Skip to main content

Protective Effect of Metformin Against Cisplatin-Induced Ototoxicity in an Auditory Cell Line

Abstract

Metformin, an antidiabetic drug with potent anticancer activity, is known to prevent oxidative stress-induced cell death in several cell types through a mechanism dependent on the mitochondria. In the present study, we investigated the influence of metformin on cisplatin ototoxicity in an auditory cell line. Cell viability was determined using a 3-(4,5-dimethylthiazol-2-yl)-2,5-diphenyltetrazoliumbromide (Sigma, St. Louis, MO, USA) cell proliferation assay. Oxidative stress and apoptosis were assessed by flow cytometry analysis, Hoechst 33258 staining, reactive oxygen species (ROS) measurement, and western blotting. Intracellular calcium concentration changes were detected using calcium imaging. Pretreatment with 1 mM metformin prior to the application of 20 μM cisplatin significantly decreased the frequency of late apoptosis in HEI-OC1 cells and also significantly attenuated the cisplatin-induced increase in ROS. In addition, metformin inhibited the activation of caspase-3 and levels of poly-ADP-ribose polymerase (PARP). Pretreatment with metformin prevented the cisplatin-induced elevation in intracellular calcium concentrations. We propose that metformin protects against cisplatin-induced ototoxicity by inhibiting the increase in intracellular calcium levels, preventing apoptosis, and limiting ROS production.

This is a preview of subscription content, access via your institution.

FIG. 1
FIG. 2
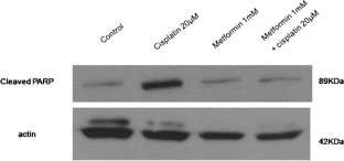
FIG. 3
FIG. 4
FIG. 5
FIG. 6
FIG. 7
FIG. 8

References

  • Anisimov VN, Berstein LM, Egormin PA, Piskunova TS, Popovich IG, Zabezhinski MA, Kovalenko IG, Poroshina TE, Semenchenko AV, Provinciali M, Re F, Franceschi C (2005) Effect of metformin on life span and on the development of spontaneous mammary tumors in HER-2/neu transgenic mice. Exp Gerontol 40:685–693

    CAS  PubMed  Article  Google Scholar 

  • Banfi B, Malgrang B, Knisz J, Steger K, Dubois-Dauphin M, Krause KH (2004) NOX3, a superoxide-generating NADPH oxidase of the inner ear. J Biol Chem 279:46065–46072

    CAS  PubMed  Article  Google Scholar 

  • Ben Sahra I, Le Marchand-Brustel Y, Tanti JF, Bost F (2010) Metformin in cancer therapy; a new perspective for an old antidiabetic drug? Mol Cancer Ther 9:1092–1099

    CAS  PubMed  Article  Google Scholar 

  • Bernardi P, Krauskopf A, Basso E, Petronilli V, Blachly-Dyson E, Di Lisa F, Forte MA (2006) The mitochondrial permeability transition from in vitro artifact to disease target. FEBS J 273:2077–2099

    CAS  PubMed  Article  Google Scholar 

  • Boulikas T, Vougiouka M (2003) Cisplatin and platinum drugs at the molecular level: review. Oncol Rep 10(6):1663–1682

    CAS  PubMed  Google Scholar 

  • Chang J, Jung HH, Yang JY, Choi J, Im GJ, Chae SW (2011) Protective role of antidiabetic drug metformin against gentamicin induced apoptosis in auditory cell line. Hear Res 282(1–2):92–96

    PubMed  Google Scholar 

  • Choe WT, Chinosornvatana N, Chang WK (2004) Prevention of cisplatin ototoxicity using transtympanic N-acetylcysteine and lactate. Otol Neurotol 25:910–915

    PubMed  Article  Google Scholar 

  • Clerici WJ, DiMartino DL, Prasad MR (1995) Direct effects of reactive oxygen species on cochlear outer hair cell shape in vitro. Hear Res 84:30–40

    CAS  PubMed  Article  Google Scholar 

  • Daldal A, Odabasi O, Serbetcioglu B (2007) The protective effect of intratympanic dexamethasone on cisplatin-induced ototoxicity in guinea pigs. Otolaryngol Head Neck Surg 137(5):747–752

    PubMed  Article  Google Scholar 

  • Davis CA, Nick HS, Agarwal A (2001) Manganese superoxide dismutase attenuates cisplatin-induced renal injury; importance of superoxide. J Am Soc Nephrol 12(12):2683–2690

    CAS  PubMed  Google Scholar 

  • Dehne N, Lautemanrun J, Petrat F, Rauen U, de Groot H (2001) Cisplatin ototoxicity: involvement of iron and enhanced formation or superoxide anion radical. Toxicol Appl Pharmacol 174:27–34

    CAS  PubMed  Article  Google Scholar 

  • Dickey TD, Muldoon LL, Kraemer DF, Neuwelt EA (2004) Protection against cisplatin-induced ototoxicity by N-acetyl-cysteine in rat model. Hear Res 193:25–30

    Article  Google Scholar 

  • Dong L, Zhou Q, Zhang Z, Zhu Y, Duan T, Feng Y (2012) Metformin sensitizes endometrial cancer cells to chemotherapy by repressing glyoxalase I expression. J Obstet Gynaecol Res 38(8):1077–1085

    CAS  PubMed  Article  Google Scholar 

  • El-Mir MY, Detaille D, Villanueva GR et al (2008) Neuroprotective role of antidiabetic drug metformin against apoptotic cell death in primary cortical neurons. J Mol Neurosci 34:77–87

    CAS  PubMed  Article  Google Scholar 

  • Gonzalez-Angulo AM, Meric-Bernstam F (2010) Metformin: a therapeutic opprotunitiy in breast cancer. Clin Cancer Res 16:1695–1700

    CAS  PubMed Central  PubMed  Article  Google Scholar 

  • Goodarzi MO, Bryer-Ash M (2005) Metformin revisited: re-evaluation of its properties and role in the pharmacopoeia of modern antidiabetic agents. Diabetes Obes Metab 7(6):654–665

    CAS  PubMed  Article  Google Scholar 

  • Grutter MG (2000) Caspases: key players in programmed cell death. Curr Opin Struct Biol 10(6):649–655

    CAS  PubMed  Article  Google Scholar 

  • Guigas B, Detaille D, Chauvin C et al (2004) Metformin inhibits mitochondrial permeability transition and cell death: a pharmacological in vitro study. Biochem J 382:877–884

    CAS  PubMed Central  PubMed  Article  Google Scholar 

  • Hill GW, Morest DK, Parham K (2008) Cisplatin-induced ototoxicity: effect of intratympanic dexamethasone injections. Otol Neurotol 29(7):1005–1011

    PubMed Central  PubMed  Article  Google Scholar 

  • Hundal RS, Krssak M, Dufour S, Laurent D, Lebon V, Chandramouli V, Inzucchi SE, Schumann WC, Petersen KF, Landau BR, Shulman GI (2000) Mechanism by which metformin reduces glucose production in type 2 diabetes. Diabetes 49:2063–2069

    CAS  PubMed Central  PubMed  Article  Google Scholar 

  • Hyppolito MA, de Oliveira JA, Rossato M (2006) Cisplatin ototoxicity and otoprotection with sodium salicylate. Eur Arch Otorhinolaryngol 263(9):798–803

    PubMed  Article  Google Scholar 

  • Jacotot E, Costantini P, Laboureau E, Zamzami N, Susin SA, Kroemer G (1999) Mitochondrial membrane permeabilization during the apoptotic process. Ann N Y Acad Sci 887:18–30

    CAS  PubMed  Article  Google Scholar 

  • Kalinec GM, Webster P, Lim DJ, Kalinec F (2003) A cochlear cell line as an in vitro system for drug ototoxicity screening. Audiol Neurootol 8:177–189

    CAS  PubMed  Article  Google Scholar 

  • Lablanche S, Cottet-Rousselle C, Lamarche F, Benhamou P-Y, Halimi S, Leverve X, Fontaine E (2011) Protection of pancreatic INS-1 b-cells from glucose- and fructose-induced cell death by inhibiting mitochondrial permeability transition with cyclosporine A or metformin. Cell Death Dis 2:e134

    CAS  PubMed Central  PubMed  Article  Google Scholar 

  • Lee JE, Nakagawa T, Kim TS, Endo T, Shiga A, Iguchi F, Lee SH, Ito J (2004a) Role or reactive radicals in generation of the auditory system of mice following cisplatin treatment. Acta Otolaryngol 124:1131–1135

    CAS  PubMed  Article  Google Scholar 

  • Lee JE, Nakagawa T, Kita T, Kim TS, Endo T, Shiga A, Iguchi F, Lee SH, Ito J (2004b) Mechanisms of apoptosis induced by cisplatin in marginal cells in mouse stria vascularis. ORL J Otorhinolaryngol Relat Spec 66:111–118

    CAS  PubMed  Article  Google Scholar 

  • Lee MK, Kang SJ, Poncz M, Song KJ, Park KS (2007) Resveratrol protects SH-SY5Y neuroblastoma cells from apoptosis induced by dopamine. Exp Mol Med 39(3):376–384

    CAS  PubMed  Article  Google Scholar 

  • MacGlashan D Jr (1989) Single-cell analysis of Ca++ changes in human lung mast cells: graded vs. all-or-nothing elevations after IgE-mediated stimulation. J Cell Biol 109:123–134

    CAS  PubMed  Article  Google Scholar 

  • Marina N, Chang KW, Malogolowkin M, London WB, Frazier AL, Womer RB, Rescorla F, Billmire DF, Davis MM, Perlman EJ, Giller R, Lauer SJ, Olson TA, Children’s Oncology (2005) Amifostine does not protect against the ototoxicity of high-dose cisplatin combined with etoposide and bleomycin in pediatric germ-cell tumors: a Children’s Oncology Group study. Cancer 104(4):841–847

    CAS  PubMed  Article  Google Scholar 

  • McKeage MJ (1995) Comparative adverse effect profiles of platinum drugs. Drug Saf 13:228–244

    CAS  PubMed  Article  Google Scholar 

  • Oliver FJ, de la Rubia G, Rolli V, Ruiz-Ruiz MC, de Murcia G, Murcia JM (1998) Importance of poly (ADP-ribose) polymerase and its cleavage in apoptosis. Lesson from an uncleavable mutant. J Biol Chem 273(50):33533–33539

    CAS  PubMed  Article  Google Scholar 

  • Rattan R, Graham RP, Maguire JL, Giri S, Shridhar V (2011) Metformin suppresses ovarian cancer growth and metastasis with enhancement of cisplatin cytotoxicity in vivo. Neoplasia 13(5):483–491

    CAS  PubMed Central  PubMed  Google Scholar 

  • Roland JT Jr, Cohen NL (1998) Vestibular and auditory ototoxicity. In: Cummings CW, Frederickson JM, Harker LA, Krause CJ, Schuller DF, Richardson MA (eds) Otolaryngology & Head and Neck Surgery, 3rd edn. Mosby, St. Louis, pp 3186–3197

    Google Scholar 

  • Rybak LP, Kelly T (2003) Ototoxicity: bioprotective mechanisms. Curr Opin Otolaryngol Head Neck Surg 11:328–333

    PubMed  Article  Google Scholar 

  • Rybak LP, Husain K, Morris C, Whitworth C, Somani S (2000) Effect of protective agents against cisplatin ototoxicity. Am J Otol 21:513–520

    CAS  PubMed  Google Scholar 

  • Sastry J, Kellie SJ (2005) Severe neurotoxicity, ototoxicity and nephrotoxicity following high-dose cisplatin and amifostine. Pediatr Hematol Oncol 22(5):441–445

    CAS  PubMed  Article  Google Scholar 

  • Ullah I, Ullah N, Naseer MI, Lee HY, Kim MO (2012) Neuroprotection with metformin and thymoquinone against ethanol-induced apoptotic neurodegeneration in prenatal rat cortical neurons. BMC Neurosci 13:11

    CAS  PubMed Central  PubMed  Article  Google Scholar 

  • Wang J, Faulconbridge RVL, Fetoni A, Guitton MJ, Pujol R, Puel JL (2003) Local application of sodium thiosulfate prevents cisplatin-induced hearing loss in the guinea pig. Neuropharmacology 45:380–393

    CAS  PubMed  Article  Google Scholar 

  • Zhou G, MyersR LY, Chen Y, Shen X, Fenyk-Melody J, Wu M, Ventre J, Doebber T, Jujji N, Musi N, Hirshman MF, Goodyear LJ, Mooer DE (2001) Role of AMP-activated proten kinase in mechanism of metformin action. J Clin Investig 108:1167–1174

    CAS  PubMed Central  PubMed  Article  Google Scholar 

Download references

Acknowledgments

This study was supported by Brain Korea 21.

Author information

Affiliations

Authors

Corresponding author

Correspondence to Hak Hyun Jung.

Rights and permissions

Reprints and Permissions

About this article

Cite this article

Chang, J., Jung, H.H., Yang, J.Y. et al. Protective Effect of Metformin Against Cisplatin-Induced Ototoxicity in an Auditory Cell Line. JARO 15, 149–158 (2014). https://doi.org/10.1007/s10162-013-0431-y

Download citation

  • Received:

  • Accepted:

  • Published:

  • Issue Date:

  • DOI: https://doi.org/10.1007/s10162-013-0431-y

Keywords

  • metformin
  • cisplatin
  • ototoxicity
  • cell culture
  • calcium imaging