Skip to main content

Brucella-related cerebral aneurysms/subarachnoidal hemorrhage: a short review featuring a case report

Abstract

Brucellosis is a multisystem disease that may present with a large spectrum of clinical manifestations. Only five cases of intracranial aneurysm formation and/or subarachnoidal hemorrhage associated with brucellosis have been reported. In this paper, we take the opportunity to review these reports and present a new case of basilar artery aneurysm and subarachnoidal hemorrhage due to brucellosis.

This is a preview of subscription content, access via your institution.

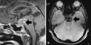
Fig. 1
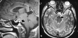
Fig. 2
Fig. 3
Fig. 4
Fig. 5
Fig. 6

References

  1. Adaletli I, Albayram S, Gurses B et al (2006) Vasculopathic changes in the cerebral arterial system with neurobrucellosis. AJNR Am J Neuroradiol 27:384–386

    PubMed  CAS  Google Scholar 

  2. Akdeniz H, Irmak H, Anlar O et al (1998) Central nervous system brucellosis: presentation, diagnosis and treatment. J Infect 36:297–301

    PubMed  Article  CAS  Google Scholar 

  3. Al Deeb SM, Aqub BA, Sharif HS et al (1989) Neurobrucellosis: clinical characteristics, diagnosis and outcome. Neurology 39:498–501

    PubMed  CAS  Google Scholar 

  4. Al Harthi SS (1987) Association of Brucella endocarditis with intracerebral hemorrhage. Int J Cardiol 16:214–216

    PubMed  Article  CAS  Google Scholar 

  5. Doganay M, Aygen B (2003) Human brucellosis: an overview. Int J Infect Dis 7:173–182

    Article  Google Scholar 

  6. Erdogan B, Sener L, Ozsahin K et al (2005) An unusual case of ruptured distal anterior cerebral artery aneurysm associated with brucellosis. J Infect 51:79–82

    Article  Google Scholar 

  7. Hansmann GH, Schenken JR (1932) Melitensis meningoencephalitis, mycotic aneurysm due to Br. melitensis var. porcine. Am J Pathol 8:435–444 (cited in Adaletli I, Albayram S, Gurses B, et al. (2006) Vasculopathic changes in the cerebral arterial system with neurobrucellosis. AJNR Am J Neuroradiol 27:384–386)

    Google Scholar 

  8. Jabbour R (2003) Dissecting aneurysm of the basilar trunk in a young man. Arch Neurol 60:1016–1018

    PubMed  Article  Google Scholar 

  9. Marzo SME, Calderon GC, Ayuso BT et al (1995) Neurobrucellosis: a report of 13 cases. Neuralgia 10:375–379

    Google Scholar 

  10. Mc Lean DR, Russell N, Khan MY (1992) Neurobrucellosis: clinical and therapeutic features. Clin Infect Dis 15:582–590

    CAS  Google Scholar 

  11. Pascual J, Combarros O, Polo JM et al (1988) Localized CNS brucellosis: report of 7 cases. Acta Neurol Scand 78:282–289

    PubMed  CAS  Article  Google Scholar 

Download references

Author information

Affiliations

Authors

Corresponding author

Correspondence to Serdar Kaya.

Rights and permissions

Reprints and Permissions

About this article

Cite this article

Kaya, S., Velioglu, M., Colak, A. et al. Brucella-related cerebral aneurysms/subarachnoidal hemorrhage: a short review featuring a case report. Neurosurg Rev 31, 337 (2008). https://doi.org/10.1007/s10143-008-0136-6

Download citation

  • Received:

  • Revised:

  • Accepted:

  • Published:

  • DOI: https://doi.org/10.1007/s10143-008-0136-6

Keywords

  • Mycotic aneurysm
  • Neurobrucellosis
  • Subarachnoidal hemorrhage