Skip to main content

T-cell lymphoma mimicking schwannoma of a cervical nerve root

Abstract

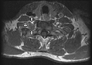
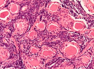
T-cell lymphoblastic lymphoma is a rare form of non-Hodgkin lymphoma, which shows preponderance for young men. Most common symptoms are painless swelling of lymph nodes, accompanied by B symptoms and large mediastinal masses. Most often, an involvement of the nervous system is due to paraneoplastic symptoms or side effects of treatment. In a literature research, we could not find a case with affection of a cervical nerve root as the first symptom for T-cell lymphoblastic lymphoma. A 39-year-old man presented with right-sided C8 radiculopathy, including pareses and paresthesia. Since the magnetic resonance image disclosed a right-sided mass lesion in the region of the neuroforamen C8, compressing the corresponding nerve root, a schwannoma was suspected. The tumor was removed using a dorsal approach. Neuropathological examination revealed the diagnosis of T-cell lymphoblastic lymphoma. The patient underwent diagnostic staging and received further treatment. He experienced a very grim course and succumbed to his disease 12 months after surgery. T-cell lymphoblastic lymphoma is a rare disease, and tropism of lymphoma cells to neural structures is seldom encountered. However, the presence of radiculopathy, together with signs, referring to B symptoms, should prompt the physician to consider this coincidence in the differential diagnosis of schwannoma.

This is a preview of subscription content, access via your institution.

Fig. 1
Fig. 2
Fig. 3
Fig. 4

References

  1. Cabanillas F, Velasquez WS, Hagemeister FB, McLaughlin P, Redman JR (1992) Clinical, biologic, and histologic features of late relapses in diffuse large cell lymphoma. Blood 79(4):1024–1028

    PubMed  CAS  Google Scholar 

  2. Hoelzer D, Gokbuget N, Digel W, Faak T, Kneba M, Reutzel R, Romejko- Jarosinska J, Zwolinski J, Walewski J (2002) Outcome of adult patients with T-lymphoblastic lymphoma treated according to protocols for acute lymphoblastic leukaemia. Blood 99(12):4379–4385

    PubMed  Article  CAS  Google Scholar 

  3. Meusers P, Brittinger G (1999) Non-Hodgkin-lymphome. In: Alexander K, Daniel WG, Diener H-C, Freund M, Köhler H, Matern S, Maurer HH, Michel BA, Nowak D, Risler T, Schaffner A, Scherbaum WA, Sybrecht GW, Zeitz M (eds) TIM (Thiemes Innere Medizin). Georg Thieme Verlag, Stuttgart, NY, pp 897–920

    Google Scholar 

  4. Abdel Aziz KM, van Loveren HR (1999) Primary lymphoma of Meckel’s cave mimicking trigeminal schwannoma: case report. Neurosurgery 44(4):859–862

    PubMed  Article  CAS  Google Scholar 

  5. Adamson DC, Cummings TJ, Friedman AH (2004) Malignant peripheral nerve sheat tumor of the spine after radiation therapy for Hodgkin’s lymphoma. Clin Neuropathol 23(5):245–255

    PubMed  CAS  Google Scholar 

  6. Baehring J, Cooper D (2004) Neurolymphomatosis. J Neuro-Oncol 68:243–244

    Article  Google Scholar 

  7. Kelly JJ, Karcher DS (2005) Lymphoma and peripheral neuropathy: a clinical review. Muscle and Nerve 31(3):301–313

    PubMed  Article  Google Scholar 

  8. Kim DH, Murovic JA (2005) A series of 146 peripheral non-neural nerve sheath tumors: 30-year experience at Louisiana State University Health Sciences Center. J Neurosurg 102(2):256–6611

    PubMed  Article  Google Scholar 

  9. Riffaud L, Adn M, Brassier G, Morandi X (2003) Acute cauda equina compression revealing Hodgkin’s disease: a case report. Spine 28(14):E270–272

    PubMed  Article  Google Scholar 

  10. Ostergaard JR, Sunde L, Okkels H (2005) Neurofibromatosis von Recklinghausen type I phenotype and early onset of cancers in siblings compound heterozygous for mutations in MSH6. Am J Med Genet A 139(2):96–105

    Google Scholar 

  11. Greenberg MS (2001) Tumor. In: Greenberg MS (ed) Handbook of neurosurgery. Thieme, New York, pp 480–494

    Google Scholar 

  12. Andriko J-AW, Morrison A, Colegial CH, Davis BJ, Jones RV (2001) Rosai–Dorfman disease isolated to the central nervous system: a report of 11 cases. Mod Pathol 14:172–178

    PubMed  Article  CAS  Google Scholar 

  13. Dabaja BS, Ha CS, Thomas DA, Wilder RB, Gopal R, Cortes J, Bueso-Ramos C, Hess MA, Cox JD, Kantarjian HM (2002) The role of local radiation therapy for mediastinal disease in adults with T-cell lymphoblastic lymphoma. Cancer 94(10):2738–2744

    PubMed  Article  Google Scholar 

  14. Hollender A, Kvaloy S, Lote K, Nome O, Holte H (2000) Prognostic factors in 140 adult patients with non-Hodgkin’s lymphoma with systemic central nervous system (CNS) involvement. A single centre analysis. Eur J Cancer 36(14):1762–1768

    PubMed  Article  CAS  Google Scholar 

Download references

Acknowledgment

We thank Prof. Dr M.-L. Hansmann, Senckenbergisches Institut für Pathologie, Johann Wolfgang Goethe University, Frankfurt am Main, for his diagnostic expertise.

Author information

Affiliations

Authors

Corresponding author

Correspondence to D. Wachter.

Additional information

Comments

Dietmar Krex, Dresden, Germany

The authors present an unusual case with radiculopathy including pareses and paresthesia because of a cervical compressing mass lesion as initial symptoms of T-cell lymphoblastic lymphoma. This is an informative presentation of an interesting case making the reader alert to this rare differential diagnosis. Although a spinal involvement is seen in only 1–10% in patients with non-Hodgkin lymphoma, it is important to keep this kind of manifestation in mind to perform further diagnostics timely in those severely ill patients. This case also underlines that a thorough histological evaluation is mandatory even when the diagnosis seems obvious according to clinical and radiological presentation.

Uwe Spetzger, Karlsruhe, Germany

This paper is interesting for neurosurgeons dealing with spinal tumors and demonstrates that lymphomas could be located everywhere within the central nervous system. High-grade lymphomas should be taken into consideration in the preoperative discussion, especially when MR imaging of the lesion shows such an inhomogeneous contrast enhancement and the clinical signs and symptoms in young patients are as rapidly deteriorating as demonstrated.

Despite aggressive multimodal treatment, central nervous lymphomas usually have a bad prognosis. Therefore, the discussion of the surgical strategy and particularly the timing of surgery are very important, especially to force the histological diagnosis early enough, allowing an immediate systemic treatment in this devastating disease. The controversy is to recommend and perform an open biopsy or a gross total resection. In addition, the infiltrative growing of those lesions within the nerve fascicles makes the radical resection of extra-axial high-grade lymphomas nearly impossible, without a significant risk of a permanent neurological deficit. Therefore, this report makes an important contribution for the differential diagnosis and the preoperative planning of suspect peripheral spinal nerve tumors.

The manuscript is submitted on behalf of all authors and all named authors have participated in this work.

Rights and permissions

Reprints and Permissions

About this article

Cite this article

Wachter, D., Tschischka, S., Huegens-Penzel, M. et al. T-cell lymphoma mimicking schwannoma of a cervical nerve root. Neurosurg Rev 32, 117 (2009). https://doi.org/10.1007/s10143-008-0169-x

Download citation

  • Received:

  • Revised:

  • Accepted:

  • Published:

  • DOI: https://doi.org/10.1007/s10143-008-0169-x

Keywords

  • Schwannoma
  • T-cell lymphoblastic lymphoma
  • Radiculopathy
  • Peripheral and central nervous system