Skip to main content

The histopathological mimics of inflammatory bowel disease: a critical appraisal

Abstract

The pathological diagnosis of inflammatory bowel disease (IBD) is often difficult because biopsy material may not contain pathognomonic features, making distinction between Crohn’s disease, ulcerative colitis and other forms of colitides a truly challenging exercise. The problem is further complicated as several diseases frequently mimic the histological changes seen in IBD. Successful diagnosis is reliant on careful clinicopathological correlation and recognising potential pitfalls. This is best achieved in a multidisciplinary team setting when the full clinical history, endoscopic findings, radiology and relevant serology and microbiology are available. In this review, we present an up-to-date evaluation of the histopathological mimics of IBD.

This is a preview of subscription content, access via your institution.

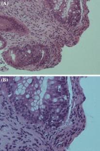
Fig. 1
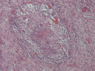
Fig. 2
Fig. 3
Fig. 4
Fig. 5
Fig. 6
Fig. 7

References

  1. Feakins RM, British Society of Gastroenterology (2013) Inflammatory bowel disease biopsies: updated British Society of Gastroenterology reporting guidelines. J Clin Pathol 66:1005–1026

    Article  PubMed  Google Scholar 

  2. Domènech E, Vega R, Ojanguren I et al (2008) Cytomegalovirus infection in ulcerative colitis: a prospective, comparative study on prevalence and diagnostic strategy. Inflamm Bowel Dis 14:1373–1379

    Article  PubMed  Google Scholar 

  3. Price AB, Davies DR (1977) Pseudomembranous colitis. J Clin Pathol 30:1–12

    PubMed Central  CAS  Article  PubMed  Google Scholar 

  4. Dilauro S, Crum-Cianflone NF (2010) Ileitis: when it is not Crohn’s disease. Curr Gastroenterol Rep 12:249–258

    PubMed Central  Article  PubMed  Google Scholar 

  5. Shepherd NA (1991) Pathological mimics of chronic inflammatory bowel disease. J Clin Pathol 44:726–733

    PubMed Central  CAS  Article  PubMed  Google Scholar 

  6. Khor TS, Fujita H, Nagata K, Shimizu M, Lauwers GY (2012) Biopsy interpretation of colonic biopsies when inflammatory bowel disease is excluded. J Gastroenterol 47:226–248

    Article  PubMed  Google Scholar 

  7. Lamps LW (2007) Infective disorders of the gastrointestinal tract. Histopathology 50:55–63

    CAS  Article  PubMed  Google Scholar 

  8. Arnold CA, Limketkai BN, Illei PB, Montogomery E, Voltaggio L (2013) Syphilitic and lymphogranuloma venereum (LGV) proctocolitis: clues to a frequently missed diagnosis. Am J Surg Pathol 37:38–46

    Article  PubMed  Google Scholar 

  9. Høie S, Knudsen LS, Gerstoft J (2011) Lymphogranuloma venereum proctitis: a differential diagnose to inflammatory bowel disease. Scand J Gastroenterol 46:503–510

    Article  PubMed  Google Scholar 

  10. Odze RD, Goldblum JR (2014) Odze and Goldblum surgical pathology of the GI tract, liver, biliary tract and pancreas, 3rd edn. Saunders, Philadelphia

    Google Scholar 

  11. Parfitt JR, Driman DK (2007) Pathological effects of drugs on the gastrointestinal tract: a review. Hum Pathol 38:527–536

    CAS  Article  PubMed  Google Scholar 

  12. Price AB (2003) Pathology of drug-associated gastrointestinal disease. Br J Clin Pharmacol 56:477–482

    PubMed Central  Article  PubMed  Google Scholar 

  13. Püspök A, Kiener HP, Oberhuber G (2000) Clinical, endoscopic, and histologic spectrum of nonsteroidal anti-inflammatory drug-induced lesions in the colon. Dis Colon Rectum 43:685–691

    Article  PubMed  Google Scholar 

  14. Yantiss RK, Odze RD (2007) Pitfalls in the interpretation of nonneoplastic mucosal biopsies in inflammatory bowel disease. Am J Gastroenterol 102:890–904

    Article  PubMed  Google Scholar 

  15. Pitt MA, Knox WF, Haboubi NY (1993) Multinucleated stromal giant cells of the colonic lamina propria in ulcerative colitis. J Clin Pathol 46:874–875

    PubMed Central  CAS  Article  PubMed  Google Scholar 

  16. Byers RJ, Marsh P, Parkinson D, Haboubi NY (1997) Melanosis coli is associated with an increase in colonic epithelial apoptosis and not with laxative use. Histopathology 30:160–164

    CAS  Article  PubMed  Google Scholar 

  17. Haboubi NY, Schofield PF, Rowland PL (1988) The light and electron microscopic features of early and late phase radiation-induced proctitis. Am J Gastroenterol 83:1140–1144

    CAS  PubMed  Google Scholar 

  18. Haboubi NY, El-Zammar O, O’Dwyer ST, James RJ (2000) Radiation bowel disease: pathogenesis and management. Colorectal Dis 2:322–329

    CAS  Article  PubMed  Google Scholar 

  19. Haboubi NY, Kaftan SM, Schofield PF (1992) Radiation colitis is another mimic of chronic inflammatory bowel disease. J Clin Pathol 45:272

    PubMed Central  CAS  Article  PubMed  Google Scholar 

  20. Md JR (2011) Rosai and Ackerman’s surgical pathology, 10th edn. Mosby, Edinburgh, New York

    Google Scholar 

  21. Gramlich T, Petras RE (2007) Pathology of inflammatory bowel disease. Semin Pediatr Surg 16:154–163

    Article  PubMed  Google Scholar 

  22. Harpaz N, Sachar DB (2006) Segmental colitis associated with diverticular disease and other IBD look-alikes. J Clin Gastroenterol 40(Suppl 3):S132–S135

    Article  PubMed  Google Scholar 

  23. Tursi A (2011) Segmental colitis associated with diverticulosis: complication of diverticular disease or autonomous entity? Dig Dis Sci 56:27–34

    Article  PubMed  Google Scholar 

  24. Tursi A, Elisei W, Brandimarte G et al (2010) The endoscopic spectrum of segmental colitis associated with diverticulosis. Colorectal Dis 12:464–470

    CAS  Article  PubMed  Google Scholar 

  25. Mann NS, Hoda KK (2012) Segmental colitis associated with diverticulosis: systematic evaluation of 486 cases with meta-analysis. Hepatogastroenterology 59:2119–2121

    PubMed  Google Scholar 

  26. Kruis W, Spiller RC, Papagrigoriadis S, Engel A, Kreis ME (2012) Diverticular disease: a fresh approach to a neglected disease: preface. Dig Dis 30:5

    Article  PubMed  Google Scholar 

  27. Langner C, Magro F, Driessen A et al (2014) The histopathological approach to inflammatory bowel disease: a practice guide. Virchows Arch 464:511–527

    CAS  Article  PubMed  Google Scholar 

  28. Magro F, Langner C, Driessen A et al (2013) European consensus on the histopathology of inflammatory bowel disease. J Crohns Colitis 7:827–851

    CAS  Article  PubMed  Google Scholar 

  29. Yantiss RK, Odze RD (2006) Diagnostic difficulties in inflammatory bowel disease pathology. Histopathology 48:116–132

    CAS  Article  PubMed  Google Scholar 

  30. Levine A, de Bie CI, Turner D et al (2013) Atypical disease phenotypes in pediatric ulcerative colitis: 5-year analyses of the EUROKIDS Registry. Inflamm Bowel Dis 19:370–377

    Article  PubMed  Google Scholar 

  31. Haskell H, Andrews CW, Reddy SI et al (2005) Pathologic features and clinical significance of “backwash” ileitis in ulcerative colitis. Am J Surg Pathol 29:1472–1481

    Article  PubMed  Google Scholar 

  32. Lin J, McKenna BJ, Appelman HD (2010) Morphologic findings in upper gastrointestinal biopsies of patients with ulcerative colitis: a controlled study. Am J Surg Pathol 34:1672–1677

    PubMed  Google Scholar 

  33. Valdez R, Appelman HD, Bronner MP, Greenson JK (2000) Diffuse duodenitis associated with ulcerative colitis. Am J Surg Pathol 24:1407–1413

    CAS  Article  PubMed  Google Scholar 

  34. Soucy G, Wang HH, Farraye FA et al (2012) Clinical and pathological analysis of colonic Crohn’s disease, including a subgroup with ulcerative colitis-like features. Mod Pathol 25:295–307

    PubMed  Google Scholar 

  35. Satsangi J, Silverberg MS, Vermeire S, Colombel J-F (2006) The Montreal classification of inflammatory bowel disease: controversies, consensus, and implications. Gut 55:749–753

    PubMed Central  CAS  Article  PubMed  Google Scholar 

  36. Mitchell PJ, Rabau MY, Haboubi NY (2007) Indeterminate colitis. Tech Coloproctol 11:91–96

    CAS  Article  PubMed  Google Scholar 

  37. Martland GT, Shepherd NA (2007) Indeterminate colitis: definition, diagnosis, implications and a plea for nosological sanity. Histopathology 50:83–96

    CAS  Article  PubMed  Google Scholar 

  38. Yantiss RK, Sapp HL, Farraye FA et al (2004) Histologic predictors of pouchitis in patients with chronic ulcerative colitis. Am J Surg Pathol 28:999–1006

    Article  PubMed  Google Scholar 

  39. Nielsen OH, Vainer B, Rask-Madsen J (2008) Non-IBD and noninfectious colitis. Nat Clin Pract Gastroenterol Hepatol 5:28–39

    Article  PubMed  Google Scholar 

  40. Wong MTC, Eu KW (2006) Primary colorectal lymphomas. Colorectal Dis 8:586–591

    CAS  Article  PubMed  Google Scholar 

  41. Subramaniam K, D’Rozario J, Pavli P (2013) Lymphoma and other lymphoproliferative disorders in inflammatory bowel disease: a review. J Gastroenterol Hepatol 28:24–30

    CAS  Article  PubMed  Google Scholar 

  42. Heise W (2010) GI-lymphomas in immunosuppressed patients (organ transplantation; HIV). Best Pract Res Clin Gastroenterol 24:57–69

    Article  PubMed  Google Scholar 

  43. Kim E-S, Chung W-C, Lee K-M et al (2007) A case of intestinal Behcet’s disease similar to Crohn’s colitis. J Korean Med Sci 22:918–922

    PubMed Central  Article  PubMed  Google Scholar 

  44. Washington K, Jagasia M (2009) Pathology of graft-versus-host disease in the gastrointestinal tract. Hum Pathol 40:909–917

    Article  PubMed  Google Scholar 

  45. Haboubi NY, Schofield PF (1994) Large bowel biopsies in colitis: a clinicopathological collaboration. J R Soc Med 87:16–17

    PubMed Central  CAS  PubMed  Google Scholar 

  46. Haboubi NY, Schofield PF (2000) Reporting colonic mucosal biopsies in inflammatory conditions: a new approach. Colorectal Dis 2:66–72

    CAS  Article  PubMed  Google Scholar 

  47. Haboubi NY, Kamal F (2001) Non-specific colitis, is it a justifiable diagnosis? Colorectal Dis 3:263–265

    CAS  Article  PubMed  Google Scholar 

  48. Absar S, Mason J, Anjum K, Haboubi N (2006) A new combined form significantly improves accuracy of pathological diagnosis in inflammatory bowel disease in absence of the clinicopathological conference. Tech Coloproctology 10:227–232

    CAS  Article  Google Scholar 

Download references

Author information

Affiliations

Authors

Corresponding author

Correspondence to I. Woodman.

Ethics declarations

Conflict of interest

The authors declare that they have no conflict of interest.

Ethical approval

The work is compliant with ethical standards.

Informed consent

For this type of study formal informed consent is not required.

Rights and permissions

Reprints and Permissions

About this article

Verify currency and authenticity via CrossMark

Cite this article

Woodman, I., Schofield, J.B. & Haboubi, N. The histopathological mimics of inflammatory bowel disease: a critical appraisal. Tech Coloproctol 19, 717–727 (2015). https://doi.org/10.1007/s10151-015-1372-8

Download citation

  • Received:

  • Accepted:

  • Published:

  • Issue Date:

  • DOI: https://doi.org/10.1007/s10151-015-1372-8

Keywords

  • IBD
  • Mimics of IBD
  • Indeterminate colitis
  • Non-classical
  • Iatrogenic colitis
  • SCAD