Skip to main content

Lupus nephritis with podocytic infolding and intramembranous microstructures

Abstract

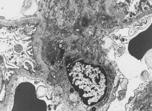
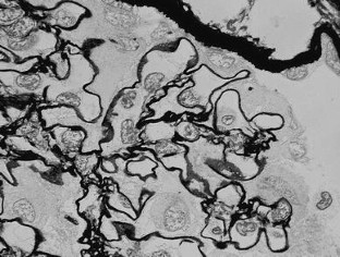
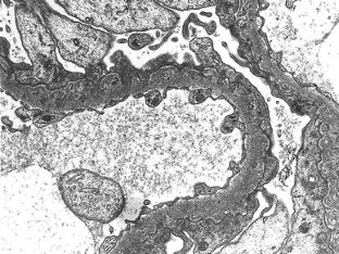
We describe a 24-year-old woman with a distinctive glomerular lesion. She presented with nephrotic syndrome and the diagnosis of systemic lupus erythematosus was made on the basis of laboratory and clinical findings. Renal biopsy showed a bubbling appearance of the glomerular capillary wall indicating lupus nephritis class V. On an electron microscopy, the glomerular basement membrane (GBM) was irregularly thickened and contained abundant vesicular and microtubular bodies. In addition, there were many epithelial foot processes infolding into the GBM. A few small deposits were observed beneath the foot processes and around the vesicular and microtubular bodies. Although the clinicopathological significance of podocytic infolding has not been fully elucidated, it may be a novel morphological entity in the glomerulonephritides.

This is a preview of subscription content, access via your institution.

Fig. 1
Fig. 2
Fig. 3
Fig. 4
Fig. 5
Fig. 6

References

  1. Sato H, Saito T, Yoshinaga K. Intramembranous fine deposit disease associated with collagen disorder : a new morphological entity? Virchow’s Archiv A Pathol Anat. 1992;420:447–51.

    Article  CAS  Google Scholar 

  2. Sano N, Kitazawa K, Totsuka K, Kobayashi H, Honda H, Makino Y, et al. A case of lupus nephritis with alteration of the glomerular basement membrane associated with Takayasu’s arteritis. Clin Nephrol. 2002;58:161–5.

    Article  CAS  PubMed  Google Scholar 

  3. Weening JJ, D’Agati VD, Schwarts MM, Seshan SV, Alpers CE, Appel GB. The classification of glomerulonephritis in systemic lupus erythematosus revisited. J Am Soc Nephrol. 2004;15:241–50.

    Article  PubMed  Google Scholar 

  4. Joh K, Taguchi T, Kobayashi Y, Sato H, Nishi S, Katafushi R, et al. A preliminary report of national research on podocytic infolding glomerulopathy. Nippon Jinzo Gakkai Shi. 2007;49:61–9.

    Article  PubMed  Google Scholar 

  5. Austin HA, Illei GG. Membranous lupus nephritis. Lupus. 2005;14:65–71.

    Article  CAS  PubMed  Google Scholar 

  6. Ordonez JD, Hiatt RA, Killebrew EJ, Fireman BH. The increased risk of coronary heart disease associated with nephrotic syndrome. Kidney Int. 1993;44:638–42.

    Article  CAS  PubMed  Google Scholar 

  7. Chan TM, Li FK, Hao WK, Chan KW, Lui SL, Tang S, et al. Treatment of membranous lupus nephritis with nephrotic syndrome by sequential immunosuppression. Lupus. 1999;8:545–51.

    Article  CAS  PubMed  Google Scholar 

Download references

Author information

Affiliations

Authors

Corresponding author

Correspondence to Mizuko Tanaka.

About this article

Cite this article

Tanaka, M., Watanabe, K., Asahi, K. et al. Lupus nephritis with podocytic infolding and intramembranous microstructures. Clin Exp Nephrol 12, 485–488 (2008). https://doi.org/10.1007/s10157-008-0090-1

Download citation

  • Received:

  • Accepted:

  • Published:

  • Issue Date:

  • DOI: https://doi.org/10.1007/s10157-008-0090-1

Keywords

  • Systemic lupus erythematosus
  • Podocytic infolding
  • Electron microscopy
  • Intramembranous microstructures