Skip to main content

Comprehensive assessment of takotsubo cardiomyopathy by cardiac computed tomography

Abstract

Cardiac computed tomography (CT) now plays an important role in emergency settings because of its accessibility and fast acquisition time, which cardiac magnetic resonance imaging (CMR) cannot match. Although cardiac CT was originally conceived for the assessment of the coronary artery tree, it has evolved to embrace several non-coronary applications. These include myocardial assessment, resulting in myocardial characterization comparable with that of CMR and cardiac CT for late enhancement imaging. In this report, we describe a patient with takotsubo cardiomyopathy who underwent a comprehensive assessment using cardiac CT. This technique enabled to identify the condition of the coronary arteries and to evaluate the four-dimensional left ventricular function and myocardial late iodine enhancement immediately. The information obtained was similar to that provided by CMR; however, cardiac CT is more practical than CMR in emergency settings. Comprehensive assessment by cardiac CT can be beneficial for a noninvasive evaluation of patients with suspected takotsubo cardiomyopathy.

This is a preview of subscription content, access via your institution.

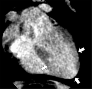
Fig. 1
Fig. 2
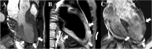
Fig. 3
Fig. 4
Fig. 5

References

  1. Schuleri KH, George RT, Lardo AC (2009) Applications of cardiac multidetector CT beyond coronary angiography. Nat Rev Cardiol 6:699–710

    Article  PubMed  Google Scholar 

  2. Rodriguez-Granillo GA (2017) Delayed enhancement cardiac computed tomography for the assessment of myocardial infarction: from bench to bedside. Cardiovasc Diagn Ther 7:159–170

    Article  PubMed  PubMed Central  Google Scholar 

  3. Kurisu S, Sato H, Kawagoe T, Ishihara M, Shimatani Y, Nishioka K, Kono Y, Umemura T, Nakamura S (2002) Tako-tsubo-like left ventricular dysfunction with ST-segment elevation: a novel cardiac syndrome mimicking acute myocardial infarction. Am Heart J 143:448–455

    Article  PubMed  Google Scholar 

  4. Kawai S, Kitabatake A, Tomoike H (2007) Guidelines for diagnosis of takotsubo (ampulla) cardiomyopathy. Circ J 71:990–992

    Article  PubMed  Google Scholar 

  5. Prasad A, Lerman A, Rihal CS (2008) Apical ballooning syndrome (Tako-Tsubo or stress cardiomyopathy): a mimic of acute myocardial infarction. Am Heart J 155:408–417

    Article  PubMed  Google Scholar 

  6. Eitel I, von Knobelsdorff-Brenkenhoff F, Bernhardt P, Carbone I, Muellerleile K, Aldrovandi A, Francone M, Desch S, Gutberlet M, Strohm O, Schuler G, Schulz-Menger J, Thiele H, Friedrich MG (2011) Clinical characteristics and cardiovascular magnetic resonance findings in stress (takotsubo) cardiomyopathy. JAMA 306:277–286

    CAS  PubMed  Google Scholar 

  7. Naruse Y, Sato A, Kasahara K, Makino K, Sano M, Takeuchi Y, Nagasaka S, Wakabayashi Y, Katoh H, Satoh H, Hayashi H, Aonuma K (2011) The clinical impact of late gadolinium enhancement in Takotsubo cardiomyopathy: serial analysis of cardiovascular magnetic resonance images. J Cardiovasc Magn Reson 13:67

    Article  PubMed  PubMed Central  Google Scholar 

Download references

Author information

Affiliations

Authors

Corresponding author

Correspondence to Seitaro Oda.

Ethics declarations

Conflict of interest

The authors declare that they have no conflict of interest.

Electronic supplementary material

Movie I

Four-dimensional left ventricular myocardial function analysis provided a more accurate representation of the myocardial dynamic motion, and showed apical hypokinesis and a hypercontractile base during systole. (AVI 594 kb)

Rights and permissions

Reprints and Permissions

About this article

Verify currency and authenticity via CrossMark

Cite this article

Sueta, D., Oda, S., Izumiya, Y. et al. Comprehensive assessment of takotsubo cardiomyopathy by cardiac computed tomography. Emerg Radiol 26, 109–112 (2019). https://doi.org/10.1007/s10140-018-1610-2

Download citation

  • Received:

  • Accepted:

  • Published:

  • Issue Date:

  • DOI: https://doi.org/10.1007/s10140-018-1610-2

Keywords

  • Takotsubo cardiomyopathy
  • Cardiac computed tomography
  • Late gadolinium enhancement
  • Late iodine enhancement