Skip to main content

Development of a Noise Reduction Filter Algorithm for Pediatric Body Images in Multidetector CT

Abstract

Recently, several types of post-processing image filter which was designed to reduce noise allowing a corresponding dose reduction in CT images have been proposed and these were reported to be useful for noise reduction of CT images of adult patients. However, these have not been reported on adaptation for pediatric patients. Because they are not very effective with small (<20 cm) display fields of view, they could not be used for pediatric (e.g., premature babies and infants) body CT images. In order to solve this restriction, we have developed a new noise reduction filter algorithm which can be applicable for pediatric body CT images. This algorithm is based on a three-dimensional post processing, in which output pixel values are calculated by multi-directional, one-dimensional median filters on original volumetric datasets. The processed directions were selected except in in-plane (axial plane) direction, and consequently the in-plane spatial resolution was not affected by the filter. Also, in other directions, the spatial resolutions including slice thickness were almost maintained due to a characteristic of non-linear filtering of the median filter. From the results of phantom studies, the proposed algorithm could reduce standard deviation values as a noise index by up to 30% without affecting the spatial resolution of all directions, and therefore, contrast-to-noise ratio was improved by up to 30%. This newly developed filter algorithm will be useful for the diagnosis and radiation dose reduction of pediatric body CT images.

This is a preview of subscription content, access via your institution.

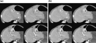
Fig 1.
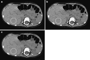
Fig 2.
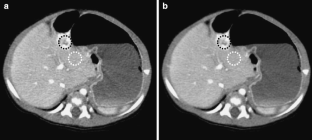
Fig 3.
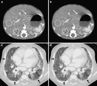
Fig 4.
Fig 5.
Fig 6.
Fig 7.
Fig 8.
Fig 9.
Fig 10.
Fig 11.
Fig 12.
Fig 13.
Fig 14.
Fig 15.

References

  1. Flohr TG, Schaller S, Stierstorfer K, Bruder H, Ohnesorge BM, Schoepf UJ: Multi-detector row CT systems and image reconstruction techniques. Radiology 235:756–773, 2005

    Article  PubMed  Google Scholar 

  2. Puqliese F, Weustink AC, Van Mieqhem C, Alberghina F, Otsuka M, Meijboom WB, Van Pelt N, Mollet NR, Cademartiri F, Krestin GP, Hunink MG, de Feyter PJ: Dual-source coronary computed tomography angiography for detecting in-stent restenosis. Heart Sep 19, 2007

  3. Frush DP, Donnelly LF: Helical CT in children: technical considerations and body applications. Radiology 209:37–48, 1998

    CAS  PubMed  Google Scholar 

  4. Brenner DJ: Estimating cancer risks from the pediatric CT: going from the qualitative to the quantitative. Pediatr Radiol 32:228–231, 2002

    Article  PubMed  Google Scholar 

  5. Brenner DJ, Elliston CD, Hall EJ, Berdon WE: Estimates of the cancer risks from pediatric CT radiation are not merely theoretical. Comment on point/counterpoint: in X-ray computed tomography, technique factors should be selected appropriate to patient size against the proposition (letter). Med Phys 28:2387–2388, 2001

    CAS  Article  PubMed  Google Scholar 

  6. Brody AS, Frush DP, Huda W, Robelt LB: Radiation risk to children from computed tomography. Pediatrics 120:677–682, 2007

    Article  PubMed  Google Scholar 

  7. Laurence K, Yair S, Solange A: Nonlinear filters applied on computerized axial tomography: theory and phantom images. Med Phys 19(4):1057–1064, 1992

    Article  Google Scholar 

  8. Michelle H, Cheryl D: Image filtering for improved dose resolution in CT polymer gel dosimetry. Med Phys 31:39–49, 2004

    Article  Google Scholar 

  9. Kalra MK, Maher MM, Blake MA, Lucey BC, Karau K, Toth TL, Avinash G, Halpern E, Saini S: Detection and characterization of lesions on low-radiation-dose abdominal CT images postprocessed with noise reduction filters. Radiology 232:791–797, 2004

    Article  PubMed  Google Scholar 

  10. Okumura M, Ota T, Tsukagoshi S, Katada K: New method of evaluating edge-preserving adaptive filters for computed tomography (CT): digital phantom method. Nippon Hoshasen Gijutsu Gakkai Zasshi 62(7):971–978, 2006

    PubMed  Google Scholar 

  11. Sasaki T, Sasaki M, Hanari T, Gakumazawa H, Noshi Y, Okumura M: Improvement in image quality of noncontrast head images in multidetector-row CT by volume helical scanning with a three-dimensional denoising filter. Radiat Med 25:368–372, 2007

    Article  PubMed  Google Scholar 

  12. Funama Y, Awai K, Miyazaki O, Nakayama Y, Goto T, Omi Y, Shimonobo T, Liu D, Yamashita Y, Hori S: Improvement of low-contrast detectability in low-dose hepatic multidetector computed tomography using a novel adaptive filter: evaluation with a computer-simulated liver including tumors. Invest Radiol 41(1):1–7, 2006

    Article  PubMed  Google Scholar 

  13. McDonnel MJ: Box-filtering techniques. Comput Graph Image Process 17:65–70, 1981

    Article  Google Scholar 

  14. Itoh K, Ichioka Y, Minami T: Nearest-neighbor median filter. Appl Opt 27(16):3445–3450, 1988

    CAS  Article  PubMed  Google Scholar 

  15. Nodes TA, Gallagher NC: The output distribution of median type filters. IEEE Trans Commun 32(5):532–541, 1984

    Article  Google Scholar 

  16. Optical Microscopy Primer, Digital Image Processing. Available at http://micro.magnet.fsu.edu/primer/java/digitalimaging/processing/medianfilter/index.html. Accessed 29 May 2008

  17. Image J, Image Processing and Analysis in Java. Available at http://rsb.info.nih.gov/ij/plugins/hybrid2dmedian.html. Accessed 12 March 2009

  18. Riederer SJ, Pelc NJ, Chesler DA: The noise power spectrum in computed X-ray tomography. Phys Med Biol 23(3):446–454, 1978

    CAS  Article  PubMed  Google Scholar 

  19. Harpen MD: A computer simulation of wavelet noise reduction in computed tomography. Med Phys 26(8):1600–1606, 1999

    CAS  Article  PubMed  Google Scholar 

  20. Ichikawa K: Fundamentals and applications of image evaluation in digital age—image evaluation in computed tomography. Nippon Hoshasen Gijutsu Gakkai Zasshi 58(1):37–40, 2002 (in Japanese)

    PubMed  Google Scholar 

  21. Verdun FR, Denys A, Valley JF, Schnyder P, Meuli RA: Detection of low-contrast objects: experimental comparison of single- and multi-detector row CT with a phantom. Radiology 223:426–431, 2002

    Article  PubMed  Google Scholar 

  22. Tanikake M, Shimizu T, Narabayashi I, Matsuki M, Masuda K, Yamamoto K, Uesugi Y, Yoshikawa S: Three-dimensional CT angiography of the hepatic artery: use of multi-detector raw helical CT and a contrast agent. Radiology 227:883–889, 2003

    Article  PubMed  Google Scholar 

  23. Uchida M, Ishibashi M, Abe T, Nishimura H, Hayabuchi N: Three-dimensional imaging of liver tumors using helical CT during intravenous injection of contrast medium. J Comput Assist Tomogr 23:435–440, 1999

    CAS  Article  PubMed  Google Scholar 

Download references

Author information

Affiliations

Authors

Corresponding author

Correspondence to Eiji Nishimaru.

Rights and permissions

Reprints and Permissions

About this article

Cite this article

Nishimaru, E., Ichikawa, K., Okita, I. et al. Development of a Noise Reduction Filter Algorithm for Pediatric Body Images in Multidetector CT. J Digit Imaging 23, 806–818 (2010). https://doi.org/10.1007/s10278-009-9218-4

Download citation

  • Received:

  • Revised:

  • Accepted:

  • Published:

  • Issue Date:

  • DOI: https://doi.org/10.1007/s10278-009-9218-4

Key words

  • Computed tomography (CT)
  • pediatric
  • noise reduction
  • image processing
  • radiation dose
  • spatial resolution