Skip to main content

Carotid canal and optic canal at sphenoid sinus

Abstract

In the present study, we investigated the relationship between sphenoid sinus, carotid canal, and optic canal on paranasal sinus computed tomography (PNSCT). This study was performed retrospectively. PNSCT images of 300 adult subjects (159 male, 141 female). Sphenoid sinus (pneumatisation, dominancy, septation, inter-sinus septa deviation), anterior clinoid process pneumatisation, Onodi cell, carotid and optic canals (width, dehiscence, classification) were measured. In males, type 3 pneumatised sphenoid sinus (in both sides) and in females type 2 pneumatised sphenoid sinus (right side) and type 3 pneumatised sphenoid sinus (left side) were detected more. Anterior clinoid pneumatisation was present 47.2% in males and 39.7% in females. In male group, more septation (i.e. 22.6%, ≥ 3 septa) in sphenoid sinus were detected. Onodi cell was present 26.6 and 19.1% in males and females, respectively. Carotid canal protrudation to the sphenoid sinus wall was present 23.9–32.1% in males and 35.5–36.2% in females. Dehiscence in carotid canal was detected more in females (34%) compared to males (22%). Optic canal protrudation was 33.3 and 30.5% in males and females. Type 4 optic canal was detected more in both gender. Optic canal dehiscence was detected 11.3 and 9.9% in males and females. Carotid and optic canal diameters were higher in males. In pneumatised sphenoid sinuses and in females, type 3 carotid canal (Protrudation to SS wall) (bilaterally) and type 1 optic canal type (No indentation) (ipsilateral side) were detected more. In elderly patients, carotid and optic canal width increased. When carotid canal protrudation was detected, there was no indentation in optic canals In pneumatised SS, carotid canal protrudation was observed with a greater risk in surgery. However, type 1 (non indentation) optic canal was present in highly pneumatised SS with lower risk for the surgery. In women, the risk of carotid canal protruding (about 1/3) is greater than that of males, and carotid canal dehiscence rates are also higher in females. Therefore, physicians should be very careful during the preparatory stages of the sphenoid sinus surgery. Otherwise, it may not be possible to prevent lethal carotid artery bleeds.

This is a preview of subscription content, access via your institution.

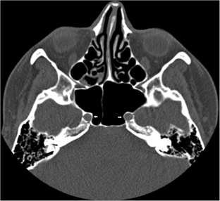
Fig. 1
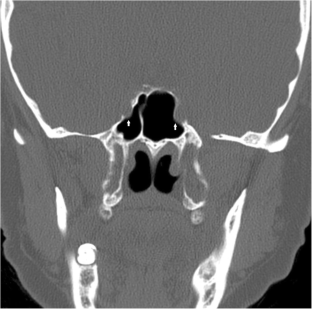
Fig. 2
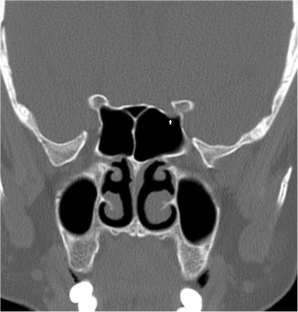
Fig. 3
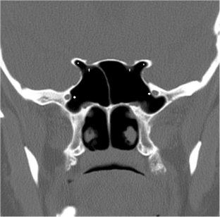
Fig. 4
Fig. 5
Fig. 6
Fig. 7
Fig. 8
Fig. 9

References

  1. Ahuja A, Guterman LR, Hopkins LN (1992) Carotid cavernous fistula and false aneurysm of the cavernous carotid artery: complications of transsphenoidal surgery. Neurosurgery 31(4):774–779

    CAS  PubMed  Google Scholar 

  2. Fukushima T, Maroon JC (1998) Repair of carotid artery perforations during transsphenoidal surgery. Surg Neurol 50:174–177

    Article  CAS  PubMed  Google Scholar 

  3. Janskowski R, Auque J, Simon C (1992) Endoscopic pituitary tumor surgery. Laryngoscope 102:198–203

    Google Scholar 

  4. Stankiewicz JA (1987) Complications of endoscopic nasal surgery. Occurrence and treatment. Am J Rhinol 1:45–49

    Article  Google Scholar 

  5. Buus DR, Tse DT, Farris BK (1990) Ophthalmic complications of sinus surgery. Ophthalmology 97:612–621

    Article  CAS  PubMed  Google Scholar 

  6. Cappabianca P, Cavallo LM, Coloa A et al (2002) Endoscopic endonasal transsphenoidal approach: outcome analysis of 100 consecutive procedures. Minim Invasive Neurosurg 45:193–200

    Article  CAS  PubMed  Google Scholar 

  7. Hewaidi GH, Omami GM (2008) Anatomic variation of sphenoid sinus and related structures in Libyan population: CT scan study. Libyan J Med 3(3):128–133

    Article  PubMed  PubMed Central  Google Scholar 

  8. Scuderi AJ, Harnsberger HR, Boyer RS (1993) Pneumatization of the paranasal sinuses: normal features of importance to the accurate interpretation of CT scans and MR images. AJR Am J Roentgenol 60:1101–1104

    Article  Google Scholar 

  9. Hamid O, El Fiky L, Hassan O, Kotb A, El Fiky S (2008) Anatomic variations of the sphenoid sinus and their impact on trans-sphenoid PituitarySurgery. Skull Base 18(1):9–15

    Article  PubMed  PubMed Central  Google Scholar 

  10. Yune H, Holden R, Smith J (1975) Normal variations and lesions of the sphenoid sinus. Am J Roentgenol 124:129–138

    Article  CAS  Google Scholar 

  11. Fujioka M, Yung L (1978) The sphenoid sinuses: radiographic patterns of normal development and abnormal findings in infants and children. Radiology 129:133–139

    Article  CAS  PubMed  Google Scholar 

  12. Liu S, Wang Z, Zhou B (2002) Related structures of the lateral sphenoid wall anatomy studies in CT and MRI. Lin Chuang Er Bi Yan Hou Ke Za Zhi 16:407–409

    PubMed  Google Scholar 

  13. Maniglia AJ (1989) Fatal and major complications secondary to nasal and sinus surgery. Laryngoscope 99:276–283

    CAS  PubMed  Google Scholar 

  14. Maniglia AJ, Chandler J, Goodwin W et al (1981) Rare complications following ethmoidectomies: a repor of eleven cases. Laryngoscope 91:1234–1244

    Article  CAS  PubMed  Google Scholar 

  15. Vaezi A, Cardenas E, Pinheiro-Neto C, Paluzzi A, Branstetter BF 4th, Gardner PA et al (2015) Classification of sphenoid sinus Pneumatization: relevance for endoscopic Skull Base surgery. Laryngoscope 125(3):577–581

    Article  PubMed  Google Scholar 

  16. Kapur E, Kapidzic A, Kulenovic A, Sarajlic L, Sahinovic A, Sahinovic M (2012) Septation of the sphenoid sinus and its clinical significance. Int J Collab Res Intern Med Public Health 4(10):1793–1802

    Google Scholar 

  17. DeLano MC, Fun FY, Zinreich SJ (1996) Optic nerve relationship to the posterior paranasal sinuses.CT anatomic study. AJR Am J Neuroradiol 17:669–675

    CAS  Google Scholar 

  18. Reddy UD, Dev B (2012) Pictorial essay: anatomical variations of paranasal sinuses on multidetector computed tomography-how does it help FESS surgeons? Indian J Radiol Imaging 22(4):317–324

    Article  PubMed  PubMed Central  Google Scholar 

  19. Baldea V (2012) Sandu OE. CT study of the sphenoid sinus pneumatization types. Romanian journal of. Rhinology 2(5):17–30

    Google Scholar 

  20. Cavallo LM, Messina A, Cappabianca P et al (2005) Endoscopic endonasal surgery of the midline skull base: anatomical study and clinical considerations. Neurosurg Focus 19:E2

    PubMed  Google Scholar 

  21. Gibelli D, Cellina M, Gibelli S, Oliva AG, Termine G, Sforza C (2017) Anatomical variants of sphenoid sinuses pneumatisation: a CT scan study on a northern Italian population. Radiol Med 122(8):575–580

    Article  PubMed  Google Scholar 

  22. Dal Secchi MM, Dolci RLL, Teixeira R, Lazarini PR (2018) An analysis of anatomic variations of the sphenoid sinus and its relationship to the internal carotid artery. Int Arch Otorhinolaryngol 22(2):161–166

    Article  PubMed  Google Scholar 

  23. Birsen U, Gulsah B, Yasemin K et al (2006) Risky anatomic variations of sphenoid sinus for surgery. Surg Radiol Anat 28:195–201

    Article  Google Scholar 

  24. Bolger WE, Butzin CA, Parsons DS (1991) Paranasal sinus bony anatomic variations and mucosal abnormalities: CT analysis for endoscopic sinus surgery. Laryngoscope 101:56–64

    Article  CAS  PubMed  Google Scholar 

  25. Delano MC, Fun FY, Zinrich SJ (1996) Relationship of the optic nerve to the posterior paranasal sinuses: a CT anatomic study. Am J Neuroradiol 17:669–675

    CAS  PubMed  Google Scholar 

  26. Ahmadipour Y, Lemonas E, Maslehaty H, Goericke S, Stuck BA, el Hindy N, Sure U, Mueller O (2016) Critical analysis of anatomical landmarks within the sphenoid sinus for transsphenoidal surgery. Eur Arch Otorhinolaryngol 273(11):3929–3936

    Article  PubMed  Google Scholar 

  27. Fuji K, Chambers A, Rhoton J (1979) Neurosurgical relationships of the sphenoid sinus: a microsurgical study. J Neurosurg 50:31–39

    Article  Google Scholar 

  28. Kennedy D, Zinrich H, Hassab M (1990) The internal carotid artery as it relates to endoscopic sheno-ethmoidectomy. Am J Rhinol 4:7–12

    Article  Google Scholar 

  29. Sirikci A, Bayazit YA, Bayram M, Mumbuç S, Güngör K, Kanlikama M (2000) Variations of sphenoid sinus and related structures. Eur Radiol 10:844–848

    Article  CAS  PubMed  Google Scholar 

  30. Sofferman RA, Harris P (1995) The recovery potential of the optic nerve. Laryngoscope 105(suppl):1–38

    CAS  PubMed  Google Scholar 

  31. Damaskos S, Tsiklakis K, Syriopoulos K, der Stelt P (2015) Extra and intracranial arterial calcifications in adults depicted as incidental findings on cone beam CT images. Acta Odontol Scand 73:202–209

    Article  PubMed  Google Scholar 

  32. Damaskos S, Aartman IHA, Tsiklakis K, van der Stelt P, Berkhout WER (2015) Association between extra- and intracranial calcifications of the internal carotid artery: a CBCT imaging study. Dentomaxillofac Radiol 44:20140432

    Article  CAS  PubMed  PubMed Central  Google Scholar 

Download references

Author information

Affiliations

Authors

Contributions

Neşe ASAL: Planning, designing, data collection, literature survey.

Nuray Bayar Muluk: Planning, designing, literature survey, statistical analysis, writing.

Mikail INAL: Planning, designing, literature survey.

Mehmet Hamdi ŞAHAN: Planning, designing, literature survey.

Adil Doğan: Planning, designing, literature survey.

Osman Kürşat Arıkan: Planning, designing, literature survey.

Corresponding author

Correspondence to Nuray Bayar Muluk.

Ethics declarations

This retrospective study was conducted in Kırıkkale University Faculty of Medicine according to the principles of the Declaration of Helsinki. Ethics committee approval was obtained from Adana City Training and Research Hospital; Clinical Researches Ethics Committee was also taken (Date: 27.03.2018, Number:184).

Conflict of interest

The author Neşe ASAL declares that he has no conflict of interest.

The author Nuray BAYAR MULUK declares that she has no conflict of interest.

The author Mikail INAL declares that he has no conflict of interest.

The author Mehmet Hamdi ŞAHAN declares that he has no conflict of interest.

The author Adil Doğan declares that he has no conflict of interest.

The author Osman Kürşat Arıkan declares that he has no conflict of interest.

Additional information

This study is retrospective. Ethics committee approval was obtained from Adana City Training and Research Hospital, Clinical Researches Ethics Committee was also taken (Date: 27.03.2018, Number:184)

Rights and permissions

Reprints and Permissions

About this article

Verify currency and authenticity via CrossMark

Cite this article

Asal, N., Bayar Muluk, N., Inal, M. et al. Carotid canal and optic canal at sphenoid sinus. Neurosurg Rev 42, 519–529 (2019). https://doi.org/10.1007/s10143-018-0995-4

Download citation

  • Received:

  • Revised:

  • Accepted:

  • Published:

  • Issue Date:

  • DOI: https://doi.org/10.1007/s10143-018-0995-4

Keywords

  • Sphenoid sinus
  • Carotid canal
  • Optic canal
  • Anterior clinoid process
  • Pneumatisation
  • Dehiscency
  • Onodi cell