Skip to main content

Tuberculum sellae meningioma surgery: visual outcomes and surgical aspects of contralateral approach

Abstract

The main purpose of surgery for tuberculum sellae meningioma (TSM) is the improvement and/or stabilization of patients’ visual function. Options for the side of lateral approaches usually were restricted for nondominant right-sided craniotomy or to the side of impaired vision (ipsilateral approaches). Although the safety and effectiveness of ipsilateral transcranial approach was proved, there are some doubts and discussions about the contralateral craniotomy. We retrospectively analyzed the series of contralateral surgeries of TMS and their visual outcomes comparing with ipsilateral approach. Twenty-six patients with TSM were operated on from 2010 to 2019 (F/M 20/6, mean age 49 years), in 17 (65%) we performed contralateral and in 9 (35%) ipsilateral approach. All procedures were performed via fronto-lateral craniotomy. Gross total resection (GTR) was achieved in 21 (81%) cases and in all but one patient we noticed visual improvement after surgery (96%). Optic canal unroofing with mobilization of more affected visual nerve was necessary in 5/9 pts of ipsilateral vs 3/17 pts of contralateral group. We had no significant postoperative complications.

There was no difference in outcome between ipsilateral and contralateral fronto-lateral approaches for TSM resection; thus, contralateral approach was at least as safe and effective as ipsilateral.

This is a preview of subscription content, access via your institution.

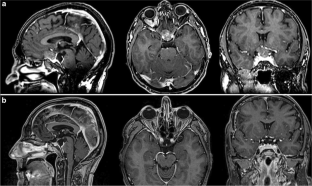
Fig. 1
Fig. 2

References

  1. Makarenko S, Carreras EM, Akagami R (2017) Craniotomy for perisellar meningiomas: comparison of simple (appropriate for endoscopic approach) versus complex anatomy and surgical outcomes. J Neurosurg 126(4):1191–1200

    Article  Google Scholar 

  2. Makota Nakamura, Madjid Samii Surgical management of tuberculum sellae meningiomas

  3. Muskens IS, Briceno V, Ouwehand TL, Castlen JP, Gormley WB, Aglio LS, Zamanipoor Najafabadi AH, van Furth WR, Smith TR, Mekary RA, Broekman MLD The endoscopic endonasal approach is not superior to the microscopic transcranial approach for anterior skull

  4. Rudolf F, Werner S (2002) Pterional surgery of suprasellar meningiomas of the tuberculum sellae and planum sphenoidale: surgical results with special consideration of ophthalmological and endocrinological results. J Neurosurg 96(2):235–243

    Article  Google Scholar 

  5. Song SW, Kim YH, Kim JW, Park CK, Kim JE, Kim DG, Koh YC, Jung HW (2018) Outcomes after transcranial and endoscopic endonasal approach for tuberculum meningiomas—a retrospective comparison. World Neurosurg 109:e434–e445

    Article  Google Scholar 

  6. Chi JH, MW MD (2003) Tuberculum sellae meningiomas. Neurosurg Focus 14(6):E6

    Article  Google Scholar 

  7. Bowers CA, Altay T, Couldwell WT (2011) Surgical decision-making strategies in tuberculum sellae meningioma resection. Neurosurg Focus 30(5):E1

    Article  Google Scholar 

  8. Jang WY, Jung S, Jung TY, Moon KS, Kim IY (2012) The contralateral subfrontal approach can simplify surgery and provide favorable visual outcome in tuberculum sellae meningiomas. Neurosurg Rev 35(4):601–607 discussion 607-8

    Article  Google Scholar 

  9. Jallo GI, Benjamin V (2002) Tuberculum sellae meningiomas: microsurgical anatomy and surgical technique. Neurosurgery 51:1432–1439

    Article  Google Scholar 

  10. Fahlbusch R, Schott W (2002) Pterional surgery of meningiomas of the tuberculum sellae and planum sphenoidale: surgical results with special consideration of ophthalmological and endocrinological outcomes. J Neurosurg 96(2):235–243

    Article  Google Scholar 

  11. Louis DN, Perry A, Reifenberger G, von Deimling A, Figarella-Branger D, Cavenee WK, Ohgaki H, Wiestler OD, Kleihues P, Ellison DW (2016) The 2016 World Health Organization classification of tumors of the central nervous system: a summary. Acta Neuropathol 131(6):803–820

    Article  Google Scholar 

  12. Julien E, Houman N, Olivier M, Pascal M, Guillaume P, Emmanuel C, Hugues L (2018) Contralateral transcranial approach to tuberculum sellae meningiomas: long-term visual outcomes and recurrence rates. World Neurosurg 16:e1066–e1074

    Google Scholar 

  13. Li-Hua C, Ling C, Li-Xu L (2011) Microsurgical management of tuberculum sellae meningiomas by the frontolateral approach: surgical technique and visual outcome. Clin Neurol Neurosurg 113(1):39–47

    Article  Google Scholar 

  14. Nozaki K, Kikuta K, Takagi Y, Mineharu Y, Takahashi JA, Hashimoto N (2008) Effect of early optic canal unroofing on the outcome of visual functions in surgery for meningiomas of the tuberculum sellae and planum sphenoidale. Neurosurgery 62(4):839–844

    Article  Google Scholar 

  15. Taha AN, Erkmen K, Dunn IF, Pravdenkova S, Al-Mefty O (2011) Meningiomas involving the optic canal: pattern of involvement and implications for surgical technique. Neurosurg Focus 30(5):E12

    Article  Google Scholar 

  16. Spetzler F, Koos T Color atlas of microneurosurgery. Stuttgart, N Y

  17. Bander ED, Singh H, Ogilvie CB, Cusic RC, Pisapia DJ, Tsiouris AJ, Anand VK, Schwartz TH (2018) Endoscopic endonasal versus transcranial approach to tuberculum sellae and planum sphenoidale meningiomas in a similar cohort of patients. J Neurosurg 128:40–48

    Article  Google Scholar 

Download references

Author information

Affiliations

Authors

Corresponding author

Correspondence to Oleksandr Voznyak.

Ethics declarations

Conflict of interest

The authors declare that there is no conflict of interest.

Ethical approval

The study was approved in accordance with ICH/GCP provisions by the Expert Commission of the Clinical Hospital “Feofaniya” of the State Administration of Affairs (Quality Management System Certificate UA126Q01 19 076 01).

Informed consent

Informed consent was not deemed necessary by the local expert commission in view of the retrospective design of the study and the application of patient privacy regulations operating in our center.

Additional information

Publisher’s note

Springer Nature remains neutral with regard to jurisdictional claims in published maps and institutional affiliations.

Rights and permissions

Reprints and Permissions

About this article

Verify currency and authenticity via CrossMark

Cite this article

Voznyak, O., Lytvynenko, A., Maydannyk, O. et al. Tuberculum sellae meningioma surgery: visual outcomes and surgical aspects of contralateral approach. Neurosurg Rev 44, 995–1001 (2021). https://doi.org/10.1007/s10143-020-01278-3

Download citation

  • Received:

  • Revised:

  • Accepted:

  • Published:

  • Issue Date:

  • DOI: https://doi.org/10.1007/s10143-020-01278-3

Keywords

  • Tuberculum sellae meningioma
  • Fronto-lateral approach
  • Visual outcome
  • Optic canal unroofing