Skip to main content

Foreign-body reaction to lanthanum on gastric mucosa

This is a preview of subscription content, access via your institution.

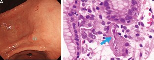
Fig. 1
Fig. 2

References

  1. Makino M, Kawaguchi K, Shimojo H, Nakamura H, Nagasawa M, Kodama R. Extensive lanthanum deposition in the gastric mucosa: the first histopathological report. Pathol Int. 2015;65:33–7.

    Article  CAS  PubMed  Google Scholar 

  2. Ogata H, Fukagawa M, Hirakata H, Kaneda H, Kagimura T, Akizawa T. Design and baseline characteristics of the LANDMARK study. Clin Exp Nephrol. 2017;21:531–7.

    Article  CAS  PubMed  Google Scholar 

  3. Saran R, Robinson B, Abbott KC, et al. US renal data system 2017 annual data report: epidemiology of kidney disease in the United States. Am J Kidney Dis. 2018;71:A7.

    Article  PubMed  PubMed Central  Google Scholar 

Download references

Author information

Affiliations

Authors

Corresponding author

Correspondence to Makoto Araki.

Ethics declarations

Conflict of interest

The authors have declared that no conflict of interest exists.

About this article

Verify currency and authenticity via CrossMark

Cite this article

Araki, M., Asano, K. & Taniuchi, N. Foreign-body reaction to lanthanum on gastric mucosa. Clin Exp Nephrol 23, 569–570 (2019). https://doi.org/10.1007/s10157-018-1664-1

Download citation

  • Received:

  • Accepted:

  • Published:

  • Issue Date:

  • DOI: https://doi.org/10.1007/s10157-018-1664-1

Keywords

  • Phosphate binder
  • Lanthanum
  • Dialysis
  • Foreign-body reaction
  • Hyperphosphatemia