Skip to main content

Isolated gastric metastasis from renal cell carcinoma 19 years after radical nephrectomy

Abstract

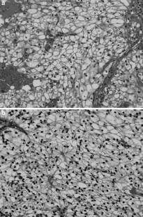
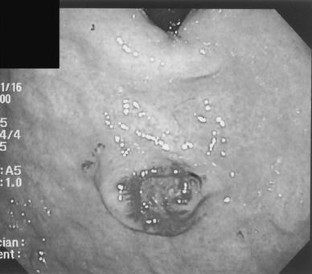
Metastatic tumors in the stomach are rare. We report a case of solitary gastric metastasis from renal cell carcinoma (RCC) 19 years after radical excision of the primary tumor. During evaluation for anemia with melena, a small elevated tumor with ulceration was detected in the gastric fundus of this patient. The tumor was diagnosed as RCC based on endoscopic biopsy findings. There was no evidence of any other metastatic lesion, and a wedge resection of the stomach was performed. No additional metastasis or recurrence has been detected in the patient 12 months after discharge. This case confirms the existence of a very slow growing type of RCC with the potential for late solitary metastases and describes the surgical resectability.

This is a preview of subscription content, access via your institution.

Fig. 1
Fig. 2
Fig. 3
Fig. 4
Fig. 5

References

  1. Green LK (1990) Hematogenous metastases to the stomach. A review of 67 cases. Cancer (Phila) 65:1596–1600

    Article  CAS  Google Scholar 

  2. Menuck LS, Amberg JR (1975) Metastatic disease involving the stomach. Am J Dig Dis 20:903–913

    Article  CAS  PubMed  Google Scholar 

  3. Sullivan WG, Cabot EB, Donohue RE (1980) Metastatic renal cell carcinoma to stomach. Urology 15:375–378

    Article  CAS  PubMed  Google Scholar 

  4. Nakamura R, Shimada A, Hara Y et al (1984) One case of intussusception due to intestinal metastasis of renal carcinoma. Jpn J Clin Surg 43:1637–1640

    Google Scholar 

  5. Otowa T, Muto I (1992) A case of synchronous gastric metastasis from renal cell carcinoma with the chief complaint of hematemesis. J Clin Surg 53:1219–1222

    Google Scholar 

  6. Blake MA, Owens A, O’Donoghue DP et al (1995) Embolotherapy for massive upper gastrointestinal haemorrhage secondary to metastatic renal cell carcinoma: report of three cases. Gut 37:835–837

    Article  CAS  PubMed  Google Scholar 

  7. Odori T, Tsuboi Y, Katoh K et al (1998) A solitary hematogenous metastasis to the gastric wall from renal cell carcinoma four years after radical nephrectomy. J Clin Gastroenterol 26:153–154

    Article  CAS  PubMed  Google Scholar 

  8. Picchio M, Paioletti A, Santini E et al (2000) Gastric metastasis from renal cell carcinoma fourteen years after radical nephrectomy. Acta Chir Belg 100:228–230

    CAS  PubMed  Google Scholar 

  9. Mascarenhas B, Konety B, Rubin JT (2001) Recurrent metastatic renal cell carcinoma presenting as a bleeding gastric ulcer after a complete response to high-dose interleukin-2 treatment. Urology 57:168

    Article  CAS  PubMed  Google Scholar 

  10. Riviello C, Tanini I, Cipriani G et al (2006) Unusual gastric and pancreatic metastatic renal cell carcinoma presentation 10 years after surgery and immunotherapy: a case report and a review of literature. World J Gastroenterol 12:5234–5236

    PubMed  Google Scholar 

  11. Pezzoli A, Matarese V, Boccia S et al (2007) Gastrointestinal bleeding from gastric metastasis of renal cell carcinoma, treated by endoscopic polypectomy. Endoscopy 39:E52

    Article  PubMed  Google Scholar 

  12. Saidi RF, Remine SG (2007) Isolated gastric metastasis from renal cell carcinoma 10 years after radical nephrectomy. J Gastroenterol Hepatol 22:143–144

    Article  PubMed  Google Scholar 

  13. Harmer MH (1978) TNM classification of malignant tumors, 3rd edn. International Union Against Cancer, Geneva

    Google Scholar 

  14. Kang DE, White RL Jr, Zuger JH et al (2004) Clinical use of fluorodeoxyglucose F-18 positron emission tomography for detection of renal cell carcinoma. J Urol 171:1806–1809

    Article  PubMed  Google Scholar 

  15. Majhail NS, Urbain JL, Albani JM et al (2003) F-18 fluorodeoxyglucose positron emission tomography in the evaluation of distant metastases from renal cell carcinoma. J Clin Oncol 21:3995–4000

    Article  PubMed  Google Scholar 

  16. Park JW, Jo MK, Lee HM (2009) Significance of 18F-fluorodeoxyglucose positron-emission tomography/computed tomography for the postoperative surveillance of advanced renal cell carcinoma. BJU Int 103:615–619

    Article  PubMed  Google Scholar 

  17. Sheng XN, Li JL, Guo J et al (2008) Clinical study on recombinant human interleukin-2 (Proleukin) in the treatment of metastatic renal cell carcinoma. Zhonghua Zhong Liu Za Zhi 30:129–133

    CAS  PubMed  Google Scholar 

  18. Hotte S, Waldron T, Canil C et al (2007) Interleukin-2 in the treatment of unresectable or metastatic renal cell cancer: a systematic review and practice guideline. Can Urol Assoc J 1:27–38

    PubMed  Google Scholar 

  19. Motzer RJ, Michaelson MD, Rosenberg J et al (2007) Sunitinib efficacy against advanced renal cell carcinoma. J Urol 178:1883–1887

    Article  CAS  PubMed  Google Scholar 

  20. Escudier B, Eisen T, Stadler WM et al (2007) Sorafenib in advanced clear-cell renal-cell carcinoma. N Engl J Med 356:125–134

    Article  CAS  PubMed  Google Scholar 

  21. Hudes G, Carducci M, Tomczak P et al (2007) Temsirolimus, interferon alfa, or both for advanced renal-cell carcinoma. N Engl J Med 356:2271–2281

    Article  CAS  PubMed  Google Scholar 

  22. Escudier B, Pluzanska A, Koralewski P et al (2007) Bevacizumab plus interferon alfa-2a for treatment of metastatic renal cell carcinoma: a randomised, double-blind phase III trial. Lancet 370:2103–2111

    Article  PubMed  Google Scholar 

  23. Dayes LA, Rouhe SA, Barnes RW (1977) Excision of multiple intracranial metastatic hypernephroma. Report of a case with a 7-year survival. J Neurosurg 46:533–535

    Article  CAS  PubMed  Google Scholar 

  24. O’Dea MJ, Zincke H, Utz DC et al (1978) The treatment of renal cell carcinoma with solitary metastasis. J Urol 120:540–542

    PubMed  Google Scholar 

  25. Tolia BM, Whitmore WF Jr (1975) Solitary metastasis from renal cell carcinoma. J Urol 114:836–838

    CAS  PubMed  Google Scholar 

Download references

Conflict of interest statement

No author has any conflict of interest.

Author information

Affiliations

Authors

Corresponding author

Correspondence to Hidekazu Sugasawa.

About this article

Cite this article

Sugasawa, H., Ichikura, T., Ono, S. et al. Isolated gastric metastasis from renal cell carcinoma 19 years after radical nephrectomy. Int J Clin Oncol 15, 196–200 (2010). https://doi.org/10.1007/s10147-010-0025-1

Download citation

  • Received:

  • Accepted:

  • Published:

  • Issue Date:

  • DOI: https://doi.org/10.1007/s10147-010-0025-1

Keywords

  • Renal cell carcinoma
  • Clear cell carcinoma
  • Gastric metastasis