, Abate B (1986) Zur Paläontologie, Fazies und Stratigraphie der Karbonate innerhalb der “Formazione Mufara” (Obertrias, Sizilien). Natur sicil Ser IV 10:59–104
Senowbari-Daryan B, Bernecker M (2009) Carnian (Upper Triassic) reef biota from limestone blocks of different tectonic settings in the Oman Mountains. Beringeria 40:3–53
Senowbari-Daryan B, Flügel E (1993a) Tubiphytes Maslov, an enigmatic fossil: Classification, fossil record and significance through Time. Part I: Discussion of Late Paleozoic material. In: Barattolo F, De Castro P, Parente M (eds) Studies on fossil benthic algae. Boll Soc Paleont Ital Spec Vol 1:253–382
Senowbari-Daryan B, Flügel E (1993b) Triassic reefs and platform carbonates in the Northern Calcareous Alps. In: Höfling R, Moussavian E, Piller WE (eds) Facial development of algae-bearing carbonate sequences in the Eastern Alps. Munich: 1–35
Senowbari-Daryan B, Rashidi K (2011) Lercaritubus problematicus Flügel, Senowbari-Daryan and Di Stefano and Vangia telleri (Flügel): two problematic organisms from the Permian Jamal Formation of Shotori Mountains, northeast Iran. Riv Ital Paleont Stratigr 117:105–114
Senowbari-Daryan B, Rigby JK (2007) Hikorocodium Endo is not an alga but an inozoid sponge. Can J Earth Sci 44:149–154
Senowbari-Daryan B, Velledits F (2007) Axopora aggtelekensis Scholz 1972, originally described as hydrozoa, is attributed to the new genus Anisophytes (Cyanophyta?). Riv Ital Paleont Stratigr 113:357–368
Senowbari-Daryan B, Schäfer P, Abate B (1982) Obertriadische Riffe und Rifforganismen in Sizilien. Facies 6:165–184
Senowbari-Daryan B, Bernecker M, Krystyn L, Siblik M (1999) Carnian reef biota from a megabreccia of the Hawasina Complex (Al Aqil), Oman. Riv Ital Paleont Stratigr 105:327–342
Senowbari-Daryan B, Rashidi K, Hamedani A (2005) Sponge assemblage from the Permian reefal limestones of Kuh-e Bagh-e Vang, Shotori Mountains (eastern Iran). Geol Carpathica 56:381–406
Senowbari-Daryan B, Bucur I, Schlagintweit F, Săsăran E, Matyszkiewicz J (2008) Crescentiella, a new name for „Tubiphytes“ morronensis Crescenti, 1969: an enigmatic Jurassic-Cretaceous microfossil. Geol Croat 61:185–214
Sudar M (1986) Triassic microfossils and biostratigraphy of the inner Dinarids between Gucevo and Ljubisnja Mts., Yugoslavia. Ann Géol Pénins Balkan 50:151–394 (in Russian with English summary)
Tien ND (1980) Remarques sur quelques forams de “Calcisphères”. Rev de Micropaléont 23:55–62
Toomey DF (1969) The biota of the Pennsylvanian (Virgilian) Leavenworth Limestone, Midcontinent region; part 2: distribution of algae. J Paleont 43:1313–1330
Toomey DF (1991) Late Permian reefs of southern Tunisia: facies patterns and comparison with the Capitan Reef, southwestern Unites States. Facies 25:119–146
Vachard D, Fourcade E (1997) Foraminifères et algues du Permien du Guatemala. Geobios 30:745–784
Vachard D, Krainer K (2001) Smaller foraminifers, characteristic algae and pseudo-algae of the latest Carboniferous/early Permian Rattendorf group, Carnic Alps (Austria/Italy). Riv Ital Paleont Stratigr 107:169–195
Vachard D, Miconnet P (1990) Une association à fusulinoides du Murghabien supérieur au Monte Facito (Apennin Méridional, Italie). Rev Micropaléont 32:297–318
Vachard D, Moix P (2011) Late Pennsylvanian to Middle Permian revised algal and foraminiferan biostratigraphy and palaeobiogeography of the Lycian Nappes (SW Turkey): palaeogeographic implications. Rev Micropaléont 54:141–174
Vachard D, Razgallah S (1993) Discussion sur l′âge murgabien ou midien des séries permiennes du Jabal Tebagq (Sud de la Tunisie). Riv Ital Paleont Stratigr 99:327–356
Vachard D, Clift P, Decrouez D (1993a) Une association à Pseudodunbarulla (Fusulinoide) du Permien superieur (Djoulfien) remaniée dans le Jurassique d′Argolide (Peloponnese, Grèce). Rev Paléobiol 12:217–242
Vachard D, Martini R, Zaninetti L, Zambetakis-Lekkas A (1993b) Revision micropaléontologique (Foraminiferes, Algues) du Permien inférieur (Sakmarien) et supérieur (Dorashamien) du Mont Beletsi (Attique, Grèce). Boll Soc Paleont Ital 32:89–112
Vachard D, Oviedo A, Flores de Dois A, Malpica R, Brunner P, Guerrero M, Buitron BE (1993c) Barranca d′Olinala (Guerrero): une coupe de reference pour le Permien du Mexique central; Etude Preliminaire. Ann Soc Géol Nord 2:153–160
Vachard D, Hauser M, Martini R, Zaninetti L, Matter A, Peters T (2001) New algae and problematica of algal affinity from the Permian of the Aseelah unit of the Batain Plain (East Oman). Geobios 34:375–404
Vachard D, Pille L, Gaillot L (2011) Palaeozoic foraminifera: systematics, palaeoecology and responses to global changes. Rev Micropaléontol 53:209–254
Velledits F, Péró C, Blau J, Senowbari-Daryan B, Kovács S, Piros O, Pocsai T, Szügyi Simon H, Dumitrica P, Palfy J (2011) The oldest Triassic platform margin reef from the Alpine-Carpathian region (Aggtelek, NE Hungary): platform evolution, reefal biota and biostratigraphic framework. Riv Ital Paleont Stratigr 117:221–268
Vennin E, Vachard D, Proust JN (1997) Taphonomie et synécologie du ′genere′ Tubiphytes dans les bioconstructions de Tratau et de Nizhni-Irginsk (Permien inférieur de l′Oural, Russie). Geobios 30:635–649
Wahlman GP (1985) Lower Permian (Wolfcampian) Archaeolithoporella-Tubiphytes-sponge boundstones from the subsurface of West Texas. In: Toomey DF, Nitecki MH (eds) Paleoalgology. Springer, Berlin Heidelberg New York, pp 208–215
Wahlman GP (2002) Upper Carboniferous-Lower Permian (Bashkirian-Kungurian) mounds and reefs. In: Kießling W, Flügel E, Golonka J (eds) Phanerozoic reef patterns. SEPM Spec Publ 72:271–338
Wang S, Fan J, Rigby JK (1994a) Archaeolithoporella and Tubiphytes: affinities and paleoecology in Permian reefs of South China. Sci China, Ser B 37:723–743
Wang S, Fan J, Rigby JK (1994b) The Permian reefs in Ziyum County, Southern Guizhou, China. Brigham Young Univ Geol Stud 40:155–183
Weidlich O (2002) Middle and Late Permian reefs—distributional pattern and reservoir potential. SEPM Spec Publ 72:339–390
Weidlich O (2007) Permian reefs of the Tethys: Tropical vs cool-water frameworks, Batain area, Sultanate of Oman. In: Vennin E, Aretz M, Boulvain F, Munnecke A (eds) Facies from Palaeozoic reefs and bioaccumulations. Publ Sci Muséum, Paris, pp 311–313
Weidlich O, Fagerstrom JA (1998) Evolution of the Upper Capitan-Massiv (Permian), Guadalupe Mountains, New Mexico. Brigham Young Univ Geol Stud 43:167–187
Weidlich O, Fagerstrom JA (1999) Influence of sea-level changes on development, community structure, and quantitative composition of the Upper Capitan massive (Permian), Guadalupe Mountains, Texas and New Mexico. SEPM Spec Publ 65:139–160
Weidlich O, Bernecker M, Flügel E (1993) Combined quantitative analysis and microfacies studies of ancient reefs: an integrated approach to Upper Permian and Upper Triassic reef carbonates (Sultanate of Oman). Facies 28:115–144
Wood R (1999) Reef evolution. University press, Oxford, p 414
Wu YS (1991) Organisms and communities of Permian reef of Xiangbo, China. Int Acad Publ, Beijing p 192
Acknowledgments
The investigations were carried out in the framework of several earlier research projects supported by the Deutsche Forschungsgemeinschaft. Peter Riedel and the FG Paläoumwelt, Geozentrum Nordbayern (Erlangen) are thanked for providing numerous thin-sections. I would also like to extend my thanks to Professors P. Di Stefano and B. Abate (both in Palermo, Sicily) for their help during the field work in Sicily. Thanks to Michael Link and Franz Fürsich (both Erlangen) for their critical reading of the manuscript and to Rowan Martindale, Los Angeles for improvements of the English. I am grateful for valuable comments, made by Robert Riding (Knoxville, USA) and especially by F. Schlagintweit (Munich) as journal reviewers. The most inapplicable comments of an anonymous third reviewer could not be accepted.
Author information
Authors and Affiliations
Corresponding author
Rights and permissions
About this article
Cite this article
Senowbari-Daryan, B. Tubiphytes Maslov, 1956 and description of similar organisms from Triassic reefs of the Tethys. Facies 59, 75–112 (2013). https://doi.org/10.1007/s10347-012-0353-x
Received:
Accepted:
Published:
Issue Date:
DOI: https://doi.org/10.1007/s10347-012-0353-x