Abstract
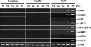
Temperature is one of the most important environmental factors that influence plant growth and development. Recent studies imply that plants show various responses to non-extreme ambient temperatures. Previously, we have found that a pepper cultivar cv. Sy-2 (Capsicum chinense) shows developmental defects at temperatures below 24°C. In this study, to gain new insights into the temperature sensitivity of cv. Sy-2, temperature-sensitive genes were screened using microarray techniques. At restrictive temperature of 20°C, almost one-fourth of the 411 up-regulated genes were defense related or predicted to be defense related. Further expression analyses of several defense-related genes showed that defense-related genes in cv. Sy-2 were constitutively expressed at temperatures below 24°C. Moreover, accumulation of high level of salicylic acid (SA) in cv. Sy-2 grown at 20°C suggests that the defense response is activated in the absence of pathogens. To confirm that the defense response is induced in cv. Sy-2 below 24°C, we evaluated the resistance to biotrophic bacterial pathogen Xanthomonas campestris pv. vesicatoria and necrotrophic fungal pathogen Cercospora capsici. Cv. Sy-2 showed enhanced resistance to X. campestris pv. vesicatoria, but not to C. capsici.
This is a preview of subscription content, access via your institution.





References
Akamatsu T, Hanzawa Y, Ohtake Y, Takahashi T, Nishitani K, Komeda Y (1999) Expression of endoxyloglucan transferase genes in acaulis mutants of Arabidopsis. Plant Physiol 121:715–721
Altschul SF, Gish W, Miller W, Myers EW, Lipman DJ (1990) Basic local alignment search tool. J Mol Biol 215:403–410
Boukema IW (1982) Resistance to TMV in Capsicum chacoense Hunz. is governed by an allele of the L-locus. Capsicum Newsl 3:47–48
Browse J, Xin Z (2001) Temperature sensing and cold acclimation. Curr Opin Plant Biol 4:241–246
Chinnusamy V, Zhu J, Zhu JK (2006) Gene regulation during cold acclimation in plants. Physiol Plant 126:52–61
Chirgwin JM, Przybyla AE, MacDonald RJ, Rutter WJ (1979) Isolation of biologically active ribonucleic acid from sources enriched in ribonuclease. Biochemistry 18:5294–5299
Glazebrook J (2005) Contrasting mechanisms of defense against biotrophic and necrotrophic pathogens. Annu Rev Phytopathol 43:205–227
Gou M, Su N, Zheng J, Huai J, Wu G, Zhao J, He J, Tang D, Yang S, Wang G (2009) An F-box gene, CPR30, functions as a negative regulator of the defense response in Arabidopsis. Plant J 60:757–770
Heil M (1999) Systemic acquired resistance: available information and open ecological questions. J Ecol 87:341–346
Heil M (2001) The ecological concept of costs of induced systemic resistance (ISR). Eur J Plant Pathol 107:137–146
Heil M, Baldwin IT (2002) Fitness costs of induced resistance: emerging experimental support for a slippery concept. Trends Plant Sci 7:61–67
Hua J, Grisafi P, Cheng SH, Fink GR (2001) Plant growth homeostasis is controlled by the Arabidopsis BON1 and BAP1 genes. Genes Dev 15:2263–2272
Huang X, Li J, Bao F, Zhang X, Yang S (2010) A gain-of-function mutation in the arabidopsis disease resistance gene RPP4 confers sensitivity to low temperature. Plant Physiol 154:796–809
Hughes MA, Dunn MA (1996) The molecular biology of plant acclimation to low temperature. J Exp Bot 47:291–305
Hwang CF, Bhakta AV, Truedell GM, Pudlo WM, Williamson VM (2000) Evidence for role of N terminus and leucine-rich repeat region of the Mi gene product in regulation of localized cell death. Plant Cell 12:1319–1329
Ichimura K, Casais C, Peck SC, Shinozaki K, Shirasu K (2006) MEKK1 is required for MPK4 activation and regulates tissue-specific and temperature-dependent cell death in Arabidopsis. J Biol Chem 281:36969–36976
Irizarry RA, Bolstad BM, Collin F, Cope LM, Hobbs B, Speed TP (2003) Summaries of Affymetrix GeneChip probe level data. Nucl Acids Res 31:e15
Jablonska B, Ammiraju JSS, Bhattarai KK, Mantelin S, De Ilarduya MO, Roberts PA, Kaloshian I (2007) The Mi-9 gene from Solanum Arcanum conferring heat-stable resistance to root-knot nematodes is a homolog of Mi-1. Plant Physiol 143:1044–1054
Koeda S, Hosokawa M, Kang BC, Yazawa S (2009) Dramatic changes in leaf development of the native Capsicum chinense from the Seychelles at temperatures below 24°C. J Plant Res 122:623–631
Koeda S, Takezaki A, Isomura Y, Yazawa S (2010) Developmental abnormality of a local pepper cultivar (Capsicum chinense) from the Seychelles below 24°C. Bulletin Exp Farm, Kyoto University (in press) (Abstract in English, Text in Japanese)
Kuwabara C, Imai R (2009) Molecular basis of disease resistance acquired through cold acclimation in overwintering plants. J Plant Biol 52:19–26
Long SP, Woodward FI (1988) Plants and temperature. The Company of Biologists Limited, Cambridge
Meisel L, Xie S, Lam E (1996) lem7, a novel temperature-sensitive Arabidopsis mutation that reversibly inhibits vegetative development. Dev Biol 179:116–134
Pitzschke A, Schikora A, Hirt H (2009) MAPK cascade signalling networks in plant defence. Curr Opin Plant Biol 4:421–426
Republic of Seychelles (2009) Seychelles in Figures 2009 Edition. http://www.virtualseychelles.sc/index.php?option=com_phocadownload&view=category&id=3:statistical-information&Itemid=90. Accessed 28 Feb 2011
Ribeiro OK (1978) A source book of the genus Phytophthora. Cramer, Vaduz
Ruepp A, Zollner A, Maier D, Albermann K, Hani J, Mokrejs M, Tetko I, Güldener U, Mannhaupt G, Münsterkötter M, Mewes HW (2004) The FunCat, a functional annotation scheme for systematic classification of proteins from whole genomes. Nucl Acids Res 32:5539–5545
Samuel G (1931) Some experiments on inoculating methods with plant viruses, and on local lesions. Ann Appl Biol 18:494–507
Samuelsen AI, Rickson FR, Mok DWS, Mok MC (1997) A temperature-dependent morphological mutant of tobacco. Planta 201:303–310
Sharma P, Sharma N, Deswal R (2005) The molecular biology of the low-temperature response in plants. Bioessays 27:1048–1059
Sheldon CC, Finnegan EJ, Rouse DT, Tadege M, Bagnall DJ, Helliwell CA, Peacock WJ, Dennis ES (2000) The control of flowering by vernalization. Curr Opin Plant Biol 3:418–422
Skipp RA, Samborski DJ (1974) The effect of the Sr6 gene for host resistance on histological events during the development of stem rust in near-isogenic wheat lines. Can J Bot 52:1107–1115
Swabey C (1970) The endemic flora of the Seychelle islands and its conservation. Biol Conserv 2:171–177
Tsukaya H, Inaba-Higano K, Komeda Y (1995) Phenotypic characterization and molecular mapping of an acaulis2 mutant of Arabidopsis thaliana with flower stalks of much reduced length. Plant Cell Physiol 36:239–244
Verberne MC, Brouwer N, Delbianco F, Linthorst HJM, Bol JF, Verpoorte R (2002) Method for the extraction of the volatile compound salicylic acid from tobacco leaf material. Phytochem Anal 13:45–50
Viswanathan C, Zhu JK (2002) Molecular genetic analysis of cold-regulated gene transcription. Philos Trans R Soc Lond B Biol Sci 357:877–886
Waites R, Hudson A (1995) phantastica: a gene required for dorsoventrality of leaves in Antirrhinum majus. Development 121:2143–2154
Walker JC, Smith R (1930) Effect of environmental factors upon the resistance of cabbage to yellows. J Agric Res 41:1–15
Wang Y, Bao Z, Zhu Y, Hua J (2009) Analysis of temperature modulation of plant defense against biotrophic microbes. Mol Plant Microbe Interact 22:498–506
Went FW (1953) The effect of temperature on plant growth. Annu Rev Plant Physiol 4:347–362
Whitham S, Dinesh-Kumar SP, Choi D, Hehl R, Corr C, Baker B (1994) The product of the tobacco mosaic virus resistance gene N: similarity to toll and the interleukin-1 receptor. Cell 78:1101–1115
Workman C, Jensen LJ, Jarmer H, Berka R, Gautier L, Nielser HB, Saxild HH, Nielsen C, Brunak S, Knudsen S (2002) A new non-linear normalization method for reducing variability in DNA microarray experiments. Genome biol 3: research0048
Xiao S, Brown S, Patrick E, Brearley C, Turner JG (2003) Enhanced transcription of the Arabidopsis disease resistance genes RPW8.1 and RPW8.2 via a salicylic acid-dependent amplification circuit is required for hypersensitive cell death. Plant Cell 15:33–45
Yang S, Hua J (2004) A haplotype-specific resistance gene regulated by BONZAI1 mediates temperature-dependent growth control in Arabidopsis. Plant Cell 16:1060–1071
Yang H, Shi Y, Liu J, Guo L, Zhang X, Yang S (2010) A mutant CHS3 protein with TIR-NB-LRR-LIM domains modulates growth, cell death and freezing tolerance in a temperature-dependent manner in Arabidopsis. Plant J 63:283–296
Zhang J, Zhou JM (2010) Plant immunity triggered by microbial molecular signatures. Mol Plant 3:783–793
Zhu Y, Qian W, Hua J (2010) Temperature modulates plant defense responses through NB-LRR proteins. PLoS Patho 6:1–12
Acknowledgment
We thank National Institute of Agrobiological Sciences Genebank (Japan) for providing the bacterial strain 77G-1 (MAFF No. 301294) of X. campestris pv. vesicatoria. We also thank two anonymous reviewers for their kind suggestions and comments on the revision of the manuscript.
Author information
Authors and Affiliations
Corresponding author
Electronic supplementary material
Below is the link to the electronic supplementary material.
Rights and permissions
About this article
Cite this article
Koeda, S., Hosokawa, M., Kang, BC. et al. Defense response of a pepper cultivar cv. Sy-2 is induced at temperatures below 24°C. J Plant Res 125, 137–145 (2012). https://doi.org/10.1007/s10265-011-0414-1
Received:
Accepted:
Published:
Issue Date:
DOI: https://doi.org/10.1007/s10265-011-0414-1
Keywords
- Ambient temperatures
- Capsicum
- Defense responses
- Pepper
- Salicylic acid
- Temperature-sensitivity