Skip to main content

Endocardial Border Detection in Cardiac Magnetic Resonance Images Using Level Set Method

Abstract

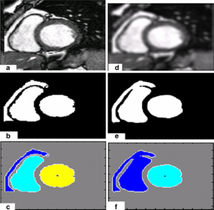
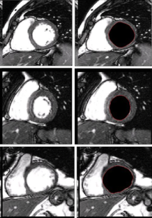
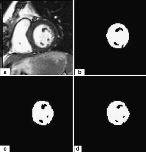
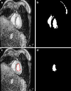
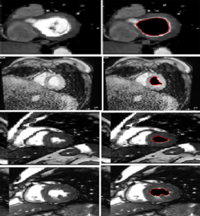
Segmentation of the left ventricle in MRI images is a task with important diagnostic power. Currently, the evaluation of cardiac function involves the global measurement of volumes and ejection fraction. This evaluation requires the segmentation of the left ventricle contour. In this paper, we propose a new method for automatic detection of the endocardial border in cardiac magnetic resonance images, by using a level set segmentation-based approach. To initialize this level set segmentation algorithm, we propose to threshold the original image and to use the binary image obtained as initial mask for the level set segmentation method. For the localization of the left ventricular cavity, used to pose the initial binary mask, we propose an automatic approach to detect this spatial position by the evaluation of a metric indicating object’s roundness. The segmentation process starts by the initialization of the level set algorithm and ended up through a level set segmentation. The validation process is achieved by comparing the segmentation results, obtained by the automated proposed segmentation process, to manual contours traced by tow experts. The database used was containing one automated and two manual segmentations for each sequence of images. This comparison showed good results with an overall average similarity area of 97.89%.

This is a preview of subscription content, access via your institution.

Fig. 1
Fig. 2
Fig. 3
Fig. 4
Fig. 5
Fig. 6
Fig. 7
Fig. 8
Fig. 9
Fig. 10
Fig. 11
Fig. 12

References

  1. Paragios N, Jolly MP, Taron M, Ramaraj R: Active shape models segmentation of the left ventricle in echocardiography. Lecture Notes in Computer Science 3459:131–142, 2005

    Article  Google Scholar 

  2. Garson CD, Li B, Acton ST, Hossack JA: Guiding automated left ventricular chamber segmentation in cardiac imaging using the concept of conserved myocardial volume. Comput Med Imaging Graph 32:321–330, 2008

    PubMed  Article  Google Scholar 

  3. Fernandez-Caballero A, Vega-Riesco JM: Determining heart parameters through left ventricular automatic segmentation for heart disease diagnosis. Expert Systems with Applications 36:2234–2249, 2009

    Article  Google Scholar 

  4. Lynch M, Ghita O, Whelan PF: Automatic segmentation of the left ventricle cavity and myocardium in MRI data. Comput Biol Med 36(4):389–407, 2006

    PubMed  Article  CAS  Google Scholar 

  5. Monitillo A, Metaxas D, Axel L: Automated segmentation of the left and right ventricles in 4D cardiac, SPAMM images. MICCAI, LNCS 2488:620–633, 2002

    Google Scholar 

  6. Cousty J, Najman L, Couprie M, Clément-Guinaudeau S, Goissen T, Garot J: Automated accurate and fast segmentation of 4D cardiac MR image. In: Procs of Functional Imaging an Modeling of the Heart, LNCS 4466, 2007, pp 474–483

  7. Kausa MR, von Berga J, Weesea J, Niessenb W, Pekar V: Automated segmentation of the left ventricle in cardiac MRI. Medical Image Analysis 8(3):245–254, 2004

    Article  Google Scholar 

  8. Lorenzo-Valdés M, Sanchez-Ortiz GI, Mohiaddin R, Rueckert D: Segmentation of 4D Cardiac MR Images Using a Probabilistic Atlas and the EM Algorithm, vol. 2878. Springer, Berlin, 2003, pp 440–450

    Google Scholar 

  9. Wang G, Guo Y, Zhangk S, Ma Y: A novel segmentation method for left ventricular from cardiac MR images based on improved Markov random field model. In: Image and Signal Processing, CISP’09, 2009, pp 1–5

  10. Santarelli MF, Positano V, Michelassi C, Lombardi M, Landini L: Automated cardiac MR image segmentation: theory and measurement evaluation. Medical Engineering Physics 25:149–159, 2003

    PubMed  Article  CAS  Google Scholar 

  11. ElBerbari R, Frouin F, Redheuil A, Angelinic E-D, Mousseaux E, Bloch I, Herment A: Development and evaluation of an automatic segmentation method of endocardial border in cardiac magnetic resonance images. ITBM-RBM 28:117–123, 2007

    Google Scholar 

  12. Li C, Xu C, Gui C, Fox MD: Level set evolution without reinitialization: A new variational formulation. In: Proceedings of CVPR’05 1, 2005, pp 430–436

  13. Evans L: Partial Differential Equations. American Mathematical Society, Providence, 1998

    Google Scholar 

  14. Otsu N: A threshold selection method from gray-level histograms. IEEE Trans Syst Man Cybern 9(1):62–66, 1979

    Article  Google Scholar 

  15. Najman L, Cousty J, Couprie M, Talbot H, Guinaudeau S, Goissen T, Garot J: An open, clinically validated database of 3D+t cine-MR images of the left ventricle with associated manual and automated segmentations. In: Insight Journal, 2007 special issue entitled ISC/NA-MIC Workshop on Open Science at MICCAI, 2007

  16. Hammoude A: Computer-assisted endocardial border identification from a sequence of two-dimensional echocardiographic images. Ph.D. dissertation, Univ. Washington, Seattle, WA, 1988

  17. Mendonc T, Andre RS, et al: Comparison of segmentation methods for automatic diagnosis of dermoscopy images. In: IEEE EMBS, France, 1-4244-0788-5, 2007

  18. Altman DG, Bland JM: Measurement in medicine: the analysis of method comparison studies. Statistician 32:307–317, 1983

    Article  Google Scholar 

  19. Thunberg P, Emilsson K, Rask P, Kähäri A: Separating the left cardiac ventricle from the atrium in short axis MR images using the equation of the atrioventricular plane. Clin Physiol Funct Imaging 28(4):222–228, 2008

    PubMed  Article  Google Scholar 

Download references

Author information

Affiliations

Authors

Corresponding author

Correspondence to Mohammed Ammar.

Rights and permissions

Reprints and Permissions

About this article

Cite this article

Ammar, M., Mahmoudi, S., Chikh, M.A. et al. Endocardial Border Detection in Cardiac Magnetic Resonance Images Using Level Set Method. J Digit Imaging 25, 294–306 (2012). https://doi.org/10.1007/s10278-011-9404-z

Download citation

  • Published:

  • Issue Date:

  • DOI: https://doi.org/10.1007/s10278-011-9404-z

Keywords

  • Left ventricle
  • MRI image
  • Cardiac function
  • Contours
  • Segmentation
  • Level set