Skip to main content

Placental abruption and hemorrhage—review of imaging appearance

Abstract

Placental and periplacental bleeding are common etiologies for antepartum bleeding. Placental abruption complicates approximately 1% of pregnancies and is associated with increased maternal, fetal, and neonatal morbidity and mortality. This article reviews the normal placental appearance on ultrasound, computed tomography (CT), and magnetic resonance imaging (MRI) and then discusses the different morphological appearance of placental and periplacental hematomas along with their mimics. Hematomas are classified based on the location as retroplacental, marginal subchorionic, preplacental (subamniotic), or intraplacental. Placenta-related bleeding is a common finding during first trimester ultrasound and its detection can help triage the pregnant females into low- and high-risk groups. This article reviews placenta related bleeding in the setting of trauma. Trauma can complicate pregnancy with potential severe maternal and fetal outcomes. CT is usually performed as part of the trauma workup and it can be challenging for placental evaluation. MRI can characterize the age of the hematomas and can differentiate hematomas from tumors.

This is a preview of subscription content, access via your institution.

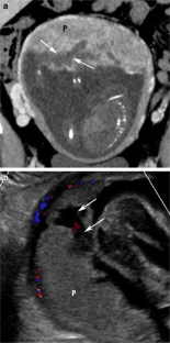
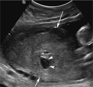
Fig. 1
Fig. 2
Fig. 3
Fig. 4
Fig. 5
Fig. 6
Fig. 7
Fig. 8
Fig. 9
Fig. 10
Fig. 11
Fig. 12
Fig. 13
Fig. 14
Fig. 15
Fig. 16

References

  1. Fadl S, Moshiri M, Fligner CL, Katz DS, Dighe M (2017) Placental imaging: normal appearance with review of pathologic findings. Radiographics 37(3):979–998

    Article  PubMed  Google Scholar 

  2. Tikkanen M (2011) Placental abruption: epidemiology, risk factors and consequences. Acta Obstet Gynecol Scand 90(2):140–149

    Article  PubMed  Google Scholar 

  3. Ananth CV, Lavery JA, Vintzileos AM et al (2016) Severe placental abruption: clinical definition and associations with maternal complications. Am J Obstet Gynecol 214(2):272 e1–272 e9

    Article  Google Scholar 

  4. Boisrame T, Sananes N, Fritz G et al (2014) Placental abruption: risk factors, management and maternal-fetal prognosis. Cohort study over 10 years. Eur J Obstet Gynecol Reprod Biol 179:100–104

    Article  CAS  PubMed  Google Scholar 

  5. Raptis CA, Mellnick VM, Raptis DA et al (2014) Imaging of trauma in the pregnant patient. Radiographics 34(3):748–763

    Article  PubMed  Google Scholar 

  6. Nguyen D, Nguyen C, Yacobozzi M, Bsat F, Rakita D (2012) Imaging of the placenta with pathologic correlation. Semin Ultrasound CT MR 33(1):65–77

    Article  PubMed  Google Scholar 

  7. Oyelese Y, Ananth CV (2006) Placental abruption. Obstet Gynecol 108(4):1005–1016

    Article  PubMed  Google Scholar 

  8. Trop I, Levine D (2001) Hemorrhage during pregnancy: sonography and MR imaging. AJR Am J Roentgenol 176(3):607–615

    Article  CAS  PubMed  Google Scholar 

  9. Giordano R, Cacciatore A, Cignini P, Vigna R, Romano M (2010) Antepartum haemorrhage. J Prenat Med 4(1):12–16

    PubMed  PubMed Central  Google Scholar 

  10. Zaidi SF, Moshiri M, Osman S et al (2016) Comprehensive imaging review of abnormalities of the placenta. Ultrasound Q 32(1):25–42

    Article  PubMed  Google Scholar 

  11. Kanne JP, Lalani TA, Fligner CL (2005) The placenta revisited: radiologic-pathologic correlation. Curr Probl Diagn Radiol 34(6):238–255

    Article  PubMed  Google Scholar 

  12. Wei SH, Helmy M, Cohen AJ (2009) CT evaluation of placental abruption in pregnant trauma patients. Emerg Radiol 16(5):365–373

    Article  PubMed  PubMed Central  Google Scholar 

  13. Allen BC, Leyendecker JR (2013) Placental evaluation with magnetic resonance. Radiol Clin N Am 51(6):955–966

    Article  PubMed  Google Scholar 

  14. Podrasky AE, Javitt MC, Glanc P, Dubinsky T, Harisinghani MG, Harris RD et al (2013) ACR appropriateness criteria® second and third trimester bleeding. Ultrasound Q 29(4):293–301

    Article  PubMed  Google Scholar 

  15. Ott J, Pecnik P, Promberger R, Pils S, Binder J, Chalubinski KM (2017) Intra- versus retroplacental hematomas: a retrospective case-control study on pregnancy outcomes. BMC Pregnancy Childbirth 17(1):366

    Article  PubMed  PubMed Central  Google Scholar 

  16. Fitzgerald B, Shannon P, Kingdom J, Keating S (2011) Rounded intraplacental haematomas due to decidual vasculopathy have a distinctive morphology. J Clin Pathol 64(8):729–732

    Article  PubMed  Google Scholar 

  17. Glantz C, Purnell L (2002) Clinical utility of sonography in the diagnosis and treatment of placental abruption. J Ultrasound Med 21(8):837–840

    Article  PubMed  Google Scholar 

  18. Shinde GR, Vaswani BP, Patange RP, Laddad MM, Bhosale RB (2016) Diagnostic performance of ultrasonography for detection of abruption and its clinical correlation and maternal and foetal outcome. J Clin Diagn Res 10(8):QC04–QC07

    PubMed  PubMed Central  Google Scholar 

  19. Bennett GL, Bromley B, Lieberman E, Benacerraf BR (1996) Subchorionic hemorrhage in first-trimester pregnancies: prediction of pregnancy outcome with sonography. Radiology 200(3):803–806

    Article  CAS  PubMed  Google Scholar 

  20. Jha P, Paroder V, Mar W, Horowtiz JM, Poder L (2016) Multimodality imaging of placental masses: a pictorial review. Abdom Radiol (NY) 41(12):2435–2444

    Article  Google Scholar 

  21. D'Souza D, Olah KS (1999) Infarction of a placental chorioangioma mimicking placental abruption. J Obstet Gynaecol 19(4):421–422

    Article  CAS  PubMed  Google Scholar 

  22. Jha P, Melendres G, Bijan B, Ormsby E, Chu L, Li CS et al (2017) Trauma in pregnant women: assessing detection of post-traumatic placental abruption on contrast-enhanced CT versus ultrasound. Abdom Radiol (NY) 42(4):1062–1067

    Article  Google Scholar 

  23. Sadro C, Bernstein MP, Kanal KM (2012) Imaging of trauma: part 2. Abdominal trauma and pregnancy—a radiologist's guide to doing what is best for the mother and baby. AJR Am J Roentgenol 199(6):1207–1219

    Article  PubMed  Google Scholar 

  24. Masselli G, Brunelli R, Di Tola M, Anceschi M, Gualdi G (2011) MR imaging in the evaluation of placental abruption: correlation with sonographic findings. Radiology 259(1):222–230

    Article  PubMed  Google Scholar 

  25. Masselli G, Brunelli R, Parasassi T, Perrone G, Gualdi G (2011) Magnetic resonance imaging of clinically stable late pregnancy bleeding: beyond ultrasound. Eur Radiol 21(9):1841–1849

    Article  PubMed  Google Scholar 

  26. Nagy S, Bush M, Stone J, Lapinski RH, Gardo S (2003) Clinical significance of subchorionic and retroplacental hematomas detected in the first trimester of pregnancy. Obstet Gynecol 102(1):94–100

    PubMed  Google Scholar 

  27. Seki H, Kuromaki K, Takeda S, Kinoshita K (1998) Persistent subchorionic hematoma with clinical symptoms until delivery. Int J Gynaecol Obstet 63(2):123–128

    Article  CAS  PubMed  Google Scholar 

  28. Ball RH, Ade CM, Schoenborn JA, Crane JP (1996) The clinical significance of ultransonographically detected subchorionic hemorrhages. Am J Obstet Gynecol 174(3):996–1002

    Article  CAS  PubMed  Google Scholar 

  29. Tuuli MG, Norman SM, Odibo AO, Macones GA, Cahill AG (2011) Perinatal outcomes in women with subchorionic hematoma: a systematic review and meta-analysis. Obstet Gynecol 117(5):1205–1212

    Article  PubMed  Google Scholar 

  30. Norman SM, Odibo AO, Macones GA, Dicke JM, Crane JP, Cahill AG (2010) Ultrasound-detected subchorionic hemorrhage and the obstetric implications. Obstet Gynecol 116(2 Pt 1):311–315

    Article  PubMed  Google Scholar 

  31. Sauerbrei EE, Pham DH (1986) Placental abruption and subchorionic hemorrhage in the first half of pregnancy: US appearance and clinical outcome. Radiology 160(1):109–112

    Article  CAS  PubMed  Google Scholar 

  32. Phillips CH, Wortman JR, Ginsburg ES, Sodickson AD, Doubilet PM, Khurana B (2018) First-trimester emergencies: a radiologist’s perspective. Emerg Radiol 25(1):61–72

    Article  PubMed  Google Scholar 

  33. Manriquez M, Srinivas G, Bollepalli S, Britt L, Drachman D (2010) Is computed tomography a reliable diagnostic modality in detecting placental injuries in the setting of acute trauma? Am J Obstet Gynecol 202(6):611 e1–611 e5

    Article  Google Scholar 

  34. Kopelman TR, Bogert JN, Walters JW et al (2016) Computed tomographic imaging interpretation improves fetal outcomes after maternal trauma. J Trauma Acute Care Surg 81(6):1131–1135

    Article  CAS  PubMed  Google Scholar 

  35. Rheinboldt M, Delproposto Z (2015) Sonography of placental abnormalities: a pictorial review. Emerg Radiol 22(4):401–408

    Article  PubMed  Google Scholar 

  36. Meisinger QC, Brown MA, Dehqanzada ZA, Doucet J, Coimbra R, Casola G (2016) A 10-year restrospective evaluation of ultrasound in pregnant abdominal trauma patients. Emerg Radiol 23(2):105–109

    Article  PubMed  Google Scholar 

  37. Saphier NB, Kopelman TR (2014) Traumatic Abruptio Placenta Scale (TAPS): a proposed grading system of computed tomography evaluation of placental abruption in the trauma patient. Emerg Radiol 21(1):17–22

    Article  PubMed  Google Scholar 

  38. Fadl SA, Sabry AS, Ramzan MM, Linnau KF (2017) Core curriculum case illustration: placental abruption. Emerg Radiol 24

  39. Seri I, Evans J (2008) Limits of viability: definition of the gray zone. J Perinatol 28(Suppl 1):S4–S8

    Article  PubMed  Google Scholar 

Download references

Author information

Affiliations

Authors

Corresponding author

Correspondence to Shaimaa A. Fadl.

Ethics declarations

Conflicts of interests

The authors declare that they have no conflicts of interest.

Rights and permissions

Reprints and Permissions

About this article

Verify currency and authenticity via CrossMark

Cite this article

Fadl, S.A., Linnau, K.F. & Dighe, M.K. Placental abruption and hemorrhage—review of imaging appearance. Emerg Radiol 26, 87–97 (2019). https://doi.org/10.1007/s10140-018-1638-3

Download citation

  • Received:

  • Accepted:

  • Published:

  • Issue Date:

  • DOI: https://doi.org/10.1007/s10140-018-1638-3

Keywords

  • Placenta
  • Placental abruption
  • Retroplacental hematoma
  • Subchorionic hematoma-placental hematoma