Skip to main content

Clinical impact of c-Met expression and its gene amplification in hepatocellular carcinoma

Abstract

Background

c-Met is an oncogene encoding a receptor for hepatocyte growth factor and, as such, plays a key role in hepatocellular carcinomas (HCC). We evaluated c-Met protein expression and its gene amplification in order to assess whether they were related to tumor recurrence and survival rates among patients who had undergone tumor resection.

Methods

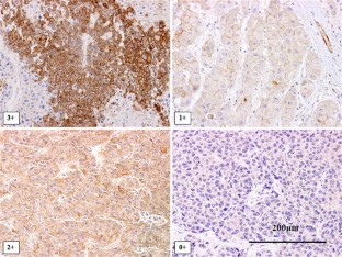
We used the polymer-based method to perform an immunohistochemistry analysis of c-Met expression on 59 formalin-fixed, paraffin-embedded sections of surgical specimens. c-Met gene amplification was investigated with fluorescence in-situ hybridization. Kaplan–Meier methods and Cox proportional hazards models were used to investigate relationships between c-Met expression, patient characteristics, tumor recurrence, and survival.

Results

c-Met expression was associated with portal vein invasion (p = 0.006). Recurrence-free survival rates were significantly lower in patients with high levels of c-Met expression (p < 0.001). However, c-Met expression levels did not significantly affect overall survival rates (p = 0.12). Only 1 patient was found to have c-Met gene amplification; 22 patients were found to have aneuploidy of chromosome 7, on which the c-Met gene is located. Tumors with chromosome 7 polysomy tended to have higher levels of c-Met expression than those with chromosome 7 monosomy or disomy, but this difference was not statistically significant.

Conclusion

Although c-Met expression was not significantly associated with c-Met gene amplification, it may be a useful predictive marker of recurrence in resected HCC patients.

This is a preview of subscription content, access via your institution.

Fig. 1
Fig. 2
Fig. 3

References

  1. Parkin DM, Bray F, Ferlay J et al (2005) Global cancer statistics, 2002. CA Cancer J Clin 55:74–108

    PubMed  Article  Google Scholar 

  2. Donato F, Boffetta P, Puoti M (1998) A meta-analysis of epidemiological studies on the combined effect of hepatitis B and C virus infections in causing hepatocellular carcinoma. Int J Cancer 75:347–354

    PubMed  Article  CAS  Google Scholar 

  3. Furge KA, Zhang YW, Vande Woude GF (2000) Met receptor tyrosine kinase: enhanced signaling through adapter proteins. Oncogene 19:5582–5589

    PubMed  Article  CAS  Google Scholar 

  4. Kaposi-Novak P, Lee JS, Gomez-Quiroz L et al (2006) Met-regulated expression signature defines a subset of human hepatocellular carcinomas with poor prognosis and aggressive phenotype. J Clin Invest 116:1582–1595

    PubMed  Article  CAS  Google Scholar 

  5. Okuda K, Ohtsuki T, Obata H et al (1985) Natural history of hepatocellular carcinoma and prognosis in relation to treatment. Study of 850 patients. Cancer 56:918–928

    PubMed  Article  CAS  Google Scholar 

  6. Chevret S, Trinchet JC, Mathieu D et al (1999) A new prognostic classification for predicting survival in patients with hepatocellular carcinoma. Groupe d’Etude et de Traitement du Carcinome Hepatocellulaire. J Hepatol 31:133–141

    PubMed  Article  CAS  Google Scholar 

  7. Iizuka N, Oka M, Yamada-Okabe H et al (2003) Oligonucleotide microarray for prediction of early intrahepatic recurrence of hepatocellular carcinoma after curative resection. Lancet 361:923–929

    PubMed  Article  CAS  Google Scholar 

  8. Yoshioka S, Takemasa I, Nagano H et al (2009) Molecular prediction of early recurrence after resection of hepatocellular carcinoma. Eur J Cancer 45:881–889

    PubMed  Article  CAS  Google Scholar 

  9. Miyamoto M, Ojima H, Iwasaki M et al (2011) Prognostic significance of overexpression of c-Met oncoprotein in cholangiocarcinoma. Br J Cancer 105:131–138

    PubMed  Article  CAS  Google Scholar 

  10. Cappuzzo F, Janne PA, Skokan M et al (2009) MET increased gene copy number and primary resistance to gefitinib therapy in non-small-cell lung cancer patients. Ann Oncol 20:298–304

    PubMed  Article  CAS  Google Scholar 

  11. Birchmeier C, Birchmeier W, Gherardi E et al (2003) Met, metastasis, motility and more. Nat Rev Mol Cell Biol 4:915–925

    PubMed  Article  CAS  Google Scholar 

  12. Liu X, Yao W, Newton RC et al (2008) Targeting the c-MET signaling pathway for cancer therapy. Expert Opin Investig Drugs 17:997–1011

    PubMed  Article  CAS  Google Scholar 

  13. Comoglio PM, Giordano S, Trusolino L (2008) Drug development of MET inhibitors: targeting oncogene addiction and expedience. Nat Rev Drug Discov 7:504–516

    PubMed  Article  CAS  Google Scholar 

  14. Ueki T, Fujimoto J, Suzuki T et al (1997) Expression of hepatocyte growth factor and its receptor, the c-met proto-oncogene, in hepatocellular carcinoma. Hepatology 25:619–623

    PubMed  Article  CAS  Google Scholar 

  15. Ke AW, Shi GM, Zhou J et al (2009) Role of overexpression of CD151 and/or c-Met in predicting prognosis of hepatocellular carcinoma. Hepatology 49:491–503

    PubMed  Article  CAS  Google Scholar 

  16. Nakajima M, Sawada H, Yamada Y et al (1999) The prognostic significance of amplification and overexpression of c-met and c-erb B-2 in human gastric carcinomas. Cancer 85:1894–1902

    PubMed  CAS  Google Scholar 

  17. Di Renzo MF, Olivero M, Giacomini A et al (1995) Overexpression and amplification of the met/HGF receptor gene during the progression of colorectal cancer. Clin Cancer Res 1:147–154

    PubMed  Google Scholar 

  18. Cappuzzo F, Marchetti A, Skokan M et al (2009) Increased MET gene copy number negatively affects survival of surgically resected non-small-cell lung cancer patients. J Clin Oncol 27:1667–1674

    PubMed  Article  Google Scholar 

  19. Engelman JA, Zejnullahu K, Mitsudomi T et al (2007) MET amplification leads to gefitinib resistance in lung cancer by activating ERBB3 signaling. Science 316:1039–1043

    PubMed  Article  CAS  Google Scholar 

  20. Boix L, Rosa JL, Ventura F et al (1994) c-met mRNA overexpression in human hepatocellular carcinoma. Hepatology 19:88–91

    PubMed  Article  CAS  Google Scholar 

  21. Schmidt L, Duh FM, Chen F et al (1997) Germline and somatic mutations in the tyrosine kinase domain of the MET proto-oncogene in papillary renal carcinomas. Nat Genet 16:68–73

    PubMed  Article  CAS  Google Scholar 

  22. Schmidt L, Junker K, Nakaigawa N et al (1999) Novel mutations of the MET proto-oncogene in papillary renal carcinomas. Oncogene 18:2343–2350

    PubMed  Article  CAS  Google Scholar 

  23. Park WS, Dong SM, Kim SY et al (1999) Somatic mutations in the kinase domain of the Met/hepatocyte growth factor receptor gene in childhood hepatocellular carcinomas. Cancer Res 59:307–310

    PubMed  CAS  Google Scholar 

  24. Di Renzo MF, Olivero M, Martone T et al (2000) Somatic mutations of the MET oncogene are selected during metastatic spread of human HNSC carcinomas. Oncogene 19:1547–1555

    PubMed  Article  Google Scholar 

  25. Krishnamurti U, Hammers JL, Atem FD et al (2009) Poor prognostic significance of unamplified chromosome 17 polysomy in invasive breast carcinoma. Mod Pathol 22:1044–1048

    PubMed  Article  CAS  Google Scholar 

Download references

Acknowledgments

We are grateful to Dr. Koh Furuta (Clinical Laboratory Division, National Cancer Center Hospital, Tokyo, Japan) for his helpful technical advice.

Author information

Affiliations

Authors

Corresponding author

Correspondence to Shunsuke Kondo.

About this article

Cite this article

Kondo, S., Ojima, H., Tsuda, H. et al. Clinical impact of c-Met expression and its gene amplification in hepatocellular carcinoma. Int J Clin Oncol 18, 207–213 (2013). https://doi.org/10.1007/s10147-011-0361-9

Download citation

  • Received:

  • Accepted:

  • Published:

  • Issue Date:

  • DOI: https://doi.org/10.1007/s10147-011-0361-9

Keywords

  • c-Met
  • Hepatocellular carcinoma
  • Recurrence
  • Amplification