Skip to main content

A large-sized bubbling appearance of the glomerular basement membrane in a patient with pulmonary limited AL amyloidosis and a past history of lupus nephritis

Abstract

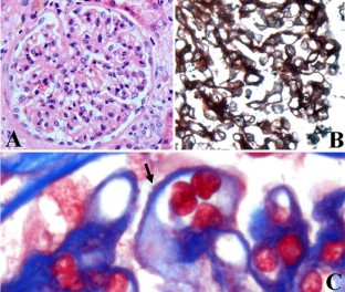
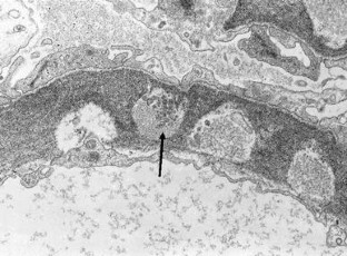
We report an unusual pathological finding, a large-sized bubbling appearance of the glomerular basement membrane (GBM), in a patient with pulmonary limited AL amyloidosis and a past history of lupus nephritis. The first renal biopsy specimen from 10 years ago, when systemic lupus erythematosus was diagnosed, demonstrated mild mesangial proliferation and subepithelial deposits (WHO classification: III + V). Light microscopy of the current biopsy using periodic acid methenamine silver (PAMS) stain demonstrated a large-sized bubbling appearance of the GBM; however, very weak immunoglobulin and complement deposition was observed in immunofluorescence studies. Routine electron microscopy demonstrated partial subendothelial expansion with electron-lucent materials, but no electron-dense deposits or amyloid fibrils. Electron microscopy with PAMS stain revealed electron-lucent endothelial scalloping, including some cellular components and microspheres in the GBM; however, it is not clear if these materials are derived from endothelial cells. One possibility is that these unique findings represent a recovery phase of lupus membranous nephritis; another is that these findings correspond to a new disease entity.

This is a preview of subscription content, access via your institution.

Fig. 1
Fig. 2
Fig. 3
Fig. 4
Fig. 5

References

  1. Wasserstein AG. Membranous glomerulonephritis. J Am Soc Nephrol. 1997;8:664–74.

    PubMed  CAS  Google Scholar 

  2. Glassock RJ. Secondary membranous glomerulonephritis. Nephrol Dial Transplant. 1992;7(Suppl 1):64–71.

    PubMed  Google Scholar 

  3. Joh K, Taguchi T, Shigematsu H, Kobayashi Y, Sato H, Nishi S, et al. Proposal of podocytic infolding glomerulopathy as a new disease entity: a review of 25 cases from nationwide research in Japan. Clin Exp Nephrol. 2008;12:421–31.

    PubMed  Article  Google Scholar 

  4. Fujigaki Y, Muranaka Y, Sakakima M, Ohta I, Sakato Y, Fujikura T, et al. Analysis of intra-GBM microstructures in a SLE case with glomerulopathy associated with podocytic infolding. Clin Exp Nephrol. 2008;12:432–9.

    PubMed  Article  Google Scholar 

  5. Churg J, Bernstein J, Glassock RJ. Diffuse membranous glomerulonephritis. Renal disease: classification and atlas of glomerular diseases. 2nd ed. Tokyo: Igaku-shoin; 1995. p. 67–83.

  6. Schwarz MM. Membranous glomerulonephritis. In: Heptinstall RH, editor, Pathology of the kidney. 4th ed. Boston: Little, Brown and Company; 1992. p. 559–626.

  7. LeBleu VS, MacDonald B, Kalluri R. Structure and function of basement membranes. Exp Biol Med. 2007;232:1121–9.

    Article  CAS  Google Scholar 

  8. Marin MP, Esteban-Pretel G, Alonso R, Sado Y, Barber T, Renau-Piqueras J, et al. Vitamin A deficiency alters the structure and collagen IV composition of rat renal basement membranes. J Nutr. 2005;135:695–701.

    PubMed  CAS  Google Scholar 

  9. Utz JP, Swensen SJ, Gertz MA. Pulmonary amyloidosis. The Mayo Clinic experience from 1980 to 1993. Ann Intern Med. 1996;124:407–13.

    PubMed  CAS  Google Scholar 

  10. Rajagopala S, Singh N, Gupta K, Gupta D. Pulmonary amyloidosis in Sjogren syndrome: a case report and systematic review of the literature. Respirology. 2010;15:860–8.

    PubMed  Article  Google Scholar 

  11. Nakamura N, Yamada G, Itoh T, Suzuki A, Morita-Ichimura S, Teramoto S, et al. Pulmonary MALT lymphoma with amyloid production in a patient with primary Sjogren syndrome. Intern Med. 2002;41:309–11.

    PubMed  Article  Google Scholar 

  12. Satani T, Yokose T, Kaburagi T, Asato Y, Itabashi M, Amemiya R. Amyloid deposition in pulmonary marginal zone B-cell lymphoma of mucosa-associated lymphoid tissue. Pathol Int. 2007;57:746–50.

    PubMed  Article  CAS  Google Scholar 

Download references

Acknowledgments

The authors were supported by a grant from the Amyloidosis Research Committee of the Intractable Diseases Division in the Ministry of Health, Labour and Welfare of Japan. We thank Dr. M. Ueda and Dr. Y. Ando for their analysis of anti-λ antibody staining (Fig. 1c) and amyloid staining (Fig. 1d) in the pulmonary biopsy specimen.

Conflict of interest

None declared.

Author information

Affiliations

Authors

Corresponding author

Correspondence to Hirokazu Imai.

About this article

Cite this article

Suga, N., Miura, N., Uemura, Y. et al. A large-sized bubbling appearance of the glomerular basement membrane in a patient with pulmonary limited AL amyloidosis and a past history of lupus nephritis. Clin Exp Nephrol 15, 970–975 (2011). https://doi.org/10.1007/s10157-011-0528-8

Download citation

  • Received:

  • Accepted:

  • Published:

  • Issue Date:

  • DOI: https://doi.org/10.1007/s10157-011-0528-8

Keywords

  • Large-sized bubbling appearance
  • Very weak immunoglobulin deposition
  • PAMS
  • Pulmonary limited AL amyloidosis
  • Lupus membranous nephritis