Skip to main content

Spine Localization in X-ray Images Using Interest Point Detection

Abstract

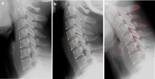
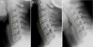
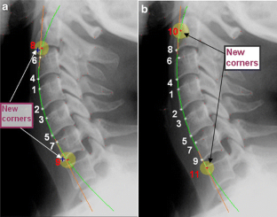
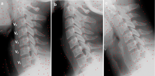
This study was conducted to evaluate a new method used to calculate vertebra orientation in medical x-ray images. The goal of this work is to develop an x-ray image segmentation approach used to identify the location and the orientation of the cervical vertebrae in medical images. We propose a method for localization of vertebrae by extracting the anterior—left—faces of vertebra contours. This approach is based on automatic corner points of interest detection. For this task, we use the Harris corner detector. The final goal is to determine vertebral motion induced by their movement between two or several positions. The proposed system proceeds in several phases as follows: (a) image acquisition, (b) corner detection, (c) extracting of the corners belonging to vertebra left sides, (d) global estimation of the spine curvature, and (e) anterior face vertebra detection.

This is a preview of subscription content, access via your institution.

Fig 1
Fig 2
Fig 3
Fig 4
Fig 5
Fig 6
Fig 7
Fig 8
Fig 9
Fig 10
Fig 11

References

  1. Xu X, Lee D, Antani S: Localizing contour points for indexing an x-ray image retrieval system (2003) Proceedings of the 16th IEEE Symposium on Computer-based Medical Systems. New York, NY, 2627 June 2003, pp 169–174

  2. Rico G, Benjelloun M, Libert G: Detection, localization and representation of cervical vertebrae. Proceedings of the Computer Vision Winter Workshop 2001; Bled, Slovenia, February 2001, pp 114–124

  3. Benjelloun M, Tellez H, Mahmoudi S: Vertebra edge detection using polar signature. In: Proceedings of the 18th International Conference on Pattern Recognition (ICPR2006). Vol. 1, pp 476–479

  4. Pham D, Xu C, Prince J: Current methods in medical image segmentation. Annu Rev Biomed Eng 2:315–337, 2000

    PubMed  Article  CAS  Google Scholar 

  5. Kass M, Witkin A, Terzopoulos D: Snakes: active contour models. Int J Comput Vis 1:321–331, 1987

    Article  Google Scholar 

  6. Cootes T, Hill A, Taylor C, Haslam J: The use of active shape models for locating structures in medical images. Image Vis Comput 12:355–366, 1994

    Article  Google Scholar 

  7. Sethian J: Level Set Methods. Cambridge University Press, 1996

  8. Lam B, Yan H: A curve tracing algorithm using level set based affine transform. Pattern Recogn Lett 28(2):181–196, 2007

    Article  Google Scholar 

  9. Sclaroff S, Isidoro J: Active blobs: region-based, deformable appearance models. Comput Vis Image Underst 89(2–3):197–225, 2003

    Article  Google Scholar 

  10. Cootes T, Taylor C: Statistical models of appearance for computer vision. Internal report, 1999

  11. de Bruijne M, van Ginneken B, Viergever M, Niessen W: Adapting active shape models for 3d segmentation of tubular structures in medical images. In: IPMI, volume 2732 of LNCS, Springer, 2003, pp 136–147

  12. Brejl M, Sonka M: Object localization and border detection criteria design in edgebased image segmentation: automated learning from examples. IEEE Trans Med Imag 19(10):973–985, 2000

    Article  CAS  Google Scholar 

  13. Howe B, Gururajan A, Sari-Sarraf H, Long R: Hierarchical segmentation of cervical and lumbar vertebrae using a customized generalized hough transform. Proceedings of the IEEE 6th SSIAI, Lake Tahoe, NV. March, 2004, pp 182–186

  14. Tezmol A, Sari-Sarraf H, Mitra S, Long R, Gururajan A: A customized hough transform for robust segmentation of cervical vertebrae from x-ray images. Proceedings of the 5th IEEE Southwest Symposium on Image Analysis and Interpretation, Santa Fe, New Mexico, USA, 2002

  15. Kumar VPD, Thomas T: Automatic estimation of orientation and position of spine in digitized x-rays using mathematical morphology. J Digit Imaging 18(3):234–241, 2005

    PubMed  Article  Google Scholar 

  16. Masood A, Sarfraz M: “A novel corner detector approach using sliding rectangles”. Proceedings of the IEEE International Conference on Computer Systems and Applications, 2006. Volume 00, March 8, 2006, pp 621–626

  17. Harris C, Stephens M: A Combined Corner and Edge Detector. In: Proceedings of the 4th ALVEY Vision Conference, 1988, pp 147–151

  18. Schmid C, Mohr R, Bauckhage C: Evaluation of interest point detectors. Int J Comput Vis 37(2):151–172, 2000

    Article  Google Scholar 

  19. Mahmoudi S, Benjelloun M: “Corner points detection for vertebral mobility analysis”. In: Proceedings of IEEE International Conference on Signal Processing and Communication(ICSPC 2007). Dubai, UAE, 24–27 November 2007. Volume 01, pp 24–27

  20. Beghdadi A, Negrate AL: Contrast enhancement technique based on local detection of edges. Comput. Vis Graph Image Process 46:162–174, 1989

    Article  Google Scholar 

Download references

Author information

Affiliations

Authors

Corresponding author

Correspondence to Saïd Mahmoudi.

Rights and permissions

Reprints and Permissions

About this article

Cite this article

Benjelloun, M., Mahmoudi, S. Spine Localization in X-ray Images Using Interest Point Detection. J Digit Imaging 22, 309–318 (2009). https://doi.org/10.1007/s10278-007-9099-3

Download citation

  • Received:

  • Revised:

  • Accepted:

  • Published:

  • Issue Date:

  • DOI: https://doi.org/10.1007/s10278-007-9099-3

Key words

  • Vertebral mobility analysis
  • corner detection
  • face contour detection
  • Harris detector