Skip to main content

Clinical features of cyst infection and hemorrhage in ADPKD: new diagnostic criteria

Abstract

Background and objectives

Cyst infection and cyst hemorrhage are frequent and serious complications of autosomal dominant polycystic kidney disease (ADPKD), often being difficult to diagnose and treat. The first objective of this study is to clarify the clinical features of ADPKD patients with cyst hemorrhage or infection. The second objective is to establish diagnostic criteria for ADPKD patients with cyst infection or cyst hemorrhage.

Patients and methods

Patients with definite cyst infection or hemorrhage were enrolled from among the ADPKD patients referred to us between January 2004 and October 2011. We investigated their symptoms, laboratory data, and the computed tomography (CT)/magnetic resonance imaging (MRI) features of infected cysts (before and after onset), normal cysts, and cysts with hemorrhage.

Results

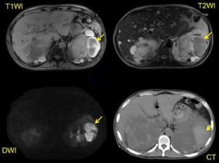
There were 24 patients with cyst infection (36 infected cysts) and 12 patients with acute cyst hemorrhage (13 bleeding cysts). White blood cell (WBC) count >10,000/μl, serum C-reactive protein (CRP) >15.0 mg/dl, and body temperature >38 °C strongly suggested cyst infection. All of the cysts with hemorrhage contained a high-density mass-like area or showed overall high density on CT, and all patients with cyst hemorrhage had abdominal pain or gross hematuria. On the other hand, infected cysts showed an increase of intensity on MRI [diffusion-weighted imaging (DWI)], while a fluid–fluid level, wall thickening, and gas were also evidence of infection. Abdominal pain and/or sequential changes on MRI after onset of symptoms were useful for localizing infected cysts.

Conclusion

Acute cyst hemorrhage and infection can be identified from symptoms, laboratory data, and CT/MRI findings.

This is a preview of subscription content, access via your institution.

Fig. 1
Fig. 2
Fig. 3

References

  1. Torres VE. Polycystic kidney disease autosomal-dominant and recessive forms. In: Massry SG, Glassock RJ (eds) Textbook of nephrology, 4th edn. Philadelphia: Lippincott Williams & Wilkins; 2001. p. 896–904.

  2. Fick GM, Johnson AM, Hammomd WS, Gabow PA. Causes of death in autosomal dominant polycystic kidney disease. J Am Soc Nephrol. 1995;5:2048–56.

    PubMed  CAS  Google Scholar 

  3. Peter CH, Vicente ET. Autosomal dominant polycystic kidney disease. Gene reviews. Bethesda: National Institutes of Health; 2009.

  4. Suwabe T, Ubara Y, Higa Y, Nakanishi S, Sogawa Y, Nomura K, et al. Infected hepatic and renal cysts: differential impact on outcome in autosomal dominant polycystic kidney disease. Nephron Clin Prac. 2009;112:c157–63.

    Article  CAS  Google Scholar 

  5. Elzinga LW, Bennett WM. Miscellaneous renal and systemic complications of autosomal dominant polycystic kidney disease including infection. In: Watson ML, Torres VE, editors. Polycystic kidney disease. Northants: Oxford Medical; 1996. p. 483–99.

    Google Scholar 

  6. Levine E, Grantham JJ. The role of computed tomography in the evaluation of adult polycystic kidney disease. Am J Kidney Dis. 1981;1:99–105.

    PubMed  CAS  Google Scholar 

  7. Schwab SJ, Bander SJ, Klahr S. Renal infection in autosomal dominant polycystic kidney disease. Am J Med. 1987;82:714–8.

    PubMed  Article  CAS  Google Scholar 

  8. Amesur P, Castronuovo JJ, Chandramouly B. Infected cyst localization with gallium SPECT imaging in polycystic kidney disease. Clin Nucl Med. 1988;13:35–7.

    PubMed  Article  CAS  Google Scholar 

  9. Bleeker-Rovers CP, de Sevaux RG, van Hamersvelt HW, Corstens FH, Oyen WJ. Diagnosis of renal and hepatic cyst infections by 18-F-fluorodeoxyglucose positron emission tomography in autosomal dominant polycystic kidney disease. Am J Kidney Dis. 2003;41:E18–21.

    PubMed  Article  Google Scholar 

  10. Sallée M, Rafat C, Zahar JR, Paulmier B, Grünfeld JP, Knebelmann B, et al. Cyst infections in patients with autosomal dominant polycystic kidney disease. Clin J Am Soc Nephrol. 2009;4:1183–9.

    PubMed  Article  Google Scholar 

  11. Laffon E, Cazeau AL, Monet A, de Clermont H, Fernandez Z, Marthan R et al. The effect of renal failure on 18F-FDG uptake: a theoretic assessment. J Nucl Med Technol 2008;36(4):200–2.

    Google Scholar 

  12. Ichioka K, Saito R, Matsui Y, Terai A. Diffusion-weighted magnetic resonance imaging of infected renal cysts in a patient with polycystic kidney disease. Urology. 2007;70(6):1219.

    PubMed  Article  Google Scholar 

  13. Katano K, Kakuchi Y, Nakashima A, Takahashi S, Kawano M. Efficacy of diffusion-weighted magnetic resonance imaging in detecting infected cysts in a case of polycystic kidney disease. Clin Nephrol. 2011;75:S24–6.

    Google Scholar 

  14. Verswijvel G, Vandecaveye V, Gelin G, Vandevenne J, Grieten M, Horvath M, et al. Diffusion-weighted MR imaging in the evaluation of renal infection: preliminary results. JBR-BTR. 2002;85(2):100–3.

    PubMed  CAS  Google Scholar 

  15. Carragee E, Eugene J. The clinical use of magnetic resonance imaging in pyogenic vertebral osteomyelitis. Spine. 1997;22(7):780–5.

    PubMed  Article  CAS  Google Scholar 

  16. Ryan A, McCook B, Sholosh B, Pryma DA, Jablonowski E, Fuhrman C, et al. Acute intramural hematoma of the aorta as a cause of positive FDG PET/CT. Clin Nucl Med. 2007;32:729–31.

    PubMed  Article  Google Scholar 

  17. Repko BM, Tulchinsky M. Increased F-18 FDG uptake in resolving atraumatic bilateral adrenal hemorrhage (hematoma) on PET/CT. Clin Nucl Med. 2008;33:651–3.

    PubMed  Article  Google Scholar 

  18. Jouret F, Lhommel R, Beguin C, Devuyst O, Pirson Y, Hassoun Z, et al. Positron-emission computed tomoghraphy in cyst infection diagnosis in patients with autosomal dominant polycystic kidney disease. Clin J Am Soc Nephrol. 2011;6:1644–50.

    PubMed  Article  Google Scholar 

  19. Bae KT, Grantham JJ. Imaging for the prognosis of autosomal dominant polycystic kidney disease. Nat Rev Nephrol. 2010;6:96–106.

    PubMed  Article  CAS  Google Scholar 

  20. Kanaan N, Goffin E, Pirson Y, Devuyst O, Hassoun Z. Carbohydrate antigen 19-9 as a diagnostic marker for hepatic cyst infection in autosomal dominant polycystic kidney disease. Am J Kidney Dis. 2010;55:916–22.

    PubMed  Article  Google Scholar 

  21. Kopterides P, Siempos II, Tsangaris I, Tsantes A, Armaganidis A. Procalcitonin-guided algorithms of antibiotic therapy in the intensive care unit: a systematic review and meta-analysis of randomized controlled trials. Crit Care Med. 2010;38:2229–41.

    PubMed  Article  Google Scholar 

  22. Heyland DK, Johnson AP, Reynolds SC, Muscedere J. Procalcitonin for reduced antibiotic exposure in the critical care setting: a systematic review and an economic evaluation. Crit Care Med. 2011;39:1792–9.

    PubMed  Article  CAS  Google Scholar 

  23. Schuetz P, Chiappa V, Briel M, Greenwald JL. Procalcitonin algorithms for antibiotic therapy decisions: a systematic review of randomized controlled trials and recommendations for clinical algorithms. Arch Intern Med. 2011;171:1322–31.

    PubMed  Article  Google Scholar 

  24. Tang BM, Eslick GD, Craig JC, McLean AS. Accuracy of procalcitonin for sepsis diagnosis in critically ill patients: systematic review and meta-analysis. Lancet Infect Dis. 2007;7:210–7.

    PubMed  Article  CAS  Google Scholar 

Download references

Acknowledgments

This study was funded by the Okinaka Memorial Institute for Medical Research.

Conflict of interest

None declared.

Author information

Affiliations

Authors

Corresponding author

Correspondence to Tatsuya Suwabe.

About this article

Cite this article

Suwabe, T., Ubara, Y., Sumida, K. et al. Clinical features of cyst infection and hemorrhage in ADPKD: new diagnostic criteria. Clin Exp Nephrol 16, 892–902 (2012). https://doi.org/10.1007/s10157-012-0650-2

Download citation

  • Received:

  • Accepted:

  • Published:

  • Issue Date:

  • DOI: https://doi.org/10.1007/s10157-012-0650-2

Keywords

  • Autosomal dominant polycystic kidney disease (ADPKD)
  • Cyst infection
  • Cyst hemorrhage
  • Clinical features
  • Diagnostic criteria